명동콤비치과의원 (명동)
앞니치아교정 자연스러운 결과를 위해 알아둬야 할 점
안녕하세요 치과의사 황용인원장입니다. 오늘은 돌출된 앞니로 고민하시는 분들을 위해서 앞니치아교정이 진행된 사례와 함께 관련된 내용들을 알아보도록 하겠습니다. 전체적인 치열의 상태는 가지런한 편이지만 돌출된 앞니로 인해서 고민을 하시는 경우에는 정면으로 볼 때는 입이 잘 다물어지지 않거나 측면에서는 돌출입으로 보이기 때...
아카이브 요약
이 페이지의 역할
명동콤비치과의원 (명동)의 네이버 블로그 원문을 보존한 아카이브 페이지입니다. 치아스토리♡ 카테고리의 앞니치아교정 자연스러운 결과를 위해 알아둬야 할 점 글을 통해 병원의 한국어 정보 제공 방식과 진료 관련 안내 톤을 확인할 수 있습니다.
안녕하세요 치과의사 황용인원장입니다.
오늘은 돌출된 앞니로 고민하시는 분들을 위해서
앞니치아교정이 진행된 사례와 함께
관련된 내용들을 알아보도록 하겠습니다.
전체적인 치열의 상태는 가지런한 편이지만
돌출된 앞니로 인해서 고민을 하시는 경우에는
정면으로 볼 때는 입이 잘 다물어지지 않거나
측면에서는 돌출입으로 보이기 때문에 치열뿐 아니라
얼굴형으로 인한 고민을 하시는 경우가 많은데요.
돌출입이 치아로 인한 경우라고 한다면
발치 교정을 통하여 충분히 개선이 가능합니다.

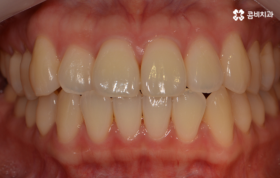
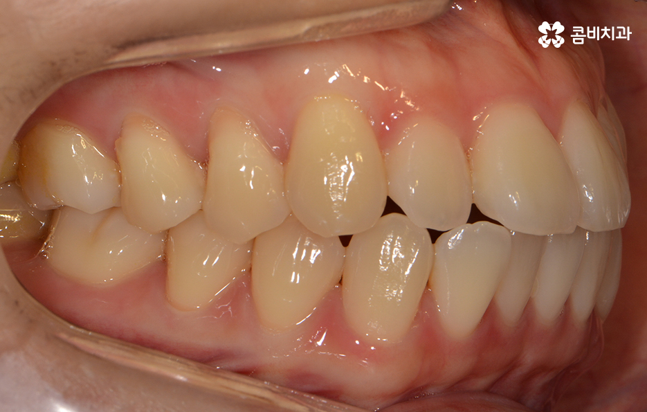
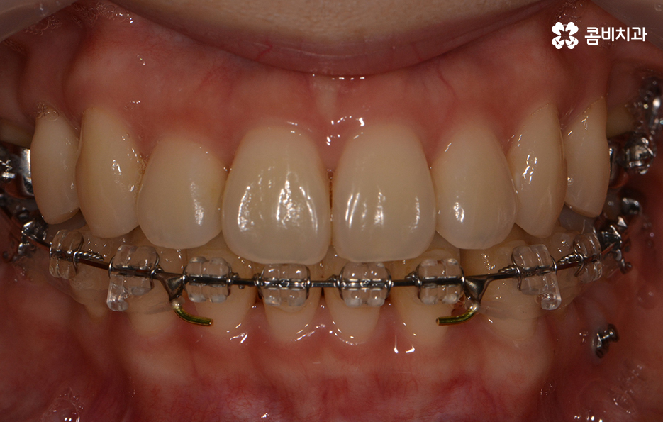
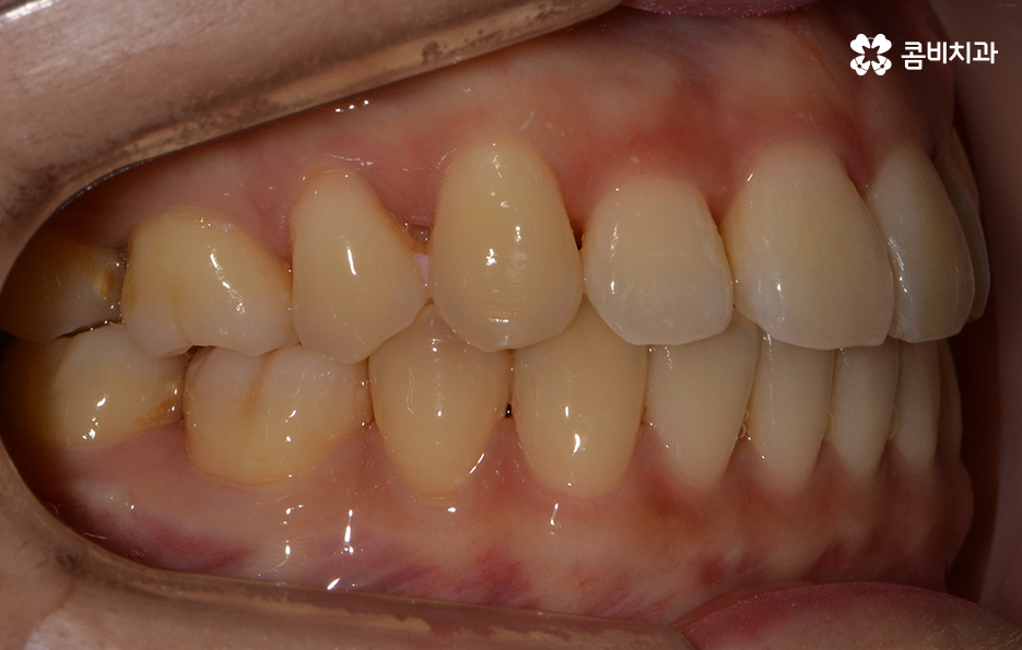
돌출된 앞니로 인해서 교정을 원하신 상황이며 치료 전 치아 상태
치열의 상태가 정면으로 바라봤을 때 비교적 가지런한 편이지만
측면으로 볼 때 유독 앞으로 돌출된 경우라면
입모양과 얼굴형에도 영향을 주기 때문에
앞니치아교정을 알아보시는 분들 중에서
이러한 고민으로 인해 치료를 원하시는 경우가 많습니다.

돌출입으로 인해 고민하신다면 비수술적인
방법으로도 개선되는 사례가 많기 때문에
숙련된 의사에게 정확한 검진을 받아보시길 바랍니다.
앞니치아교정을 알아보시는 분들 중에서 벌어진 치아로
인해 고민을 하시는 경우에는 부분교정이나
윗니만 교정이 가능한 경우도 있지만 돌출된 치아로
인해서 얼굴 변화를 원하신다면 발치를 통해
치아의 이동 공간을 확보해야 하는 경우가 대부분입니다.


꼭 발치를 해야 하는 건가요?
사람의 치아는 위, 아래 각각 14개의 치아로 악궁을 이루고 있는데
치아가 유독 앞으로 튀어나온 경우라고 할 때
안으로 당겨주면서 돌출입을 개선하고 가지런한 치열을
만들어주기 위해서는 치아의 이동 공간이
확보되어야 하기 때문에 얼굴 변화를 목적으로 하실 경우
발치가 필요한 경우가 대부분이며 정확한
시술 계획은 개인차가 있으므로 정밀 검진이 필요합니다.

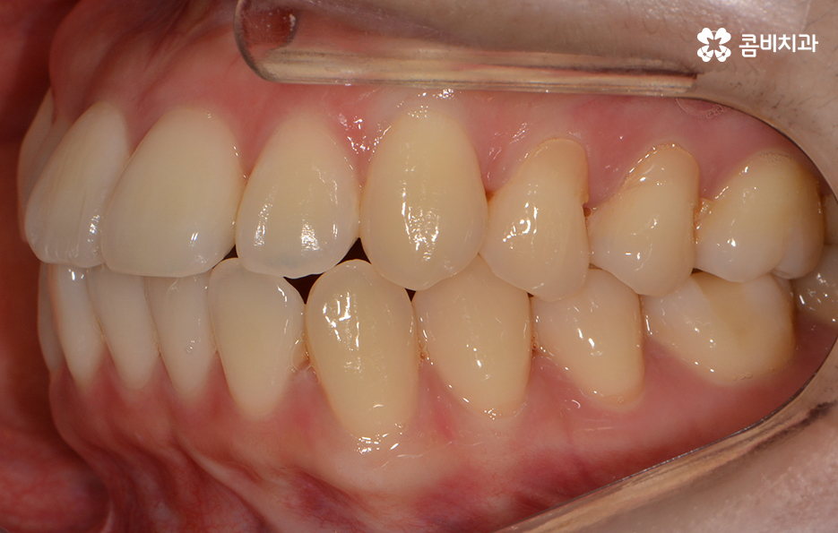
치료가 시작되기 전 치아 상태
돌출치아로 인한 돌출입이나 앞니의 벌어짐이 비교적 심하지
않은 분들이라고 하더라도 모델이나 서비스직 등에서
종사하거나 외모에 대한 관심이 많으신 분들의 경우에는
보다 나은 심미적인 만족감을 얻길 원하시는 경우가 많습니다.
앞니치아교정 치료에 사용되는 장치 역시도
우수한 심미성을 원하시는 경우가 많은데요.

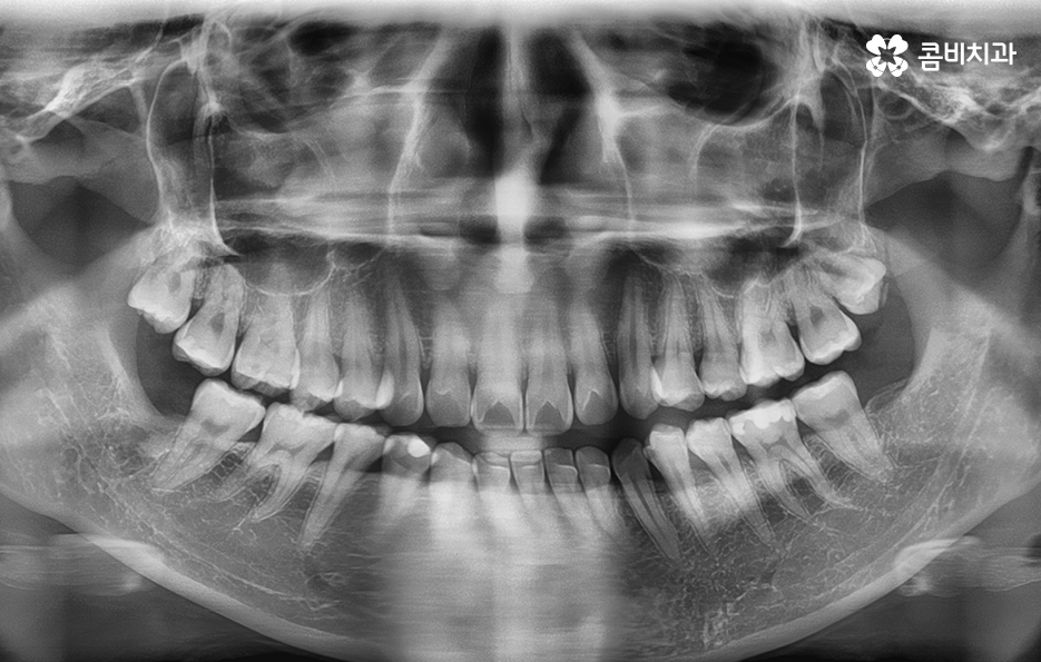
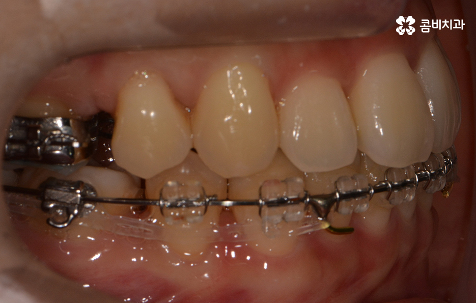
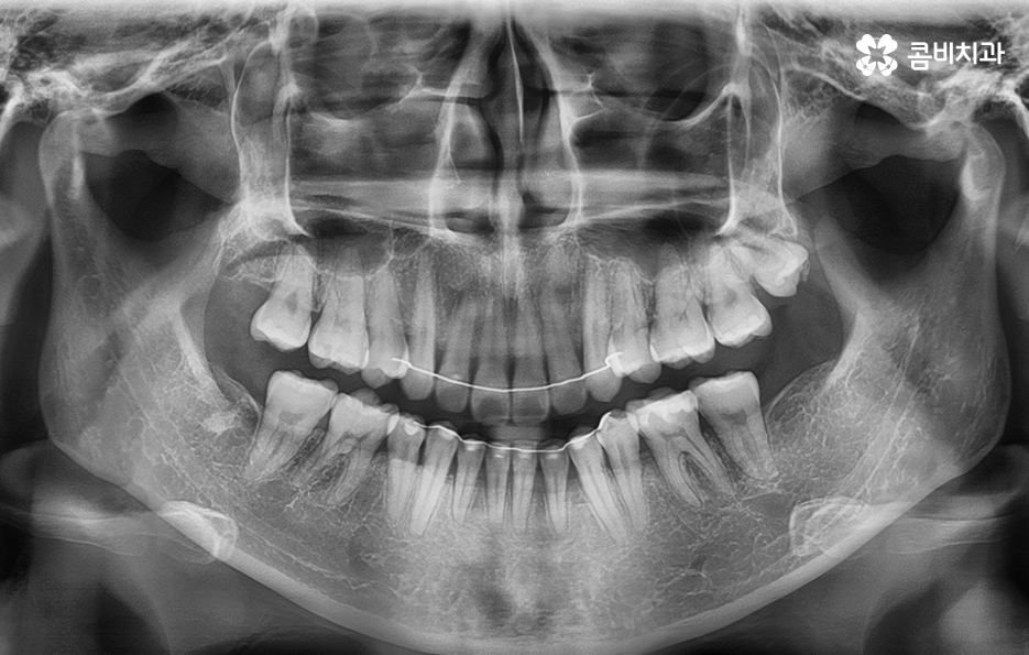
발치가 진행되었고 콤비교정 장치를 사용하여 교정이 진행된 사례
외부에 교정 사실을 되도록 알리지 않고 싶을 때
콤비교정을 통해서 치료가 진행되는 경우가 많습니다.
심미적으로 우수한 교정 방법에는 대표적으로
치아의 안쪽에 장치를 부착하는 설측교정 방식이 있는데
아랫니까지 설측으로 진행을 할 경우 혀가 아래에 위치한 만큼
이물감이나 발음상의 불편함을 느낄 수밖에 없기
때문에 이러한 부분이 보완된 방법이 콤비교정입니다.


콤비교정은 윗니는 설측으로 장치가 부착되며 아랫니는 순측으로
치아 바깥쪽에 장치가 부착되는데요.
평상시 대화를 하고 웃을 때 윗니가 위주로 보이기 때문에
크게 웃지 않는 이상 일상생활을 하실 때
교정 사실이 거의 드러나지 않을 정도로 높은 심미성을 갖고 있습니다.

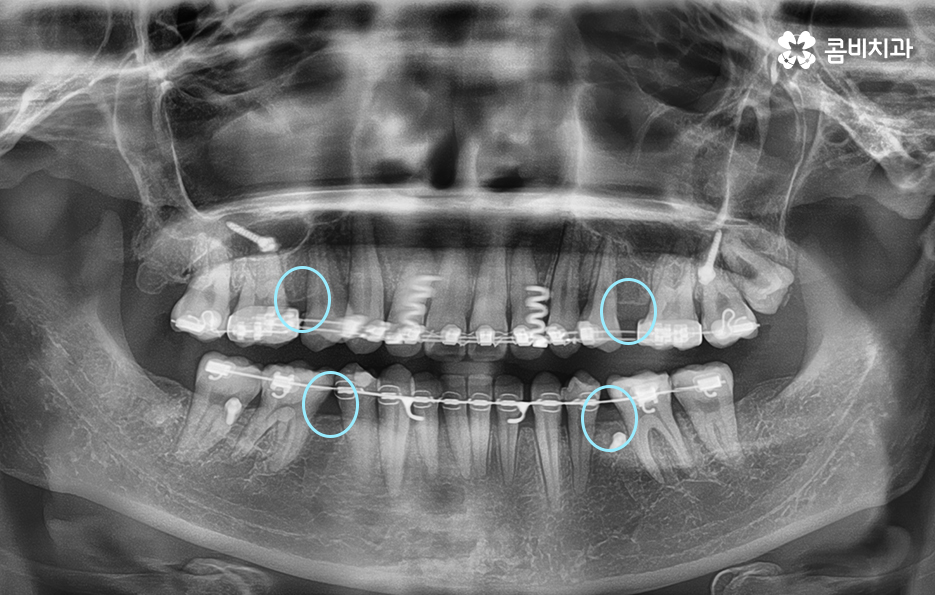
위 엑스레이 사진을 보시면 파란 원을 그린 부분이
발치를 한 부위이며 교정 기간이 경과함에 따라서
이 공간이 점점 메워지게 되고
가지런한 치열은 물론 돌출입도 개선됩니다.

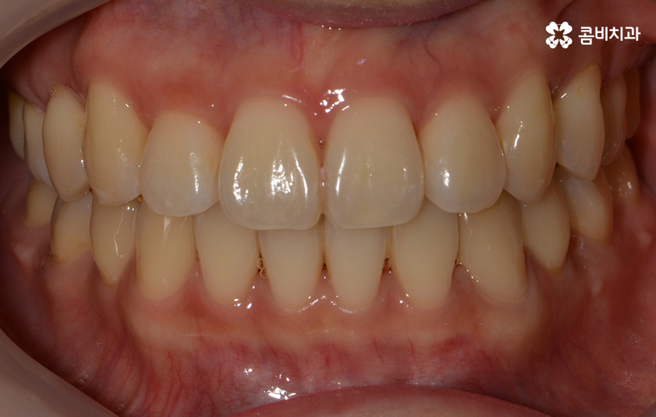
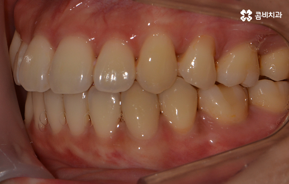
콤비교정이 마무리된 후 장치를 풀어낸 모습
처음부터 교정치료를 알아보실 때 얼굴 변화를 생각하여
알아보시는 분들도 많이 계시지만
불규칙한 치열로 인해서 치열의 개선만을 먼저
생각해고 교정을 알아보시는 분들도 계실 텐데요.
누구라도 교정치료를 받을 때 얼굴과 골격을 함께
생각한 치료 계획을 세우는 것이
보다 건강하고 얼굴과의 조화를 위해서도 중요합니다.


같은 앞니치아교정을 고민하고 계시더라도
개인에 따라서 벌어짐부터 덧니, 돌출 치아 등
다양한 케이스가 있을 수 있으므로
적합한 시술 계획은 다를 수 있다는 점을
먼저 생각하시고 오늘 다룬 내용은
한가지 사례 정도로 참고하시길 바랍니다.

교정 장치를 풀어낸 후 유지 장치를 부착한 상태
자신에게 적합한 치료 계획부터 일상생활을 충분히
고려한 정확한 계획을 세우기 위해서는
미리 여유 있게 정밀 검진을 받아보신 후에
담당의와 잘 상의하여 판단 하시길 바라며
얼굴 변화에 대해 더 궁금하신 점은 아래 영상을
참고하신다면 도움이 되실겁니다.
질문사항이 있으시다면 덧글 남겨주시면 답변드리겠습니다. 감사합니다.
개인에 따라 출혈 및 부작용이 발생할 수 있으며
치료 계획은 달라질 수 있으니 주의하시길 바랍니다.
더 보기
이 병원의 공개 콘텐츠를 계속 살펴보세요
출처 아카이브로 돌아가 더 많은 글을 보거나, 병원 프로필로 이동해 다른 공개 채널도 함께 비교해보세요.