명동콤비치과의원 (명동)
앞니 깨짐 치료와 교정이 병행되었던 사례
안녕하세요 치과의사 황용인 원장입니다. 치아의 심미성으로 인한 스트레스는 치열이 불규칙하거나 덧니가 심해서 스트레스를 받는 경우도 있지만, 치아 사이가 미세하게 벌어지거나 치아의 각도 같이 남들은 크게 신경쓰지 않지만, 매일 거울을 볼 때마다 스트레스를 받고 치료를 고민을 하고 계시는 분들도 있습니다. 심미적인 만족감...
아카이브 요약
이 페이지의 역할
명동콤비치과의원 (명동)의 네이버 블로그 원문을 보존한 아카이브 페이지입니다. 치아스토리♡ 카테고리의 앞니 깨짐 치료와 교정이 병행되었던 사례 글을 통해 병원의 한국어 정보 제공 방식과 진료 관련 안내 톤을 확인할 수 있습니다.
안녕하세요 치과의사 황용인 원장입니다.
치아의 심미성으로 인한 스트레스는
치열이 불규칙하거나 덧니가 심해서
스트레스를 받는 경우도 있지만,
치아 사이가 미세하게 벌어지거나 치아의 각도 같이
남들은 크게 신경쓰지 않지만, 매일 거울을 볼 때마다
스트레스를 받고 치료를 고민을 하고 계시는 분들도 있습니다.
심미적인 만족감이라고 하는 것은 개인에 따라서
그 기준이 달라질 수 있는 것이기 때문에
보편적인 기준이 아니라 개인적인 판단이 기준이 되기도 합니다.
특히 앞니가 깨진 경우에는 비교적 경미하다고 하더라도
생각보다 인상에 많은 영향을 줄 수 있는데요.
사람의 인상은 보통 표정이나 대화를 할 때 자연스러운
미소와 자신감 있는 모습이 상당히 중요하기 때문에
앞니처럼 유독 많이 보이는 부위라면 치아가 벌어졌거나
깨진 경우에 그 정도의 심각성을 떠나서 신경 쓰일 수밖에 없을 것입니다.

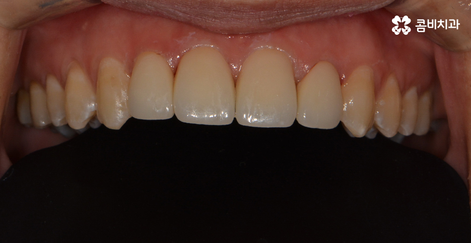
앞니의 깨짐과 왜소치, 전체적인 치열의 개선을 원하셨던 케이스
앞니 깨짐 어떻게 치료를 해야 할까요?
생각보다 많은 분들께서 치과에 앞니 깨짐으로 인해서
찾아오시는데 실수로 딱딱한 물질을 씹어서
이가 깨지기도 하고 사고로 인해 부러지기도 합니다.
또 치아가 약해질 수 있는 안 좋은 식습관을 오랫동안
유지하거나 이갈이, 무리한 칫솔질 등도 있으며,
나이가 들수록 치아를 약하게 할 수 있는 습관은 마모 시키는 요인이
되기 때문에 이러한 생활습관이 지속될 경우
어느 순간 치아가 결국 깨지게 되는 경우도 발생합니다.
이때 치아의 겉 부분이 약간 깨진 정도에는 레진으로
비교적 간단하게 치료가 가능하기도 하지만
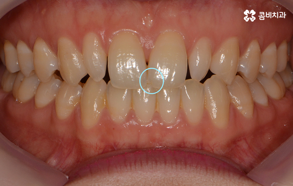
위 케이스는 왜소치로 인해 치아 사이가 벌어져 보이는 것과
전체적인 치열의 심미적 개선을 함께 원하셨던 경우입니다.

파란 원 - 치아의 깨짐, 빨간 원 - 왜소치
왜소치란? - 일반적인 치아에 비해 비정상적으로 작은 치아를 의미 합니다. 왜소치가 앞니 부분에 위치한 경우 치아가 벌어져 보이거나 심미적인 부담감을 느끼실 수 있습니다.
가지런한 치열을 위해서는 보통 치아교정에 대해서 생각하게 되지만
치아가 깨졌거나 심한 변색, 충치 그리고 왜소치와 같은 경우에는
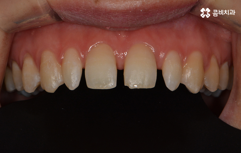
라미네이트나 올세라믹과 같은 치료가 필요한데 위 케이스의 경우
전체적인 치아의 각도와 교합을 바로 잡고 왜소치와 앞니 깨짐을
올세라믹을 통해서 치료를 한 케이스 입니다.


왜소치는 이렇게 정상적인 치아에 비해 유독 작기 때문에
치아의 삭제를 하지 않고도 라미네이트 치료가 가능하며,
올세라믹은 치아를 약간 갈아내고 보철물을 씌워서
심미 치료가 가능합니다.
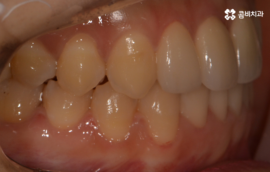
옆모습을 볼 때 치아 사이가 유독 벌어져 보이는데 심미적으로도
부담감을 느끼실 수 있지만 음식물이 치아 사이에 낀다거나
치아의 벌어짐으로 인해 치열이 반듯하게 자라지 못하기도 합니다.

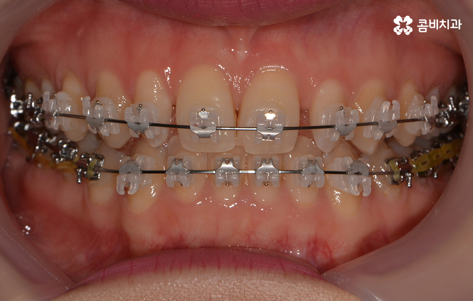
전체적인 치열 상태가 비교적 가지런한 편이었기 때문에
약 1년 정도 클리피씨교정을 통해서 치열과 교합 개선이 진행 되었습니다.


치아교정은 치열을 가지런하게 만드는 과정 만이 아니라
치아의 각도 차이만으로도 결과에 대한 만족도가 크게 달라질 수 있으며
얼굴과 자연스럽게 어울려야 하기 때문에 전체적인 조화가 중요합니다.

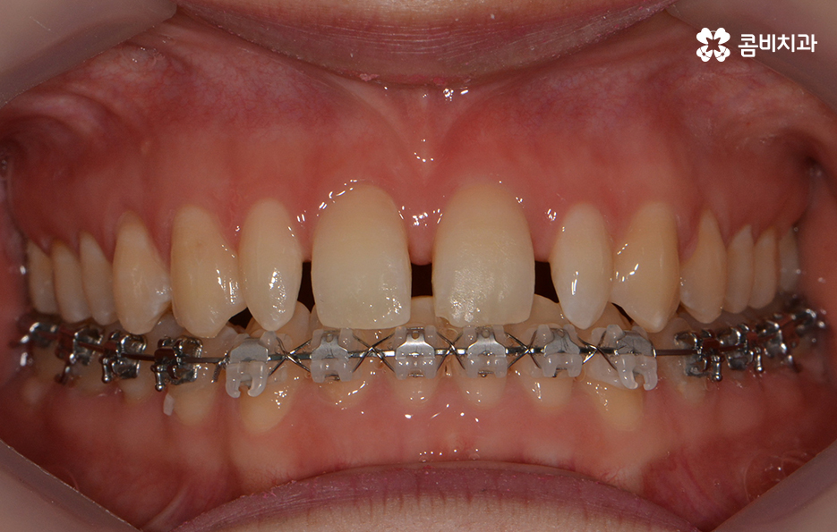
치열이 가지런하게 정렬이 된 상태에서 앞니 깨짐,
왜소치에 대해서 올세라믹이 진행되었습니다.


올세라믹은 세라믹 보철물로 치아 전체를 덮어 씌우는 방식으로
치아의 색과 모양은 물론 자연스러움을 위한 투명성까지도
갖추고 있으며 내구성도 높은 편이기 때문에 앞니가 깨졌거나
심한 변색, 충치, 왜소치 등의 치료에 많이 쓰입니다.

올세라믹 시술에 있어서 한 가지 주의를 해야 할 점이라면
보철물을 씌우게 될 때 주변 치아와 색과 모양을 자연스럽게 맞추기 때문에
만약 자연치아가 비교적 누렇다고 생각이 드신다면 치아미백을
함께 진행을 하신다면 심미적인 만족도를 높일 수 있을 것입니다.
많은 분들께서 앞 이빨로 인해서 고민을 하시고 다양한 케이스가
있을 수 있기 때문에 단순하지 않고 여러 과정으로 진행된
케이스를 예로 들어서 설명을 드렸는데요.
좀 더 궁금하신 내용은 아래 영상을 참고하시길 바라며
질문이 있으시다면 덧글 남겨주시길 바랍니다.
치료의 방법과 결과는 환자분들의 상태에 따라 달라질 수 있으며
부작용 및 출혈 등이 발생할 수 있으니 참고하시기 바랍니다.
더 보기
이 병원의 공개 콘텐츠를 계속 살펴보세요
출처 아카이브로 돌아가 더 많은 글을 보거나, 병원 프로필로 이동해 다른 공개 채널도 함께 비교해보세요.