미니쉬치과병원ㅣMinish Dental Hospital ㅣミニッシュ歯科病院ㅣ美尼仕牙科医院ㅣ美尼仕牙科醫院
풍치로 망가진 잇몸, 되돌릴 수 있는 방법이 궁금하신가요?
대부분의 이야기에는 중심이 되는 인물, 즉 주연이 있고 그를 둘러싼 조연이 등장합니다. 보통 주목을 받는 건 주연이지만 때로는 인상 깊은 조연 덕분에 극 전체가 더 풍성해지기도 하죠. 강한 개성을 가진 조연이 등장하면, 오히려 주연보다 더 기억에 남는 경우도 종종 생깁니다. 그렇다면, 우리가 맛있는 식사를 할...

대부분의 이야기에는 중심이 되는 인물, 즉 주연이 있고 그를 둘러싼 조연이 등장합니다. 보통 주목을 받는 건 주연이지만 때로는 인상 깊은 조연 덕분에 극 전체가 더 풍성해지기도 하죠. 강한 개성을 가진 조연이 등장하면, 오히려 주연보다 더 기억에 남는 경우도 종종 생깁니다.
그렇다면, 우리가 맛있는 식사를 할 수 있도록 도와주는 주인공은 누구일까요? 치아? 혀?
대부분은 잇몸을 떠올리지 않을 겁니다. 하지만 치아가 제 기능을 다할 수 있도록 받쳐주는 든든한 기반은 바로 잇몸입니다. 잇몸은 치아의 뿌리를 안정적으로 감싸 보호하고 외부 자극으로부터 치아를 지켜줍니다. 특히 뿌리가 노출되는 것을 막아 시린 증상이 생기지 않도록 해주는 역할도 하죠. 오늘은 잇몸 건강을 잃고, 함께 웃음까지 잃었던 ‘안성엄마’의 이야기를 들어보세요.

안성엄마는 사랑하는 남편을 갑작스러운 교통사고로 떠나보낸 뒤 긴 시간 동안 깊은 슬픔 속에 머물렀습니다. 그녀를 다시 일으켜 세운 건 친정 어머니와 오빠의 따뜻한 손길이었습니다. 가족의 든든한 지지가 있었기에 안성엄마는 다시 일상으로 돌아오기 위해 조금씩 힘을 내기 시작했죠.
하지만 삶은 그렇게 쉽게 평온을 허락하지 않았습니다. 그 고마운 가족들이 뇌졸중으로 연이어 쓰러지면서, 그녀는 병간호에 매달려야 했습니다. 무려 2년이라는 시간을 말이죠.
계속된 시련은 안성엄마의 얼굴에서 생기를 앗아가기 시작했고, 어느새 그녀의 표정은 예전과는 다른 무거운 그림자를 안고 있었습니다.
마음의 상처는 입 안에도 남았습니다.

안성엄마에게 닥친 힘든 일들은 몸뿐만 아니라 입 안 건강에도 깊은 영향을 남겼습니다.
스트레스, 우울감, 면역력 저하가 겹치면서 구강 위생 관리가 점점 소홀해졌고 그 여파는 치아에 그대로 드러났습니다. 안성엄마의 잇몸은 심하게 약해지기 시작했고 치아는 풍치 증상으로 하나둘씩 흔들리기 시작했습니다.
음식을 제대로 씹을 수 없게 되자 어금니 부위는 급하게 임플란트로 대체했습니다. 기능은 일시적으로 회복했지만, 또 다른 문제가 뒤따랐습니다.
임플란트 이후 어금니의 교합 높이가 낮아지면서 앞니들이 과도하게 맞부딪히게 된 것입니다. 그로 인해 위·아래 앞니가 앞으로 밀리며 점차 돌출되는 변화가 나타났습니다.

치아가 앞으로 밀리며 돌출되기 시작하면 구강 구조는 물론 하관 전체의 라인에도 영향을 줍니다. 결국 안모에 영향을 주어 얼굴의 인상이 달라질 수 있죠.
특히 ‘입이 툭 튀어나온 느낌’으로 보이게 되면 많은 사람들이 외모에 대한 스트레스와 자신감 저하를 겪게 되죠. 안성엄마 역시 어금니 임플란트 이후에도 전체적으로 치아가 불안정하게 흔들리는 상황이 이어졌습니다.
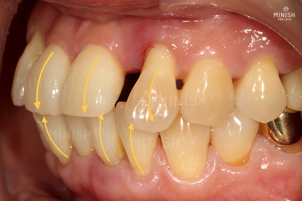
그 중에서도 가장 심각했던 부위는 윗니 앞쪽 4개 치아였습니다.

안성엄마는 풍치가 상당히 진행된 상태였습니다. 잇몸 뼈가 녹아내리고 잇몸이 점점 내려앉으면서, 치아 뿌리 부분이 잇몸 밖으로 드러난 상황이었죠.
치아 뿌리에는 단단한 에나멜층이 없어 외부 자극에 더 민감하게 반응하게 됩니다. 따라서 뿌리가 노출되면 찬물이나 칫솔질 같은 일상적인 자극에도 시린 증상이 쉽게 나타날 수 있죠. 안성엄마의 경우도 육안으로 보기에도 불안할 만큼 뿌리가 드러난 상태였고, 실제로 찬물이나 약간의 자극에도 민감하게 반응할 수밖에 없었습니다.
전체 치아에서 풍치 증상이 확인됐지만, 가능한 한 자연치아를 보존하는 방향으로 치료가 결정되었습니다. 이에 따라 전문적인 잇몸 관리가 우선적으로 진행됐고 본격적인 다음 단계를 준비할 수 있었습니다.

앞니 양옆에 위치한 치아들은 겉으로 보기에도 잇몸이 많이 내려가 있었고, 지지력을 잃은 채 불안정한 상태였습니다. 잇몸 지지가 부족한 상태에서 이 치아들은 제 기능을 다하지 못할 뿐 아니라, 오히려 구강 전체에 부담을 주고 있었죠. 결국 기능적·위생적 이유로 발치가 불가피했습니다.
많은 분들이 “치아를 빼면 나중에 임플란트 하면 되지 않을까?”라고 생각하실 수 있지만 안성엄마는 임플란트 수술이 쉽지 않은 상황이었습니다. 잇몸뼈 상태나 건강 조건 등 여러 요소가 복합적으로 작용했기 때문입니다.
그렇다고 치아를 그대로 비워둘 수는 없었습니다. 치아를 발치한 뒤 장기간 빈 상태로 두면, 주변 치아가 빈 공간 쪽으로 쓰러지거나 맞물리는 치아가 내려오면서 전체 교합이 무너질 수 있기 때문입니다. 이로 인해 저작 기능 저하뿐 아니라, 턱관절 문제까지 이어질 위험이 있습니다.
안성엄마의 경우도 임플란트 시술이 어려운 상황이었기에, 해당 부위에는 미니쉬브릿지를 적용해 부족한 기능을 안정적으로 보완했습니다.
<임플란트 수술이 불가한 치아상실에 <미니쉬브릿지> 자세히 알아보기>

안성엄마는 틀어진 치아 배열도 함께 개선되었습니다.
치아가 비뚤어져 있을 경우, 틈 사이에 음식물이나 플라그가 끼기 쉽고 반면 치아끼리 과도하게 맞물려 있어 칫솔질이 제대로 닿지 않는 구간도 많아지게 됩니다. 이번 개선을 통해 불규칙했던 치열을 가지런히 정리하면서, 구강 위생 관리가 훨씬 용이한 환경으로 바뀌었습니다. 잇몸 건강은 물론, 전체적인 인상까지 정돈된 셈이죠.
또한 풍치로 인해 잇몸이 내려앉으면서 치아가 유난히 길어 보이는 문제도 함께 해결됐습니다. 잇몸의 형태를 자연스럽게 재현하는 ‘핑크미니쉬’를 적용해 잇몸선과 치아 길이의 균형을 회복시켜 주었습니다. 그 결과, 보다 건강하고 안정적인 구강 구조와 아름다운 미소가 완성되었습니다.
<핑크미니쉬 자세하게 알아보기>

예전처럼 주변의 시선에 위축되던 안성엄마의 모습은 이제 더 이상 없습니다. 이제는 누구보다 밝고 당당하게, 환한 웃음을 되찾은 모습으로 하루하루를 살아가고 있습니다.
사실 잇몸이라는 존재는 문제가 생기기 전까지는 그 소중함을 잘 느끼지 못하죠. 하지만 한 번 손상되면 자연 회복이 어렵기 때문에, 잇몸 건강은 미리 지키는 것이 가장 중요합니다.
잇몸 건강을 회복하고 나서야 비로소 활짝 웃을 수 있었던 안성엄마의 모습은 많은 이들에게도 큰 울림을 전합니다.
이제는 아팠던 시간을 뒤로하고 당당하게 인생의 무대 위로 올라선 안성엄마, 미니쉬치과병원은 그 여정을 진심으로 응원합니다.


Explore More
Keep Browsing This Clinic's Korean Content Trail.
Return to the source archive for more posts, or move back to the clinic profile to compare the rest of the clinic's public channels.