명동콤비치과의원 (명동)
앞니 충치치료 개인에 따라 달라지는 이유
안녕하세요. 치과의사 황용인 원장입니다. 앞니는 다른 부위에 비해 깨지거나 충치가 발생하면 유독 더 신경 쓰이기도 하고 치료를 하더라도 혹시 티가 나진 않을지 걱정을 하시는 경우가 많은데요. 오늘은 앞니에 충치나 깨짐이 발생되었을 때 어떤 방법으로 치료가 진행되는지 여러 사례를 통해서 함께 알아보도록 하겠습니다....
아카이브 요약
이 페이지의 역할
명동콤비치과의원 (명동)의 네이버 블로그 원문을 보존한 아카이브 페이지입니다. 치아스토리♡ 카테고리의 앞니 충치치료 개인에 따라 달라지는 이유 글을 통해 병원의 한국어 정보 제공 방식과 진료 관련 안내 톤을 확인할 수 있습니다.
안녕하세요. 치과의사 황용인 원장입니다.
앞니는 다른 부위에 비해 깨지거나 충치가 발생하면
유독 더 신경 쓰이기도 하고 치료를 하더라도
혹시 티가 나진 않을지 걱정을 하시는 경우가 많은데요.
오늘은 앞니에 충치나 깨짐이 발생되었을 때
어떤 방법으로 치료가 진행되는지
여러 사례를 통해서 함께 알아보도록 하겠습니다.

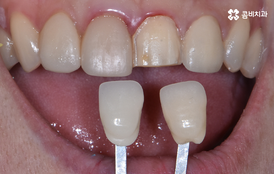
앞니 충치가 갈수록 심해져서
너무 아프다가 치아가 검게 변색까지 되었어요.
앞니 충치치료 사례는 다양한데 초기에 손상이 심하지 않을 때는
까만 점처럼 보이는 충치를 발견하여 간단하게 레진으로
치료를 하는 경우도 있지만 위 사례처럼 충치가 점점 치아 내부까지 깊어져
치아의 손상이 커짐과 함께 변색까지 발생하는 경우도 있습니다.

충치로 인한 손상이 치아 내부까지 깊어질수록
레진과 같은 치료 방법으로는 한계가 있으며
위 환자분의 경우 충치가 깊어진 상황이므로
치아 전체를 덮어 씌우는 치료 방법인
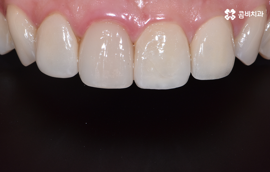
올세라믹으로 앞니 충치치료 진행된 사례입니다.


올세라믹은 주변 치아의 색과 모양, 투명성을 고려하여 보철물이 제작됨
보통 어금니와 같은 치아의 경우 손상 정도에 따라서
레진, 인레이, 크라운 치료의 순서대로 치료 방법에서
차이가 발생한다면 앞니 충치치료의 경우에는
치아가 얇고 심미적으로 중요한 부위이기 때문에
손상 정도에 따라서 레진, 라미네이트, 올세라믹 순으로
치료가 진행되는 경우가 대부분입니다.


앞니 치아 안쪽에 충치가 발생한 사례
다음으로 소개할 사례는 치아의 안쪽에 발생한 충치를
제거한 후 레진으로 마무리 한 치료 사례입니다.
충치가 발생한 부위에 되도록 자연치아의 손상을
최소화하여 충치를 잘 제거한 후 레진으로
치아 내부를 보호해 주는 치료 방법입니다.


레진 치료의 장점은 간단하게 치료가 끝나며 심미적이기 때문에
치아 전반적으로 충치 초기 치료에 많이 쓰이는 방법입니다.
요즘은 어금니 충치라고 하더라도 금속성의 치료 재료보다는
세라믹이나 지르코니아같이 심미성이 높은 재료를 많이 선호합니다.
충치 치료 후에도 주기적으로 치과 검진을 통해서
치아 상태를 확인하는 것이 좋으며 레진이나 인레이, 크라운 등도
치료 후 오랜 시간이 지나거나 환자분의 생활 환경, 습관에
따라서 손상이나 마모로 인한 교체가 필요한 시기가 달라질 수 있습니다.
충치치료 후에 당장 불편함이 없다고 하더라도
꼭 주기적으로 검진을 하는 것이 평소에는 쉽게 알기 어려운
치아의 초기 문제를 빠르게 확인할 수 있습니다.

마지막으로 소개드릴 앞니 충치치료 방법은 라미네이트입니다.
충치가 앞니에 발생했을 때 초기에는 레진으로
치료를 하지만 손상이 좀 더 심한 경우 라미네이트를 활용합니다.
라미네이트는 충치 치료 방법보다는 빠른 치아성형 방법으로
많이 알려져 있는데 앞니의 벌어짐, 깨짐 등의 치료에도 많이 쓰입니다.
심미성이 우수하지만 치아의 겉면에 세라믹 박편을
붙이는 방식의 치료 방법이기 때문에
자연치아에 비해 내구성이 약한 편이므로
음식물을 섭취할 때 주의를 하시는 것이 필요합니다.

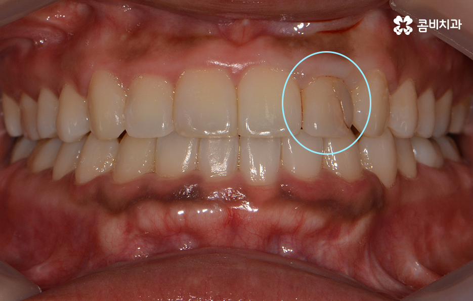
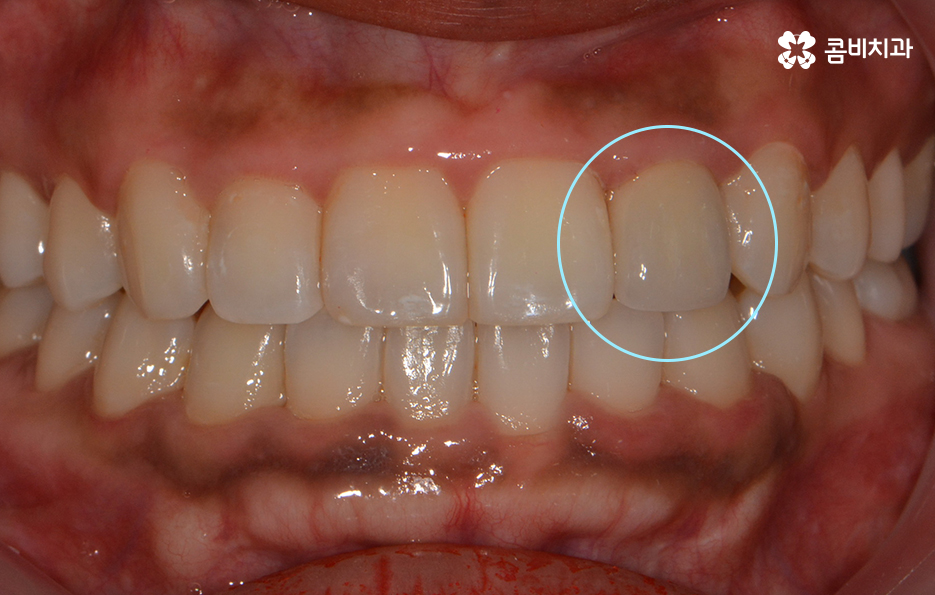
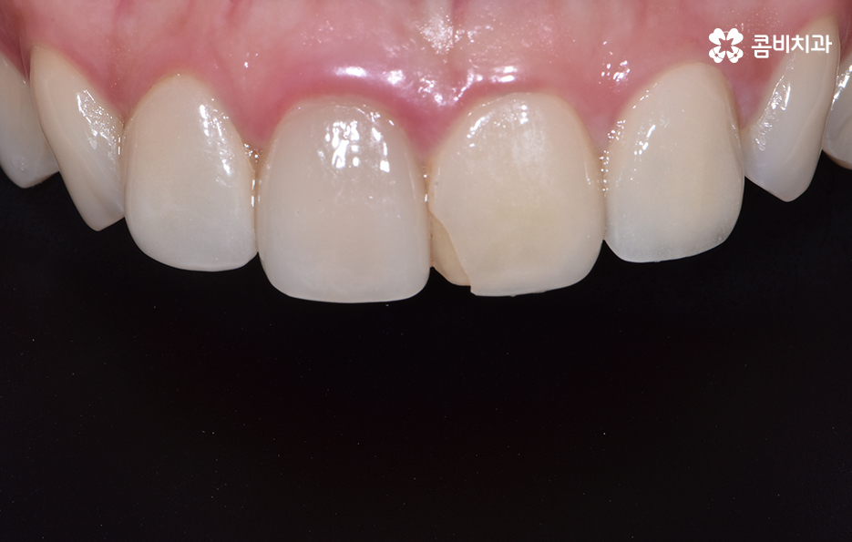
위 환자분의 경우 기존에 타 치과에서 치료받으셨던
라미네이트가 깨져서 내원하셨습니다.
앞니 충치치료 후 레진이나 라미네이트가 깨지는 사례가
종종 있는데 치료 후에는 평상시 생활 습관에 있어서
주의가 필요하며 이 악물기와 같은 습관이 있으신 경우
검사를 통해 개선 방안과 원인을 찾아보는 게 좋습니다.
또한 치아의 법랑질이 살짝 깨지거나 치료를 이미 했던
부위가 깨진 경우에 당장 이가 시리거나 아프지 않더라도
치과에 가서 바로 치료를 받는 것이 중요합니다.
왜냐하면 한번 치아의 일부가 깨지면 시간이 지날수록
주변이 더 약해지고 깨질 수 있으며 내부 충치가
발생할 우려와 치아의 시림, 통증이 점점 심해지는 경우도
많기 때문에 심미적인 회복뿐 아니라 치아 건강을
위해서도 곧바로 치료를 해야 합니다.

오늘은 앞니 충치치료에 대표적으로 많이 쓰이는 레진, 라미네이트,
올세라믹에 대한 주제로 이야기를 나눠보았습니다.
이 외에도 지르코니아 역시 심미적이면서 내구성이 높다는 점에서
앞니 치료에 많이 쓰이지만 지르코니아의 경우
다음 포스팅에 보다 자세히 다뤄보도록 하겠습니다.
앞니는 한번 깨지거나 충치가 발생되면 인상에 큰 영향을
주는 만큼 더 걱정을 하게 되는 부위이지만
오늘 소개한 방법들과 같이 주변 치아와 비교해도
티가 안 나게 치료가 가능하니 너무 걱정하기보다는
치과에서 빠른 치료를 받아보시길 바랍니다.
라미네이트와 올세라믹에 대해 보다 궁금하신 점이 있다면
아래 영상을 참고해보시길 바라며
질문이 있으시다면 덧글로 남겨주시길 바랍니다.
환자의 상태에 따라서 출혈 및 부작용이 발생할 수 있으며
정확한 검진을 통해서 의사에게 치료 계획을 세우셔야 합니다.
더 보기
이 병원의 공개 콘텐츠를 계속 살펴보세요
출처 아카이브로 돌아가 더 많은 글을 보거나, 병원 프로필로 이동해 다른 공개 채널도 함께 비교해보세요.