미니쉬치과병원ㅣMinish Dental Hospital ㅣミニッシュ歯科病院ㅣ美尼仕牙科医院ㅣ美尼仕牙科醫院
단 하루 만에 치아 교정이 가능할까?
사진을 찍거나 식사를 할 때, 혹은 대화를 나눌 때 자연스럽게 드러나는 것이 바로 치아입니다. 치아가 벌어져 있거나 고르지 못해 웃을 때마다 신경이 쓰였던 경험이 있다면, 한 번쯤 치열 개선을 고민해보셨을 수 있습니다. 하지만 일반적인 치아교정은 기간이 길고 장치를 부착해야 한다는 부담 때문에 쉽게 결정하기 어려운...

사진을 찍거나 식사를 할 때, 혹은 대화를 나눌 때 자연스럽게 드러나는 것이 바로 치아입니다. 치아가 벌어져 있거나 고르지 못해 웃을 때마다 신경이 쓰였던 경험이 있다면, 한 번쯤 치열 개선을 고민해보셨을 수 있습니다. 하지만 일반적인 치아교정은 기간이 길고 장치를 부착해야 한다는 부담 때문에 쉽게 결정하기 어려운 경우가 많습니다. 이런 이유로 단기간에 치열 개선을 고려하는 분들을 위해 미니쉬치과병원에서는 치열 개선을 목표로 한 치아복구 솔루션, ‘미니쉬하모니’를 제안하고 있습니다.
치열 개선을 위한, 미니쉬하모니란?


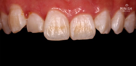
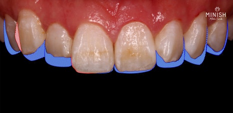
미니쉬 전

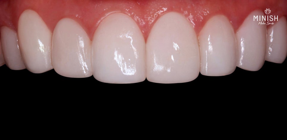
미니쉬 후 건강한 치아 모습
미니쉬하모니는 벌어지거나 틀어진 치아, 불규칙한 치아 배열을 정돈하는 데 초점을 둔 솔루션입니다. 미니쉬는 생체모방이론을 기반으로 자연치아와 유사한 물성을 지닌 재료를 활용해 치아 표면을 최소한으로 정돈하고, 부족한 부분을 보완하는 치아복구 솔루션 미니쉬입니다. 이를 통해 치아의 기능 회복과 함께 자연스러운 치열 개선을 동시에 고려할 수 있도록 설계되었습니다.
미니쉬하모니는 치아의 위치를 이동시키는 방식이 아닙니다. 브라켓, 철사, 투명교정 장치 등을 부착하거나 탈착할 필요가 없으며, 불필요한 손상을 최소화하는 방향으로 진행됩니다. 또한 단순히 배열만 정리하는 것이 아니라, 교정만으로는 개선이 어려운 치아의 비율이나 형태, 색감, 질감까지 함께 고려할 수 있다는 점이 특징입니다.
미니쉬하모니와 일반 치아교정의 차이
일반적인 치아교정은 평균적으로 18개월에서 36개월 정도가 소요되며, 개인의 치열 상태에 따라 기간 차이가 발생합니다. 경우에 따라 12개월 이내로 마무리되는 경우도 있지만, 장기간이 필요한 것이 일반적입니다. 반면 미니쉬하모니는 하루 만에 진행이 가능하다는 점에서 차이를 보입니다. 앞니, 부분 치열, 덧니, 벌어진 치아, 틀어진 치아 등 다양한 형태의 치아에 적용이 가능하도록 설계된 치아복구 솔루션입니다.
치아교정 과정에서 발생할 수 있는 부담 요소

치아교정 과정 중 부담으로 언급되는 부분 중 하나는 치아 삭제입니다. 치아 사이의 간격이 부족하거나 치아가 겹쳐 있는 경우, 교정 과정에서 간격 확보를 위해 치아 삭제가 동반되는 경우가 있습니다. 특히 투명교정의 경우 발치가 어려운 특성상 치아 삭제가 선택되는 사례도 있습니다.

치아의 가장 바깥층인 에나멜(법랑질)이 손상되면 내부의 덴틴(상아질)이 노출될 수 있습니다. 이로 인해 치아 사이가 점이 아닌 면으로 맞닿게 되면서, 음식물이 잘 끼거나 관리가 어려워질 수 있습니다. 이러한 구조 변화는 충치나 잇몸 염증의 원인이 될 가능성뿐 아니라, 심미적인 만족도에도 영향을 줄 수 있습니다.

치아교정은 배열 개선에 초점이 맞춰져 있어, 치아의 모양이나 비율, 질감, 색상까지 함께 개선되지는 않습니다. 교정 후에도 또 다른 치아 콤플렉스가 발생할 수 있기 때문에, 치아 간 비율까지 고려한 접근이 필요하다는 점을 생각해볼 수 있습니다.
미니쉬하모니 정품인증과 보증

미니쉬치과병원에서는 미니쉬하모니에 대해 정품인증 시스템을 운영하며, 최대 15년의 보증을 제공하고 있습니다. 정품인증은 미니쉬 연구소, 미니쉬블록, 그리고 미니쉬 프로바이더에 대한 보증을 포함합니다. 보증서는 제공되는 QR코드를 통해 간단하게 확인할 수 있습니다.

치아는 받은 직후보다 시간이 지나면서 구조적인 문제가 드러나는 경우가 많습니다. 건축물이 시간이 흐른 뒤 균열이나 누수가 나타나는 것과 유사하게, 치아 역시 재료의 특성과 구조적 안정성이 중요하게 작용합니다. 자연치아의 성질을 고려하지 않은 접근은 시간이 지날수록 문제로 이어질 수 있습니다.
다양한 치아교정 방법과 고민 지점

치아교정에는 메탈교정, 세라믹교정, 설측교정, 투명교정 등 다양한 방식이 있습니다. 교정 기간이 짧게는 수개월, 길게는 수년까지 이어질 수 있어 결정에 부담을 느끼는 경우도 많습니다. 이러한 고민 속에서 크라운, 라미네이트, 급속교정과 같은 방식이 대안으로 언급되기도 하지만, 치아 삭제량이나 인위적인 결과에 대한 부담이 따르기도 합니다.
자연치아에 가까운 접근이란?

자연치아와 유사하다고 평가되기 위해서는 생체친화성, 기능성, 심미성, 유사성, 수명 등 여러 요소가 함께 고려되어야 합니다. 미니쉬치과병원에서 적용하는 미니쉬하모니는 자연치아와 유사한 물성의 재료와 정밀한 제작 과정을 기반으로, 이러한 요소들을 종합적으로 고려해 설계되었습니다.

미니쉬하모니는 개인별 스마일라인과 안모 분석을 통해 맞춤형 치열 배열을 계획합니다. 불필요한 삭제 없이 치아를 정돈한 뒤, 부족한 부분을 자연치아와 유사한 물성의 재료로 보완합니다. 이를 위해 미니쉬치과병원에서는 오랜 임상 데이터를 바탕으로 개발된 미니쉬블록을 활용하고 있습니다.
미니쉬하모니 진행 과정



미니쉬하모니는 개인별 스마일라인과 안모 분석을 통해 맞춤형 치열 배열을 계획합니다. 불필요한 삭제 없이 치아를 정돈한 뒤, 부족한 부분을 자연치아와 유사한 물성의 재료로 보완합니다. 이를 위해 미니쉬치과병원에서는 오랜 임상 데이터를 바탕으로 개발된 미니쉬블록을 사용하고 있습니다.
미니쉬하모니 후 변화

틀어진 치아에 미니쉬하모니를 적용한 경우, 치아 구조상 부족한 부분을 보완해 짧은 기간 안에 치열 정돈이 가능합니다. 장기간의 교정이나 장치 착용에 대한 부담 없이 치열 개선을 고민하는 분들에게 하나의 선택지로 고려될 수 있습니다.
오늘은 치열 개선 치아복구 솔루션 미니쉬하모니에 대해 정리해보았습니다. 치아교정 기간과 장치 부담으로 고민하고 계신 분들께 참고가 되길 바랍니다.


Explore More
Keep Browsing This Clinic's Korean Content Trail.
Return to the source archive for more posts, or move back to the clinic profile to compare the rest of the clinic's public channels.