미니쉬치과병원ㅣMinish Dental Hospital ㅣミニッシュ歯科病院ㅣ美尼仕牙科医院ㅣ美尼仕牙科醫院
벌어진 치아로 잃어버린 자신감, 미니쉬로 되찾다
사회생활을 하며 다양한 사람들을 만나다 보면, 외모뿐 아니라 말투, 표정, 그리고 치아 상태까지 자연스레 신경 쓰이기 마련입니다. 그중에서도 치아가 벌어진 상태는 생각보다 눈에 잘 띄어 많은 분들에게 심리적 부담을 안겨주곤 하죠. 자연스럽게 웃기 어려워지고, 말할 때마다 입을 가리는 습관이 생기기도 합니다. 이...
Archive Summary
이 페이지의 역할
미니쉬치과병원ㅣMinish Dental Hospital ㅣミニッシュ歯科病院ㅣ美尼仕牙科医院ㅣ美尼仕牙科醫院의 네이버 블로그 원문을 보존한 아카이브 페이지입니다. 증상별 미니쉬솔루션 카테고리의 벌어진 치아로 잃어버린 자신감, 미니쉬로 되찾다 글을 통해 병원의 한국어 정보 제공 방식과 진료 관련 안내 톤을 확인할 수 있습니다.

사회생활을 하며 다양한 사람들을 만나다 보면, 외모뿐 아니라 말투, 표정, 그리고 치아 상태까지 자연스레 신경 쓰이기 마련입니다. 그중에서도 치아가 벌어진 상태는 생각보다 눈에 잘 띄어 많은 분들에게 심리적 부담을 안겨주곤 하죠.
자연스럽게 웃기 어려워지고, 말할 때마다 입을 가리는 습관이 생기기도 합니다. 이러한 불편은 외적인 문제를 넘어, 사회적 자신감 결여로 이어질 수 있어 주의가 필요합니다.
하지만 정말 주목해야 할 부분은 따로 있습니다. 벌어진 치아는 단순한 심미 문제가 아니라, 기능적인 불편을 동반하는 구강 건강의 핵심 이슈라는 점입니다.
기능적으로도 불편한 벌어진 치아, 방치하면 더 큰 문제로 번집니다.

치아 사이에 공간이 생기면 단순히 보기 불편한 것을 넘어 일상적인 기능에도 여러 불편을 초래합니다. 먼저, 벌어진 틈으로 공기가 새면서 발음이 부정확해지고 음식물이 쉽게 끼지만 잘 빠지지 않아 치석, 충치, 풍치 등 구강 질환의 원인이 될 수 있습니다.
또한 음식을 씹을 때 힘이 고르게 전달되지 않거나 불편함으로 인해 자연스럽지 못한 저작 습관이 생기기도 하죠. 이런 경우, 특정 부위에 저작력이 집중되면서 힘을 받는 치아에 과부하가 생기고 그 결과 전체적인 교합 균형이 서서히 흐트러질 가능성도 있습니다.
이처럼 벌어진 치아는 단순한 외형의 문제가 아니라, 발음, 저작, 구강 위생에까지 영향을 주는 기능적 문제입니다.
벌어진 치아로 겪은 기능적 어려움, 해결 사례

‘엄마는 예뻤다’에 '꽃게딸'로 출연했던 연극배우 문○○님 역시 벌어진 치아와 기능 문제로 오랜 기간 고민을 겪으셨습니다.
✅ 직업 특성상 더 민감했던 치아 문제
그녀는 오디션마다 카메라 앞에서 치아 사이가 벌어진 모습이 그대로 비쳐지는 것에 큰 스트레스를 받았고 노래할 때 입을 크게 벌리지 못해 자신을 표현하는 데 제약을 느꼈습니다. 결국 이는 자책감과 우울함으로 이어졌고, 생계에도 영향을 미쳤죠.
✅ ‘편측성 반대교합’으로 인한 기능적 문제
그녀는 왼쪽 치아의 교합이 비정상적으로 맞물리는 반대교합을 동반하고 있었습니다. 반대교합을 방치하면 씹는 기능 저하, 얼굴 비대칭, 발음 문제로 확대되기 때문에 기능 중심의 빠른 개선이 필요했습니다.
✅ 상하 좌우의 치아 사이 공간, 발음과 저작 문제를 동시에 유발
치아 사이 공간이 상하좌우로 모두 벌어져 있어 정확한 발음을 방해할 뿐 아니라 씹는 힘 전달에도 어려움이 컸습니다.
교정 치료를 선택했다면 최소 1~2년은 소요되는 상황이었지만 배우라는 직업 특성상 교정기는 현실적인 대안이 아니었습니다.
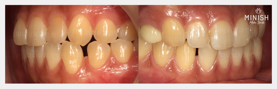
미니쉬로 닫힌 벌어진 치아

꽃게딸은 결국 미니쉬를 통해 벌어진 치아와 교합 문제를 해결했습니다. 치아 사이와 상하 공간까지 벌어졌던 부위는 첫 방문에는 상담만 진행했고 이후 다시 미니쉬를 받으러 내원해 치아 상이와 상하 공간까지 벌어졌던 부위를 안정적으로 개선할 수 있었습니다. 교정 없이도 조화로운 교합을 형성할 수 있었죠
<미니쉬 원데이 시스템 자세히 알아보기>
미니쉬 후, 놀라운 변화가 시작됐습니다.

“얼마 전 축가를 부를 일이 있었는데, 발음이 새지 않는 게 느껴져서 정말 놀랐어요.”
– 꽃게딸
|단순히 보기 좋게 만드는 것이 아니라 치아 사이 벌어짐으로 인해 발생한 교합 문제와 발음 장애를 개선하는 데 초점을 맞췄습니다. 그 결과, 기능적인 불편이 줄어들면서 자연스러운 미소와 얼굴 균형까지 함께 회복될 수 있었죠.
벌어진 치아가 안정적으로 복구되자 그녀는 환한 웃음으로 자신감 있는 무대에 설 수 있게 됐습니다
치아가 벌어져 있다는 사실 하나만으로 발음이 새고, 음식물이 끼고, 말하거나 웃을 때 위축되는 경험을 하게 됩니다. 생각보다 많은 기능적 불편이 따라오고, 일상의 자신감에도 영향을 미치죠.
이번 사례처럼, 짧은 시간 안에 치아 사이 공간을 안정적으로 개선할 수 있다면 그로 인해 자연스럽게 회복되는 발음, 표정, 교합의 변화도 경험할 수 있습니다.
혹시 지금, 비슷한 불편을 겪고 계시다면 미니쉬치과병원에 방문하셔서 방문하셔서 전문의와 상담받아보세요 😊


Explore More
Keep Browsing This Clinic's Korean Content Trail.
Return to the source archive for more posts, or move back to the clinic profile to compare the rest of the clinic's public channels.