명동콤비치과의원 (명동)
앞니 신경치료 치근단 염증이 발생한 사례
충치가 심해져서 치아의 뿌리 부분에 염증이 발생되어 있는 상태 앞니가 깨졌거나 충치가 심해 졌을 때! 안녕하세요 콤비TV의 치과의사 황용인입니다. 치과에 찾으시는 이유 중에 상당 부분은 충치로 인한 경우가 많은데 보통 식사를 하실 때 어금니가 저작기능에 있어서 주된 역할을 하고 있고 사랑니와 인접하기 때문에 어...
아카이브 요약
이 페이지의 역할
명동콤비치과의원 (명동)의 네이버 블로그 원문을 보존한 아카이브 페이지입니다. 치아스토리♡ 카테고리의 앞니 신경치료 치근단 염증이 발생한 사례 글을 통해 병원의 한국어 정보 제공 방식과 진료 관련 안내 톤을 확인할 수 있습니다.

충치가 심해져서 치아의 뿌리 부분에 염증이 발생되어 있는 상태
앞니가 깨졌거나 충치가 심해 졌을 때!
안녕하세요 콤비TV의 치과의사 황용인입니다.
치과에 찾으시는 이유 중에 상당 부분은 충치로 인한
경우가 많은데 보통 식사를 하실 때 어금니가 저작기능에
있어서 주된 역할을 하고 있고 사랑니와 인접하기
때문에 어금니에 유독 문제가 발생되는 경우가 많습니다.
하지만 어금니 못지않게 앞니 역시도 충치가 발생되기
쉬운 부위 중에 하나인데요.
앞니의 경우 칫솔질은 어금니에 비해서 잘 되기 때문에
청결관리에 있어서는 어렵지 않은 부위이지만
치아가 얇은 편이기 때문에 마모나 깨짐이 발생되기 쉽고
그로 인해서 충치가 발생하더라도 내부 충치로 이어지기도 하며
흡연이나 커피를 자주 하실 경우에 변색이 되기도 합니다.
그 외에도 사고로 인해 앞니가 깨지는 경우도 많이 있고
식사를 하시던 도중에 너무 딱딱한 음식이나 실수로 인해
이가 깨진다거나 이갈이와 같은 안 좋은 습관이 있는 경우와
같이 여러 원인으로 문제가 발생하게 됩니다.

(신경 치료 후 염증이 없어지지 않으면 발치의 위험이 있기 때문에 치료 시기가 중요함)
사람의 인상에 있어서 대화를 하고 웃을 때 주로 보이는 치아 부위가
앞니인 만큼 약간 깨진다거나 변색, 충치 등이 발생되었을 때
당장의 통증도 걱정이 되시겠지만 심미적으로 치료를 해야 한다는 점에서도 중요합니다.
앞니 신경치료가 필요할 정도로 충치가 심해진 경우에는
제때 치료하지 않으면 치아의 뿌리까지 손상이 심해질 수 있고
심한 경우 발치 후 임플란트를 해야 할 수 있기 때문에
치료 시기가 늦어지지 않도록 주의해야 합니다.
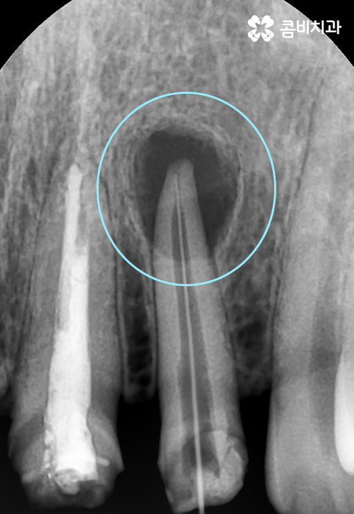
위 엑스레이 사진의 경우 앞니 신경치료 전 상태이며 염증이
치아 뿌리 끝 쪽에 발생하여 신경치료가 필요한 상황입니다.
보통은 충치가 내부까지 발생을 하게 될 경우
통증을 심하게 느끼시는 분들이 많지만 환자분들에
따라서 통증에 대한 민감도는 차이가 있을 수 있기 때문에
평상시 이가 시리다거나 통증과 같은 불편함이
있다면 늦지 않게 검진을 받는 것이 치료 시기를
놓치지 않고 치아의 손상을 줄일 수 있는 방법입니다.

위 사진은 앞니신경치료 후 모습이며 염증의 크기는 시간이 경과하면서 조금씩 줄어들게 됩니다.

(시간이 경과하면서 염증이 상당 부분 줄어든 것이 확인이 됩니다.)
많은 분들께서 치과에 충치를 치료하기 위해 오실 경우
되도록 신경치료만큼은 피하고 싶다는 생각을 많이 해보셨을 텐데요.
그 이유라고 한다면 아무래도 신경을 제거해야 하기 때문에
통증에 대한 걱정도 많이 하시고 경제적인 손실이나
일상생활에 지장을 느끼는 부분 등이 클 것입니다.
하지만 신경치료 단계는 자연치아를 살리는 중요한 시점이므로
이때 제대로 치료하지 않는다면 영구치를 잃게 되는
상황이 발생할 수도 있다는 점에서 건강하게 잘 치료하는 것이 중요합니다.
앞니의 경우에는 유독 다른 치아 부위보다
심미적으로 더 많은 신경이 쓰일 수밖에 없는 부위이기도 합니다.

흔히 신경치료를 하게 될 경우 충치로 인한 경우를 많이 생각하시지만
앞니의 경우 얼굴의 앞 부분에 위치하고 있다는 점에서
사고로 인해 이가 부러지거나 깨지는 경우도 많으며
흡연을 자주 하시는 분들의 경우에는 치아 변색이나 치석으로
인해서 충치, 치주염을 겪게 되기도 합니다.



앞니 충치치료에 많이 쓰이는 방법?
앞니가 깨졌거나 충치가 발생되었을때 치료 방법은
기본적으로 치아 색과 비슷한 재질의 재료를
많이 쓰이게 되는데 치아의 손상이 심하지 않다면
레진으로 간단하게 치료가 되는 경우도 많습니다.
하지만 충치가 깊어질수록 라미네이트를 활용하게 되기도 하며
앞니 신경치료 필요한 상황일 경우에는
올세라믹이 많이 활용되고 경우에 따라서는
지르코니아 크라운을 씌우게 되는 경우도 있습니다.





어금니와 앞니를 치료할때 차이점?
평소 식사를 하실 때 느끼시겠지만 앞니와 어금니의 역할적인 차이는
상당한데 보통 앞니는 음식물을 잘라주는 역할을 많이 한다면
어금니의 경우 잘게 씹고 음식물을 소화하기 좋은 상태로 만드는 역할을 합니다.
어금니는 앞니에 비해 저작기능에 있어서 주된 역할을 한다는 점과
위치적으로 볼 때도 심미적인 부분에 비해 내구성을 보다 신경 써야 하는 부위입니다.


그렇기 때문에 어금니의 경우 흔히 금니라고 불리는 크라운을
치료에 많이 쓰기도 하지만 앞니에는 주변 치아와의 조화를 보다 신경 써서
치아의 색과 모양, 내구성까지 고려한 올세라믹과 같은 치료방법이 많이 쓰이는 것입니다.
보다 자세한 내용이 궁금하시다면 아래 영상을 참고하시길 바라며
궁금하신 점이 있다면 언제든지 덧글로 남겨주세요^^
더 보기
이 병원의 공개 콘텐츠를 계속 살펴보세요
출처 아카이브로 돌아가 더 많은 글을 보거나, 병원 프로필로 이동해 다른 공개 채널도 함께 비교해보세요.