명동콤비치과의원 (명동)
치아 깨짐 다시 튼튼하게 수복하기 위한 방법
안녕하세요 치과의사 황용인원장입니다. 오늘은 치아 깨짐과 관련된 내용을 알아보도록 하겠습니다. 많은분들께서 치과를 내원해주실 때 충치 또는 잇몸질환으로 불편함을 느끼셔서 내원해주시는 경우가 많은데, 간혹 외상으로 인하여 치아가 깨지거나 딱딱한 음식, 충치로 인하여 치질이 약해지면서 치아가 깨지는 경우도 있습니다. 치아...
아카이브 요약
이 페이지의 역할
명동콤비치과의원 (명동)의 네이버 블로그 원문을 보존한 아카이브 페이지입니다. 치아스토리♡ 카테고리의 치아 깨짐 다시 튼튼하게 수복하기 위한 방법 글을 통해 병원의 한국어 정보 제공 방식과 진료 관련 안내 톤을 확인할 수 있습니다.
안녕하세요 치과의사 황용인원장입니다.
오늘은 치아 깨짐과 관련된 내용을
알아보도록 하겠습니다.
많은분들께서 치과를 내원해주실 때 충치 또는 잇몸질환으로
불편함을 느끼셔서 내원해주시는 경우가 많은데,
간혹 외상으로 인하여 치아가 깨지거나 딱딱한 음식,
충치로 인하여 치질이 약해지면서 치아가 깨지는 경우도 있습니다.
치아 깨짐이 발생하게 되면 당장 통증이나 시린 증상이
심한 경우도 있고, 큰 증상을 못 느끼는 경우도 있는데요.
어떠한 경우라고 하더라도 깨진 이빨은 알아서
자연치유가 되지 않고 방치될수록
점점 더 주변이 깨지거나 손상이 커질 수 있으므로
바로 치과에 가셔서 치료를 받으시는 것이 중요합니다.
오늘은 치아 깨짐이 발생하는 원인부터 다양한 사례를
통해 어떻게 대처를 해야 하는지 알아보도록 하겠습니다.


이빨이 깨지는 원인은 실수로 딱딱한 물질을 씹어서 발생하기도 하지만 이가 조금씩 마모가 되거나 충치 등으로 인해서 깨지기도 합니다.
보통 이가 깨졌을 때 상황을 살펴본다면 딱딱한
음식을 씹다가 치아 깨짐 확인을 하는 경우가 많은데요.
그렇기 때문에 운이 좋지 않았다고 생각하는 경우가 많습니다.
실제로도 실수나 사고로 인해서 이가 깨지는 경우가
많긴 하지만 이갈이 습관이 있다거나 안 좋은 식습관을
가지고 있는 경우 이가 조금씩 약해지다가
결국 깨지는 경우도 많기 때문에 치료뿐 아니라
원인을 정확히 파악하는 것도 중요합니다.


이가 깨졌을 때는 보통 레진이나 인레이, 크라운 치료 등으로
해결이 가능한 경우가 많지만 치아의 뿌리까지 심한 손상이
발생하게 된다면 결국 발치 밖에 방법이 없습니다.
그렇기 때문에 초기에 이가 흔들리거나 깨진 상황에서는
바로 치과부터 가보셔서 검진과 빠른 치료를 받아보셔야 합니다.
치아 깨짐으로 인해 신경까지 손상이 발생한 경우에는
신경 치료 후 크라운을 씌워야 하기 때문에
자연치아를 보존하기 위해서는 증상이 더욱 악화되기 전에
초기에 치료를 받는 것이 중요하며, 치료비를 절감할 수 있습니다.

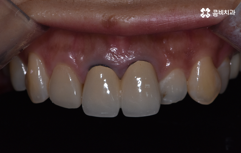
앞니에 씌운 PFM크라운이 변색되어 교체가 필요한 상태
앞니의 경우 심미적으로 워낙 중요한 위치이다 보니
이가 깨지거나 충치로 인해 치료가 필요한 경우
심미적인 요소를 중요하게 생각해야하기 때문에
치료에 쓰이는 재료와 치아색을 자연스럽게 맞추는 게 중요합니다.
또한 치료 후에 관리를 잘해주어야 하며 주기적인
검진을 통해서 문제가 발생한 경우 교체를 해주어야 합니다.
치아 깨짐으로 인해서 크라운 치료를 한 경우에는
관리 상태에 따라 다르긴 하지만 보통 10년 이상 쓰신 경우
교체를 해주는 경우가 많기 때문에 크라운 치료 후
시간이 많이 흐른 경우에는 주기적인 검진을 통해
필요한 경우 교체를 해주셔야 할 수 있습니다.


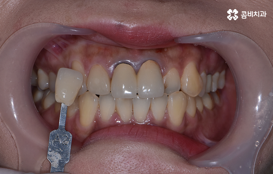
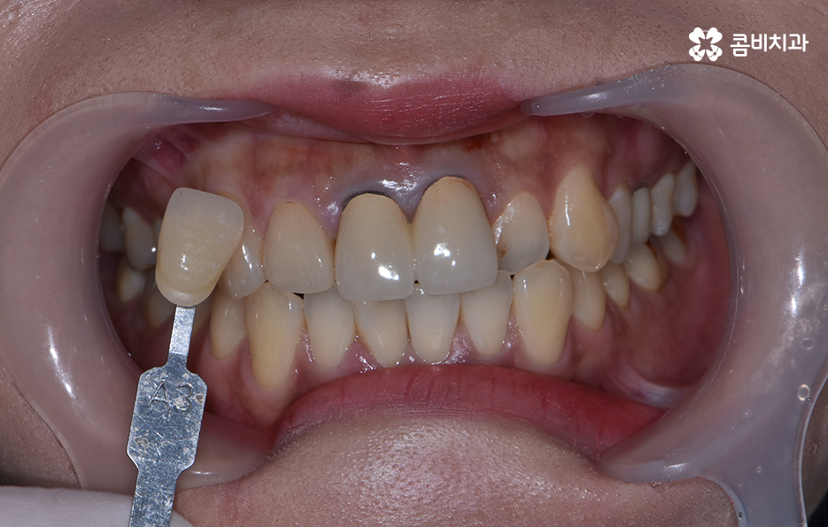
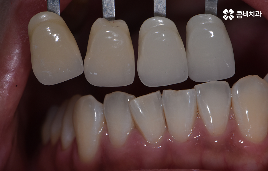
앞니 주변 치아의 색과 모양, 투명도까지 고려하여 치료함
과거에는 앞니가 충치나 깨짐이 발생한 경우
PFM 크라운 치료를 하는 경우도 많았지만
PFM 크라운의 경우 금속이 안쪽에 들어가 있기 때문에
색상이 탁해 보이고 잇몸 쪽으로 금속 라인이 비쳐 보일 수 있는 등의
단점이 있기 때문에 최근에는 앞니 크라운 치료에 있어서
올세라믹 치료를 하는 경우가 대부분입니다.


크라운 교체 치료를 할때 주의사항은 내부 지대치의
색상이 검게 변한 경우 투명성이 있는 올세라믹 치료를 했을때
검게 보일 수 있기 때문에 경우에 따라서는 재신경치료가
필요하거나 실활치 미백 등이 필요할 수 있습니다.

올세라믹을 통한 앞니 치료를 할때 또 하나의 주의사항은
윗니와 아랫니의 색상을 고려하여 선택해야 하고
한번 정해진 색상은 변경하기 어렵기 때문에
보다 밝은 치아 색을 원하신다면 미백치료와 함께
올세라믹을 보다 하얗고 밝은 색상으로 선택하는 것도 좋은 방법입니다.

오래된 PFM 크라운을 올세라믹으로 교체한 상태
치아 깨짐은 다양한 형태로 발생할 수 있으며 치료 부위에 따라서
사후관리의 방법도 다소 차이가 있을 수 있습니다.
앞니의 경우 심미성을 중시한 치료 방법을 많이 활용한다면
어금니의 경우 저작력을 생각하여 지르코니아와 같이
내구성이 튼튼한 재료를 많이 활용한다는 차이가 있습니다.
누구나 이가 깨졌을 때 당황스러울 수밖에 없고
통증에 따라서 당장 심각성을 달리 느끼실 수 있겠지만
이빨은 자연적인 회복이 되지 않는 만큼
그대로 방치할수록 문제가 커질 수밖에 없으며
추가적으로 깨지거나 내부 충치 발생 등으로
상태가 악화될 수 있으니 빠른 치과 치료를 하시길 바랍니다.
갑작스러운 충격으로 이가 아프고 흔들릴 때
더 궁금한 점은 아래 영상도 참고하시길 바라며
질문이 있으시다면 덧글로 남겨주시길 바랍니다.
경우에 따라 출혈 및 부작용이 발생할 수 있으며
치료 방법과 과정은 개인 차가 있을 수 있습니다.
더 보기
이 병원의 공개 콘텐츠를 계속 살펴보세요
출처 아카이브로 돌아가 더 많은 글을 보거나, 병원 프로필로 이동해 다른 공개 채널도 함께 비교해보세요.