미니쉬치과병원ㅣMinish Dental Hospital ㅣミニッシュ歯科病院ㅣ美尼仕牙科医院ㅣ美尼仕牙科醫院
암 극복 후 마주한 치아 부식, 크라운 대신 미니쉬를 선택한 이유는?
항암치료를 받은 환자들에게서는 구강 내 부작용이 흔하게 나타납니다. 특히 침샘이 손상되면 타액 분비가 줄어들어 입안의 균형이 무너질 수 있습니다. 타액은 구강 내 미생물을 조절하고 청결을 유지하는 역할을 하지만, 침샘 기능이 저하되면 충치균이 활발해져 치아 손상이 빠르게 진행됩니다. 이로 인해 항암치료 이후 다발성...
Archive Summary
이 페이지의 역할
미니쉬치과병원ㅣMinish Dental Hospital ㅣミニッシュ歯科病院ㅣ美尼仕牙科医院ㅣ美尼仕牙科醫院의 네이버 블로그 원문을 보존한 아카이브 페이지입니다. 증상별 미니쉬솔루션 카테고리의 암 극복 후 마주한 치아 부식, 크라운 대신 미니쉬를 선택한 이유는? 글을 통해 병원의 한국어 정보 제공 방식과 진료 관련 안내 톤을 확인할 수 있습니다.

항암치료를 받은 환자들에게서는 구강 내 부작용이 흔하게 나타납니다. 특히 침샘이 손상되면 타액 분비가 줄어들어 입안의 균형이 무너질 수 있습니다. 타액은 구강 내 미생물을 조절하고 청결을 유지하는 역할을 하지만, 침샘 기능이 저하되면 충치균이 활발해져 치아 손상이 빠르게 진행됩니다. 이로 인해 항암치료 이후 다발성 치아우식증이 자주 발생하게 됩니다. 고객님 역시 긴 치료 과정을 마치고 건강을 회복했지만, 약해진 치아로 인해 불편을 겪어야 했습니다.

항암치료 후 다발성 치아우식증으로 치아색상이 전반적으로 검게 변하고 기능적으로도 마모와 부식으로 저작에 어려움을 겪은 고객님
50대 초반 고객님은 항암치료 이후 다발성 치아우식증으로 인해 치아 색상이 전반적으로 어두워졌으며, 마모와 부식으로 저작에 어려움을 겪었습니다. 미니쉬는 항암 부작용으로 손상된 치아를 회복하기 위한 마지막 희망이었습니다.

미니쉬 이 후 건강한 치아를 되찾은 고객님
손상 정도가 심해 포기를 고민했던 고객님은 미니쉬를 통해 치아 건강을 되찾았습니다. 또한 비슷한 어려움을 겪는 분들에게 희망을 전하고 싶다며 인터뷰에 응했습니다.
항암치료 후 완전히 달라진 치아 상태
50대 고객님은 5년 전 몸에 이상을 느껴 병원 진료를 받았고, 암 진단을 받게 되었습니다. 항암치료를 받는 동안 가족들의 끊임없는 보살핌과 도움으로 암을 이겨내고 건강을 되찾을 수 있었습니다. 항암치료를 받을 당시에는 치료에 집중하느라 큰 변화를 느끼지 못했지만, 치료가 끝난 후 거울을 보니 이전에는 건강하던 치아가 곳곳이 검게 변해 있었습니다. 치아 상태가 너무 악화되어 과연 회복이 가능할까 의문이 들 정도로 절망적인 상황에 놓이게 되었습니다.

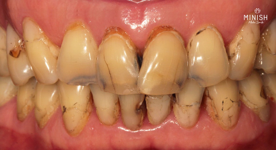
치료 전 고객님의 치아 상태, 잇몸과 경계가 패인 흔적, 레진 보강, 크랙으로 착색된 부분을 확인할 수 있습니다.
처음에는 목숨을 구한 것만으로도 감사하다고 생각해 손상된 치아는 감수하려 했습니다. 그러나 충치로 인한 통증뿐 아니라 마모와 부식으로 인해 딱딱한 음식을 씹기 어려웠습니다. 항암치료 전에는 생활이나 식사에서 특별한 불편이 없었지만, 항암 이후에는 특히 단맛이나 신맛이 있는 음식을 먹을 때 심한 시림이 느껴져 일상생활에 큰 어려움을 겪었습니다. 기능적인 불편 외에도 사람들 앞에서 입을 열기 어려워진 점이 가장 힘들었다고 합니다. 또한 아팠던 기억을 잊고 싶었지만, 손상된 치아를 볼 때마다 그 시절이 떠올라 심적으로도 큰 부담을 느꼈습니다.
다른 병원 원장님 권유로 알게 된 미니쉬
항암치료 후 치아 상태가 문제였지만, 더 큰 문제는 치아가 계속 나빠지고 있다는 점이었습니다. 이러한 상황에서 고객님은 기존에 다니던 치과에서 스케일링과 레진 등 여러 번 관리를 받았습니다. 그러나 잦은 재발과 광범위한 관리 필요성 때문에 문제 해결이 어렵다고 판단한 기존 병원 원장님께서 조심스럽게 미니쉬를 권유했습니다.
자연치아를 최대한 보존하는 것이 중요한데 일반적인 방법으로는 치아를 많이 깎아야 하는 상황이어서 쉽게 결정을 내리기 어려웠습니다. 그러나 미니쉬로는 가능할 것 같다는 다른 병원 원장님의 권유로 고객님은 새로운 희망을 가질 수 있었습니다. 고객님과 같은 치아 상태라면 일반적으로 치아 전체에 크라운 관리를 진행합니다. 신경 치료도 동반되며 기간도 오래 걸립니다. 항암치료로 몸과 마음이 지친 고객님에게는 이러한 전악 관리 방식은 적절하지 않습니다.
미니쉬 전 가장 걱정했던 부분
미니쉬 전, 기대와 함께 떨림과 두려움도 있었습니다. 상태가 좋지 않아 혹시 관리가 불가능하다는 이야기가 나오면 어쩌나 걱정이 되었습니다. 하지만 미니쉬가 잘 진행되어 건강한 치아를 되찾는 모습을 상상하며 희망을 가졌습니다. 절망적이던 고객님이 미니쉬를 통해 바란 것은 무엇이었을까요. 사람들 앞에서 당당하게 웃고 말하며, 새로운 경험과 생활을 즐기고 싶다는 마음이 간절했습니다.

미니쉬 전 고객님
치아가 건강하지 못해 가장 어려웠던 점은 새로운 사람을 만날 때 주저하게 된다는 것이었습니다. 자신도 모르게 손으로 입을 가리고, 사진을 찍을 때는 치아가 보이지 않도록 살짝 미소만 지을 수 있었습니다. 또한 원래 단 음식을 즐기지 않았지만, 마음이 힘들 때는 달콤한 음식으로 위로받고 싶은 마음이 들었습니다. 그러나 단 음식을 먹으면 찌릿한 느낌 때문에 먹을 수 없는 상황이었습니다. 어쩔 수 없이 건강식 위주로 식사하게 되었는데, 물론 몸에는 좋지만 가끔은 기분을 올려주는 달콤한 음식을 즐기고 싶은 마음은 누구나 공감할 수 있을 것입니다. 미니쉬로 치아 건강을 되찾으면, 이러한 모든 불편과 제약이 해결됩니다.
다발성 치아우식증 환자의 미니쉬
미니쉬치과병원 이상길 원장은 전체 치아에 대한 관리 계획을 세우고 속치료를 완료한 뒤 3일 동안 미니쉬로 전악수복을 진행했습니다. 이를 통해 항암치료의 부작용으로 발생한 다발성 치아우식증 환자의 치아 건강을 회복할 수 있었습니다.

치료하는 미니쉬치과병원 이상길 원장님
방사선치료로 다발성 우식을 다년간 겪어온 고객님의 경우, 향후 5년, 10년 뒤 치아 상태가 우려되는 케이스였습니다. 이상길 원장은 "암이라는 큰 아픔을 이미 겪었기에 치아까지 손상되지 않도록 진심을 담아 관리에 임했습니다"라고 말했습니다. 이번 미니쉬에서는 겉으로 드러나는 치아 상태의 개선뿐 아니라, 치주 관리를 통해 치아 속까지 건강하게 회복하는 데 중점을 두었습니다. 두 달간 진행된 치주 관리가 끝난 시점에는 모든 치아가 치수 생활력을 유지하고 있으며, 시림이나 통증이 없는 상태였습니다.
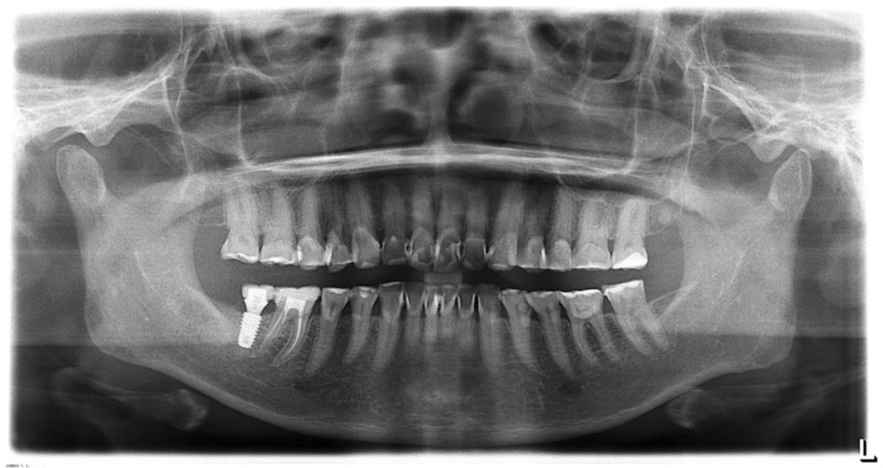
관리 전후 파노라마 사진을 보면 신경치료가 전혀 필요 없음을 확인할 수 있습니다. 일반적인 접근 방식인 '신경을 제거하고 크라운을 씌우는 방법'과는 다른 결과를 만들었습니다.

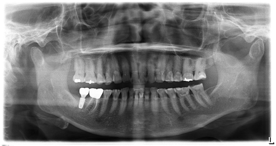
내원 당시 고객님의 파노라마 사진

미니쉬 이후 파노라마 사진, 다발성 우식증이지만 다행스럽게도 신경치료는 없었습니다.
그러나 아직 미적으로는 완벽하지 않은 상태였습니다. 세팅 과정을 고려해 3일에 걸쳐 미니쉬을 진행함으로써, 기능적 회복은 물론 심미적 부분까지 만족스럽게 개선되었습니다. 항암 부작용으로 다발성 치아우식증을 겪은 고객님에 대한 관리는, 치아 앞·뒷면을 모두 감싸는 듀얼미니쉬 방식으로 진행되었습니다. 듀얼미니쉬는 치아 파절, 마모, 부식, 크랙 등 광범위한 손상이 있는 경우, 추가 손상을 최소화하고 건강한 치아를 되찾고자 하는 분들에게 적합한 선택이 될 수 있습니다.

<듀얼미니쉬 자세히 알아보기>
치료와 치아복구 솔루션 미니쉬 모두 마친 뒤
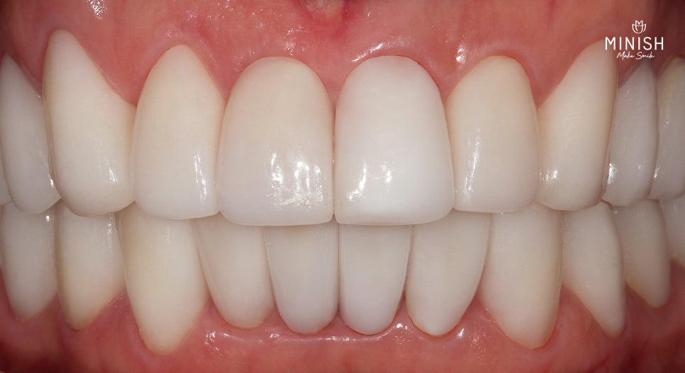
기능적, 심미적 복구한 치아


고객님은 미니쉬를 처음 접했을 때, 절박한 상황이어서 깊이 공부하고 고민할 시간이 많지 않았다고 말했습니다. 무방비 상태에서 진행했지만, 추천해주신 원장님을 믿고 관리를 시작했습니다. 그러나 진행하면서 신뢰가 더욱 높아졌다고 전했습니다. 치아 문제가 많아 속치료에 시간이 걸렸고, 3일에 걸쳐 미니쉬를 완성한 뒤 새로운 치아에 적응하는 과정을 거쳤습니다. 현재는 상태가 매우 좋아졌으며, 앞으로는 깨끗한 치아로 밝게 생활할 수 있게 되었다고 환한 웃음을 지었습니다. 신 음식이나 단 음식을 먹을 때 느껴지던 찌릿한 통증은 사라졌으며, 치아가 근본적으로 회복되었다는 안도감과 편안함을 갖게 되었다고 합니다.
특히 만족스러운 부분은 치아 색상이 밝아진 것입니다. 이전에는 누렇고 검게 변한 치아를 개선할 방법이 없다고 생각했지만, 미니쉬로 그 어려움을 해결할 수 있었습니다.
미니쉬 후 가장 달라진 점은?
고객님은 미니쉬로 치아가 새로 태어나면서 자신감이 커진 것을 가장 큰 변화로 꼽았습니다. 아픈 이후 주로 집에서만 생활하며 활력을 잃었지만, 치아 상태가 좋아진 후 가장 먼저 구직에 나섰습니다. 치아 관리를 진행하며 원서를 제출하고, 면접을 본 뒤 합격해 일을 시작하게 되었다는 기쁜 소식도 전했습니다. 특히 사진을 찍을 때 환하게 웃을 수 있게 되었으며, 주변에서는 치아가 너무 깨끗해 치아만 보인다고 말할 정도로 활짝 웃는 일이 많아졌습니다.
지인과 가족들의 반응도 긍정적이었습니다. 주변에서도 고객님의 치아 상태에 대한 고민을 알고 있었기에 기대가 컸습니다. 미니쉬 이후 만난 이들은 “정말 잘했다”, “나도 하고 싶다”, “치아가 너무 깨끗하다” 등 다양한 반응을 보였으며, 무엇보다 스스로 만족하는 모습이 보기 좋다는 평가가 많았습니다. 마지막으로 미니쉬를 고민하는 분들에게 솔직한 한마디를 전하자면, 고객님은 “미니쉬가 해결 방안이 될 수 있다면 적극적으로 추천하고 싶다. 손을 쓸 수 없는 절망적인 상황이 또 있을까. 치아 때문에 힘든 부분이 있다면 주저하지 말고 미니쉬를 선택하라”고 말했습니다.
이번 사례를 통해, 항암치료 후 다발성 치아우식증으로 어려움을 겪는 분들도 미니쉬를 통해 건강하고 아름다운 치아를 되찾을 수 있음을 알 수 있습니다. 기능적 회복과 심미적 개선을 동시에 이루며, 일상생활과 자신감 회복에도 큰 도움을 줍니다.
치아 문제로 고민하고 있다면, 전문가의 도움을 받아 적절한 방법을 확인해 보시길 바랍니다. 미니쉬는 광범위한 치아 손상이 있는 경우에도 실질적인 해결책이 될 수 있습니다. 건강한 치아로 밝은 일상을 되찾는 여정에 미니쉬가 함께하길 바랍니다.


Explore More
Keep Browsing This Clinic's Korean Content Trail.
Return to the source archive for more posts, or move back to the clinic profile to compare the rest of the clinic's public channels.