미니쉬치과병원ㅣMinish Dental Hospital ㅣミニッシュ歯科病院ㅣ美尼仕牙科医院ㅣ美尼仕牙科醫院
[어금니 깨짐] 일상 속 갑작스러운 통증, 원인부터 치료 방법까지
평소 아무 문제 없던 어금니에 갑작스러운 통증이 느껴진 적 있으신가요? 딱딱한 음식을 씹다가, 혹은 특별한 이유 없이 어금니가 시큰거리거나 깨지는 경우가 있습니다. 어금니는 저작 기능을 담당하는 핵심 치아이기 때문에, 문제를 방치하면 구강 건강 전반에 악영향을 줄 수 있습니다. 이번 글에서는 어금니 깨짐의 원인부터...

평소 아무 문제 없던 어금니에 갑작스러운 통증이 느껴진 적 있으신가요? 딱딱한 음식을 씹다가, 혹은 특별한 이유 없이 어금니가 시큰거리거나 깨지는 경우가 있습니다. 어금니는 저작 기능을 담당하는 핵심 치아이기 때문에, 문제를 방치하면 구강 건강 전반에 악영향을 줄 수 있습니다. 이번 글에서는 어금니 깨짐의 원인부터 치료 방법, 그리고 자연치아를 최대한 보존하면서 기능을 복구할 수 있는 솔루션까지 알려드리겠습니다.
어금니 깨짐의 원인

어금니는 음식물을 씹는 데 가장 많은 힘을 받는 부위이기 때문에 반복적인 자극과 압력에 특히 취약합니다. 다음과 같은 요인들이 어금니 손상의 주된 원인이 될 수 있습니다.
- 딱딱하거나 질긴 음식 섭취
얼음, 견과류, 바삭한 과자뿐만 아니라 육포, 오징어, 말린 고기류, 단단한 캔디, 씨 있는 과일(자두·체리 등)도 치아에 강한 충격을 주어 금이 갈 수 있습니다.
- 무의식적인 이 악물기 및 이갈이
수면 중 또는 스트레스 상황에서 무의식적으로 이를 꽉 물거나 갈면, 치아에 미세한 균열이 생기고 시간이 지날수록 손상이 누적됩니다.
- 충치 또는 신경치료 후 약해진 치아
이미 충치로 약해졌거나 신경치료로 내부 조직이 제거된 치아는 구조적으로 약해져 작은 힘에도 파절될 가능성이 높습니다.
- 외부 충격
넘어지거나 스포츠 중 부딪히는 등의 외부 충격이 치아에 직접 전달될 경우, 갑작스럽게 치아가 깨질 수 있습니다.
- 노화로 인한 치아 약화
나이가 들수록 치아는 수분 함량이 줄고, 내부 조직이 단단해지며 탄성이 떨어져 깨질 가능성이 높아집니다.
이런 증상이 있다면? 방치하지 마세요

어금니에 금이 가거나 깨지면 생각보다 다양한 증상이 나타날 수 있습니다. 처음에는 별다른 불편함이 없을 수 있지만, 시간이 지날수록 아래와 같은 증상들이 서서히 드러날 수 있습니다.
- 씹을 때 찌릿한 통증
음식을 씹을 때 한쪽 어금니에 순간적으로 통증이 느껴질 수 있습니다. 특히 딱딱하거나 질긴 음식을 먹을 때 더 잘 나타나며, 깨진 부분이 눌렸다가 벌어지면서 자극이 생기는 경우입니다.
- 차가운 음식에 시린 느낌
금이 간 틈 사이로 찬 공기나 음식이 스며들면 시린 증상이 생깁니다. 이는 치아의 보호층이 약해져 자극이 안쪽까지 전달되기 때문입니다.
- 불편한 느낌, 음식물 잘 끼는 부위
깨진 부분이 날카롭거나 거칠게 남아 있다면 혀에 자꾸 걸리는 느낌이 들 수 있습니다. 또, 음식물이 쉽게 끼고 양치로도 잘 빠지지 않아 불쾌감이 생깁니다.
- 잇몸 붓기나 통증
깨진 부위가 잇몸 가까이까지 영향을 줄 경우, 잇몸이 붓거나 아프고 피가 나기도 합니다. 방치하면 염증이 생기거나 고름이 찰 수 있습니다.
- 치아 조각이 떨어져 나감
금이 점점 깊어지면서 어느 날 갑자기 치아 일부가 부러져 나가는 경우도 있습니다. 이럴 때는 찬물이나 뜨거운 음식을 먹었을 때 심한 통증이 생길 수 있습니다.
- 제대로 치료하지 않으면 치근까지 금이 갈 수 있음
초기 파절을 치료하지 않고 그대로 두면, 금이 점차 치아 뿌리(치근) 부위까지 확장될 수 있습니다. 이 경우 통증이 심해질 수 있고, 최악의 경우 발치가 필요해질 수 있어 조기 진단과 치료가 매우 중요합니다.
이러한 증상을 방치할 경우 치아 손상이 더 심해지고, 결국 신경치료나 발치까지 이어질 수 있어 빠른 대응이 중요합니다.
어금니 깨짐, 어떻게 치료할 수 있을까?

- 레진
치아 손상이 작고, 금이 아주 얕거나 일부 표면 손상에 국한된 경우
특징: 손상 부위에 복합레진(플라스틱 계열 수복재)을 충전해 형태를 복구함
장점:
-
치아 삭제가 거의 없어 부담이 적음
-
비교적 저렴하고, 치료가 1회 내에 끝남
단점:
-
어금니처럼 씹는 힘이 큰 부위에서는 파절, 탈락 가능성이 있음
-
시간이 지나면 변색되거나 마모될 수 있음
-
접착력이 떨어질 경우 경계가 들뜨거나 이물질이 침투해 2차 손상 발생 우려
-
레진 재료 특성상 경화 과정에서 중합수축이 일어나며, 미세간극이 생길 수 있음
-
레진은 인접면 접촉부 유지가 어려워 예후가 불량할 수 있음
📌 주의: 레진은 빠르게 복구가 가능하나, 기능 회복에는 한계가 있어 강한 교합력이 필요한 어금니에는 임시적이거나 제한적인 경우에만 사용됩니다.
- 인레이 / 온레이
손상이 레진 치료로 감당하기 어려울 정도로 넓지만, 치아 전체를 덮을 필요는 없는 경우
특징: 손상된 부위를 정밀하게 제거한 뒤, 치아 모양에 맞춘 인레이(내부) 또는 온레이(외측까지 포함)를 접착함
장점:
-
레진보다 내구성이 뛰어나고 교합 안정성이 높음
-
맞춤 제작으로 자연치아와 유사한 형태 복원 가능
단점:
-
2회 이상 내원이 필요하며, 비용이 레진보다 높음
-
접착 정밀도가 낮으면 경계 부위로 세균 침투 및 2차 충치 가능성 있음
-
온레이 범위가 클 경우, 남은 치아 구조에 무리가 가해져 파절위험 있음
📌 주의: 인레이·온레이는 기능적 복구에 효과적인 중간 단계 치료지만, 적용 부위나 손상 범위에 따라 한계가 있을 수 있어 정확한 진단이 필요합니다.
- 크라운
손상이 깊고 광범위하거나, 신경치료 이후 치아 강도가 크게 약화된 경우
특징: 손상된 치아 전체를 덮어주는 보철물로, 내부를 보호하고 기능을 회복
장점:
-
치아를 완전히 감싸기 때문에 강도와 보호력이 뛰어남
-
어금니처럼 교합력이 높은 부위에서도 안정적 사용 가능
단점:
-
건강한 치아까지 상당량 삭제해야 함 > 건강한 치아 까지 광범위하게 삭제해야 하며, 신경치료가 필요할 수 있음
-
위치나 재료에 따라 잇몸 자극, 경계 누출, 2차 충치 위험
-
올세라믹, 지르코니아,골드 등 재료에 따라 비용 부담이 다름
-
교합되는 치아에 무리가 가거나 깨질 수 있음
-
재치료 시 더 많은 삭제가 필요하고, 반복될수록 치아 수명이 줄어듦
📌 주의: 크라운은 구조적 안정성에는 효과적이지만, 치아 삭제량이 많고 회복 기간이 길 수 있습니다.
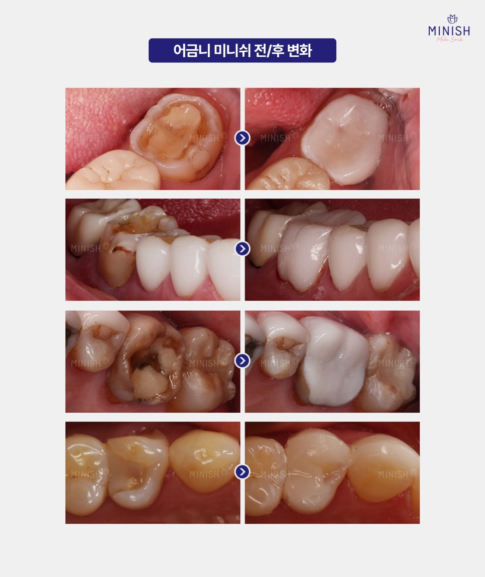
자연치아를 보존하면서 기능적으로 복구하고 싶다면?
어금니 미니쉬

전통적인 치료법은 손상 부위를 ‘보완’하는 방식이지만, 미니쉬는 치아를 자연치아와 유사한 구조로 ‘복구’하는 솔루션입니다. 특히 어금니처럼 기능적 부담이 큰 부위는 단순한 보철이 아닌 구조적인 복구가 중요합니다. 어금니 미니쉬는 치아 손상을 정밀하게 분석한 후, 손상된 부위만 최소한으로 다듬고 기능 복구를 최우선으로 복구합니다.
✔자연치아 유사 재료 사용 : 자연치아와 가장 유사한 재료인 미니쉬블록을 사용해 원래 구조와 동일하게 복구하여 맞물리는 치아에도 부담을 주지 않으며 기능과 내구성을 안정적으로 유지할 수 있습니다.
✔불필요한 치아 삭제 없이 복구: 자연치아를 최대한 보존하며 필요한 부위만 정밀하게 설계해 기능 중심의 복구가 이루어집니다.
✔ 정밀 가공 및 접착 기술: 초정밀 CAD/CAM 기술과 특허 받은 접착 방식으로 틈새 없이 변연봉쇄되어 2차 충치를 예방합니다.
✔ 보존적 방법: 추후 문제가 생기더라도 크라운 등으로 확장 치료가 가능할 만큼 보존성을 고려한 접근이 이루어집니다.

어금니 깨짐은 방치할수록 손상이 심화되고 치료 범위도 넓어지게 됩니다. 초기 증상이 있다면 늦기 전에 진단을 받고, 내 치아를 최대한 살리면서 기능까지 복구할 수 있는 방법을 선택하는 것이 중요합니다. 어금니 미니쉬는 자연치아의 형태와 기능을 그대로 재현하면서도 장기적인 구강 건강을 고려한 치아복구 솔루션입니다. 단순히 덮는 것이 아닌, 자연치아 구조를 그대로 살린 정밀 복구를 통해 정밀 복구를 통해 치아 본연의 역할을 되살려보시기 바랍니다.


Explore More
Keep Browsing This Clinic's Korean Content Trail.
Return to the source archive for more posts, or move back to the clinic profile to compare the rest of the clinic's public channels.