미니쉬치과병원ㅣMinish Dental Hospital ㅣミニッシュ歯科病院ㅣ美尼仕牙科医院ㅣ美尼仕牙科醫院
라미네이트 재치료 고민 중이라면 꼭 알아야 할 부작용과 건강한 복구 방법!
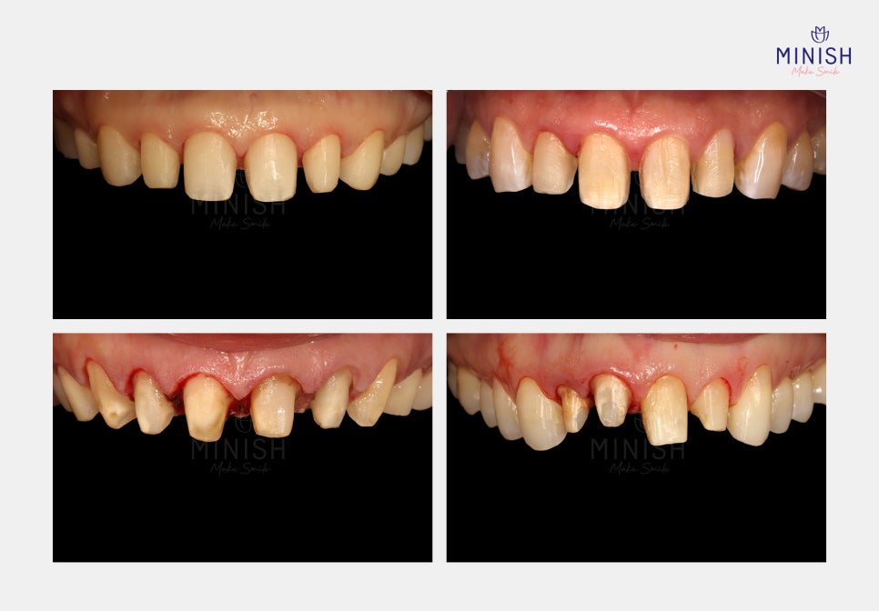
자연스럽고 매끄러운 치아 라인, 하얗게 빛나는 미소를 위해 많은 분들이 라미네이트를 선택합니다. 하지만 시간이 지나며 라미네이트 재치료를 고민하게 되는 경우가 적지 않죠. 경계선이 들뜨거나, 잇몸이 변색되거나, 혹은 기능적으로 불편함이 생기면 단순히 다시 덧붙이는 것으로 해결하고 싶을 수 있습니다. 하지만 이 문제...

자연스럽고 매끄러운 치아 라인, 하얗게 빛나는 미소를 위해 많은 분들이 라미네이트를 선택합니다. 하지만 시간이 지나며 라미네이트 재치료를 고민하게 되는 경우가 적지 않죠. 경계선이 들뜨거나, 잇몸이 변색되거나, 혹은 기능적으로 불편함이 생기면 단순히 다시 덧붙이는 것으로 해결하고 싶을 수 있습니다. 하지만 이 문제, 방치하거나 반복 치료로만 해결하는 건 좋은 선택이 아닐 수 있습니다.
라미네이트 부작용, 왜 생길까요?

라미네이트는 치아 모양과 색상을 예쁘게 개선하기 위해 선택하는 방법입니다. 하지만 이 과정에서 세라믹을 붙일 공간을 확보하기 위해 치아의 겉면을 일부 갈아내는 '치아 삭제'가 반드시 수반되며, 이로 인해 부작용이 생길 가능성도 존재합니다.
- 치아 삭제로 인한 구조 약화
라미네이트를 부착하기 위해서는 세라믹을 붙일 공간을 확보해야 하기 때문에 치아의 겉면을 일부 깎는 과정이 필요합니다. 이때 치아 본연의 보호막인 에나멜(법랑질)이 손상되면 그 아래층에 있는 덴틴(상아질)이 노출되어 외부 자극에 민감한 상태로 바뀌게 됩니다. 에나멜은 자극에 둔감한 조직이지만, 상아질은 신경과 연결된 구조이기 때문에 차갑거나 뜨거운 온도, 단맛·신맛, 물리적인 자극 등에 반응하며 통증을 유발할 수 있습니다.
또한 이렇게 민감해진 치아 위로 라미네이트 세라믹이 부착되면 문제가 더 복잡해질 수 있습니다. 세라믹 재료는 자연치아보다 훨씬 단단하고 물성이 달라 치아와 완전히 한 덩어리처럼 결합되지 않습니다. 그 결과, 씹는 힘이나 외부 충격이 분산되지 않고 그대로 치아에 전달되며 금이 가거나 깨질 가능성이 높아질 수 있습니다.
- 경계선 들뜸
라미네이트와 치아 사이에는 접착제를 사용해 밀착시키는 과정이 필요합니다. 하지만 단순히 단단하게 부착하는 것만으로는 충분하지 않으며 오차 범위 없이 정밀하게 제작되는 것이 훨씬 더 중요합니다. 경계선이 들뜨는 원인은 두 가지 방향에서 발생할 수 있습니다. 첫째는 처음 접착 과정에서 경계 부위가 완벽히 밀착되지 않았거나, 시간이 지남에 따라 접착력이 약해지면서 작은 틈이 생기고 세균이나 음식물이 스며들어 접착면을 부식시키는 경우입니다.
둘째는 라미네이트 자체가 정밀하게 제작되지 못했거나, 제작된 재료에서 미세한 수축이 발생하여 변연 봉쇄(가장자리를 완전히 밀폐하는 과정)가 제대로 이루어지지 못했을 경우입니다. 이 경우, 시술 직후부터 눈에 띄지 않는 틈이 존재하게 되고, 시간이 지나며 점점 문제가 확대되며 들뜸 현상으로 이어질 수 있습니다. 경계선 들뜸은 단순한 접착 문제가 아니라, 제작–접착 전체 과정에서의 정밀도가 핵심입니다.
- 잇몸 변색 및 염증
경계 부위에 세균이 쌓이면 잇몸에 염증이 생기거나, 경계선이 까맣게 변색되는 현상이 자주 발생합니다. 심한 경우 잇몸이 위축되어 치아 뿌리가 드러나 보이기도 하며, 이는 미용적인 불만으로 이어지게 됩니다.
방치하면 안되는 이유는?

라미네이트에 문제가 생겼을 때 “조금 불편하지만 그냥 쓰자” 하고 넘기는 경우가 적지 않습니다.하지만 이런 작은 불편함을 오랫동안 방치하게 되면 단순한 미용 문제가 아니라 치아와 잇몸 건강에 직접적인 영향을 줄 수 있습니다.
들뜬 라미네이트 아래에는 겉으로는 보이지 않는 미세한 틈이 생기며 그 틈을 통해 음식물 찌꺼기나 세균이 서서히 침투하게 됩니다. 이로 인해 충치가 발생하거나 잇몸에 염증이 생길 가능성이 높아집니다. 문제가 계속 진행되면 기존 치아의 구조가 손상되고 이후에는 단순한 재부착만으로는 해결이 어렵게 됩니다.
결국 더 넓은 범위의 보철 치료가 필요해지며 심한 경우에는 치아를 발치하고 인공치아로 대체해야 하는 상황까지 이어질 수 있습니다. 이처럼 초기에는 사소해 보일 수 있는 변화도 결국에는 치아 전체의 건강을 위협하는 큰 문제로 번질 수 있기 때문에 작은 이상이라도 발견되면 전문의의 정확한 진단과 치료를 받는 것이 중요합니다.
또 라미네이트? 치아 삭제가 반복되면 더 위험해질 수 있습니다.

라미네이트에 문제가 생기면, 많은 분들이 “그냥 떼고 새 걸로 다시 붙이면 되겠지”라고 생각하기 쉽습니다. 실제로도 기존 보철을 제거하고 새로운 라미네이트를 다시 부착하는 방법을 떠올리곤 하죠.
하지만 이 과정에서 중요한 사실이 있습니다. 라미네이트를 다시 붙이기 위해서는, 기존보다 더 많은 치아 삭제가 필요하다는 점입니다. 이미 한 번 삭제된 자연치아는 그 자체로 약해진 상태인데 여기에 또다시 삭제가 더해지면 치아 구조는 점점 더 얇아지고 약해질 수밖에 없습니다.
치아는 피부처럼 재생되지 않습니다. 한 번 깎이면 다시 돌아올 수 없는 조직이기 때문에 반복적으로 보철을 붙였다 떼었다 하다 보면 결국 치아의 수명이 짧아지고 치아가 스스로 버틸 수 없게 되는 순간이 찾아올 수 있습니다. 처음에는 단순한 미용 개선이 목적이었지만 반복되는 치료가 오히려 치아를 망가뜨리는 결과를 만들 수 있다는 점 꼭 기억하셔야 합니다.
건강한 대안, 미니쉬 래미디로 복구하세요

자연치아를 최대한 보존하면서도 심미성과 기능을 모두 회복하고 싶다면 ‘미니쉬 래미디’는 라미네이트 재치료에 있어 매우 합리적인 선택이 될 수 있습니다. 일반적인 재보철 방식은 기존 보철을 제거한 뒤 다시 치아를 삭제하고 덧씌우는 형태지만 미니쉬 래미디는 불필요한 치아 삭제 없이, 손상된 부위만 원래 치아 상태처럼 정밀하게 복원하는 방식으로 진행됩니다.
✔ 미니쉬 래미디의 주요 장점
-
기존 보철물의 문제 제거 후, 치아 구조를 최대한 원형에 가깝게 복원
-
추가적인 치아 삭제 없이 재치료 가능
-
잇몸 변색, 경계선 들뜸 등 기능적·심미적 문제 동시에 개선
-
개개인의 치아 상태에 맞춰 1:1 맞춤 정밀 제작
-
치아 본연의 색, 형태, 광택을 반영하여 자연스러운 결과 구현
미니쉬 래미디는 단순히 얇은 세라믹을 붙이는 수준이 아닙니다. 자연치아와 가장 유사한 물성의재료인 ‘미니쉬블록을’ 초정밀 가공하여 정밀하고 밀착력이 뛰어난 수복물을 제작합니다.
또한, ‘변연 봉쇄 기술’을 적용해 치아와 수복물 사이에 틈이 생기지 않도록 완벽하게 밀착시키며, 이로 인해 세균 유입과 들뜸 현상을 원천적으로 차단합니다. 그 결과, 자연치아처럼 튼튼한 기능을 회복하면서도 잇몸 변색 없이 고르고 환한 치아 라인을 완성할 수 있습니다.
반복 말고, 회복을 택하세요
라미네이트 재치료가 필요하다면, 단순히 다시 붙이는 방식보다는 내 치아를 건강하게 복원할 수 있는 방법을 찾는 것이 중요합니다.
추가적인 치아 삭제 없이, 자연스러운 복구를 원하신다면 미니쉬치과병원에서 전문의와 함께 정확한 진단을 받아보세요.
미소가 달라지면 삶도 달라집니다. 지금 바로 건강한 변화, 미니쉬에서 시작해보세요.


Explore More
Keep Browsing This Clinic's Korean Content Trail.
Return to the source archive for more posts, or move back to the clinic profile to compare the rest of the clinic's public channels.