아카이브 요약
이 페이지의 역할
명동콤비치과의원의 네이버 블로그 원문을 보존한 아카이브 페이지입니다. 치아스토리♡ 카테고리의 클리피씨교정 알아볼 때 꼭 신경 써야 하는 점은! 글을 통해 병원의 한국어 정보 제공 방식과 진료 관련 안내 톤을 확인할 수 있습니다.
원문 검증
필요하면 원문 블로그와 병원 프로필로 바로 이동해 문맥을 다시 확인할 수 있습니다.
출처 아카이브 열기아카이브된 블로그 글
명동콤비치과의원 · Naver Blog
안녕하세요 치과의사 황용인원장입니다. 오늘은 교정에 대해서 알아보려고 합니다. 보통 치아교정하면 성장기에 알아봐야 한다고 생각하는 경우가 많은데요. 시기를 놓치면 안 된다고 생각을 하시는 분들이 많다 보니 직장 생활을 이미 시작한 후에는 늦었다고 생각하시는 분들도 많은 것 같습니다. 하지만 치아교정은 중년 이후에도 가...
게시일
2020년 4월 28일
원문 기준으로 확인된 발행일입니다.
카테고리
치아스토리♡
원문 블로그 카테고리를 정리해 함께 표시합니다.
이미지 수
14
현재 아카이브에 연결된 이미지 수입니다.
아카이브 요약
명동콤비치과의원의 네이버 블로그 원문을 보존한 아카이브 페이지입니다. 치아스토리♡ 카테고리의 클리피씨교정 알아볼 때 꼭 신경 써야 하는 점은! 글을 통해 병원의 한국어 정보 제공 방식과 진료 관련 안내 톤을 확인할 수 있습니다.
원문 검증
필요하면 원문 블로그와 병원 프로필로 바로 이동해 문맥을 다시 확인할 수 있습니다.
출처 아카이브 열기안녕하세요 치과의사 황용인원장입니다.
오늘은 교정에 대해서 알아보려고 합니다.
보통 치아교정하면 성장기에 알아봐야 한다고 생각하는 경우가 많은데요.
시기를 놓치면 안 된다고 생각을 하시는 분들이 많다 보니
직장 생활을 이미 시작한 후에는 늦었다고 생각하시는 분들도
많은 것 같습니다. 하지만 치아교정은 중년 이후에도 가능하기 때문에
자꾸 고민이 되실때는 그저 늦었다고 생각하기에 앞서
정밀검진을 받아보시고 가능 여부와 어떤 진료과정을
거치는지에 대해서 정확한 확인을 해보는 것이 중요합니다.
치아교정을 결심하기에 앞서 치료에 소요되는 예상 기간부터
진료 과정에 대해서 많이 궁금하실 텐데요.
어떤 교정장치를 선택하냐에 따라서 진행 과정이 달라질 수 있고
비용부터 심미성, 관리의 편리함 등의 차이가 발생할 수 있으며
교정을 시작하기 전에 미리 사랑니 발치나 충치치료를 먼저 진행해야 하는
경우도 있기 때문에 이러한 변수는 개인차가 크게 발생합니다.

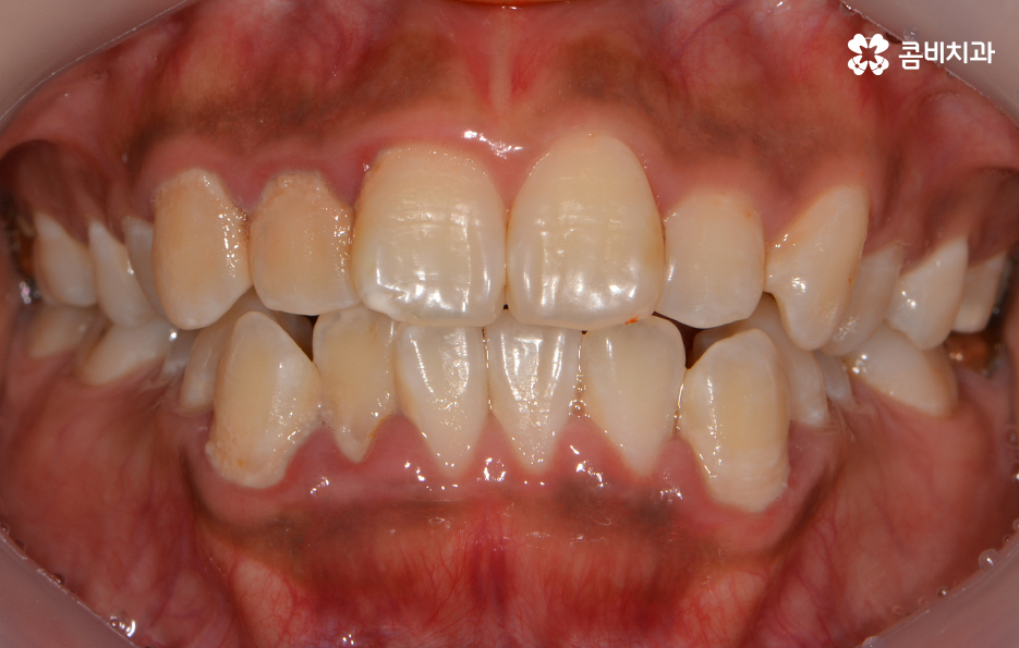
전체적인 치열의 개선을 원했고 돌출입, 아래턱 주름에 대한 고민이 있던 사례
과거에는 메탈교정이나 세라믹교정 장치를 통해서
치아교정이 진행되었던 경우가 많다면
요즘은 클리피씨교정을 통해서 진행되는 사례가 월등히 높습니다.
기존의 장치들이 철사를 묶어 단단하게 치아를 고정시켰다면
클리피씨교정의 경우 자차결찰 브라켓을 통해서
클립을 열고 닫는 방식으로 진행이 되기 때문에
철사로 인해서 입안이 찔리는 불편함이 개선되었고
철사로 인한 마찰이 없기 때문에 적은 힘으로도
치아를 이동시킬 수 있어 초기 통증이 비교적 적고
전체적인 치료 기간을 단축시킬 수 있다는
장점이 있는 장치입니다.


옆모습으로 볼때 돌출된 치아로 인한 돌출입 상태
클리피씨교정의 경우 치료 기간이 단축된다는 점에서 관심을 갖는 분들이
많습니다. 하지만 치열, 교합 상태, 발치 유무 등을 감안하여
치료 계획을 세우기 때문에 개개인마다 치료 기간이 다를 수 있습니다.
따라서 치료 계획이 세워진 후 다른 장치에 비해 기간이 어느 정도
단축이 되는지 확인을 하는 게 좋습니다.

교정이 시작되기 전에 충치가 있다면 미리 치료 후 진행합니다.
간혹 유학이나 군 입대를 앞둔 상황에서 치료의 시작 시점을
너무 빠듯하게 세우는 경우도 있는데요.
미리 충치 치료나 사랑니 발치를 진행해야 하는 경우도 있고
치아의 이동 공간을 고려하고 얼굴 변화를 생각할 때
발치 교정을 해야 하는 경우도 있기 때문에
향후 중요한 일정이 있는 경우 좀 더 여유있게
치료 계획과 일정을 잡을 것을 권해드립니다.


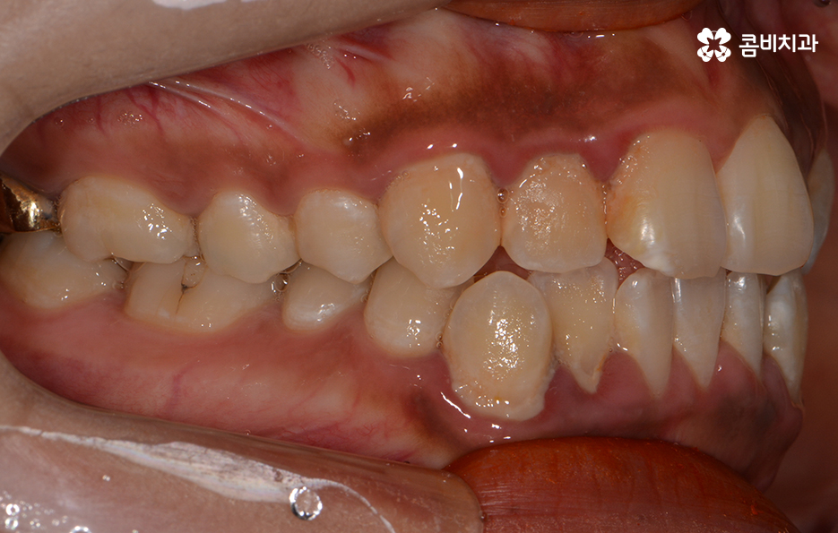
(좌) 얼굴을 고려하여 돌출입을 개선하는 치료 계획을 세움, (우) 사랑니 발치와 상악 14,24 / 하악 34,44 치아 발치 진행
발치는 꼭 해야 하나요?
교정을 하시는 모든 분들이 발치를 하는 것은 아니지만
만약 본인이 발치를 해야 하는 대상이라고 생각한다면
당연히 두려운 마음부터 들지 않을까 합니다.
하지만 치아교정은 결과가 중요한 만큼 교합부터
심미적인 안모, 가지런한 치열 등에 대해서
모든 부분이 조화로워야 한다는 점에서 치아의 이동
공간이 확보 되어야 하고 얼굴의 변화 등을 위해
필요한 경우에는 발치를 해야 합니다.
당장 처음 진료를 알아보실 때는 치열만 가지런해져도
좋겠다는 생각을 하실 수 있겠지만 결과에 있어서는
치아의 각도 차이만으로도 만족도가 달라질 수 있기 때문에
얼굴 전체를 생각하여 치료가 진행되는 것이 중요합니다.


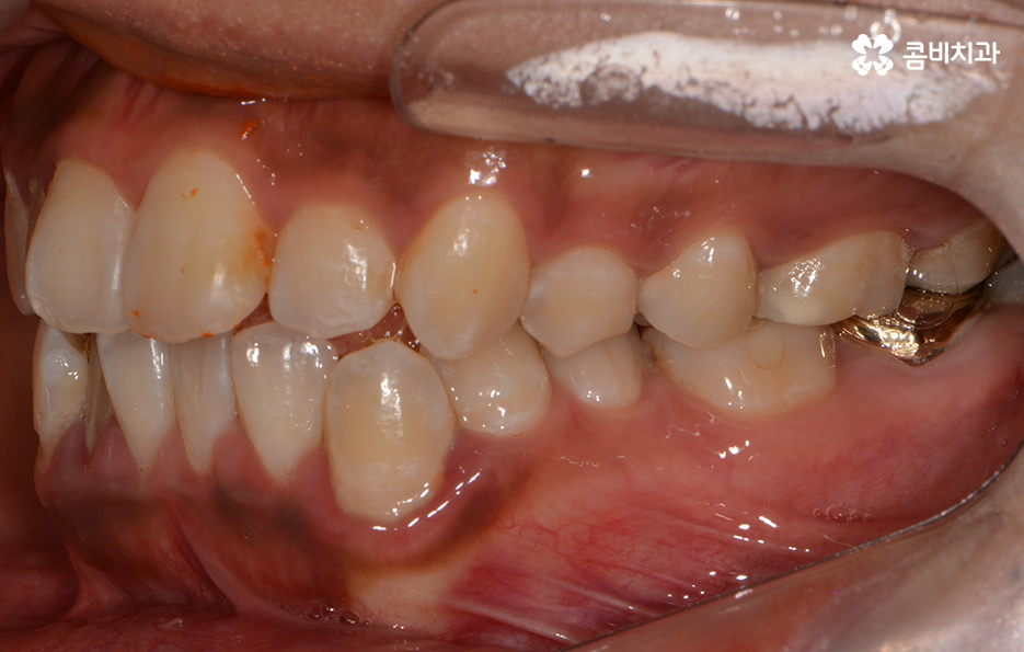
심한 돌출입은 아니었기 때문에 비수술적인 방법으로 치료 진행
발치나 수술은 어떤 경우에 진행되나요?
치열과 골격 상태에 따라서 비발치, 비수술적인 방법으로 진행이 되는 경우도 많고
돌출입이나 부정교합이 심한 경우에는 발치와 함께 양악 수술이 병행되어야 하는 경우도 있습니다.
간혹 부정교합이 심하고 전체적인 치열 상태도 불규칙하지만
부분교정을 원하시는 경우도 있는데 이러한 상태라면
꼭 전체 교정을 해야 하며 부분적으로 치열을 개선하는 것이 불가능합니다.
사람에 따라서 여러 케이스가 있는 만큼 자신에게 적합한
치료 방법은 정밀검진 후에 정확히 확인하시기 바랍니다.


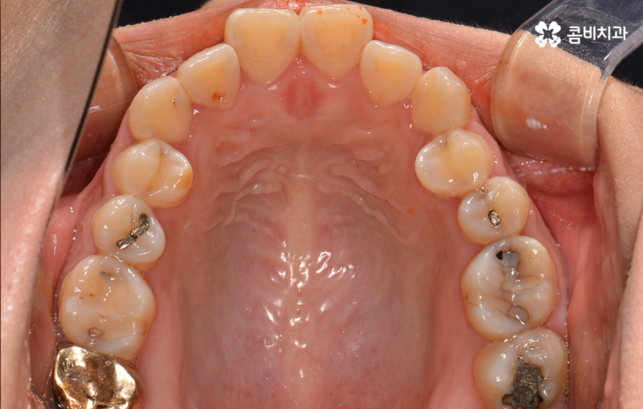
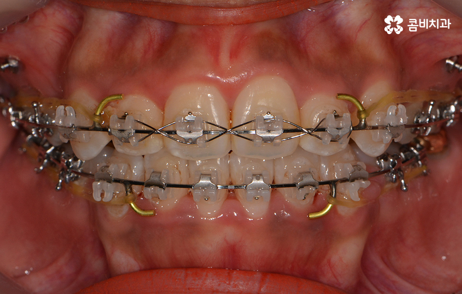
교정이 시작된 후 경과 - 발치를 했던 부위의 치아 사이 빈 공간이 사라짐
전체 교정을 해야 하는 경우에 클리피씨교정을 선택하시는 분들이
많은 이유는 그만큼 타 방법에 비해서 장점이 많기 때문입니다.
바쁜 직장인 분들의 경우 주기적인 내원에 대한 부담감을
더 크게 느낄 수밖에 없고 일상생활을 하면서
느끼는 관리상의 효율과 편의성에 대한 부분도 중요하게 느끼실 텐데요.
클리피씨교정은 관리의 용이함은 물론이며 주기적으로
내원을 해야 하는 횟수를 줄일 수 있다는 점에서도
바쁘거나 상황적으로 제약이 있으신 경우 많이 선호합니다.


장치를 풀어내고 유지 관리가 시작된 모습
비교적 빨리 진료를 끝낼 수 있는 클리피씨교정 마저도
장기적인 관점에서 바라볼 수 밖에 없습니다.
심지어 부분교정과 같은 방법으로 수개월 안에 치료가 끝난다고 하더라도
평생 결과가 건강하게 유지될 수 있어야 하기 때문에
장기적으로 바라볼 수 밖에 없는데요.
가장 중요한 점이라면 결과가 우선적으로 중요하겠으며
건강하고 문제없이 결과가 유지되어야 한다는 점도
생각해야 하기 때문에 꾸준한 사후관리를 잘 받고
담당의와 원활한 소통 역시도 중요합니다.

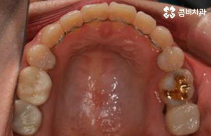
유지 장치가 부착되어 있는 모습
가지런 치열과 하얀 치아의 모습은 건강함의 상징이 되기도 하고
인상에도 많은 영향을 주는 만큼 장치를 풀어낸 후에는
미백 치료를 함께 받으시는 분들도 많습니다.
클리피씨교정에 대한 고민을 하시는 분들이라면
해당 장치 자체에 대한 장단점에 대해서도 잘 알아야 하겠지만
우선적으로 나에게 어떤 방법이 적합하며 어떤 치료
계획으로 진행이 될지에 대해서 먼저 정확하게 의사에게
검진을 받아 보셔야 하고 치열만이 아니라
얼굴과 골격, 교합 등을 충분히 함께 고려하여 판단해야 합니다.

클리피씨교정의 경우 진료의 효율성을 보다 중시하는 분들께서
많이 알아보고 선호하신다면 심미적인 부분을 좀 더
중시하시는 경우 콤비교정을 더 선호하시는 분들도 계신데요.
이전에 콤비교정에 대한 포스팅을 남겨두었으니 참고하시길 바랍니다.
오늘은 클리피씨교정에 대해 알아보실 때 좀 더 생각해야 하는 부분들과
특징에 대해서 알아보았는데요. 더 궁금하신 점이 있으신 분들께서는
아래 영상을 시청해보시길 바라며 질문이 있으시다면 덧글로 남겨주시길 바랍니다.
출혈 및 부작용이 발생할 수 있으니 주의하시길 바랍니다.