아카이브 요약
이 페이지의 역할
명동콤비치과의원의 네이버 블로그 원문을 보존한 아카이브 페이지입니다. 치아스토리♡ 카테고리의 과개교합교정 어릴때 고쳐주면 좋은 사례 글을 통해 병원의 한국어 정보 제공 방식과 진료 관련 안내 톤을 확인할 수 있습니다.
원문 검증
필요하면 원문 블로그와 병원 프로필로 바로 이동해 문맥을 다시 확인할 수 있습니다.
출처 아카이브 열기아카이브된 블로그 글
명동콤비치과의원 · 콤비덴탈 치과의사 황용인
치아교정은 성인이 된 후에도 많이 시작하지만 성인이 되기 전에 하는 것이 좋다고 알고 계신 분들이 대부분이라고 할 수 있는데요. 교정으로 고민하시는 분들을 보면 치료를 받기에 적합한 나이에 대한 질문이 상당히 많기 때문에 이러한 궁금증을 과개교합 교정 케이스를 살펴보면서 함께 알아보신다면 도움이 많이 되실 거예요. ...
게시일
2020년 12월 23일
원문 기준으로 확인된 발행일입니다.
카테고리
치아스토리♡
원문 블로그 카테고리를 정리해 함께 표시합니다.
이미지 수
15
현재 아카이브에 연결된 이미지 수입니다.
아카이브 요약
명동콤비치과의원의 네이버 블로그 원문을 보존한 아카이브 페이지입니다. 치아스토리♡ 카테고리의 과개교합교정 어릴때 고쳐주면 좋은 사례 글을 통해 병원의 한국어 정보 제공 방식과 진료 관련 안내 톤을 확인할 수 있습니다.
원문 검증
필요하면 원문 블로그와 병원 프로필로 바로 이동해 문맥을 다시 확인할 수 있습니다.
출처 아카이브 열기치아교정은 성인이 된 후에도 많이 시작하지만 성인이 되기 전에
하는 것이 좋다고 알고 계신 분들이 대부분이라고 할 수 있는데요.
교정으로 고민하시는 분들을 보면 치료를 받기에 적합한
나이에 대한 질문이 상당히 많기 때문에 이러한 궁금증을
과개교합 교정 케이스를 살펴보면서 함께 알아보신다면
도움이 많이 되실 거예요.

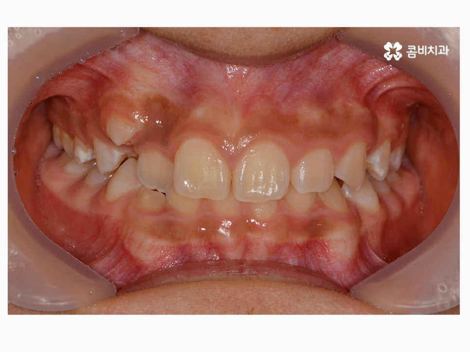
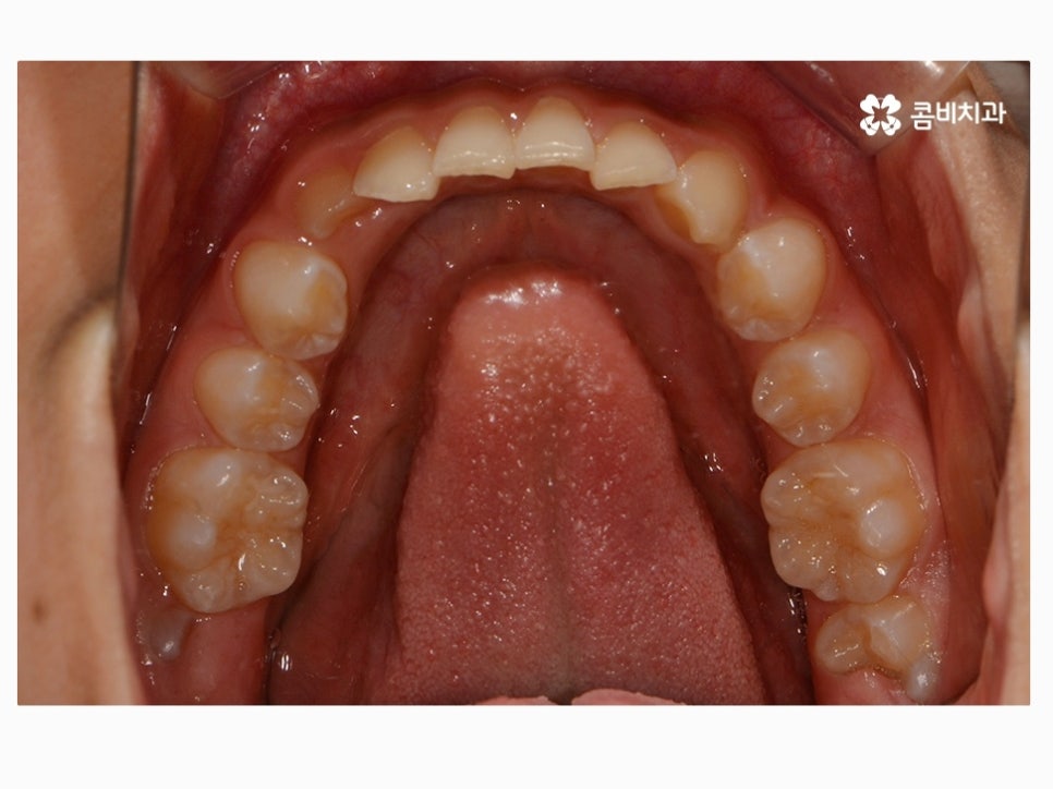
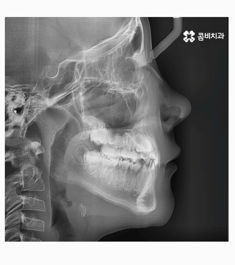
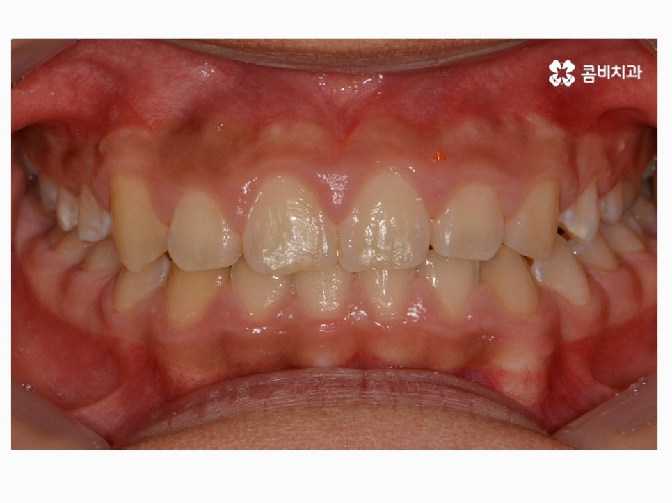
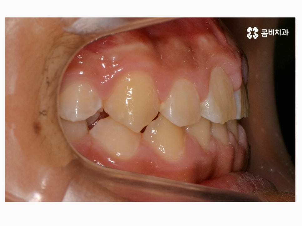
과개교합은 부정교합의 종류 중 하나라고 할 수 있으며
윗니가 아랫니를 정상보다 많이 덮고 있는 형태로 흔히 과개교합 혹은
피개교합으로도 불리고 있어요.
보통 윗니가 과도하게 돌출되어 있거나 치아의 크기가 큰 경우,
아랫니가 과하게 안쪽으로 들어가 있는 경우, 선천적으로 골격성 부정교합에
해당되거나, 이갈이 등 어금니에 과하게 힘이 가해지면서
마모되거나 치관의 길이가 짧아진 경우에
윗니가 아랫니를 덮고 있는 형태를 하게 될 수 있는데요.

성인이 되기 전, 성장기에 치아교정을 통해서 부정교합을
개선한다면 성장 조절을 통해서 비수술적인 방법으로 치료가
가능한 경우가 많고 성인이 된 후에 수술 혹은 발치를 해야하는
상황을 미리 예방할 수 있기 때문에 성장기부터 꾸준한
구강검진을 통해서 교합 및 심미적인 부분을 잘 개선해 주면 좋을 거예요.


치열은 심미적인 부분도 매우 중요하겠지만 기본적으로
음식물을 잘라주고 씹는 역할을 하기 때문에
교합의 중요성이 큰데 이러한 과개교합으로 인해서
음식을 제대로 자르거나 씹지 못한다면
평소 많은 불편함을 느낄 수밖에 없으며
시간이 지날수록 턱관절 장애나 발음의 불리함, 소화불량 등의
여러 문제로 이어질 수 있기 때문에 주의가 필요할 수 있어요.
성인의 경우 이미 부정교합이 심한 상태라고 할 때
치아교정과 함께 수술을 병행해야 하는 경우도 많고
치아의 이동을 위해서 발치가 필요한 경우가 많은데
부정교합이 심해지기 전에 미리 어린 나이에 예방하고
치료한다면 발치나 수술을 해야 하는 부담감을 줄일 수 있고
심미성의 개선과 치아 기능의 회복을 빠르게 할 수 있는데요.

물론 사람에 따라서 부정교합의 원인이나 현재 상황 등은
다르기 때문에 과개교합 교정의 방법은
충분한 검진을 통해서 담당 의사와 잘 상의해야 하며
검진 전에는 전반적으로 주의할 점에 대해서 알아두시면 좋을 거예요.
특히 어린이 치아교정은 언제 시작할지 고민하시는 분들이 많은데
위 영상을 참고하신다면 치료 시작 시점에 대해 많은 도움이 되실 거예요.


아직 성장이 진행되고 있는 나이에 치아교정을 하면 치아와 골격, 얼굴형 뿐 아니라
성장에 대한 예측을 함께 해야 하기 때문에 보다 세심한 진료와
경과를 자주 살펴보면서 치료가 안전하게 진행되는 것이 중요할 수 있는데요.
성인에 비해 통증에 대해 좀 더 예민하게 느낄 수밖에 없고
주의사항을 잘 지켜야 하는 부분도 크기 때문에 부모님도
함께 치료 과정을 잘 살펴보시는 것이 필수라고 할 거예요.

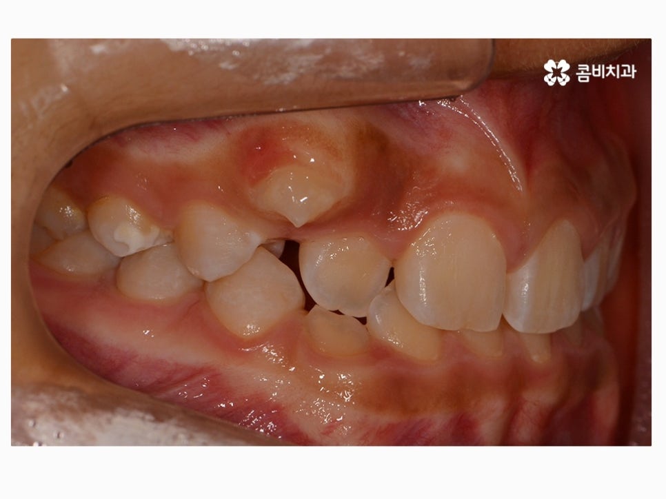
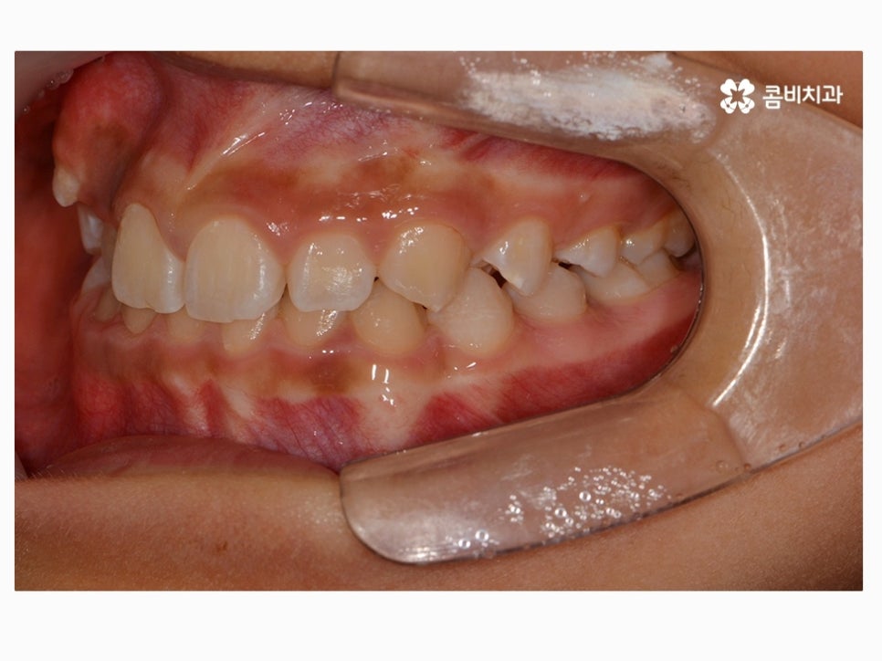
부정교합을 치료하는 방법은 나이대와 어떤 상태인지 진단에
따라서 달라질 수 있는데 위 케이스처럼 일반적인 치아교정으로
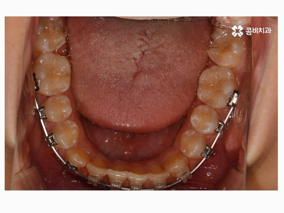
진행이 되는 경우도 있고 구외 교정 장치를 활용하는 경우 등 진단에 따라 다양할 수 있어요.


위 환자분께서 사용하신 장치는 클리피씨로 자가 결찰 장치이며
초기 통증이 줄어들고 관리가 용이하며 시술 기간을 단축시킬 수 있다는 장점이 있어요.
요즘은 이처럼 세라믹 재질을 활용하여 심미성은 높이고
교정 과정이 보다 효율적인 장치가 많이 사용되고 있는데요.


사춘기에는 교정 장치에 대한 심미적인 부담감을 크게
느끼거나 통증에 대한 걱정으로 치과에 대한 거부감을 드러내는
경우도 많지만 특히 부정교합의 경우에는 나이가 들수록
치아의 심미성 외 건강적인 부분에서도 문제가 커질 수 있기
때문에 되도록 빠른 치료를 권유 드리고 있어요.

성장기 혹은 청소년기에 많은 분들께서 부정교합으로 인해서
고민하실 수 있는데 부정교합은 되도록 빠르게 발견할수록
치료에 용이할 수 있기 때문에 약 만 5~6세부터 혼합치열기를
거칠 무렵부터 주기적인 구강검진을 하는 것이 필요할 수 있어요.
물론 아직 나이가 어려서 교정 치료를 받는 것이 이르다고
생각하시는 분들도 많겠지만 구강검진은 충치 예방을 위해서도
중요하지만 치열과 교합이 건강하게 자리 잡도록 어릴 때부터
잘 체크하는 것이 보다 여유 있게 치료 계획을 세울 수 있을 거예요.


과개교합교정은 시술 후 결과가 잘 유지될 수 있도록
치과에서 꾸준히 사후관리를 받는 것이 중요하며
과개교합은 심미적으로도 개선이 필요할 수 있겠지만
그대로 두면 충치와 잇몸질환의 발생률도 높아질 수 있기 때문에
건강에 대한 부분도 함께 생각하여 치료 계획을 세워야 할 수 있어요.
본 글은 콤비치과의 의료광고 포스팅이며
개인에 따라 출혈 및 부작용이 발생할 수 있습니다.