아카이브 요약
이 페이지의 역할
명동콤비치과의원의 네이버 블로그 원문을 보존한 아카이브 페이지입니다. 치아스토리♡ 카테고리의 송곳니 덧니 뽑지 않고 해결된 사례 글을 통해 병원의 한국어 정보 제공 방식과 진료 관련 안내 톤을 확인할 수 있습니다.
원문 검증
필요하면 원문 블로그와 병원 프로필로 바로 이동해 문맥을 다시 확인할 수 있습니다.
출처 아카이브 열기아카이브된 블로그 글
명동콤비치과의원 · 콤비덴탈 치과의사 황용인
안녕하세요 콤비치과 황용인 원장입니다. 치아교정을 알아보실 때 진료 과정이 어떻게 이뤄지는지 너무 복잡하거나 어렵게 느끼시는 분들이 많은데요. 물론 치아교정은 전체 과정을 하나하나 잘 따져봐야 하는 것은 맞지만 처음에는 자신의 상태를 정확히 알고 본인이 원하는 결과를 얻기 위해 어떤 과정을 거쳐야 하는지 정확한 목표...
게시일
2020년 5월 25일
원문 기준으로 확인된 발행일입니다.
카테고리
치아스토리♡
원문 블로그 카테고리를 정리해 함께 표시합니다.
이미지 수
13
현재 아카이브에 연결된 이미지 수입니다.
아카이브 요약
명동콤비치과의원의 네이버 블로그 원문을 보존한 아카이브 페이지입니다. 치아스토리♡ 카테고리의 송곳니 덧니 뽑지 않고 해결된 사례 글을 통해 병원의 한국어 정보 제공 방식과 진료 관련 안내 톤을 확인할 수 있습니다.
원문 검증
필요하면 원문 블로그와 병원 프로필로 바로 이동해 문맥을 다시 확인할 수 있습니다.
출처 아카이브 열기안녕하세요 콤비치과 황용인 원장입니다.
치아교정을 알아보실 때 진료 과정이 어떻게 이뤄지는지
너무 복잡하거나 어렵게 느끼시는 분들이 많은데요.
물론 치아교정은 전체 과정을 하나하나 잘 따져봐야 하는 것은
맞지만 처음에는 자신의 상태를 정확히 알고
본인이 원하는 결과를 얻기 위해 어떤 과정을
거쳐야 하는지 정확한 목표 설정을 하는 것이 중요합니다.
오늘은 송곳니 덧니 때문에 고민하시는 분들을
위해서 해당 주제로 어떤 과정으로 교정이
이뤄지는지 이야기 나눠 보도록 하겠습니다.

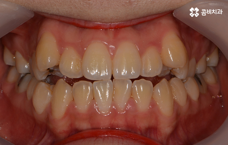
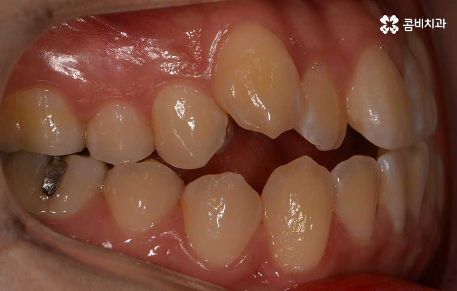
덧니는 꼭 발치를 해야 할까요?
처음 교정을 알아보기 시작할 때만 해도 발치를 해야 한다는
생각은 전혀 못하셨던 분들도 계시지만 치과에서 검진을
받아보면 발치를 권유받으신 분들도 계실 텐데요.
치아교정은 단순히 치열을 가지런하게 배치하는 것이 아니라
개인에 따라 다른 골격과 얼굴형, 교합 등을 충분히
고려하여 진료가 이뤄져야 하기 때문에 치아의 이동 공간을
생각할 때 발치가 필요한 경우도 있고 그렇지 않기도 합니다.


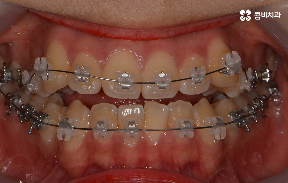
위 환자분의 경우에는 비발치로 송곳니 덧니 교정이
진행된 사례이며 전체 진료 기간은 약 1년 6개월가량이 소요되었습니다.
교정에 걸리는 기간은 얼마나 예상해야 하나요?
교정을 진행하는 기간 동안 일상생활을 유지해야 한다는 점에서
치료 기간이 얼마나 걸릴지 궁금해하시는 분들이 많으신데요.
기본적으로는 치열 상태에 따라서 개인차가 발생하는 부분이 있고
교정 발치와 양악 수술의 유무에 따라
진료 기간이 늘거나 줄어들 수 있습니다.


교정을 시작하기 전에 충치치료를 먼저 진행하였고 한 달 정도 소요됨
그리고 교정 장치를 어떤걸 선택하는지에 따라 치료 기간이
3~6개월 정도 차이가 날 수 있으며, 당장 치료를 해야할
충치가 있다면 치료 후 교정이 시작되기 때문에
개개인의 상태에 따라 전체적인 치료 기간이 결정되게 됩니다.
추가로 사랑니의 경우에도 치료 기간에 영향을 줄 수 있는데요.
교정 전에 발치를 하는 경우, 중간에 하는 경우, 끝나고 하는 경우로
나눌 수 있으며, 정밀 검사를 통해 치료 계획을 세운 뒤
순차적으로 치료를 진행하게 됩니다.


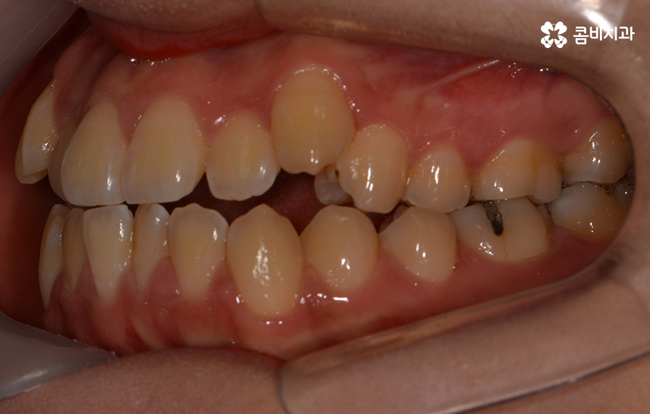
송곳니 덧니 치료를 할 때 주의해야 할 점은
자신의 골격과 얼굴형을 충분히 생각해야 한다는 것입니다.
덧니 자체만 본다면 비교적 심하지 않은 분들도
계실 수 있겠지만 치아가 돌출되어 있으신 경우에는
옆모습이 돌출입으로 보일 수 있기 때문에
앞모습과 옆모습, 전체 얼굴형을 고려하여
자신의 얼굴과 자연스럽게 어울리는 결과가 중요합니다.
돌출 앞니로 인해서 발치가 진행된 케이스는
아래 포스팅을 참고하시길 바랍니다.
https://blog.naver.com/leeks9095/221970330146


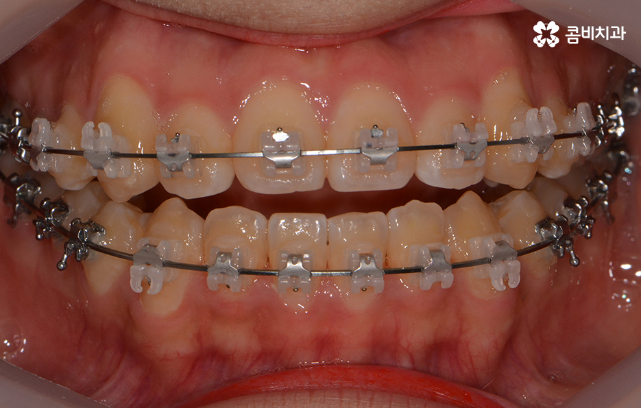
클리피씨 교정을 통해서 덧니가 개선되고 있는 경과
앞서 치아교정에 걸리는 기간은 어떤 교정 장치를 선택하냐에
따라서 차이가 발생된다고 말씀을 드렸는데요.

요즘 선호도가 높은 교정 장치로는 클리피씨 교정이 대표적입니다.
클리피씨 교정의 경우에는 일반적인 교정 방법에 비해서
진료 기간을 단축시킬 수 있다는 장점이 있는데
자가 결찰 장치로 서서히 치아를 지속적으로 이동시켜서
초기 통증은 줄이고 교정 기간의 단축이 가능합니다.
또한 교정 장치의 재질이 세라믹이기 때문에
심미적이라는 장점이 있으며 철사로 인한 찔림이
없다는 점에서도 편리함이 있는 장치입니다.


클리피씨 교정의 또 한 가지 장점은 주기적으로
치과를 내원해야 하는 횟수를 줄일 수 있다는 점입니다.
클립형태로 와이어를 고정시키기 때문에 철사로 와이어를 고정하는
일반 교정 장치에 비해 치아 이동이 빠르고, 와이어를 조정하는데 용이하여
일반 장치에 비해 치아가 빨리 펴지게 됩니다. 이로인해 주기적으로 치아에
힘을 줘야하는 횟수가 일반장치에 비해 적고, 철사가 찔리거나 풀릴일이 없어
전체적으로 치과에 내원하는 횟수가 줄어들게 됩니다.
직장 생활이 바쁘거나 군인의 신분, 지방 거주 등으로
인해서 잦은 내원에 대한 부담감이 있으실 경우에는
내원 횟수를 줄일 수 있다는 점도 장점으로 느끼실 수 있을 것 같습니다.

송곳니 덧니의 경우에도 사람에 따라 여러 케이스가 있을 수
있기 때문에 정확한 검진을 통해 자신에게 맞는 치료 방법을
알아보시고 결정을 하는 것이 중요합니다.
오늘은 송곳니 덧니를 치료하게 될 때 진료 기간이 얼마나
예상해야 할지부터 발치의 여부, 어떤 장치를 선택하냐에
따라서 달라질 수 있는 진행과정에 대해서 알아보았습니다.
치아교정은 개인 차도 있겠지만 전문의에게 정확한
상담을 받아보기 전에는 일반인이 놓치기 쉬운
부정교합의 확인부터 얼굴 변화 등에 대해 정확히 알기 어렵습니다.
그렇기 때문에 오늘 나눈 주제의 경우에도
참고를 하시되 치과에서 정확한 검진을 통해
자신에게 적합한 치료 계획을 알아보시길 바랍니다.
교정 치료에 대한 여러 궁금증은 콤비 TV 유튜브를 통해서도
다양한 주제를 접하실 수 있으며 질문이
있으시다면 덧글로 남겨주시길 바랍니다
치아교정은 개인 차가 크며 정확한 치과 검진이 필요합니다.
개인에 따라 부작용 및 출혈 등이 있을 수 있습니다.