명동콤비치과의원 (명동)
앞니 부분교정 오래 걸리지 않고 원하는 부위만
우리가 보통 치아교정이라고 하면 약 2년 내외의 치료 기간이 걸리고 전체 치아를 대상으로 해야 한다고 생각하게 될 거예요. 결코 짧지 않은 치료 기간에 대한 부담감은 치열에 대한 고민을 하고 있더라도 이내 포기하게 되는 요소가 되기도 하겠지만 사람에 따라서 치열 상태가 다르고 꼭 필요한 부분만 교정을 하여 비교적 짧은...
아카이브 요약
이 페이지의 역할
명동콤비치과의원 (명동)의 네이버 블로그 원문을 보존한 아카이브 페이지입니다. 치아스토리♡ 카테고리의 앞니 부분교정 오래 걸리지 않고 원하는 부위만 글을 통해 병원의 한국어 정보 제공 방식과 진료 관련 안내 톤을 확인할 수 있습니다.
우리가 보통 치아교정이라고 하면 약 2년 내외의 치료 기간이 걸리고
전체 치아를 대상으로 해야 한다고 생각하게 될 거예요.
결코 짧지 않은 치료 기간에 대한 부담감은 치열에 대한 고민을
하고 있더라도 이내 포기하게 되는 요소가 되기도 하겠지만
사람에 따라서 치열 상태가 다르고 꼭 필요한 부분만 교정을 하여
비교적 짧은 기간에 가지런한 치열로 개선할 수 있는 방법도 있는데요.
대표적인 예가 앞니의 삐뚤어짐, 벌어짐, 약간의 덧니 등에
해당하며 전체적인 치열 상태나 교합이 양호한 편이지만
유독 치아의 일부분이 비심미적인 치열 상태를 보인다면
앞니 부분교정 같은 방법으로 해결이 가능할 수 있어요.

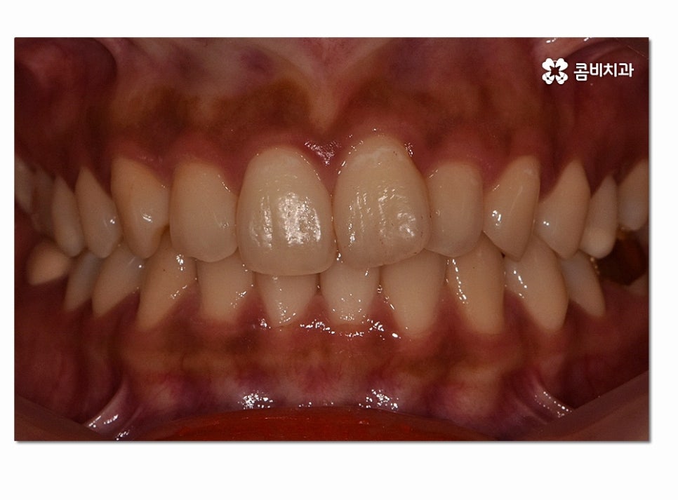
아무래도 앞니 부분교정이 시행된 사례를 살펴보신다면
더욱 이해가 잘 되실 텐데 위 케이스에서 보시다시피
전반적으로는 치열 상태가 많이 나쁜 편은 아니지만
유독 삐뚤어진 앞니로 인해서 교정을 원하셨던 환자분의 사례이며
앞니가 약간 돌출된 상태라는 것도 확인할 수 있어요.



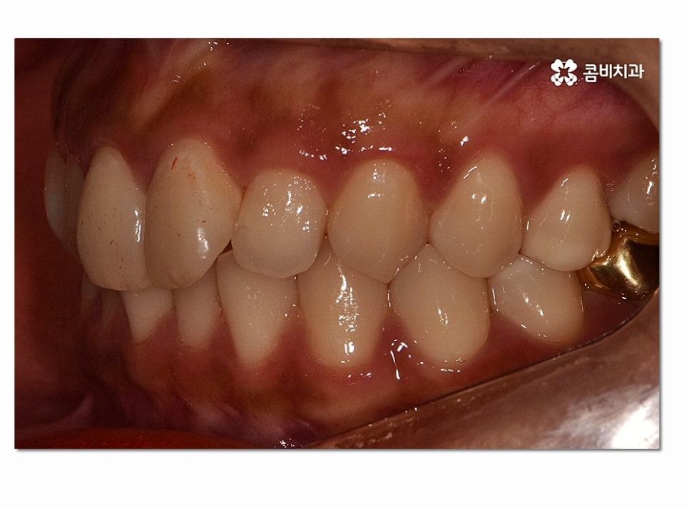
특히 옆모습으로 보면 돌출된 치아와 삐뚤어짐이 눈에 띈다는 것을
느낄 수 있는데 이러한 경우에 부정교합이 심한 경우처럼
일상적으로 큰 불편함을 느끼는 수준까지는 아니겠지만
앞니는 사람의 인상에서 중요한 부분을 차지하고 있다 보니
웃을 때마다 신경이 쓰이고 콤플렉스로 여기는 분들이 생각보다 많을 거예요.
나이가 들면서 앞니가 벌어져서 고민을 하시는 분들도 많은데
남들이 보기에는 치열이 심하게 불규칙하다고 보지도 않을뿐더러
큰 신경을 쓰지 않을 수도 있겠지만 본인 스스로 치아에 대한
불만족이나 콤플렉스를 느끼시는 분들이 상당히 많이 있어요.

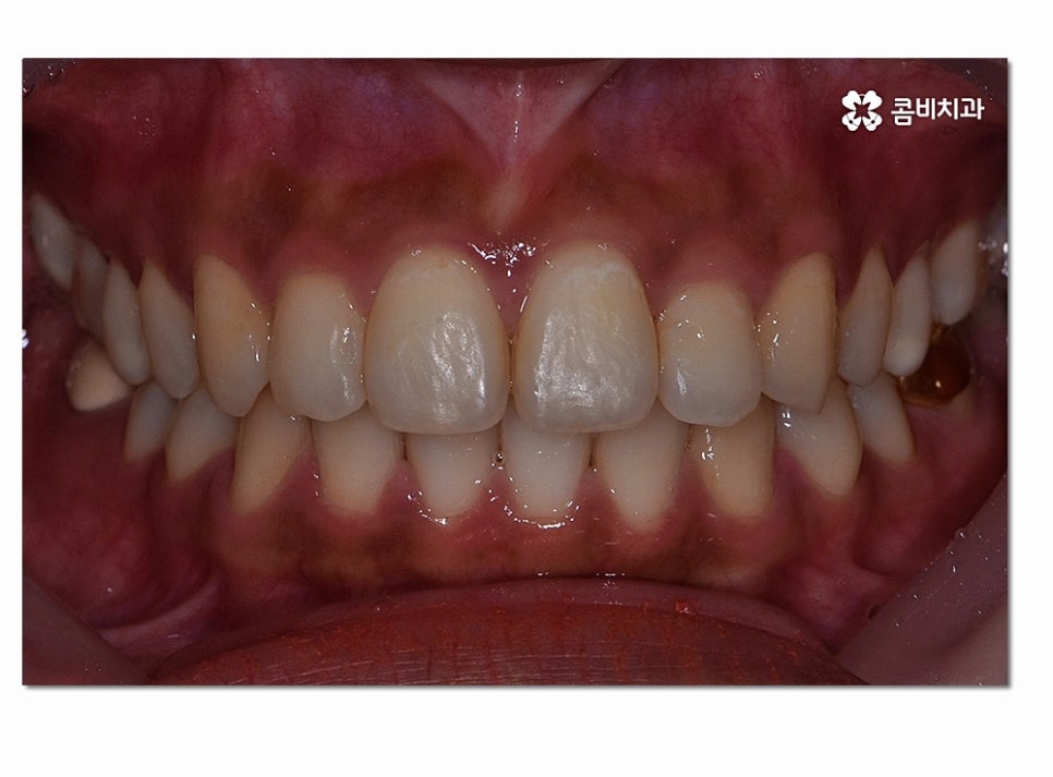
위 환자분의 케이스 역시도 교합이 잘 맞물리는 상태에서
유독 치아의 일부분이 삐뚤어진 상태로 보다 심미적인
치열을 위해서 앞니부분교정을 결정하게 된 사례라고 할 수 있는데요.
부분교정의 장점은 문제가 되고 있는 일부분의 치아만을
교정할 수 있으며 치료 기간이 전체 교정과는 다르게
약 6개월 내외에 끝나는 경우가 많기 때문에 빠른 치료를
원하시고 결혼이나 취업과 같이 중요한 일정을 앞둔 경우에
많이 선호하고 있는 방법이라고 할 수 있어요.

앞니부분교정은 보시는 것처럼 치아의 일부분 만을 교정장치를 부착하며
보통 6~8개의 치아를 대상으로 하고 경우에 따라서는
설측 즉 치아의 안쪽으로도 장치를 부착할 수 있기 때문에
전체교정에 비해서 심미적일 뿐 아니라 교정기로 인한
일상의 불편함 역시도 큰 부담이 없는 편이라고 할 수 있어요.


치아의 일부분이 불규칙하여 고민이신 분들의 경우
급할 때는 라미네이트와 같은 시술을 알아보시는 분들도 많은데
라미네이트는 치아에 대한 삭제를 우려해야 하며 자연치아에
비해 내구성이 떨어진다는 점에서 이러한 앞니 부분교정을
통해서 자연치아도 자연스럽게 살리면서 장기간의 치료를
통한 부담도 크게 줄일 수 있다는 점이 큰 장점이라고 할 거예요.

치열로 인해 고민하시는 분들이라면 이러한 부분교정이 가능하다는
정보를 알게 되고 솔깃하게 느끼실 분들이 많겠지만
누구나 이러한 방식으로 치료가 가능한 것은 아니며
대표적으로 부정교합이 심한 분들의 경우에는 전체 교정을
해야 하는 경우가 대부분이라고 할 수 있어요.
부분교정이 가능하기 위해서는 기본적으로 치아의 이동 공간이
확보되어야 하며 치아의 이동 공간이 부족할 시에는
보통 발치, 악궁 확장, 치간 삭제와 같은 방법으로 공간 확보를
하게 되는데 개개인에 따라서 다른 치아 상태와 골격,
얼굴형까지 생각해야 하기 때문에 정확한 교정 방법은
충분한 진단을 통해서 확인이 필요할 거예요.

예전에는 성장기에만 교정을 해야 한다는 생각을 하시는 분들도
많았지만 요즘은 치열의 불규칙함이 심하지 않고
약간의 삐뚤어짐, 벌어짐 만으로도 교정을 고민하시는 분들이 많이 있는데요.
앞니는 유독 사람의 인상에서 중요한 역할을 하는 만큼
그러한 고민을 하신다면 앞니 부분교정 같은 방법으로
필요한 부분만 빠르게 개선이 가능하다는 점을 참고하신다면
반듯해진 치열로 인해 구강 관리에도 도움이 되고
심미적인 개선에도 도움이 되실 거예요.


치아교정이 가능한 나이는 중년에도 충분히 가능한 경우가 많으며
나이로 인한 제한보다는 오히려 치아와 잇몸의 건강 상태가
중요하다고 보기 때문에 나이가 들어서도 치열로 인한 고민이나
교정에 대한 미련이 남아 있다면 다양한 치료 방법이 있기 때문에
전문의와 충분히 상의해 보시고 결정하신다면 도움이 되실 거예요.

부분교정을 원하시는 분들 중에서는 치료의 효율성 뿐 아니라
심미적인 장치를 선호하시는 경우도 많은데 심미적인 장치로는
탈부착이 가능하며 장치가 투명한 클리어얼라이너(투명교정장치)와
같은 장치도 있으니 참고하시면 도움 되실 거예요.
앞서 설명드리면서 부정교합이신 분들의 경우 대부분 전체 교정이 필요하다고
말씀드렸는데 위 영상을 참고하셔서 나는 어떤 부정교합에
해당하는지 아닌지 도움받으실 수 있을 거예요.
본 글은 콤비치과의 의료광고 포스팅이며
개인에 따라 출혈 및 부작용이 발생할 수 있습니다.
더 보기
이 병원의 공개 콘텐츠를 계속 살펴보세요
출처 아카이브로 돌아가 더 많은 글을 보거나, 병원 프로필로 이동해 다른 공개 채널도 함께 비교해보세요.