명동콤비치과의원 (명동)
콤비교정 나에게 적합한지 판단하려면
안녕하세요 콤비치과 황용인원장입니다. 치아교정에 대한 질문을 하실 때 가장 많이 듣는 질문은 "얼마나 걸리나요", "어떤 장치가 좋을까요?" 와 같은 질문인 경우가 많은데요. 교정을 망설이게 되는 큰 이유가 심미적인 부분에 대해서 부담감을 느끼는 이유라고 한다면 심미성이 우수한 설측교정이나 콤비교정 같은 방법의...
아카이브 요약
이 페이지의 역할
명동콤비치과의원 (명동)의 네이버 블로그 원문을 보존한 아카이브 페이지입니다. 치아스토리♡ 카테고리의 콤비교정 나에게 적합한지 판단하려면 글을 통해 병원의 한국어 정보 제공 방식과 진료 관련 안내 톤을 확인할 수 있습니다.

안녕하세요 콤비치과 황용인원장입니다.
치아교정에 대한 질문을 하실 때 가장 많이 듣는 질문은
"얼마나 걸리나요", "어떤 장치가 좋을까요?" 와
같은 질문인 경우가 많은데요.
교정을 망설이게 되는 큰 이유가 심미적인 부분에
대해서 부담감을 느끼는 이유라고 한다면
심미성이 우수한 설측교정이나 콤비교정 같은 방법의 가능 여부가
치료를 결심하는 데 있어서 큰 부분을 차지하는 분도 계십니다.
티가 안나게 치료를 받고 싶어요!
평상시 대화를 하고 웃을 때 주로 보이는 치아는
윗니인데 치아교정을 할 때 윗니는
치아의 안쪽에 장치를 부착하고
아랫니는 치아의 바깥쪽에 장치를 부착하는
방식을 콤비교정이라고 합니다.

치아의 안쪽에 장치를 부착하여 시술이 진행되는 방식을
설측교정이라고 하는데 콤비교정은 윗니는 설측,
아랫니는 순측으로 시술이 진행된다는 특징이 있습니다.
심미적으로만 생각한다면 윗니와 아랫니 모두
설측으로 진행이 되는 것이 보다 심미성은 우수하겠지만
아랫니는 혀가 위치한 부위라는 점에서 발음상의 불편함이나
이물감을 더 느끼기 쉽고 설측 방식은 기본적으로
비용적인 부담이 좀 더 높기 때문에 불편함과 경제적인
부분을 보완하고 심미성은 높인 방법이 콤비교정입니다.


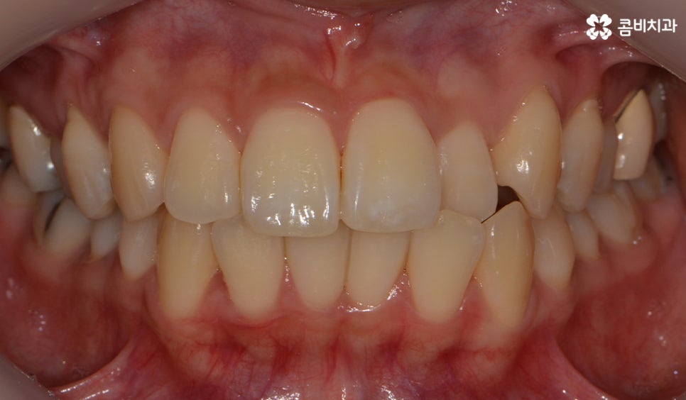
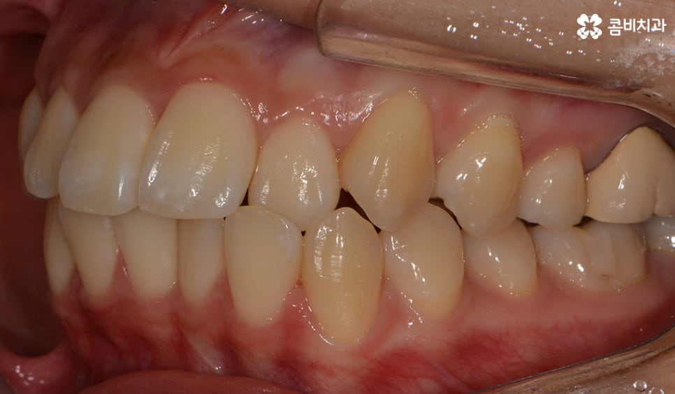
치열이 비뚤하고 돌출입 상태, 교정 치료 전의 모습
교정치료에 걸리는 기간은 얼마나 예상해야 할까요?
결론부터 말씀드리자면 개인에 따라서 시술 계획이 크게
달라질 수 있으므로 정밀 검진을 받아보셔야 합니다.
다만 어떤 차이로 인해서 진료 기간이 달라지는지 아래 내용을 참고해주세요.
-
충치 치료가 필요한 경우 충치 치료 범위에 따라 치료 순서가 달라집니다.
-
양악 수술이 함께 병행되어야 하는지 체크합니다.
-
어떤 교정 장치로 진행되는지에 따라 차이가 발생합니다.
-
나이에 따라서 치아의 이동 속도가 차이가 발생합니다.
-
발치여부에 따라 전체적인 치료 기간이 달라집니다.

교정치료는 항상 치열 만이 아니라 얼굴을 함께 생각해야 합니다.
발치는 꼭 해야하는 건가요?
치아교정을 진행하는 데 있어서 발치에 대한 생각은 전혀 못하셨던 경우도
많은데 생각지도 못했던 발치에 대한 이야기를 듣게 된다면
당연히 두려움과 걱정부터 들지 않을까 합니다.
요즘은 워낙 의료기술이 발달하였고 환자분들의 치열 상태나 골격 등을
고려할 때 비발치로도 충분히 치료가 가능한 경우도 많습니다.
하지만 발치가 꼭 필요한 사례도 있고 돌출입의 개선과 같이
치열만이 아니라 얼굴 변화를 고려할 때 보다 만족감을 얻기 위해서
치아의 이동 공간 확보 및 얼굴 변화 등을 생각하여 발치를 하는 경우도 있는 것입니다.

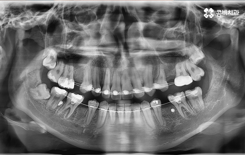
엑스레이에서 동그라미를 그린 4군데를 발치하여 교정이 진행된 사례
위 환자분의 사례는 현재 치열 상태와 골격, 얼굴형을 정밀
검진하여 시술 후 결과에 대한 시뮬레이션을 하였을 때
치열뿐 아니라 돌출입의 개선을 함께 목표로 진행이 되었기
때문에 콤비교정 전에 발치를 하게 된 케이스입니다.


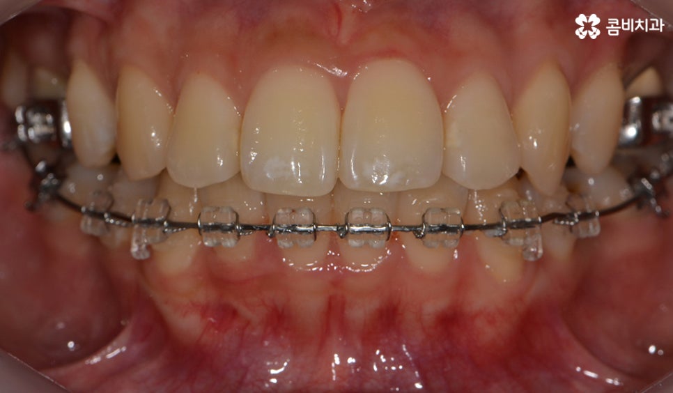
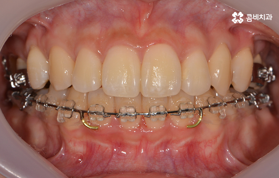
장치를 부착하고 치료의 경과 모습
콤비교정은 평상시 크게 웃지 않는 이상 외부에 시술 사실이
거의 알려지지 않을 정도로 심미성이 우수하기 때문에
직업적인 이유나 성향적으로 교정 장치에 대한 심미적 부담감으로
인해서 망설이셨던 분들에게 많이 선호되고 있는 장치입니다.


윗니가 설측으로 시술이 진행되고 있는 모습이며
발치를 한 부위 안쪽으로 치아가 이동하기 때문에
돌출입의 개선이 함께 이뤄지며 치열뿐 아니라
얼굴과 자연스럽게 어울리는 결과를 얻을 수 있습니다.


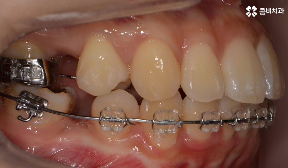
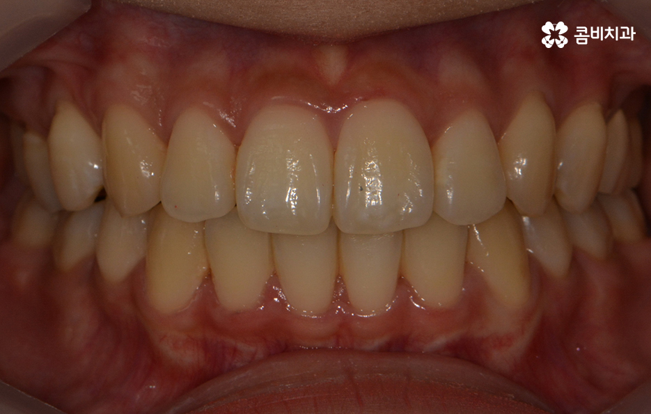
교정 치료 진행과정의 경과 모습
초기에 시술이 진행된 모습에 비해서 윗니가 가지런해졌고
돌출되었던 치아가 안쪽으로 많이 들어온 모습입니다.

발치를 했던 부위가 어딘지 잘 모를 정도로
윗니가 안쪽으로 들어와서 가지런하게
치열이 자리 잡고 있는 모습입니다.

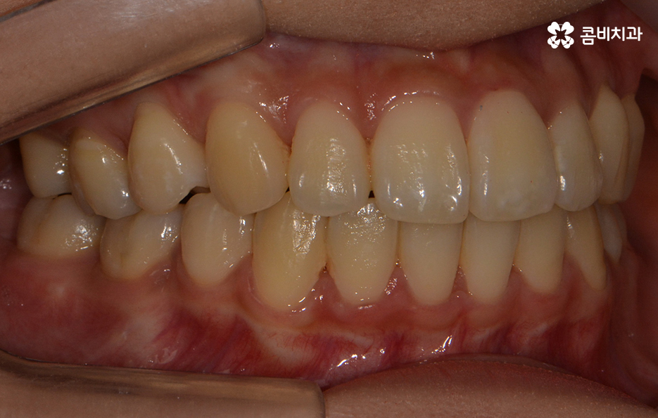
콤비교정이 완료된 모습이며 가지런한 치열 및
얼굴형과도 자연스럽게 어울리는 결과를 얻는 모습입니다.

치열 뿐 아니라 교합이 잘 맞물리고 있는 결과
치아교정을 건강하게 마무리 하려면
교정 치료는 장기간 치과 담당의와 함께 소통하고 협력하면서
진행이 되어야 하기 때문에 중간에 의사가 바뀌지 않고
처음부터 끝까지 책임감 있는 진료가 필요합니다.
보통 처음에는 치열만 가지런해졌으면 좋겠다는 생각으로
치과에 방문하시기도 하지만 결과가 중요한 시술인 만큼
자신의 얼굴과 자연스럽게 잘 어울리고 교합이 잘 맞물려야 합니다.
치열이 가지런 해지는 것은 기본이며 치아의 각도,
충치나 잇몸질환 없이 건강하게 마무리가 되어야 하며
또 한 가지 중요한 점은 시술 후 결과가 오랫동안
잘 유지될 수 있도록 유지 관리를 잘 해주는 것입니다.

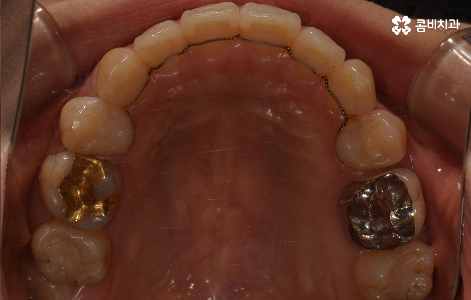
교정 장치를 풀어낸 후 유지 장치를 부착하고 있는 모습
장기간의 시술을 예상해야 할 때 생각해야 할 부분도 많고
처음에는 어떤 장치를 선택할지 많이 고민도 되실 텐데요.
개인에 따라서 적절한 장치부터 시술 계획의 차이가 있기 때문에
정확한 것은 치과에서 검진 후에 차근차근 선택해보셔야 합니다.
오늘은 여러 교정 장치 중에 하나인 콤비교정에 대해서
알아보았는데요. 더 궁금하신 점은 덧글로 남겨주시거나
아래 영상을 통해서 참고하셨으면 합니다.
개인에 따라 치료 과정의 차이가 발생하거나 부작용이
발생 가능하니 시술 전 담당 의사에게 충분한 검진이 필요합니다.
더 보기
이 병원의 공개 콘텐츠를 계속 살펴보세요
출처 아카이브로 돌아가 더 많은 글을 보거나, 병원 프로필로 이동해 다른 공개 채널도 함께 비교해보세요.