미니쉬치과병원ㅣMinish Dental Hospital ㅣミニッシュ歯科病院ㅣ美尼仕牙科医院ㅣ美尼仕牙科醫院
결손치로 고민했던 앞니, 미니쉬로 건강하게 바뀐 변화
안녕하세요. 미니쉬치과병원입니다. 답답하게만 느껴졌던 마스크, 누군가에게는 얼굴의 콤플렉스를 감춰주는 유용한 가림막이 되기도 합니다. 이번 주인공 역시 그런 이유로 오랜 시간 마스크에 의존해 왔습니다. 바로 LG헬로비전 ‘엄마는 예뻤다’ 세 번째 사연에 등장한, 가평에 사는 어머니의 아들 이야기입니다. 오늘은...

안녕하세요. 미니쉬치과병원입니다.
답답하게만 느껴졌던 마스크, 누군가에게는 얼굴의 콤플렉스를 감춰주는 유용한 가림막이 되기도 합니다.
이번 주인공 역시 그런 이유로 오랜 시간 마스크에 의존해 왔습니다. 바로 LG헬로비전 ‘엄마는 예뻤다’ 세 번째 사연에 등장한, 가평에 사는 어머니의 아들 이야기입니다. 오늘은 방송에 소개된 그 사연의 이면 결손치로 인해 겪었던 어려움과 미니쉬로 건강하게 변화된 이야기를 전해드리려 합니다.
“활짝 웃고 있는 사진이 한 장도 없더라고요.”
가평아들 이OO 님 인터뷰 中
사람은 보통 28개의 영구치로 평생을 살아갑니다. 하지만 선천적인 요인으로 인해 태어날 때부터 치아 개수에 이상이 있는 경우도 있습니다. 대표적으로는 과잉치(치아가 정상보다 많은 경우), 그리고 오늘 이야기의 중심인 결손치(치아가 정상보다 적은 경우)가 있습니다.
이제 이OO 님의 실제 사례를 소개하기에 앞서, 우선 선천적 결손치가 발생하는 원인을 간단히 살펴보겠습니다. 선천적 결손치는 치아의 발육 장애 중 하나로 영구치가 제대로 형성되지 않거나 아예 생기지 않아 치아 개수가 부족한 상태를 말합니다. 아직 정확한 원인은 밝혀지지 않았지만, 주로 유전적 요인 또는 임신 중 치배(영구치의 씨앗)가 제대로 형성되지 않는 경우가 주요 원인으로 알려져 있습니다

이OO 님은 태어날 때부터 앞니 한 개가 결손된 상태였습니다. 게다가 남아 있던 앞니 하나는 크기마저 유난히 커, 심미적으로도 불균형했고 콤플렉스로 이어졌죠. 선천적 결손치는 이처럼 외형적인 문제뿐 아니라, 일상 속 불편함까지 유발할 수 있습니다.
결손치, 어떤 문제를 유발할까

선천적 결손치는 단순히 치아가 하나 없는 문제가 아닙니다. 방치할 경우, 치열의 균형과 기능적 측면, 심미성 전반에 걸쳐 다양한 문제를 유발할 수 있습니다.
- 치아 배열의 틀어짐
결손치 부위를 중심으로 주변 치아들이 빈 공간을 메우려 이동하면서 전체 배열이 틀어지게 됩니다. 그 결과 치아 본연의 기능인 저작기능(음식을 씹는 기능)이 제대로 작동하지 않게 되고 저작력(씹는 힘) 또한 약화됩니다.
- 부정교합 유발
치아 배열의 불균형은 곧 부정교합으로 이어집니다. 위아래 치아의 중앙선이 맞지 않게 되면서 치아 비대칭, 나아가 안면 비대칭까지 초래할 수 있습니다. 이처럼 교합이 정상적으로 맞물리지 않는 상태가 지속되면 결국 치아 수명 단축이라는 결과로 이어질 수 있습니다.
- 심미성 저하
치아는 단순한 저작 기관을 넘어, 외모의 인상에 직접적인 영향을 미치는 부위입니다. 특히 대화 중 웃을 때 자연스럽게 드러나는 부위에 결손치가 있을 경우 눈에 띄는 비어 있음으로 인해 심리적 위축이나 외모 콤플렉스를 유발하기 쉽습니다.

▶ 실사례로 보는 선천적 결손치 케이스
본원과의 인터뷰에서도 언급되었듯 앞니 하나(#21)와 아래 어금니 하나(#35)가 선천적으로 결손된 상태였습니다.
게다가 남아 있던 앞니 한 개는 다른 치아에 비해 유난히 커서 어린 시절부터 외모에 대한 스트레스와 심리적 위축을 겪어야 했습니다.
군 제대 이후 개선을 결심하고 여러 병원을 찾아봤지만, 그때마다 대학병원 진료를 권유받았다고 합니다. 그만큼 구조적으로 복잡하고 정밀한 판단이 필요한 소위 ‘난이도 높은 케이스’에 해당했던 것이죠.

이OO 님은 결손치 외에도 여러 구강 문제를 함께 안고 있었습니다. 윗니와 아랫니, 좌우 치아의 균형이 맞지 않아 전체적으로 치열이 비대칭이었고 부정교합까지 겹쳐 얼굴 전체의 조화에도 영향을 주고 있던 상황이었죠.
게다가 악궁(치아가 배열되는 턱의 공간)이 좁은 편이었고 아랫니 쪽 #35 치아가 없어서 아래쪽 치열은 특히 더 울퉁불퉁했습니다.
보통 이런 경우
① 먼저 치아 교정과 악궁확장장치를 이용해 치아가 배열될 수 있도록 턱의 공간을 확보한 다음,
② 그 빈자리에 임플란트를 심는 방식이 일반적으로 사용됩니다.
하지만 이 방법은
✔ 치아 교정 기간
✔ 잇몸뼈가 자리잡는 기간
✔ 임플란트가 완성되기까지의 시간까지
전체 치료에 상당히 오랜 시간이 걸리는 방식이기 때문에 심리적, 경제적 부담이 적지 않다는 단점이 있습니다.
하지만 미니쉬는 길고 복잡한 과정을 거치지 않고도 치아를 건강하고 아름답게 복구할 수 있는 솔루션입니다. 이OO 님 역시 악궁 확장이나 임플란트 같은 복잡한 절차 없이 오직 치아복구 솔루션 미니쉬로 오랫동안 비어 있던 앞니를 복구할 수 있었습니다.
결손으로 인해 오래도록 공백이었던 자리를 자연스러운 조화 속에 다시 채움으로써 그동안 겪어온 외모 콤플렉스와 심리적 부담도 함께 덜어낼 수 있었죠.
▶ About MINISH 바로보기

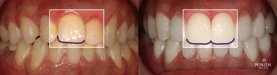
기존의 앞니와 잘 어우러지도록 잇몸 형태, 치아의 크기, 색상 등 여러 요소를 정밀하게 고려해 복구가 진행되었습니다.
특히 치은절제술과 핑크미니쉬를 통해 잇몸 라인의 대칭을 맞춰준 것이 이번 복구의 핵심 중 하나였습니다. 붓기로 울퉁불퉁해 보이던 잇몸은 빠르게 건강한 상태로 회복되었고 라인도 한층 더 자연스럽고 매끄럽게 정돈되었습니다.
또한, 과도한 교합력(씹는 힘) 때문에 일부 잇몸이 아래로 내려가 비어 보이던 부분도 핑크미니쉬를 통해 연분홍빛 잇몸으로 자연스럽게 복구되었고 전체적으로 건강하고 조화로운 인상을 완성할 수 있었습니다.

▶ 핑크미니쉬 자세하게 알아보기
이OO 님은 결손치로 인해 앞니 주변 치아들이 빈 공간으로 쏠리면서 치아 비대칭도 상당히 심한 편이었습니다. 완전히 대칭적인 형태로 복구하는 데는 한계가 있었지만 미니쉬를 통해 앞니를 복원하면서 전체적인 균형도 자연스럽게 회복할 수 있었습니다.
특히 잇몸 라인과 치아 형태, 색상까지 조화롭게 다듬어지면서, 웃을 때의 인상이 훨씬 더 부드럽고 안정감 있게 바뀌었죠

앞니뿐 아니라 아랫니 배열 역시 문제가 있었는데요. 좁은 악궁과 #35 치아 결손으로 인해 전체 치열이 울퉁불퉁하고 고르지 않은 상태였습니다.
이 부분은 듀얼미니쉬를 활용해 복구를 진행했습니다. 아랫니 전면을 정교하게 정리하고 보호해주는 방식으로 자연치아는 그대로 유지하면서 전체 배열을 균형 있게 맞춰주는 역할을 하죠.
그 결과, 고르지 못했던 아랫니가 더 반듯하게 정돈되었고 치아의 색상과 질감까지 자연스럽게 보완되어 심미적으로도 훨씬 개선된 인상을 완성할 수 있었습니다.

▶ 듀얼미니쉬 자세하게 알아보기

“살면서 단 한 번도 제대로 웃어본 적이 없다”는 이OO 님 그분이 마침내 환하게 웃는 모습을 보니, 보는 이의 마음도 절로 뭉클해졌습니다.
오랜 시간 콤플렉스였던 선천적 결손치가 두 개의 단정한 앞니로 복원된 것은 물론 치아 전체의 배열과 색상, 그리고 미소를 지을 때 드러나는 스마일 라인까지 함께 개선되었습니다.
타 치과에서 “대학병원에 가보라”는 얘기를 들을 만큼 까다로운 사례였지만 미니쉬치과병원의 풍부한 임상 경험과 숙련된 기술력이 있었기에 가능했던 변화였습니다.
치아는 평생 사용하는 중요한 신체 부위인 만큼, 문제가 생겼을 때 그대로 방치하는 것은 바람직하지 않습니다.
특히 선천적 결손치처럼 단순히 치아 하나의 문제가 아닌 경우 얼굴의 균형과 구강 건강 전반에 영향을 줄 수 있기 때문에 전문가의 진단을 통해 적절한 복구 방법을 찾는 것이 중요합니다.
불편을 참기보다, 나에게 맞는 방법으로 건강하게 복구해보세요!


Explore More
Keep Browsing This Clinic's Korean Content Trail.
Return to the source archive for more posts, or move back to the clinic profile to compare the rest of the clinic's public channels.