아카이브 요약
이 페이지의 역할
명동콤비치과의원의 네이버 블로그 원문을 보존한 아카이브 페이지입니다. 치아스토리♡ 카테고리의 치아부분교정 내게도 적합한지 알아보려면 글을 통해 병원의 한국어 정보 제공 방식과 진료 관련 안내 톤을 확인할 수 있습니다.
원문 검증
필요하면 원문 블로그와 병원 프로필로 바로 이동해 문맥을 다시 확인할 수 있습니다.
출처 아카이브 열기아카이브된 블로그 글
명동콤비치과의원 · Naver Blog
안녕하세요. 치과의사 황용인입니다. 보통 좋은 인상을 가진 사람을 떠올리면 밝게 웃는 모습이 연상되는데요. 사람의 인상에서 중요한 부분은 단연 치아이고 중요하게 생각되는 부분을 스마일라인이라고 합니다. 웃거나 대화를 할 때 앞니가 주로 보이기 때문에 유독 앞니가 벌어진 상태라면 웃을 때마다 신경이 쓰이고 자신감이 떨어...
게시일
2020년 6월 12일
원문 기준으로 확인된 발행일입니다.
카테고리
치아스토리♡
원문 블로그 카테고리를 정리해 함께 표시합니다.
이미지 수
8
현재 아카이브에 연결된 이미지 수입니다.
아카이브 요약
명동콤비치과의원의 네이버 블로그 원문을 보존한 아카이브 페이지입니다. 치아스토리♡ 카테고리의 치아부분교정 내게도 적합한지 알아보려면 글을 통해 병원의 한국어 정보 제공 방식과 진료 관련 안내 톤을 확인할 수 있습니다.
원문 검증
필요하면 원문 블로그와 병원 프로필로 바로 이동해 문맥을 다시 확인할 수 있습니다.
출처 아카이브 열기안녕하세요. 치과의사 황용인입니다.
보통 좋은 인상을 가진 사람을 떠올리면
밝게 웃는 모습이 연상되는데요.
사람의 인상에서 중요한 부분은 단연 치아이고
중요하게 생각되는 부분을 스마일라인이라고 합니다.
웃거나 대화를 할 때 앞니가 주로 보이기 때문에
유독 앞니가 벌어진 상태라면 웃을 때마다
신경이 쓰이고 자신감이 떨어지는 분들도 계실 겁니다.
치아가 전체적으로 비뚤거나 부정교합이 있으신
경우에는 치아부분교정이 어렵겠지만
전체적인 치열이 가지런한 편인데 부분적으로 치아가
벌어져 있는 경우에는 꼭 전체 교정을 하지 않아도
부분 교정을 통해서 치료가 가능합니다.


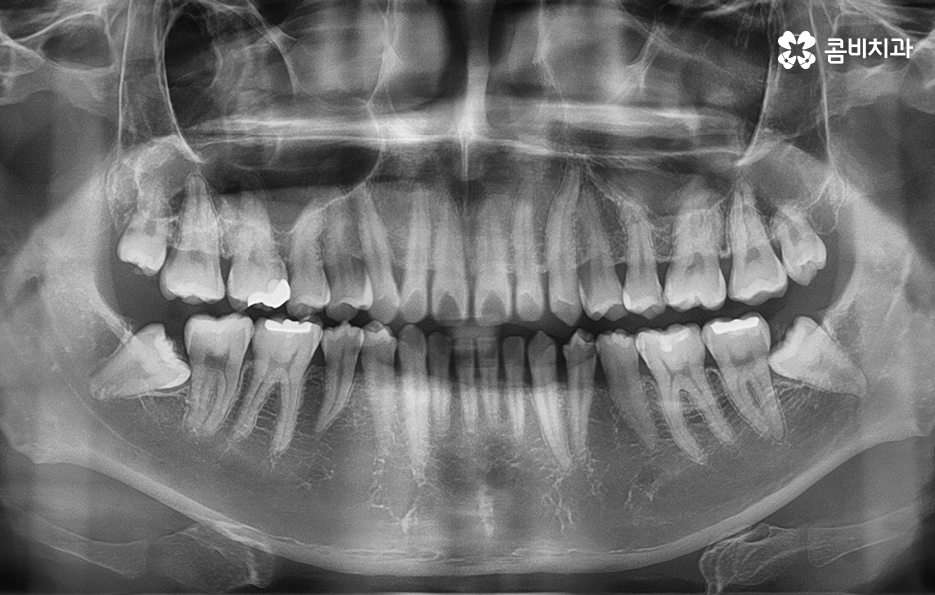
교정 장치를 선택하기 전에 골격 상태와 치열, 얼굴형 등을 먼저 정밀 검진해야 합니다.
부분 치아교정은 누구나 가능한가요?
오랫동안 불규칙한 치열로 인해 불만족을 느끼신 분들의
경우 치아부분교정을 통해서 앞니만이라도
가지런해졌으면 하는 마음을 갖는 분들도 많습니다.
하지만 실질적으로 부분교정이 가능한 사례를 보면
보편적으로 재교정을 원하시는 경우와
전체 치열과 교합은 큰 문제가 없는 편이나
앞니 정도가 벌어진 경우와 같이 제한적인 경우가 많습니다.

유독 앞니가 벌어져 있거나 나이가 들면서 서서히 치아가
벌어져 고민을 하시는 분들이 계신데요.
전체 교정을 해야 한다 싶으면 부담이 클 수밖에 없겠지만
상대적으로 부담이 적은 치아부분교정이 가능하다면
치료를 원하시는 분들도 많을 것입니다.
부분 교정이 가능한지 확인하기 위해서는 먼저 치과에서
정밀 검진을 통해 정확한 치료 계획을 확인해야 합니다.
위 사례의 경우 앞니만 치아부분교정 통해서 치료가
이뤄진 사례로 치아의 돌출 여부나 골격, 교합 등을
고려하여 큰 문제 없이 치료가 가능했던 사례입니다.


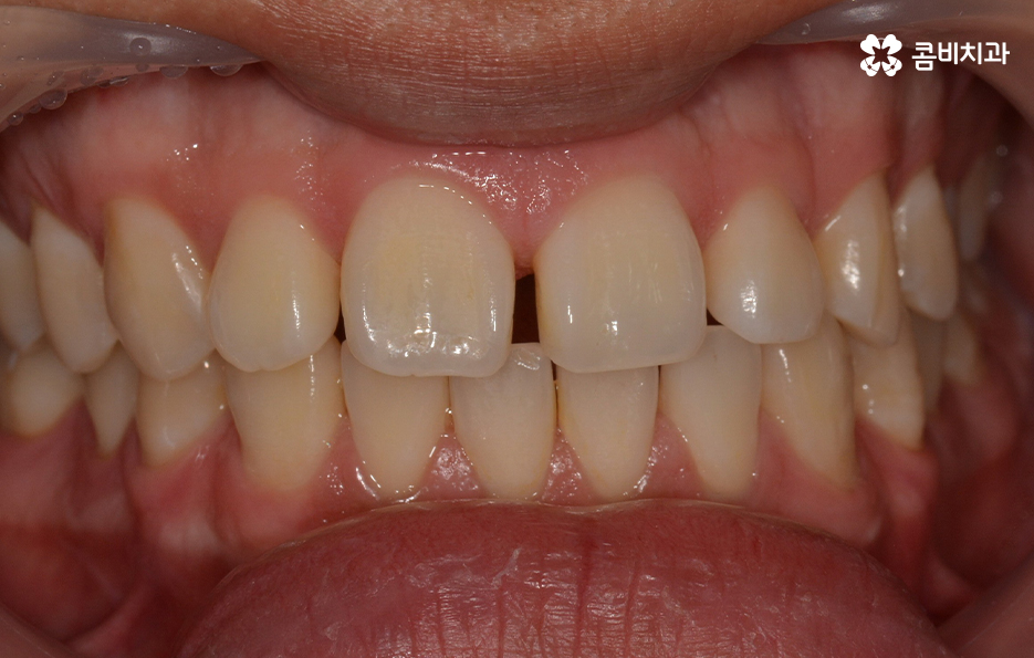
위 사례의 경우 유독 앞니 위주로 치아가 벌어져 있는 상태이며
옆모습의 경우에도 비교적 양호한 상태입니다.
치아는 선천적으로 벌어져 있는 경우도 있지만
나이가 들수록 잇몸이 약해지면서 치아 사이가
벌어지는 경우도 있기 때문에 치아의 벌어짐을
예방하고 치료 후 결과를 잘 유지하기 위해서는
주의사항 실천은 물론 잇몸 상태를 건강하게 유지해야 합니다.


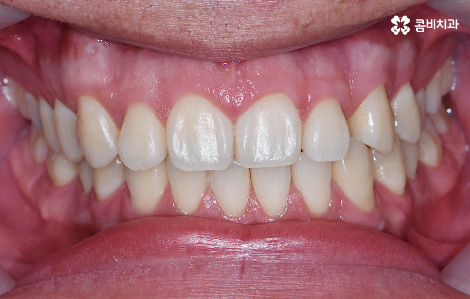
치아부분교정은 위 사례와 같이 대부분 앞니 6개의 치아에
부분적으로 교정 장치를 부착하여 진행이 되며
전체 교정에 비해서 저렴하고 짧은 치료 기간이 장점입니다.
이물감이나 통증이 비교적 적다는 이점도 있으며
설측교정 방식으로 치아 안쪽에 장치를 부착하여
외부에 전혀 티가 나지 않는 방법으로 치료도 가능합니다.

앞니가 심하게 변색이 되었거나 깨지고 충치 등이 발생한 경우에는
심미치료를 위해서 라미네이트와 같은 방식을 활용하는데요.
앞니가 벌어져서 고민을 하시는 분들이라면 치아 삭제에
대한 걱정을 해야 하는 치아 성형술보다는
자연치아를 건강하게 지키면서 원하는 심미성도
얻을 수 있는 부분교정도 가능할 수 있다는 점을 참고하시길 바랍니다.
만약 앞니의 깨짐이나 충치 등으로 인한 고민을 하신다면
아래 포스팅을 참고하시길 바라며 치아교정은
치료는 물론 잘 유지하는 것도 중요하기 때문에
사후관리까지 잘 생각하여 치과 선택을 하셔야 합니다.
교정 장치를 풀어낸 후 유지 장치에 대한 궁금증은
아래 영상을 통해서 확인해보시길 바라며
질문이 있으신 분들은 덧글로 남겨주시길 바랍니다.
개인에 따라서 정확한 치료 계획은 달라질 수 있으며
치과에서 정밀검진을 받아보신 후 확인해보시길 바라며
출혈 및 부작용 등이 발생할 수 있습니다.