아카이브 요약
이 페이지의 역할
명동콤비치과의원의 네이버 블로그 원문을 보존한 아카이브 페이지입니다. 치아스토리♡ 카테고리의 65세이상임플란트 고령이기에 간과하지 말아야 할 사항은 글을 통해 병원의 한국어 정보 제공 방식과 진료 관련 안내 톤을 확인할 수 있습니다.
원문 검증
필요하면 원문 블로그와 병원 프로필로 바로 이동해 문맥을 다시 확인할 수 있습니다.
출처 아카이브 열기아카이브된 블로그 글
명동콤비치과의원 · 콤비덴탈 치과의사 황용인
안녕하세요. 치과의사 황용인 원장입니다. 여러분들은 기대수명에 대해서 얼마나 생각하고 계시나요? 사람의 앞일은 모른다는 말도 있듯이 앞날에 대해서 예측한다는 것이 쉬운 일은 아니겠지만 예전에는 당연시 여기던 환갑잔치가 요즘은 나날이 간소화되고 있으니 변화하고 있는 기대수명에 대한 인식에 대해서 사회 문화적으로도 느...
게시일
2020년 4월 14일
원문 기준으로 확인된 발행일입니다.
카테고리
치아스토리♡
원문 블로그 카테고리를 정리해 함께 표시합니다.
이미지 수
13
현재 아카이브에 연결된 이미지 수입니다.
아카이브 요약
명동콤비치과의원의 네이버 블로그 원문을 보존한 아카이브 페이지입니다. 치아스토리♡ 카테고리의 65세이상임플란트 고령이기에 간과하지 말아야 할 사항은 글을 통해 병원의 한국어 정보 제공 방식과 진료 관련 안내 톤을 확인할 수 있습니다.
원문 검증
필요하면 원문 블로그와 병원 프로필로 바로 이동해 문맥을 다시 확인할 수 있습니다.
출처 아카이브 열기안녕하세요. 치과의사 황용인 원장입니다.
여러분들은 기대수명에 대해서 얼마나 생각하고 계시나요?
사람의 앞일은 모른다는 말도 있듯이 앞날에 대해서
예측한다는 것이 쉬운 일은 아니겠지만
예전에는 당연시 여기던 환갑잔치가 요즘은 나날이
간소화되고 있으니 변화하고 있는 기대수명에 대한
인식에 대해서 사회 문화적으로도 느끼게 돼곤 합니다.
요즘은 실제로 50~60대의 환자분들을 만나 보더라도
외모로만 볼 때는 나이가 쉽게 예상이 안될 정도로
건강 상태는 어떻게 관리를 하냐에 따라서 큰 차이가 있다는 것을
느끼게 되는데요. 치아 역시도 마찬가지로 어떻게 관리를
하냐에 따라서 개인차가 크다는 점을 꼭 알아두셔야 합니다.

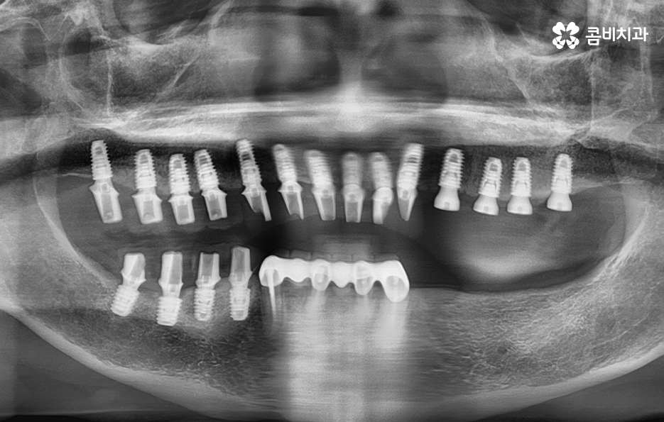
치아의 대부분이 빠지고 아랫니 브릿지만 남아 있는 상태
오늘은 65세이상임플란트에 대한 이야기를 해볼까 하는데요.
왜 '65세이상'으로 특정 지어 말씀을 드리냐면
건강보험에서 본인 부담금의 혜택이 시작되는 나이이기 때문입니다.
아무래도 누구나 건강하게 영구치를 평생 잘 지키고 관리한다면
좋겠지만 살다보면 치아가 깨지기도 하고 예상치 못했던
사고로 인해 잃게 되기도 하죠.
대표적으로 치아를 잃게 되는 원인으로는 충치이지만
나이가 들수록 치주염이 심해져서 여러 치아를 한꺼번에
잃게 되는 풍치를 경험하시는 분들도 많기 때문에
65세이상임플란트 대상자분들의 경우에는 보편적인
시술 원리나 과정과는 조금 다른 관점에서 접근하는 것이 필요합니다.

아랫니는 잇몸이 주저 앉은 상태이며 위의 잇몸과 잇몸뼈의 상태는 비교적 양호한 편
만 65세이상임플란트 이것 만큼은 알아두자!
임플란트를 알아보실 때 본인의 시술을 알아보시는 경우도 있겠지만
부모님의 시술을 대신 알아보시는 분들도 계실 텐데요.
젊은 분들의 경우 치아를 잃게 되는 원인이 보편적으로
충치나 사고로 인한 경우가 많기 때문에 잇몸 상태는 양호한 경우가
많고 기본적인 신체 건강이 좋고 회복력 역시 좋은 경우가 많습니다.
하지만 나이가 들수록 한국인들이 겪기 쉬운 당뇨나 고혈압과
같은 전신질환이 있는 경우도 있겠고 위 이미지 사례와 같이
잇몸 상태가 좋지 않은 경우도 있기 때문에 시술 과정에
있어서 개인차가 클 수 있다는 점을 미리 알아두셔야 합니다.
또한 치아 하나를 잃는 것과 여러 치아를 잃고 임플란트 식립을
하는 것은 차이가 있으며 그 밖에도 치아를 잃게 된 지 시간이
오래 흘렀거나 어떤 원인으로 치아를 잃게 되었는지에 따라서도
시술 과정의 차이가 발생할 수 있습니다.

30-40대의 경우에는 바쁜 직장 생활로 인해서 오랫동안 치과 치료를
받는 것에 대한 부담을 느끼는 분들이 많기 때문에
되도록 빨리 치료가 끝나길 원하시는 분들이 많겠지만
65세이상임플란트 대상이 되시는 노년층의 경우라면
시술 기간을 단축시키는 것보다는 얼마나 건강하고 안정적으로
치료가 끝날 수 있는가에 대해서 초점을 맞추셔야 합니다.


순차적으로 식립이 진행되고 있는 모습
위 사례와 같이 대부분의 치아를 잃게 되신 분들의 경우에는
임플란트가 건강하게 자리를 잡을 수 있도록
시술 과정에 있어서 심혈을 기울여야 합니다.
여러 치아를 잃게 되었을 때 또 한 가지 꼭 유념해야 하는 것은 식립 각도에 따라서 심미적으로
큰 차이가 날 수 있으며 전체적인 교합이
잘 맞물려야 하기 때문에 풍부한 경험과
실력이 필요한 진료에 해당합니다.


임플란트의 기본적인 원리는 잇몸뼈(치조골)에 식립을 하여
단단하게 고정이 된 상태에서 보철물을 씌워
자연치아와 비슷한 역할을 하게 되는 것인데
이때 가장 중요한 부분이 치조골에 얼마나 건강하고
단단하게 고정이 되느냐입니다.
보철물의 경우에는 손상이 되면 교체가 가능하지만
잇몸뼈의 손상으로 인해서 재수술을 하게 될 경우
성공율이 점점 떨어질 수밖에 없기 때문에
처음 치료를 할 때 건강하게 마무리를 하고
부작용이 발생하지 않도록 주의사항을 잘 지켜야 합니다.

기존 치아의 색과 모양에 어울리는 보철물을 씌워서 마무리하는 과정


앞니를 잃게 되었을 때 주의해야 할 점
65세이상임플란트 기본적으로는 건강하고 안전하게
마무리가 되어야 하겠지만 앞니와 같이
평상시 대화를 할 때 주로 보이는 부위의 경우에는
심미성에 대해서 충분히 생각을 해야 합니다.
앞니는 사고로 인해서 잃게 되는 경우도 많기 때문에
젊은 분들도 잃게 되시는 경우가 종종 있는데요.
주변 치아와 비슷한 색으로 보철물을 선택하여
씌우기 때문에 시술이 끝나면 차이를 알아보기
어려울 정도로 심미적인 회복이 되는 경우가 대부분입니다.
하지만 시술 후 관리에 있어서 치주조직이
잘 보존될 수 있도록 잇몸 상태를 잘 관리해야 하는데요.

모든 시술이 마무리 된 상태
한국인들이 감기 다음으로 많이 겪는 질환이 잇몸질환이라는
통계가 있을 정도로 중년 이후에는 특히 잇몸질환에 대해 주의해야 합니다.
잇몸은 한번 약해지고 내려앉게 된다면 재생이 쉽지 않기 때문에
치료를 늦지 않게 받는 것이 좋고 예방에 최선을 다해야 합니다.
임플란트 시술 후에는 자연치아에 비해서 잇몸질환에
더 취약할 수밖에 없기 때문에 주기적인 스케일링과 검진을
통해서 임플란트 부작용을 예방하는 것이 오랫동안
수명을 잘 유지하고 심미성 역시 잘 유지할 수 있는 방법입니다.


글을 마무리하면서 건강보험 적용에 대해 알기 쉽도록 표를 첨부했습니다.
건강보험 적용이 되시는 분들의 경우 혜택을 잘 받아보시고
경제적인 부담은 덜고 치료도 잘 받으시길 바랍니다.
좀 더 궁금하신 점은 덧글로 남겨주시길 바라며
개인에 따라서 치료 과정이나 계획이 다를 수 있고 출혈 및 부작용이
발생할 수 있으니 시술 전에 담당의와 정확한 상담 후에 판단하셔야 합니다.