미니쉬치과병원ㅣMinish Dental Hospital ㅣミニッシュ歯科病院ㅣ美尼仕牙科医院ㅣ美尼仕牙科醫院
치아 사이 검은 삼각형, 블랙트라이앵글 생기는 원인과 해결 방법은?
거울을 보거나 사진 속 내 모습을 볼 때, 치아 사이 어딘가 비어 보이는 어두운 삼각형 모양의 공간이 눈에 띄었던 적 있으신가요? 처음엔 "조명 때문인가?" 싶어 넘기다가도 웃을 때마다 그 빈틈이 자꾸만 신경 쓰여 입을 가리게 되거나 대화 중에 상대의 시선이 치아로 향하는 게 부담스럽게 느껴질 수 있습니다. 이...

거울을 보거나 사진 속 내 모습을 볼 때, 치아 사이 어딘가 비어 보이는 어두운 삼각형 모양의 공간이 눈에 띄었던 적 있으신가요? 처음엔 "조명 때문인가?" 싶어 넘기다가도 웃을 때마다 그 빈틈이 자꾸만 신경 쓰여 입을 가리게 되거나 대화 중에 상대의 시선이 치아로 향하는 게 부담스럽게 느껴질 수 있습니다.
이처럼 점점 신경이 쓰이는데도 왜 갑자기 생긴 걸까? 그냥 두어도 괜찮은 걸까? 시간이 지나면 더 나빠지진 않을까? 이런 생각이 드셨다면 지금 정확한 정보를 확인해볼 때입니다. 오늘 미니쉬치과병원에서는 블랙트라이앵글이 왜 생기는지, 어떤 영향을 주는지, 어떻게 건강하게 해결할 수 있는지 하나씩 자세히 알려드리겠습니다.
블랙트라이앵글이란?

‘블랙트라이앵글(Black Triangle)’은 치아 사이 잇몸이 줄어들거나 간격이 벌어지면서 생기는 삼각형 모양의 어두운 틈을 말합니다. 잇몸이 치아 사이를 충분히 채우지 못할 때 나타나며 웃을 때나 말할 때 특히 눈에 잘 띄기 때문에 심리적인 스트레스를 유발하기도 하죠. 하지만 이 틈은 단순한 미관의 문제를 넘어 음식물이나 세균이 쉽게 쌓일 수 있는 구조가 되어 충치나 잇몸 질환 같은 구강 건강 문제로 이어질 수 있습니다.
블랙트라이앵글이 생기는 원인은?

블랙트라이앵글은 다양한 원인으로 생길 수 있는데요, 다음과 같은 이유들이 대표적입니다
▪ 치주질환
잇몸에 염증이 생기고 점점 약해지면, 잇몸이 내려앉아 치아 사이를 채우지 못하게 됩니다. 치은염, 치주염 같은 질환이 대표적인 원인입니다.
▪ 노화
나이가 들면서 잇몸 조직도 점점 얇아지고 위축됩니다. 이 과정에서 치아 사이가 드러나면서 블랙트라이앵글이 생기기 쉬워요.
▪ 교정 치료 후
교정으로 치아를 이동시키는 과정에서 치아 사이 간격이 생기거나 잇몸이 충분히 따라오지 못해검은 틈이 생기는 경우가 있습니다.
▪ 치아 마모나 손상
치아가 조금씩 닳거나 깨어져서 사이가 벌어지면 그 틈을 잇몸이 채우지 못해 블랙트라이앵글로 이어질 수 있어요.
블랙트라이앵글 방치하면 안 되는 이유는?

단순히 보기 싫다는 이유로만 넘길 수 없는 게 바로 블랙트라이앵글입니다. 그 이유는 다음과 같습니다:
▪ 위생 관리 어려움과 구취 발생 위험
치아 사이에 생긴 블랙트라이앵글은 음식물과 플라그가 쉽게 끼는 구조입니다. 칫솔이나 치실로 완전히 제거하기 어렵기 때문에 세균이 쌓이고 염증이 반복될 수 있어요. 이로 인해 충치나 잇몸병의 위험이 높아지고, 잇몸이 점점 더 내려앉는 악순환으로 이어질 수 있습니다. 또한, 세균으로 인한 구취 발생 가능성도 높아지기 때문에 주의가 필요합니다.
▪ 교합 불균형과 기능 저하
블랙트라이앵글이 장기간 방치되면 염증이 반복되고 잇몸이 점점 더 내려앉으면서 치아를 지지하는 구조가 약해질 수 있습니다. 이로 인해 치아가 흔들리거나 씹는 힘이 고르게 전달되지 않아 기능적 불편으로 이어질 가능성이 있습니다.
▪ 심미 불편과 자신감 저하
말하거나 웃을 때 치아 사이 어두운 공간이 눈에 띄는 것이 신경 쓰여, 무의식적으로 입을 가리거나 자신감을 잃는 경우도 많습니다. 장기적으로는 표정 변화나 대화 습관에도 영향을 줄 수 있어 일상 속 불편이 계속 쌓이게 됩니다.
이처럼 블랙트라이앵글은 미관뿐만 아니라 시간이 지날수록 구강 건강 전반에 불리한 영향을 줄 수 있는 상태입니다. 그래서 적절한 방법으로 관리하고 개선해주는 것이 중요합니다.
블랙트라이앵글, 해결 방법은? 레진

치아 사이 블랙트라이앵글이 눈에 띄면 가장 먼저 고려하게 되는 방법 중 하나가 레진으로 틈을 메우는 방식입니다. 비용 부담이 적고 비교적 간단하게 진행할 수 있어 빠른 개선을 원하시는 분들에게 많이 선택되는 방법입니다. 하지만 레진 역시 장점만 있는 것은 아닙니다. 눈에 보이는 외관 개선에는 효과적일 수 있지만, 시간이 지나면서 생길 수 있는 단점들도 함께 알아두어야 해요.
✔ 레진의 장점
- 시간이 짧고 간단함
공간만 채우는 방식이라 비교적 빠르고 간편하게 진행할 수 있습니다. 복잡한 준비 과정 없이도 바로 적용 가능해 바쁜 일상 속에서도 부담이 적어요.
- 비용이 부담되지 않음
다른 심미 복구 방법에 비해 상대적으로 비용이 낮아, 부담 없이 시도해볼 수 있는 선택지입니다.
- 당일 내 결과 확인 가능
레진은 그 자리에서 형태와 색을 조정할 수 있어, 치료 당일 바로 눈에 띄는 변화가 가능합니다.
✔ 레진의 단점(한계)
- 시간이 지나면 변색될 수 있음
레진은 수분 흡수성이 있는 재료이기 때문에, 구강 내 침, 음식물 색소 등에 지속적으로 노출되면서 시간이 지날수록 변색될 가능성이 높습니다. 초기에는 밝은 색을 유지하지만, 점차 노란빛이나 갈색으로 변해 심미적인 불만이 생길 수 있어요.
- 접착력이 낮아 떨어지거나 들뜸 현상 발생 가능
레진은 치아 표면에 화학적으로 부착되지만, 강한 저작력이나 반복적인 자극에 의해 접착 부위가 약해질 수 있습니다. 특히 치아 사이처럼 물리적 자극이 많은 부위에서는 레진이 떨어지거나 가장자리가 들뜨는 문제가 생기기 쉽습니다.
- 표면 질감이 자연치아와 다르게 느껴질 수 있음
레진은 광택 유지력이 떨어지고 마모에 약하기 때문에, 시간이 지나면 표면이 거칠어지거나 자연치아와의 질감 차이가 두드러지게 됩니다. 이로 인해 ‘붙인 느낌’이 들거나 주변 치아와의 조화가 깨질 수 있어요.
- 기능적 복구에는 한계가 있음
레진은 주로 외형적인 개선에 초점을 둔 재료로, 치아 구조나 씹는 힘의 분산까지 고려된 설계는 어렵습니다. 따라서 치아 본연의 기능적 균형이나 내구성을 회복하기에는 부족한 점이 있습니다.
레진은 짧은 시간 안에 블랙트라이앵글을 메울 수 있어 많은 분들이 선택하지만, 시간이 지나면 변색되거나 들뜨는 현상, 접착력 저하, 자연치아와 다른 질감 등 기능적·심미적 유지에 어려움이 생길 수 있다는 점에서 한계가 존재합니다. 그렇다면 이런 단점을 보완하면서 기능과 심미를 모두 만족시킬 수 있는 방법은 없을까요?
자연치아처럼 건강하게 복구하는 방법, 미니쉬 에버

미니쉬 에버는 블랙트라이앵글을 단순히 메우는 것이 아니라, 기능 회복과 심미 개선을 함께 고려하며, 스캔부터 복구까지 하루 안에 가능한 ‘원데이 시스템’을 통해 빠르고 정밀한 개선이 가능한 치아복구 솔루션입니다.
✔ 미니쉬 에버의 핵심 특장점
- 자연치아와 유사 강도와 탄성
실제 치아와 가장 유사한 물성을 지닌 재료로 제작되어, 씹는 힘이 고르게 분산되며 주변 치아에도 부담을 주지 않습니다.
- 불필요한 치아 삭제 없이 복구
건강한 치아를 최대한 보존하며, 손상된 부분만 정밀하게 복원합니다.
- 오차범위 없는 정밀한 제작을 통한 2차 문제 예방
정밀한 제작과 접착 기술을 통해 치아와 미니쉬 사이에 틈 없는 ‘변연 봉쇄’가 이루어집니다. 이로 인해 세균이 침투할 공간이 최소화되며, 들뜸 현상 없이 안정적인 상태를 유지할 수 있어 2차 충치 발생 가능성도 효과적으로 줄일 수 있습니다.
- 기능 복구 기반의 자연스러운 심미 개선
단순히 빈 공간을 채우는 것에 그치지 않고 씹는 기능과 교합 안정성까지 고려된 정밀 복구로 건강한 치아 구조와 조화로운 인상을 함께 완성합니다.

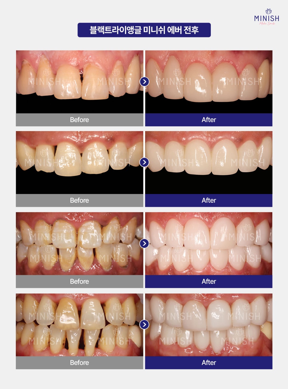
치아 사이 어두운 틈, 하루 만에 달라질 수 있습니다. 변화를 직접 확인하세요.
블랙트라이앵글, 작아 보여도 기능과 인상 모두에 영향을 줄 수 있는 변화입니다. 지금 내 상태에 맞는 정확한 해결 방법이 궁금하시다면, 미니쉬치과병원에서 전문의와 상담받아보세요. 하루 만에 건강한 변화가 가능합니다.


Explore More
Keep Browsing This Clinic's Korean Content Trail.
Return to the source archive for more posts, or move back to the clinic profile to compare the rest of the clinic's public channels.