명동콤비치과의원 (명동)
블랙트라이앵글 레진으로 해결한 사례
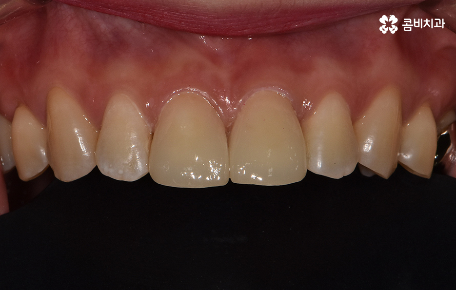
안녕하세요 치과의사 황용인원장입니다. 많은 분들께서 앞니 사이가 벌어졌거나 틈이 있는 경우 심미적으로 크게 부담감을 느끼고 거울을 볼 때마다 신경이 쓰이고 스트레스를 받아 하시는데요. 예전에는 괜찮았는데 나이가 들수록 치아 사이에 틈이 발생했다며 고민하시는 분들이 상당히 많습니다. 치아와 치아 사이에 발생한 빈 공...
아카이브 요약
이 페이지의 역할
명동콤비치과의원 (명동)의 네이버 블로그 원문을 보존한 아카이브 페이지입니다. 치아스토리♡ 카테고리의 블랙트라이앵글 레진으로 해결한 사례 글을 통해 병원의 한국어 정보 제공 방식과 진료 관련 안내 톤을 확인할 수 있습니다.
안녕하세요 치과의사 황용인원장입니다.
많은 분들께서 앞니 사이가 벌어졌거나 틈이 있는 경우
심미적으로 크게 부담감을 느끼고 거울을 볼 때마다
신경이 쓰이고 스트레스를 받아 하시는데요.
예전에는 괜찮았는데 나이가 들수록 치아 사이에 틈이
발생했다며 고민하시는 분들이 상당히 많습니다.
치아와 치아 사이에 발생한 빈 공간이 주로 삼각형 모양을
띄기 때문에 블랙트라이앵글이라고 부르기도 하는데
오늘은 블랙트라이앵글이 발생하는 원인과 치료 방법에
대해서 알아보도록 하고 예방을 위해서는 어떻게
해야 하는지 함께 알아보도록 하겠습니다.

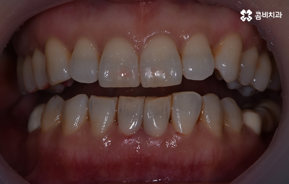
치아 사이에 발생한 블랙트라이앵글은 미관상 좋지 않기 때문에
심미 치료를 위해 공간을 채우는 방법이나 벌어진 치아 사이를
교정하는 방법으로 보통 치료가 진행이 됩니다.
블랙트라이앵글이 발생하는 원인은?
보편적인 원인으로는 잇몸질환으로 인한 경우가 가장
많으며 치아교정을 통해서 겹쳐 있었던 치아가
가지런해지면서 치아의 사이 공간이 발생하는 경우도 있습니다.
보통 나이가 들면서 조금씩 잇몸이 약해지기 때문에
약간의 블랙트라이앵글은 누구나 발생할 수 있지만
갑자기 심해진 경우에는 대부분 잇몸질환의 가능성이
높기 때문에 이러한 경우 잇몸이 보내는 적신호라고
생각하여 꼭 잇몸 치료와 관리를 하셔야 합니다.

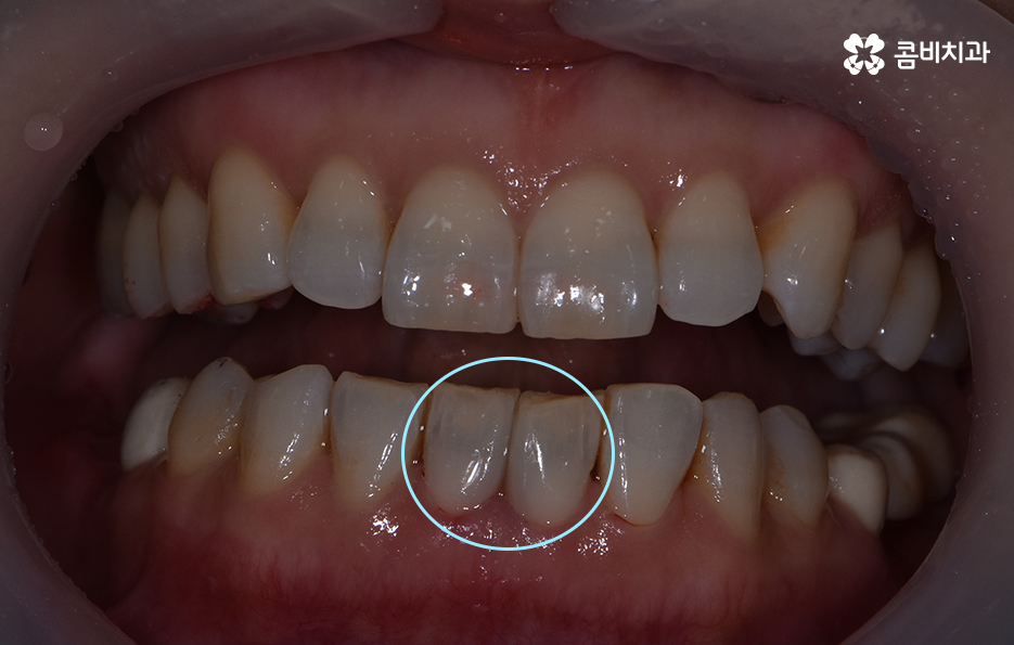
위 환자분의 경우 블랙트라이앵글 레진으로 치료를 하였는데
이러한 레진 치료의 장점은 빠르게 심미성을
회복할 수 있다는 점이며 비교적 저렴하다는 장점이 있습니다.
하지만 레진 치료는 영구적인 치료 방법이 아니며
추후 떨어질 수 있기 때문에 치료 후에도 꾸준한 관리는 물론
잇몸 치료를 꼭 함께 해주시는 것이 좋습니다.

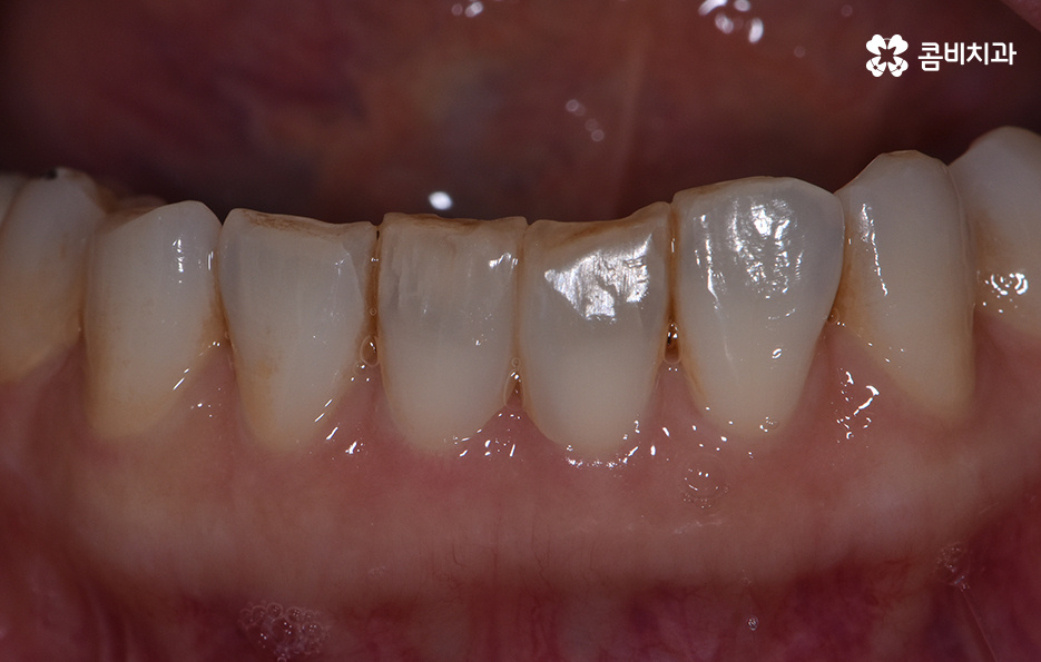
잇몸이 약해지면서 치아 사이에 틈이 발생하는 원인은
안 좋은 칫솔질 습관으로 인한 경우가 있으며
평상시 흡연을 자주 하실 경우에도 치주조직이 손상되어
블랙트라이앵글을 유발할 수 있습니다.
한번 내려앉은 잇몸은 회복이 되지 않기 때문에
나이가 들수록 잇몸질환의 예방을 위해 청결 관리에
좀 더 신경 쓰셔야 하며 평소 칫솔질과 함께 치실
혹은 치간 칫솔을 꼭 사용해 주시고 주기적인
스케일링을 통해 치석을 잘 제거해 주셔야 합니다.

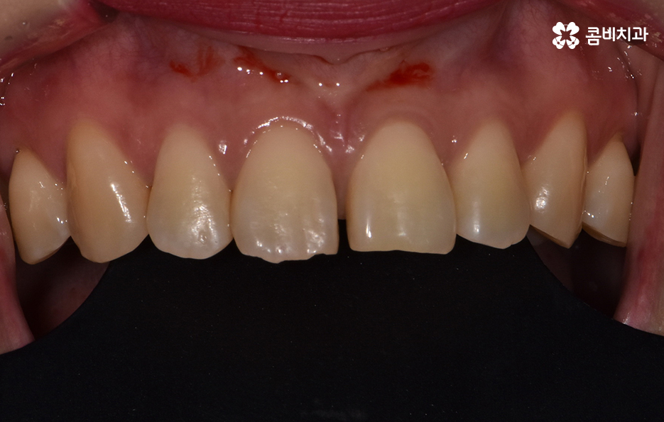
잇몸이 자꾸 붓거나 염증이 발생한다면 잇몸질환을
의심해야 하며 점점 심해질수록 잇몸 퇴축이 유발될 수 있습니다.
잇몸이 내려앉게 되면 치아가 길어 보일 수 있고
치경부 마모증이 발생하여 이가 시린 증상을
느끼게 되시는 경우도 많습니다.
잇몸이 약해진 증거로 치실이나 치간 칫솔을 할 때
출혈이 발생하는 경우가 있는데 출혈이 발생하는 이유는
대부분 잇몸 염증이 있는 경우에 발생하기 때문에
잦은 출혈이나 잇몸이 붓는 증상이 나타난다면
꼭 치과에서 검진을 받고 치료해야 합니다.


앞니 사이의 벌어짐을 라미네이트를 통해 치료한 케이스
블랙트라이앵글은 레진을 통해서 치료도 가능하지만
레진은 간단한 반면에 떨어지거나 변색이 발생할 수 있으며
잇몸 염증을 유발하게 되는 경우도 있습니다.
보다 심미적인 치료를 위해서 치간 삭제를 통해서
라미네이트나 올세라믹과 같은 치료 방법이 활용되기도 합니다.
라미네이트의 경우 심미적으로 우수한 효과를
빠르게 낸다는 장점과 함께 치아 삭제에
대한 부담이 다소 있을 수 있습니다.
잇몸질환으로 인한 치아 사이의 틈이나 벌어짐은
꼭 예방을 통해 해결하는 것이 중요하겠고
잇몸질환과 잇몸이 퇴축되는 주된 원인은
치석이기 때문에 평상시 올바른 칫솔질과 치실을
통한 청결관리와 주기적으로 스케일링을 하셔야 합니다.
잇몸 치료에 대해 더 궁금하신 점이 있다면
아래 영상을 참고하시길 바라며
질문이 있으신 분들은 덧글로 남겨주시길 바랍니다.
개인에 따라 출혈 및 부작용이 발생할 수 있으며
정확한 치료 방법은 검진을 통해 확인하셔야 합니다.
더 보기
이 병원의 공개 콘텐츠를 계속 살펴보세요
출처 아카이브로 돌아가 더 많은 글을 보거나, 병원 프로필로 이동해 다른 공개 채널도 함께 비교해보세요.