명동콤비치과의원 (명동)
20대임플란트 잦아지는 이유를 알아본다면
20대 하면 떠오르는 이미지가 있다면 저는 젊고 건강미 넘치는 이미지가 먼저 떠오르게 되는데 젊음 그 자체로 멋있고 아름다운 나이대라고 생각이 들지만 백세시대 이상을 바라보는 요즘 시대에도 여전히 젊은 나이에 치아 건강을 잃고 고생하는 경우는 많이 있어요. 젊은 나이에 치아 건강을 잃는 많은 분들의 경우 평소에 안 좋...
아카이브 요약
이 페이지의 역할
명동콤비치과의원 (명동)의 네이버 블로그 원문을 보존한 아카이브 페이지입니다. 치아스토리♡ 카테고리의 20대임플란트 잦아지는 이유를 알아본다면 글을 통해 병원의 한국어 정보 제공 방식과 진료 관련 안내 톤을 확인할 수 있습니다.
20대 하면 떠오르는 이미지가 있다면
저는 젊고 건강미 넘치는 이미지가 먼저 떠오르게 되는데
젊음 그 자체로 멋있고 아름다운 나이대라고 생각이 들지만
백세시대 이상을 바라보는 요즘 시대에도 여전히
젊은 나이에 치아 건강을 잃고 고생하는 경우는 많이 있어요.
젊은 나이에 치아 건강을 잃는 많은 분들의 경우
평소에 안 좋은 습관으로 인해 치아의 건강을 잃는 경우가 많은데
의술이 나날이 발달하고 있어 대부분의 경우 치료가 가능하지만
자연치아 상태로 오랜 기간 사용하는 게 가장 좋기 때문에
아무리 젊고 건강에 대한 자신이 있더라도 평생 관리해야 하는
치아에 대해서는 경각심을 가져야 할 거예요.

보통 치아를 상실하게 된 상황을 떠올리면 노년층에 노화로
인해서 치아와 잇몸에 힘을 잃게 된 상황을 떠올리겠지만
젊은 20,30대 층에서도 치아를 잃게 되는 사례는 생각보다 많이 있어요.
사고나 외부 충격 등으로 인해 치아가 깨지고 부러져서 어쩔 수 없이
20대임플라트 이어지는 경우가 많겠지만 충치가 지속적으로
진행이 되면서 치료 시기를 놓쳐 결국 발치로 이어지는 사례도 많기 때문에
젊은 시기에 치아를 잃게 되는 사례에 대해서 자세히 알아보실 필요가 있는데요.

사고로 인해 치아가 깨지거나 부러지는 사례를 보면 앞니에서
주로 많이 나타나지만 충치로 심해져서 20대임플란트
시술로 이어진다거나 실수로 딱딱한 물질을 씹어서 치아가 깨지거나
금이 가는 사례를 보면 어금니에 해당하는 경우가 많이 있는데요.
저작기능에서 주된 역할을 하고 있는 부위가 어금니라는 점에서
보더라도 충치가 치아 홈에서 점점 깊어지는 사례는 물론이며
치아 사이에 음식물이 끼면서 충치가 심해지고 신경치료 및 발치로
이어지는 경우를 자주 볼 수 있는 부위라고 할 수 있어요.

오늘은 젊은 20,30대 층에서 주로 겪기 쉬운 치아 상실 요인과 함께
치아 건강 관리에 있어서 치열도 매우 중요하다는 점을 알려드릴 거예요.


치아교정은 흔히 치아의 심미성을 위해서 치료를 진행한다고 알고 계시겠지만
부정교합이나 불규칙한 치열은 충치 및 잇몸질환이 발생할 수 있는 가능성을
높이며 부정교합이 심한 경우에는 나이가 들수록 턱관절 장애나 소화 불량 등의
전신 건강에도 안 좋은 영향을 줄 수 있으며 치열 상태는 얼굴형 및 골격에도
많은 영향을 주기 때문에 치열은 심미성 뿐 아니라 건강과 교합 등에도 밀접하다고 할 수 있어요.

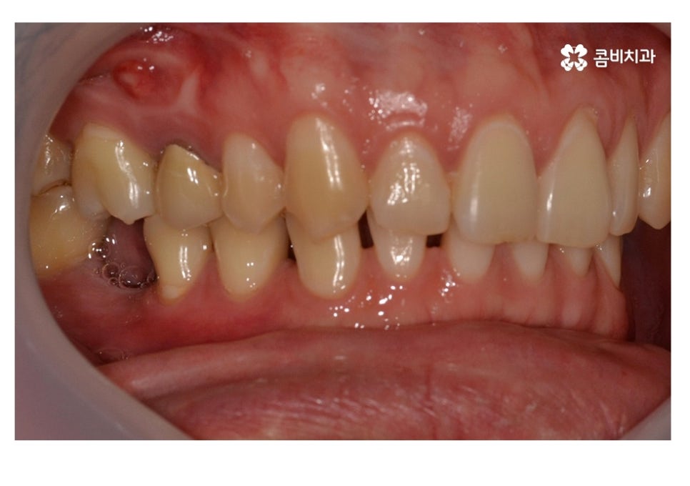
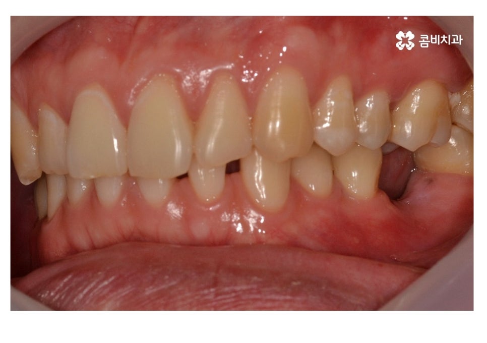
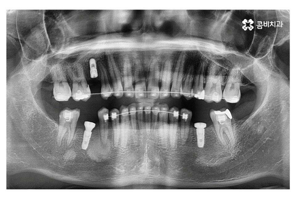
위 사례 이미지에서 보시는 것과 같이 불규칙한 치열 외에도
치아 사이가 벌어져 있으면 심미성 뿐 아니라
음식물이 치아 사이에 끼기 쉽기 때문에 충치, 잇몸질환이
발생하기 쉬울 수 있어요.


20대임플란트 평소에 칫솔질을 잘한다고 생각했지만 내 치아는
유독 약한 게 아닌가 할 정도로 충치가 자주 발생하는 경우가 있는데
충치를 예방하기 위해서는 칫솔질을 잘하는 것 외에도
평소 식습관이나 금연, 치실 사용, 주기적인 검진 등도 중요할 수 있는데요.
치아가 벌어진 경우에는 치아 사이에 이물질이 더욱 쌓이기 쉽고
치석 관리를 좀 더 신경 써야 하기 때문에 치아교정을 통하여
심미성의 개선과 함께 치아 건강에도 향상에도 도움이 될 수 있어요.


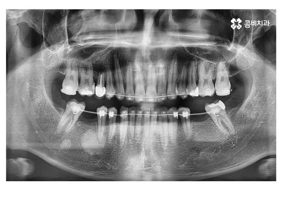
보통 임플란트와 교정을 같이 해야 하는 케이스에는
교정이 끝나기 약 6개월 전에 치료를 하게 되는 경우가 많은데
임플란트 식립 후 뼈가 완전히 굳고 치료를
마무리하기까지 보통 4~5개월 정도 걸리기 때문에
발치와 임플란트의 시술 그리고 교정이 비슷한 시기에
끝날 수 있도록 치료 계획을 세우고 있어요.

스무 살이 될 무렵에는 사랑니가 자라는 시기와도 맞물리기 때문에
사랑니의 영향으로 인해서 치아 사이 충치가 발생하는 경우도
많고 충치는 전염이 될 수 있기 때문에 주기적인 검진을 잘 받는 것이
20대임플란트 시술 전에 자연치아를 잘 지키는 방법이라고 할 거예요.
임플란트에 대해 더 궁금하신 분들은 위 영상을 참고하시길 바라며
임플란트의 수명은 관리를 잘한다면 반영구적인 사용도 가능하지만
20대에 치아를 잃게 되면 보다 장기적으로 관리를 잘해야 하기 때문에
치아 상실 원인을 잘 파악하고 지속적인 사후관리에 신경 써야 한다는 점도
잘 참고하셔서 치과 선택에 보다 신중해야 할 수 있어요.
본 글은 콤비치과의 의료광고 포스팅이며
개인에 따라서 출혈 및 부작용이 발생할 수 있습니다.
더 보기
이 병원의 공개 콘텐츠를 계속 살펴보세요
출처 아카이브로 돌아가 더 많은 글을 보거나, 병원 프로필로 이동해 다른 공개 채널도 함께 비교해보세요.