아카이브 요약
이 페이지의 역할
명동콤비치과의원의 네이버 블로그 원문을 보존한 아카이브 페이지입니다. 치아스토리♡ 카테고리의 치주질환 치료의 중요성과 치은절제술이 활용된 사례 글을 통해 병원의 한국어 정보 제공 방식과 진료 관련 안내 톤을 확인할 수 있습니다.
원문 검증
필요하면 원문 블로그와 병원 프로필로 바로 이동해 문맥을 다시 확인할 수 있습니다.
출처 아카이브 열기아카이브된 블로그 글
명동콤비치과의원 · Naver Blog
이제는 영구치를 잃게 되면 자연스럽게 임플란트를 식립해야 한다는 인식을 대부분 갖고 있고 인공치아를 식립하여 영구치를 대체하는 임플란트는 높은 저작력과 내구성을 자랑하고 있는데요. 그럼에도 자연치아만큼의 우수성을 따라가긴 어렵다는 점에서 치아를 잃게 되는 원인을 빠르게 파악하고 완전히 상실하기 전에 충분히 보존 치료를...
게시일
2021년 3월 2일
원문 기준으로 확인된 발행일입니다.
카테고리
치아스토리♡
원문 블로그 카테고리를 정리해 함께 표시합니다.
이미지 수
7
현재 아카이브에 연결된 이미지 수입니다.
아카이브 요약
명동콤비치과의원의 네이버 블로그 원문을 보존한 아카이브 페이지입니다. 치아스토리♡ 카테고리의 치주질환 치료의 중요성과 치은절제술이 활용된 사례 글을 통해 병원의 한국어 정보 제공 방식과 진료 관련 안내 톤을 확인할 수 있습니다.
원문 검증
필요하면 원문 블로그와 병원 프로필로 바로 이동해 문맥을 다시 확인할 수 있습니다.
출처 아카이브 열기이제는 영구치를 잃게 되면 자연스럽게 임플란트를 식립해야
한다는 인식을 대부분 갖고 있고 인공치아를 식립하여
영구치를 대체하는 임플란트는 높은 저작력과 내구성을 자랑하고 있는데요.
그럼에도 자연치아만큼의 우수성을 따라가긴 어렵다는 점에서
치아를 잃게 되는 원인을 빠르게 파악하고 완전히 상실하기 전에
충분히 보존 치료를 하고 예방을 하는 것이 매우 중요할 거예요.
일반적으로 치아를 상실하게 되는 원인에 대해서 충치를 먼저 떠올리시는 분들이
많은데 치아를 잃게 되는 요인으로는 충치나 사고가 원인이 되는 경우도
많겠지만 나이가 들수록 치주 질환으로 인해 치아손상을 유발하는 경우를 많이 볼 수 있어요.

잇몸 병으로도 불리는 치주 질환은 초기에 제대로 된 치료를 하지 않을 경우
치은부터 치조골, 치주 인대 등을 순차적으로 파괴시키면서 결국
치아가 흔들리게 되고 발치로 이어질 수 있기 때문에
치은염이 치주염으로 더 커지지 않도록 주의해야 할 필요가 있는데요.
치주 질환을 예방하기 위해서는 기본적인 청결관리와 함께
스케일링의 중요성이 매우 큰데, 주기적으로 치과에 방문하셔서 스케일링을 받는 분들이
나날이 늘고 있기는 하지만 충치에 비해서 잇몸병은 아직까지도
약으로 의존하려고 하거나 참다가 뒤늦게 치료를 하여
손상이 커지는 케이스를 많이 보기 때문에 안타까운 상황이라고 할 수 있어요.

치주 질환은 진행 단계에 따라서 치은에 국한되어 염증이 발생하는
치은염과 이 시기에 제대로 된 치료를 받지 않고
염증이 치조골까지 이르게 되었을 때를 일컫는 치주염으로 나눌 수 있는데요.
치주 질환의 대표적인 치료 방법은?
치주 질환의 치료는 비수술적인 방법과 수술적인 방법으로 나눌 수 있으며
일반적으로 비수술적인 치료는 치주 질환이 심하지 않을 때
시행이 가능하고 우리가 평소에 주기적으로 받는 스케일링이
대표적인 비수술적인 치료 방법이라고 할 수 있어요.
스케일링과 함께 치근활택술이 비수술적인 치료의 대표적인 방법이며
치주 질환의 원인이 되는 치태, 치석을 깔끔하게 제거하여 염증을
개선하며 치주조직의 대생을 유도하는 시술이라고 할 수 있어요.


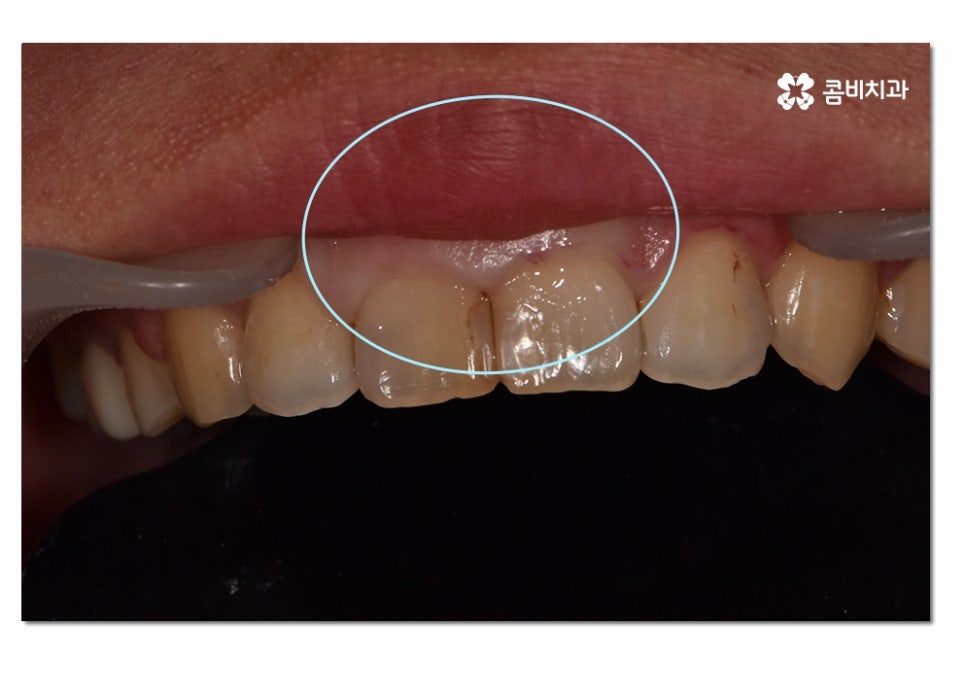
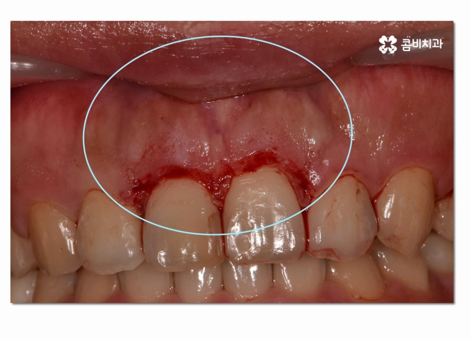
수술적인 치료 방법은 치은절제술과 치은성형술,치주판막술,치주성형술 등을
예로 들 수 있으며 오늘 소개 드리고자 하는 케이스는
치은절제술에 해당하는 치료 방법으로 너무 늦지 않게 치료하여
잇몸과 치아를 건강하게 살린 케이스라고 말씀드릴 수 있어요.
이러한 수술적인 방법은 잇몸을 절개하고 치은 깊숙하게 숨어 있는
치석을 제거해 주거나 치주조직이 다시 건강하게
회복될 수 있도록 형태를 바꿔주며 재생을 돕는 방법이라 할 수 있는데요.


치주 질환은 치주염으로 발달되면 치료도 쉽지 않을 뿐 아니라
재발도 잦아질 수 있기 때문에 가장 좋은 방법은 주기적으로 스케일링을
받으면서 예방과 초기 치료에 힘쓰는 방법이며 늦어도
치은염이 나타났을 때 빠른 치료를 하는 것이라고 할 거예요.

위에 보시는 것처럼 치은절제술 치료가 잘 이뤄지고 잇몸이 다시
건강한 색과 모양으로 회복된 것을 느낄 수 있는데요.
치주 질환은 심각성에 비해서 치은염이 발생한 상태에서도
크게 통증을 못 느끼시는 분들도 많기 때문에
대수롭지 않게 여기다가 나중에 치아를 잃을 정도로
심각한 문제로 이어지는 경우를 많이 볼 수 있어요.
치조골이 파괴되면 치아를 흔들리게 할 뿐 아니라
인접한 치조골의 파괴로 이어져서 여러 치아의 상실로 이어지기도
하며 임플란트를 해야 할 때 뼈이식을 추가적으로 받아야
하는 경우도 많기 때문에 잇몸 상태가 좋지 않다면
꼭 미리미리 치료를 받으시는 것이 자연치아를 잘 보존하는 방법이라고 할 수 있어요.
본 글은 콤비치과의 의료광고 포스팅이며
개인에 따라 출혈 및 부작용이 발생할 수 있습니다.