아카이브 요약
이 페이지의 역할
명동콤비치과의원의 네이버 블로그 원문을 보존한 아카이브 페이지입니다. 치아스토리♡ 카테고리의 성장기치아교정 어떻게 접근하는 것이 좋을까 글을 통해 병원의 한국어 정보 제공 방식과 진료 관련 안내 톤을 확인할 수 있습니다.
원문 검증
필요하면 원문 블로그와 병원 프로필로 바로 이동해 문맥을 다시 확인할 수 있습니다.
출처 아카이브 열기아카이브된 블로그 글
명동콤비치과의원 · Naver Blog
(반대교합과 주걱턱으로 인해 TTBA라는 성장기 교정 장치를 활용한 사례) 안녕하세요. 콤비TV의 치과의사 황용인 원장입니다. 아이를 키우다 보면 주기적으로 건강검진을 받게 되는데 이때 빠지지 않는 것이 바로 구강검진입니다. 아이들이 구강검진을 주기적으로 해야 하는 이유라면 충치가 발생하기 쉽기 때문에 조기...
게시일
2020년 3월 27일
원문 기준으로 확인된 발행일입니다.
카테고리
치아스토리♡
원문 블로그 카테고리를 정리해 함께 표시합니다.
이미지 수
20
현재 아카이브에 연결된 이미지 수입니다.
아카이브 요약
명동콤비치과의원의 네이버 블로그 원문을 보존한 아카이브 페이지입니다. 치아스토리♡ 카테고리의 성장기치아교정 어떻게 접근하는 것이 좋을까 글을 통해 병원의 한국어 정보 제공 방식과 진료 관련 안내 톤을 확인할 수 있습니다.
원문 검증
필요하면 원문 블로그와 병원 프로필로 바로 이동해 문맥을 다시 확인할 수 있습니다.
출처 아카이브 열기
(반대교합과 주걱턱으로 인해 TTBA라는 성장기 교정 장치를 활용한 사례)
안녕하세요. 콤비TV의 치과의사 황용인 원장입니다.
아이를 키우다 보면 주기적으로 건강검진을 받게 되는데
이때 빠지지 않는 것이 바로 구강검진입니다.
아이들이 구강검진을 주기적으로 해야 하는 이유라면
충치가 발생하기 쉽기 때문에 조기 치료를
하기 위한 부분도 크겠지만 치열 상태와 교합이
잘 맞물리고 있는지 확인을 하는 것도 중요합니다.
흔히 교정치료는 성장기에 시작을 하는 것이 좋다고
많이 알려져 있는데요. 성장기치아교정은 여러 장점이
있겠지만 성장 조절이 가능하기 때문에 부정교합이 있는 경우
비수술적인 방법을 통해서 개선이 가능한 경우가 많습니다.
자녀분께서 치열이 불규칙하다면 물론 걱정이 되겠지만
부정교합까지 있는 경우에는 건강에도 안 좋은 영향을
줄 수 있기 때문에 치료가 시급하다고 느끼시는 분들도
많이 계실 것 같습니다.
성장기치아교정은 언제부터 시작하는 것이 좋을까?

요즘 아이들의 경우 어렸을 때부터 외모에 관심이 많고 민감하기 때문에
앞니가 벌어져 있거나 약간의 덧니에도 교정 치료를 생각하는 경우도
많지만 위 사례 이미지와 같이 교합이 맞물리지 않는 경우에는
심미적인 부분을 떠나서 식사를 할 때마다 불편함을 느끼게 된다거나
발음이 새고 턱관절에 무리가 올수 있는 등 건강 상의 문제가 발생할 수 있습니다.

(위턱과 아래턱의 성장 불균형으로 인해 주걱턱이 발생한 사례)
위와 같은 사례를 부정교합 중에서도 반대교합이라고 하는데
성장기에 턱이 성장을 할 때 아래턱이 과도하게 발달을 하거나
반대로 위턱의 성장이 부족한 경우에 이와 같은 주걱턱 증상이 발생할 수 있습니다.
구강검진을 통해서 이러한 골격 부조화를 조기에 발견하여
치료를 시작할 경우 아래턱은 성장을 억제시키고
위턱은 성장을 유도하는 TTBA라고 하는 성장기 교정 장치를
활용하여 주걱턱의 교정이 비수술적인 방법으로 가능합니다.
만약 이러한 반대교합이 있는 상태로 성인이 되어 성장이 멈춘다면
흔히 양악 수술이라 불리는 수술을 치아교정과 병행해야 할 수 있기
때문에 성장기치아교정이 가능한 시기를 잘 활용하는 것이 좋습니다.

(3개월 정도 후 성장 조절 치료를 통해서 주걱턱이 점점 개선되고 있는 모습)
주의해야 할 점은?
위 사례의 경우 초등학생 저학년의 시술 사례인데
아직 어린 나이이고 통증에 예민할 수 밖에 없는 시기이기 때문에
부모님의 각별한 주의와 관심이 필요합니다.
환자 본인 스스로 주의사항을 잘 지키고 충분한 협조가
필요하기 때문에 자녀에 대한 많은 배려가 필요하고
성장을 예측하면서 시술이 진행되어야 하기 때문에
담당의와의 주기적인 소통을 통해 경과가 잘 진행되도록 해야 합니다.

성장기 치아교정에 활용되는 성장 조절 장치는 TTBA 외에도 다양한데
위턱 성장이 과도한 경우에는 헤드기어라는 구외 장치를 활용하기도 하고
그밖에 핑거 스프링, 페이스 마스크 등이 환자의 상태에 따라서 활용됩니다.

(반대교합, 주걱턱 교정치료가 시작된지 1년 후의 모습)
성장기치아교정의 큰 장점 중에 하나라면 성인에 비해서
진료 기간이 단축된다는 점인데 치아의 이동이 빠르고
치주조직이 빠르게 적응을 한다는 점에서도 유리합니다.


부정교합이 있는 경우 나이가 들수록 턱관절에 무리가 온다거나
식사를 하실 때 교합이 잘 맞물리지 않아서 음식을
대충 씹어서 삼키다 보면 소화불량을 만성적으로 겪기도 합니다.
영구치가 모두 나오고 성장이 멈추는 시기가 되면
치아의 이동 공간을 고려할 때 발치를 해야 한다거나
수술이 함께 병행되어야 하는 경우도 있기 때문에
가능하다면 부정교합은 어릴때 개선을 해주시는 것이 좋습니다.

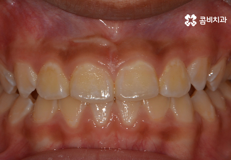
앞니가 반대로 물리고 있던 상황(주걱턱)에서 정상적으로 앞니가 물리게 되었음
청소년기에는 성인과 어떤 차이가 있을까?
"소아의 경우 성장 조절을 적극 활용하기 좋은 시기라고 한다면
청소년기가 되면 영구치가 이미 다 나와있는 경우가 대부분이며
요즘은 워낙 성장 속도가 빠른 경우가 많고 개인차도 크기
때문에 정확한 시술 계획의 경우 정밀 검진부터 꼭 받아보셔야 합니다."




보통 교정치료를 많이 받는 시기라고 한다면 소아에서 청소년기까지
활발하게 많이 받고 성인 이후에는 취업 전까지 많이 받습니다.
요즘은 중장년층의 치아교정 사례도 나날이 늘고 있는 추세인데요.
기대수명이 워낙 높아짐에 따라서 중년 이후에도 교정 치료에
대한 미련을 갖고 있는 분들이 많다는 반증이기도 합니다.
교정치료는 한번 미루기 시작하다 보면 수년씩 시간이 흘러서
후회와 미련을 갖기 쉽기 때문에 꼭 해야겠다는 생각이
든다면 늦지 않게 정밀 검진부터 받아보시는 것이 좋습니다.






청소년기에도 성장이 계속되고 있기 때문에 교정치료가 진행될 시에
성장에 대한 부분을 충분히 예측하면서 시술이 진행되어야 합니다.
학업이나 사춘기로 인해서 예민하기 쉬운 시기이기 때문에
통증을 줄일 수 있거나 관리적으로 보다 유리한 장치 혹은
심미성이 우수한 장치 등을 활용하여 교정치료가 가능합니다.

청소년기와 성인의 교정치료 어떻게 다른지 더 궁금하신 분들은
아래 영상을 참고하시길 바라며 질문이 있으신 분들은 덧글로 남겨주시길 바랍니다