아카이브 요약
이 페이지의 역할
명동콤비치과의원의 네이버 블로그 원문을 보존한 아카이브 페이지입니다. 치아스토리♡ 카테고리의 무삭제라미네이트 포인트부터 잘 알고 시작하려면 글을 통해 병원의 한국어 정보 제공 방식과 진료 관련 안내 톤을 확인할 수 있습니다.
원문 검증
필요하면 원문 블로그와 병원 프로필로 바로 이동해 문맥을 다시 확인할 수 있습니다.
출처 아카이브 열기아카이브된 블로그 글
명동콤비치과의원 · Naver Blog
앞니는 인상에도 중요한 영향을 미치고 식사를 할 때도 중요한 역할을 하기 때문에 치아 배열이 불규칙하거나 벌어져 있다면 적절한 치료법을 찾아 치료해야 할 수 있어요. 앞니의 치료 방법은 다양하겠지만 오늘은 그중에서도 많은 분들이 관심 갖고 있는 무삭제라미네이트에 대해서 알아볼 거예요. 고르지 못한 치열을 갖고 있는...
게시일
2021년 2월 16일
원문 기준으로 확인된 발행일입니다.
카테고리
치아스토리♡
원문 블로그 카테고리를 정리해 함께 표시합니다.
이미지 수
7
현재 아카이브에 연결된 이미지 수입니다.
아카이브 요약
명동콤비치과의원의 네이버 블로그 원문을 보존한 아카이브 페이지입니다. 치아스토리♡ 카테고리의 무삭제라미네이트 포인트부터 잘 알고 시작하려면 글을 통해 병원의 한국어 정보 제공 방식과 진료 관련 안내 톤을 확인할 수 있습니다.
원문 검증
필요하면 원문 블로그와 병원 프로필로 바로 이동해 문맥을 다시 확인할 수 있습니다.
출처 아카이브 열기앞니는 인상에도 중요한 영향을 미치고 식사를 할 때도 중요한 역할을 하기 때문에
치아 배열이 불규칙하거나 벌어져 있다면 적절한 치료법을 찾아 치료해야 할 수 있어요.
앞니의 치료 방법은 다양하겠지만 오늘은 그중에서도
많은 분들이 관심 갖고 있는 무삭제라미네이트에 대해서 알아볼 거예요.
고르지 못한 치열을 갖고 있는 경우 단기간에 해결하고자 할 때
부분교정이나 라미네이트와 같은 방법을 많이 사용하게 되는데
치아 자체가 깨져있거나 변색이 심한 경우, 왜소치와 같은 상황이라면
교정 만으로는 심미적 회복에 있어서 한계가 있기 때문에
라미네이트와 같은 시술이 적합할 수 있는데요.

다만 라미네이트는 빠르고 간단하게 치료가 가능하다는 이점과 함께
치아를 삭제해야 한다는 단점도 있기 때문에 쉽게 선택하기 어려우신 분들도 많을 거예요.
치아를 많이 삭제해야 할수록 이가 시릴 우려가 있고 심한 경우에는
신경치료를 해야 하는 상황으로 이어질 수 있는 만큼
무분별한 치아 삭제는 피해야 하며 자연치아를 건강하게
유지하는 쪽으로 치료 방향을 생각해야 할 수 있어요.
하지만 라미네이트 기술의 발달로 인해서 무삭제를 통해 시술 진행이
가능한 사례도 있다는 점에서 라미네이트를 선택하는 것 자체에 대한
부담을 줄일 수 있는 사례가 바로 무삭제라미네이트 라고 할 수 있어요.

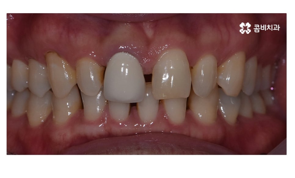
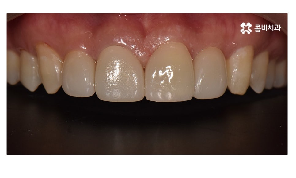
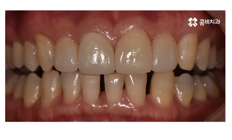
시술 사례를 직접 살펴보면 앞니 4개 치아에 한해서 진행이 되었고
앞니가 벌어져 있는 공간이 크면서 치아 모양과 변색 등의 개선도 함께 필요하므로
이러한 부분을 전체적으로 함께 고려하여 치료가 진행되었으며
평소 웃을 때 보이는 앞니로 인해 스트레스를 많이 받으셨기 때문에
시술 후 심미적인 부담감이 크게 줄어들 수 있다는 점도 장점이라고 할 수 있을 거예요.


우선 무삭제라미네이트 누구나 가능한 것은 아니며 시술 대상에
해당하시는 분들에 한해서 진행이 가능한 시술이라고 생각해야 할 거예요.
기본적으로 치아 자체가 작은 왜소치를 갖고 계신 분들이나
위 사례와 같이 치아 사이의 공간이 어느 정도 있는 경우에
가능하신 경우가 많다고 할 수 있어요.
라미네이트는 치아 삭제가 가장 큰 단점이라 할 수 있는 시술인 만큼
치아의 보존 양을 높일 수 있는 것이 중요하다고 할 수 있으며
치아 삭제를 진행하신다면 최소 삭제를 통해 치아 보존에 주력하는
치과를 찾는 것이 중요한 부분 중에 하나라고 할 수 있는데요.

무삭제라미네이트 시술 후 결과 사진인데 보시는 것과 같이
주변 치아와 이질감이 없고 티가 나지 않는 심미적인 결과가 중요하다고 할 수 있어요.
치아의 심미성을 고려하기 위해서는 치아의 색과 모양이
기본적으로 중요하면서 빛의 투과율 역시도 중요한 부분인데
치아는 투명성에 대한 부분도 심미적으로 중요하다고 할 거예요.

치열이 불규칙한 경우에는 교정을 통해서 심미적인 회복이
가능하겠지만 치아의 변색이 심하거나 충치, 깨짐 등의
경우에는 라미네이트를 통해서 치료를 해야 하는 경우도 많기 때문에
자신에게 필요한 치료를 잘 선택하는 것이 중요하다고 할 수 있어요.
아직까지는 라미네이트에 대한 오해를 갖고 계신 분들도 종종 있지만
예전의 인식과는 달리 연예인들이 심미적인 목적 만을 위해서
단기간에 빠른 효과를 보는 심미보철치료라고만 생각하시기보다는
앞니는 심미적으로 중요한 부위인 만큼 필요한 경우라면
자연치아를 건강하게 잘 살리면서 치료를 잘 받는 것도 좋을 거예요.

나이가 들수록 앞니가 벌어져서 고민하시는 분들이 많은 만큼
무삭제라미네이트의 경우 부족한 부분을 치아의 삭제 없이
채워주고 심미적인 회복인 가능하다는 큰 장점이 있는 치료라고 할 수 있는데요.
앞니의 치료 방법은 교정부터 레진,라미네이트,올세라믹 등
다양한 방법이 있으니 한 가지 방법 만으로 해결하려고 하기보다는
의사 선생님과 충분한 진단을 통해서 자신에게 필요한 치료를
안전하고 건강하게 그리고 만족할 수 있도록 잘 알아보시고 선택해야 할 거예요.
본 글은 콤비치과의 의료광고 포스팅이며
개인에 따라 출혈 및 부작용이 발생할 수 있습니다.