미니쉬치과병원ㅣMinish Dental Hospital ㅣミニッシュ歯科病院ㅣ美尼仕牙科医院ㅣ美尼仕牙科醫院
치아 삭제 없이 가능한 교정! 프리 얼라인
지난 5일 열린 원장단 회의에서는 한혜린 원장이 준비한 ‘미니쉬 하이브리드 활성화'를 주제로 작은 세미나가 진행되었습니다. 한 원장은 본격적인 미니쉬에 앞서, 간단한 배열 개선으로 삭제량을 줄일 수 있는 ‘프리 얼라인(Pre Align)’ 개념을 제시하였습니다. 프리 얼라인은 완전한 교정을 목표로 하기보다는,...

지난 5일 열린 원장단 회의에서는 한혜린 원장이 준비한 ‘미니쉬 하이브리드 활성화'를 주제로 작은 세미나가 진행되었습니다.
한 원장은 본격적인 미니쉬에 앞서, 간단한 배열 개선으로 삭제량을 줄일 수 있는 ‘프리 얼라인(Pre Align)’ 개념을 제시하였습니다. 프리 얼라인은 완전한 교정을 목표로 하기보다는, 최소 삭제를 위한 조건을 마련하는 데 중점을 둡니다. 특히 무삭제 라미네이트를 원하는 환자들에게는 설득력 있는 치료 옵션이 될 수 있다는 설명입니다.

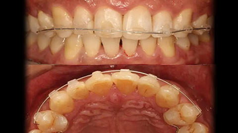
프리 얼라인에 사용하는 장치는 MTA(Mini Tube Alliance)와 클리어라인이 있습니다. 그중 MTA는 크기가 작고 높이가 낮아 착용했을 때 불편감이 적습니다. 또, 아래 앞니에 붙여도 눈에 잘 띄지 않는 장점이 있습니다. 무엇보다 교합(윗니, 아랫니 맞물림)에 영향을 주지 않고 원하는 치아만 골라서 움직일 수 있어 치료 효율이 높습니다. 프리 얼라인이 효과적인 경우는 다음과 같습니다.
-
아래 앞니 배열이 엉켜 있는 경우(하악 전치부 크라우딩)
-
잇몸 사이에 삼각형 모양 공간이 생긴 블랙 트라이앵글
-
살짝 벌어진 치아 간격(경미한 스페이싱)
-
앞니가 약간 돌출된 경우
-
미니쉬 전에 공간 조절이 필요한 경우
반대로
-
치아 배열이 살짝만 어긋나 있어 미니쉬만으로 충분한 경우
-
교합 간섭 때문에 간격이 생긴 경우
-
어금니가 심하게 돌출된 경우
-
윗니 안쪽이 많이 돌아가 있는 경우
등은 프리 얼라인보다 단독 미니쉬 또는 교정과 치료가 더 적합합니다.

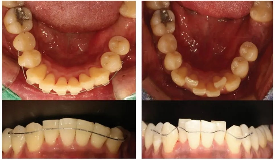
들어간 치아 2개를 2개월 만에 이동시켜 교합면의 심미성을 개선하고 수복물 두께도 최소화
프리 얼라인의 시술 프로토콜도 구체적으로 정리되었습니다. 장치는 앞니 6개 치아에만 부착하며, 처음에는 얇은 와이어(012 또는 010 나이타이)를 사용합니다. 치료 기간은 평균 23개월을 목표로 하며, 약 3주 간격으로 23회 내원하게 됩니다. 특히 첫 방문에서는 반드시 IPR(치간 삭제)을 진행해야 한다고 강조했습니다. IPR은 치아와 치아 사이를 아주 미세하게 다듬어 접촉점을 조정하는 과정입니다. 이렇게 해야 치아가 원하는 방향으로 부드럽게 이동할 수 있습니다. IPR 후에는 치아가 넓적하게 맞닿는 것이 아니라, 원래의 둥근 형태로 자연스럽게 닿도록 마무리하는 것이 중요합니다.
한 원장은 “치아 사이의 아주 작은 접촉 차이가 치아 이동에 큰 영향을 줍니다. 힘의 균형을 깨뜨려야 치아가 원하는 방향으로 움직입니다. 예를 들어, 회전을 더 주고 싶은 치아는 IPR을 조금 더 하고, 움직이지 않도록 유지해야 하는 치아는 접촉면을 건드리지 않는 식으로 전략적으로 접근해야 합니다”라고 설명했습니다.

프리 얼라인의 임상 효과에 대한 선행연구도 함께 소개되었습니다. 연구 결과에 따르면 환자의 심미적 만족도가 높고 구강 내 병원성 세균 농도가 낮으며 장기적으로 치아 탈락, 파절, 이차 우식 같은 합병증 발생률이 낮은 것으로 보고되었습니다.
환자 입장에서도 프리 얼라인을 통해 배열이 먼저 개선되면, 이후 진행하는 미니쉬의 완성도가 높아지고, 불필요한 삭제량을 줄일 수 있습니다. 또한 치료 후 치아의 유지력 향상과 잇몸 건강 안정성 증가까지 기대할 수 있습니다. 한 원장은 “간단한 배열 개선만으로도 삭제량을 줄이고 치주 건강과 심미성을 높일 수 있습니다. 프리 얼라인은 충분히 시도해볼 가치가 있는 방법입니다”라고 강조했습니다.
작은 배열 개선만으로도 치아 삭제를 최소화하고 심미성과 치주 건강까지 함께 높일 수 있는 것이 프리 얼라인의 큰 장점입니다. 무삭제에 가까운 자연스러운 미니쉬 결과를 원하신다면 본격적인 과정 전에 프리 얼라인으로 치아의 기본 조건을 다져보시는 것도 좋은 방법입니다. 미니쉬치과병원은 환자분의 구강 상태와 목표에 맞춘 1:1 진단을 통해 최적의 방향을 제시합니다. 치아 배열과 미소에 대한 고민이 있으시다면 미니쉬치과병원과 상담해보시기 바랍니다.


Explore More
Keep Browsing This Clinic's Korean Content Trail.
Return to the source archive for more posts, or move back to the clinic profile to compare the rest of the clinic's public channels.