명동콤비치과의원 (명동)
3급 부정교합 지금이라도 고치고 싶다면
치열이 고르지 않거나 교합이 잘 맞물리지 않는 문제는 단순히 치열의 심미적인 부분 만이 아니라 골격과 얼굴형 그리고 구강 내 건강, 전신 건강에도 높은 상관관계를 보이는 경우가 있는데요. 3급 부정교합은 흔히 우리가 말하는 주걱턱이나 반대교합에 해당하며 아래턱의 과성장 또는 상악골의 열성장으로 인해 증상이 나타...
아카이브 요약
이 페이지의 역할
명동콤비치과의원 (명동)의 네이버 블로그 원문을 보존한 아카이브 페이지입니다. 치아스토리♡ 카테고리의 3급 부정교합 지금이라도 고치고 싶다면 글을 통해 병원의 한국어 정보 제공 방식과 진료 관련 안내 톤을 확인할 수 있습니다.
치열이 고르지 않거나 교합이 잘 맞물리지 않는 문제는
단순히 치열의 심미적인 부분 만이 아니라 골격과 얼굴형 그리고
구강 내 건강, 전신 건강에도 높은 상관관계를 보이는 경우가 있는데요.
3급 부정교합은 흔히 우리가 말하는 주걱턱이나 반대교합에 해당하며
아래턱의 과성장 또는 상악골의 열성장으로 인해 증상이 나타나는데
어금니가 정상적으로 물리지 않고 아래 어금니가 위에 어금니보다
앞으로 나와서 맞물리는 상태를 의마하고 있어요.
윗니가 아랫니를 덮어주어야 하는데 반대로 아랫니가 더 앞으로
나와 있는 경우라고 생각하시면 이해가 쉬울 거예요.
이러한 3급 부정교합은 심미적인 부분을 떠나서 보더라도
식사를 할 때마다 음식물을 제대로 자르지 못하거나
어금니 교합이 잘 맞물리지 않아서 불편함을 크게 느낄 수 있어요.


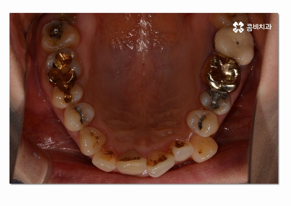
위 사례의 경우에는 3급 부정교합의 케이스로
치열이 맞지 않아 치아의 본래 기능들이 제대로 이루어지지 않고 있는 상태이며
서로 닿지 않아서 식사를 할 때마다 제대로 씹지 못하여
불편함을 느끼는 것은 물론이며 구강관리도 잘되지 않아서
충치가 많이 발생하고 있는 사례였다고 볼 수 있어요.

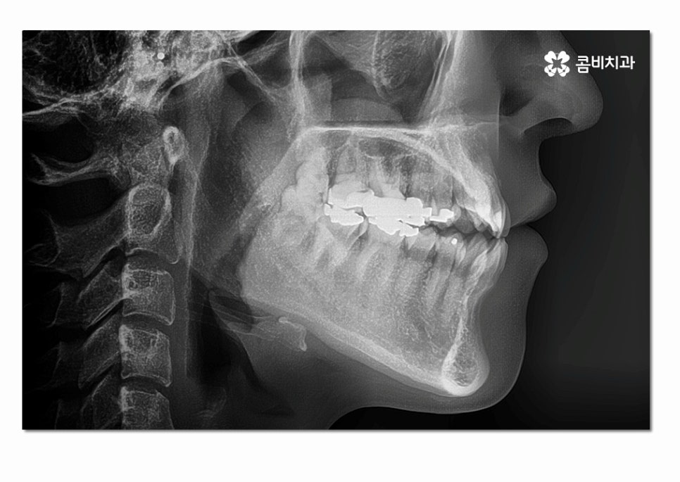
이렇게 옆면으로 보면 교합이 정상적으로 잘 맞물리지 않고
음식물을 골고루 씹어야 하는 어금니가 제대로
맞닿아 있지 않아서 불편함을 느끼게 될 수 있는데요.
이러한 3급 부정교합은 나이가 들수록 구강 내 충치 및 잇몸질환의
발생률을 높일 뿐 아니라 음식물을 제대로 씹지 않아서
만성적인 소화불량을 겪기 쉽고 발음상의 불리함이나
턱관절 장애로 이어지는 경우도 많기 때문에 성인 이후에도
교정을 통해서 심미성과 함께 교합, 건강에 대한 개선이 필요할 수 있어요.

이러한 치열을 갖게 되는 원인으로는 유전적인 이유로 나타나는 경우도
많기 때문에 부모님 중에서 한 분이라도 부정교합이 있으신 경우에는
아이도 주기적으로 검사를 하여 필요한 경우 성장기 교정을 해야 할 수 있어요.
일반적으로 이러한 반대교합을 치료하는 시기는 약 만 5~6세 정도부터는
구강 검사를 하여 필요한 경우 영구치가 나는 시기에 맞춰서
1차 교정 진행을 권해드릴 수 있는데요.
부모님의 입장에서는 아직 아이와 함께 치과도 가기 어렵다고 느낄 정도로
이른 나이가 아닌가 느끼실 수 있겠지만 부정교합의 치료는
어릴 때 진행하는 것이 성장 조절이 가능하다는 점에서 유리할 수 있으며
성인의 치료와는 다소 차이가 있는 방법으로 치료가 진행되고 있고
비수술적인 방법으로 치료가 진행되기에 어리더라도 치료를
적절한 시기에 빠르게 하는 것이 좋겠고 개인에 따라 충분한 검진 후에
치료 계획이 세워지기 때문에 치과 검진을 먼저 받아보셔야 할 거예요.

위 환자분의 경우에는 이미 성인이 된 상태에서 3급 부정교합
치료를 진행하게 된 사례라고 볼 수 있는데요.
이미 턱뼈의 성장이 끝난 성인의 경우 성장 조절이 불가능하기 때문에
부정교합 치아교정을 진행하면서 발치를 해야 하거나
치아교정과 양악 수술을 함께 병행해야 하는 경우가 있어요.
하지만 요즘은 의술의 발달로 비수술, 비발치를 통해서
좋은 결과를 얻는 사례도 많기 때문에 처음부터 두려워하기보다는
충분한 검진을 받아보시고 전문의의 소견에 따라 판단하셔야 할 거예요.


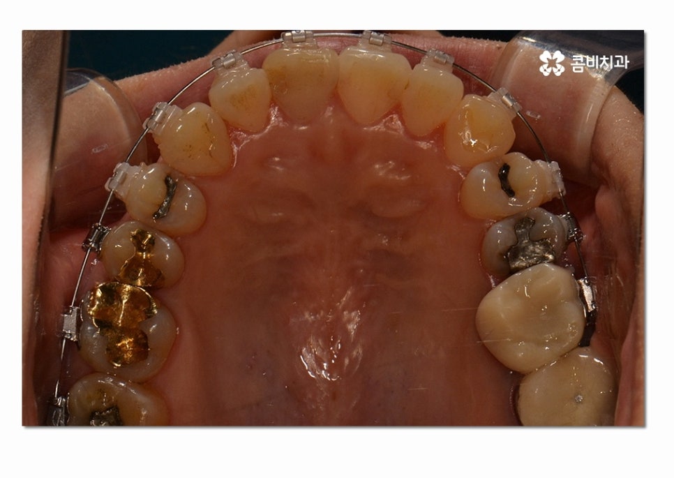
위 환자분의 경우에는 클리피씨 교정 장치를 통해서 치료가 진행되었으며
발치와 수술 없이 3급 부정교합을 개선한 사례라고 할 수 있어요.
치료에 사용된 클리피씨 장치의 경우 치료 기간을 단축시키고
초기 통증을 감소시킨다는 점과 심미성도 우수한 편이라는 장점이 있는데요.

흔히 3급 부정교합은 주걱턱 교정을 의미하기도 하는데
교정이 쉽지 않고 수술이나 발치를 해야 한다고 생각하시는 분들도
많기 때문에 이처럼 비수술적인 방법과 발치가 없이
치료가 진행되는 사례에 대해서도 참고하신다면 미리 겁이 나서
검진조차 포기하는 일은 줄어들 수 있을 거예요.

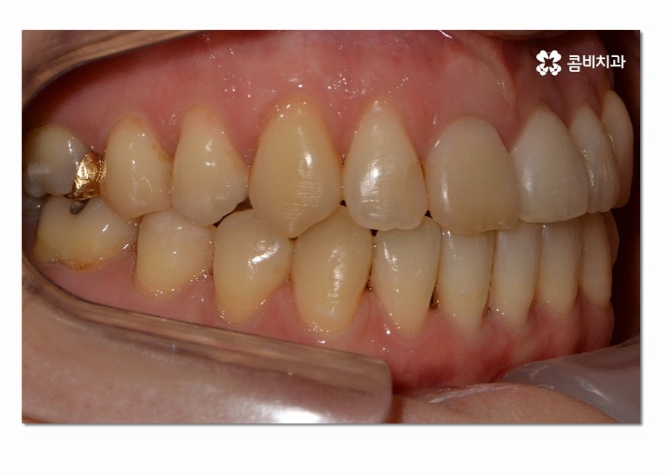
치료 경과에 따라서 윗니가 아랫니를 덥게 되는 정상적인
교합 상태로 치열이 변화하는 것을 보실 수 있는데요.
치아교정을 원하신다면 겉으로 보이는 치열 상대가 가지런한 것도
중요하겠지만 오늘 설명드린 것처럼 교합이 무척이나 중요하며
치열이 변화하면서 자신의 얼굴과 자연스럽게 잘 어울리는지
얼굴 변화와 조화에 대해서도 철저하게 따져봐야 할 거예요.



치아교정은 치과에 가시면 대부분 진행을 하는 진료 분야라고
할 수 있지만 치과 의사 중에서도 교정 전문의는 따로 있기 때문에
의사에 따라서 치료 계획과 소견은 달라질 수 있다는 점을
미리 참고하시고 결정하시기 전에 2~3군데 정도 치과에서
검진을 받아보신 후 자신에게 적합한 치과를 잘 선택하는 것도 중요할 수 있어요.

부정교합의 치료는 장기간을 예상해야 하며 발치, 수술이 병행되어야
한다면 그 기간은 더 늘어날 수 있는 만큼
오랫동안 믿고 찾을 수 있는 치과 선택이 중요할 수 있어요.
또한 교정 장치를 풀어낸 후에도 아래 보시는 것처럼
유지 장치를 치아에 부착하여 치료 결과가 잘 유지되도록
사후 관리를 해야 하는 기간도 생각해야 하기 때문에
중간에 의사가 바뀌는 일 없이 책임 진료가 필요할 거예요.

오늘은 여기까지 3급 부정교합에 대해서 알아보았으며
사람에 따라서 치열 상태는 물론이며 교합, 골격과 얼굴형까지
개인차가 클 수 있기 때문에 오늘 소개 드린 사례는
부정교합에 대한 이해를 돕기 위해 참고만 하시길 바라며
정확하게 자신에게 맞는 치료 방법은 전문의에게 정확하게
검진받아서 판단하셔야 할 수 있어요.
본 글은 콤비치과의 의료광고 포스팅이며
개인에 따라서 출혈 및 부작용이 발생할 수 있습니다.
더 보기
이 병원의 공개 콘텐츠를 계속 살펴보세요
출처 아카이브로 돌아가 더 많은 글을 보거나, 병원 프로필로 이동해 다른 공개 채널도 함께 비교해보세요.