아카이브 요약
이 페이지의 역할
명동콤비치과의원의 네이버 블로그 원문을 보존한 아카이브 페이지입니다. 치아스토리♡ 카테고리의 돌출입치아교정 부담이 크게 느껴진다면 글을 통해 병원의 한국어 정보 제공 방식과 진료 관련 안내 톤을 확인할 수 있습니다.
원문 검증
필요하면 원문 블로그와 병원 프로필로 바로 이동해 문맥을 다시 확인할 수 있습니다.
출처 아카이브 열기아카이브된 블로그 글
명동콤비치과의원 · 콤비덴탈 치과의사 황용인
치아의 역할은 다양한데 주요 기능으로는 음식물을 저작하는 역할과 심미적인 부분으로 첫인상을 좌우하기도 하며 얼굴형에도 많은 영향을 준다는 점에서 치아가 가지런하고 교합이 잘 맞는 것은 중요한 부분이라고 할 수 있어요. 돌출입은 심미적인 측면과 교합에 있어서도 불리한 부분이 있기 때문에 돌출입의 교정 치료는 영구치가 완...
게시일
2021년 1월 19일
원문 기준으로 확인된 발행일입니다.
카테고리
치아스토리♡
원문 블로그 카테고리를 정리해 함께 표시합니다.
이미지 수
14
현재 아카이브에 연결된 이미지 수입니다.
아카이브 요약
명동콤비치과의원의 네이버 블로그 원문을 보존한 아카이브 페이지입니다. 치아스토리♡ 카테고리의 돌출입치아교정 부담이 크게 느껴진다면 글을 통해 병원의 한국어 정보 제공 방식과 진료 관련 안내 톤을 확인할 수 있습니다.
원문 검증
필요하면 원문 블로그와 병원 프로필로 바로 이동해 문맥을 다시 확인할 수 있습니다.
출처 아카이브 열기치아의 역할은 다양한데 주요 기능으로는 음식물을 저작하는 역할과
심미적인 부분으로 첫인상을 좌우하기도 하며 얼굴형에도 많은 영향을
준다는 점에서 치아가 가지런하고 교합이 잘 맞는 것은 중요한 부분이라고 할 수 있어요.
돌출입은 심미적인 측면과 교합에 있어서도 불리한 부분이 있기 때문에
돌출입의 교정 치료는 영구치가 완성되어가는 초등학교 5~6학년 정도가
이상적이며 증상이 어린 시절부터 심하다면 9세 전후에 성장기를
잘 활용하여 치료하는 것도 권장되고 있는데요.
성장기에는 치아의 이동이 빠르고 치료가 끝난 후에도 교합이
안정적으로 변하도록 유리하기 때문에 성장기에 구강검진을 주기적으로
받는 것이 좋고 치료를 시작하는 것도 좋겠지만 돌출입치아교정은
성인 이후에도 많이 이뤄지고 있기 때문에 자신의 치아 및 골격 등을
잘 검진하여 치료 계획을 적절하게 잘 세우는 것이 필요할 거예요.

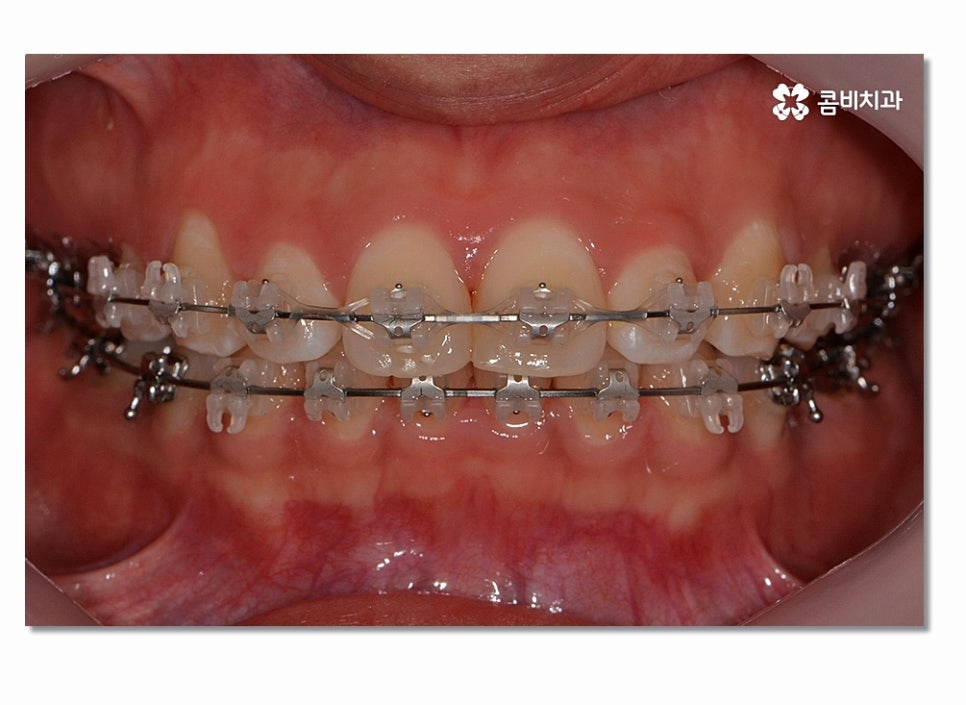
돌출입은 치아 자체가 앞으로 뻐드러진 경우와
치아, 잇몸이 모두 돌출된 경우로 구분하게 되는데 오늘은
전자의 경우로 발치를 통해 돌출입치아교정이 이뤄진
케이스에 대해서 소개 드릴 거예요.
돌출입을 개선하기 위해서는 기본적으로 앞니의 각도와 배열, 위치 등의
조절이 필요하며 발치를 해야 하는 경우 보편적으로 송곳니 옆
작은 어금니를 발치하여 치아의 이동 공간을 확보하는 경우가 많다고 할 수 있어요.


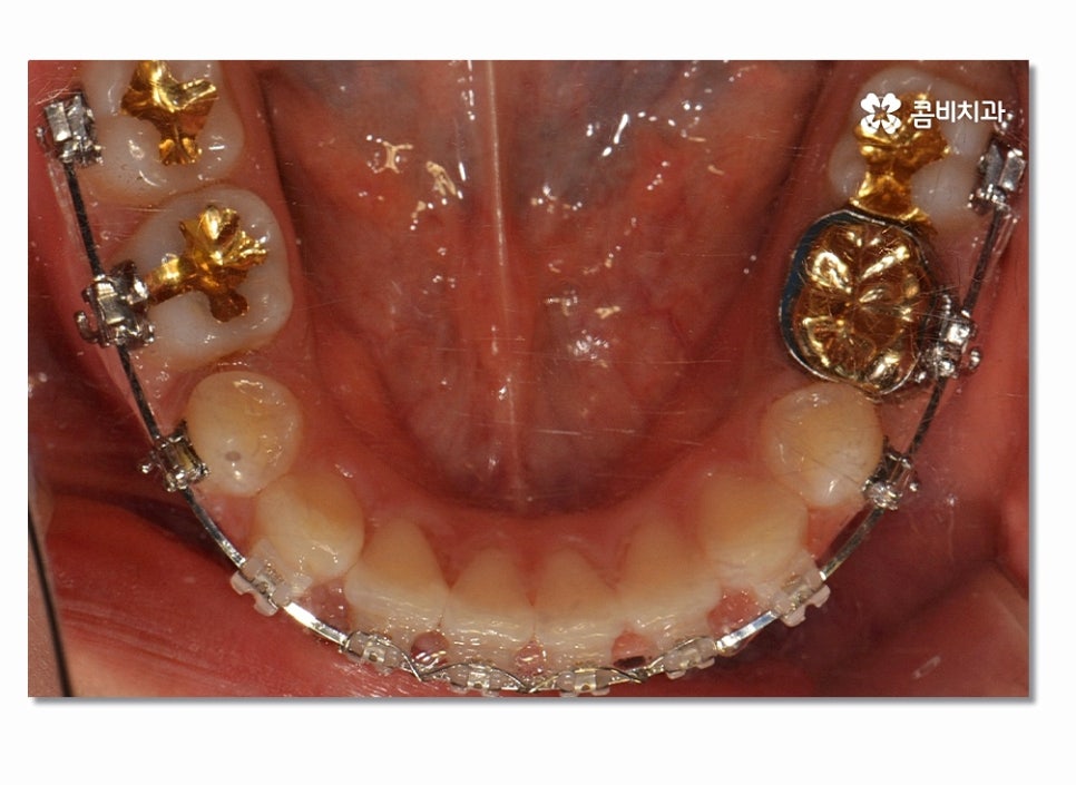
치아교정을 위해서는 치아가 이동할 수 있는 공간이 충분히 확보되어야 하며
돌출입치아교정의 경우 치아가 전방으로 뻐드러진 상태를
후방으로 이동시켜야 하기 때문에 원하는 결과를 위해서 필요에 의해
발치가 진행되는 경우도 많다고 볼 수 있어요.
일반적으로 작은 어금니를 발치하게 되는 이유라면 전체적인
악궁 크기에 맞게 치아를 이동시킬 공간 확보의 의미가 크며
발치에 대한 두려움을 크게 느끼시는 분들도 많겠지만 작은 어금니의
발치는 사랑니와는 달리 단순 발치 과정을 거치기 때문에
국소 마취로 비교적 간단하게 진행이 된다고 볼 수 있는데요.
발치로 인해 치아 수가 부족해지면 식사에 대한 차질을 걱정하시는 분들도
계시겠지만 주된 저작 기능은 대구치가 담당을 하기 때문에
교합에 대한 염려는 크게 하지 않아도 될 거예요.
물론 치열과 골격 상태에 따라서 비발치 혹은 비수술적인 방법으로
치료가 진행되는 경우도 있기 때문에 개개인에 따라 적합한
치료 계획은 달라질 수 있다는 점을 참고하셔야 할 거예요.



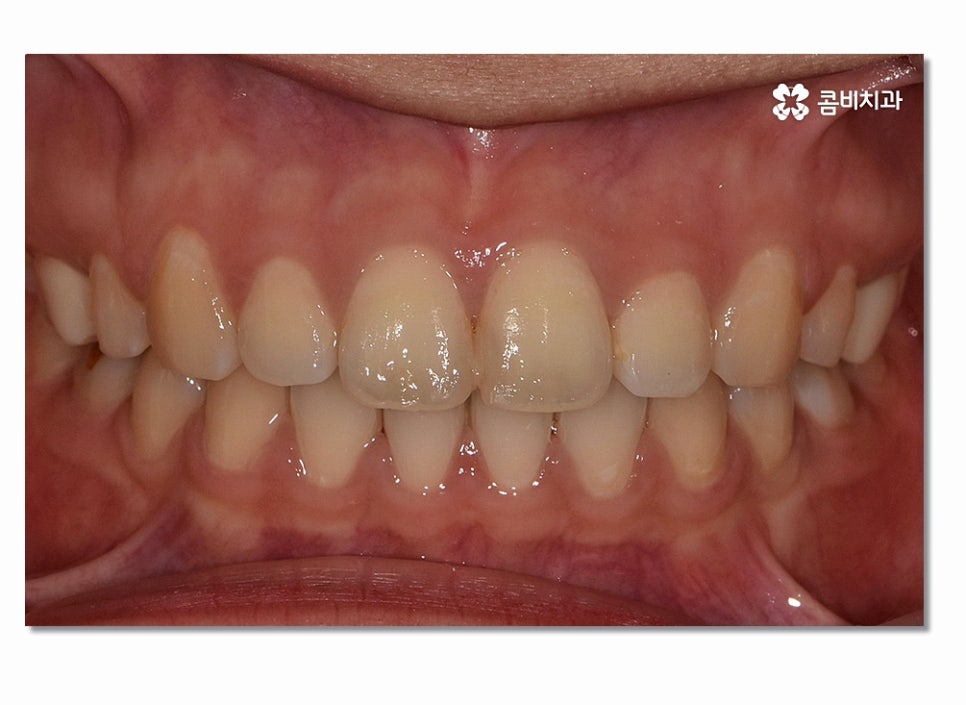
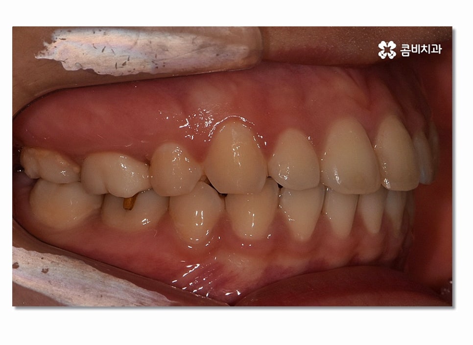
돌출입치아교정이 시작되면 이처럼 전방으로 뻐드러진
앞니를 시간이 지남에 따라서 후방으로 이동시키면서 돌출입이
점점 개선되며 이러한 치열의 변화는 교합도 잘 맞물리도록
신경 써야 하며 얼굴 변화에 대한 부분까지 잘 생각해야 할 수 있어요.
치아의 심미성은 앞모습뿐 아니라 측면 그리고 자신의 얼굴과
자연스럽게 어울리는지 등을 함께 살펴야 하기 때문에
얼굴 변화를 기대하면서 치아교정을 결심하시는 분들도 많이 있는데요.
기본적으로 돌출입치아교정 치료 과정에 이러한 전체적인
부분을 고려해야 하면서 성장기에는 성장에 대한 부분까지
함께 생각해야 하기 때문에 의료진의 경험과 노하우가
매우 중요할 수밖에 없는 진료 분야라고 할 수 있어요.




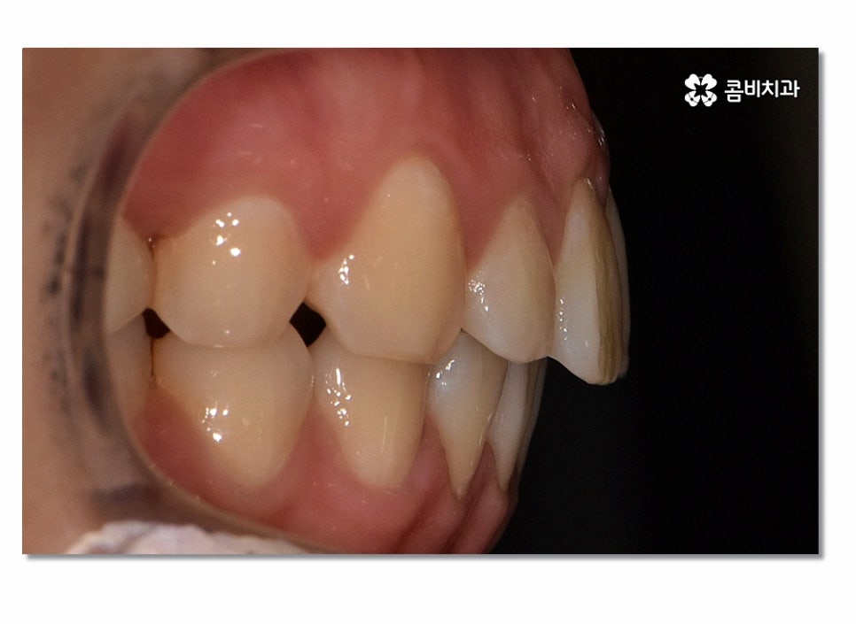
위 사진을 보시면 치아교정 과정을 통해서 치열의 가지런함은 물론이며
측면에서 보더라도 돌출입이 많이 개선된 것을 느낄 수 있을 거예요.
돌출입치아교정 과정에서 수술을 함께 해야 하는 경우에는 보다 복잡한
과정을 거쳐야 하고 치료 기간도 더 오래 걸릴 수밖에 없는데
비수술적인 방법으로 치아교정 만으로 개선이 되는 사례도 많기 때문에
치료 과정이 궁금하다면 치과에서 정확한 진단을 먼저 받아보셔야 할 수 있어요.



치아교정은 장기적인 관점으로 바라봐야 할 치료 과정이며
단순히 치열을 가지런하게 보이는 치료가 아닌 치아의 건강과 함께
교합, 얼굴형과의 조화 등 여러 측면이 고려되어 치료 계획이 세워져야 할 수 있어요.
또한 치료가 끝난 후에도 유지관리를 잘하는 것이 중요하기 때문에
오랫동안 치료를 믿고 맡길 수 있는 치과의 선택이 중요하며
담당 의료진이 중간에 바뀌지 않는지 체크하는 것도 필요할 거예요.

돌출입으로 인해서 콤플렉스를 느끼고 있다면 너무 걱정하기에
앞서 정확하게 검진을 받아보시고 치료 계획에 대해서
전문의와 충분한 조언을 들어보신 후 판단하셔야 하겠고
교정 후 얼굴 변화에 대해 궁금하시다면 아래 영상을
참고하신다면 도움이 되실 거예요.
본 글은 콤비치과의 의료광고 포스팅이며
개인에 따라 출혈 및 부작용이 발생할 수 있습니다.