아카이브 요약
이 페이지의 역할
명동콤비치과의원의 네이버 블로그 원문을 보존한 아카이브 페이지입니다. 치아스토리♡ 카테고리의 치주염으로 인한 아랫니 임플란트 절차를 알아보면 글을 통해 병원의 한국어 정보 제공 방식과 진료 관련 안내 톤을 확인할 수 있습니다.
원문 검증
필요하면 원문 블로그와 병원 프로필로 바로 이동해 문맥을 다시 확인할 수 있습니다.
출처 아카이브 열기아카이브된 블로그 글
명동콤비치과의원 · 콤비덴탈 치과의사 황용인
자연치아는 다른 신체 부위와는 다르게 스스로 재생되는 능력이 없기 때문에 오랜 수명을 유지하기 위해서는 꼼꼼한 관리가 필요할 수 있는데요. 환자분들에 따라서 관리 방법과 생활 습관이 천차만별이기 때문에 평소 칫솔질은 물론이며 치실 사용에 신경 써야 하며 정기적인 검진과 스케일링의 중요성이 크다고 할 수 있어요....
게시일
2021년 3월 10일
원문 기준으로 확인된 발행일입니다.
카테고리
치아스토리♡
원문 블로그 카테고리를 정리해 함께 표시합니다.
이미지 수
10
현재 아카이브에 연결된 이미지 수입니다.
아카이브 요약
명동콤비치과의원의 네이버 블로그 원문을 보존한 아카이브 페이지입니다. 치아스토리♡ 카테고리의 치주염으로 인한 아랫니 임플란트 절차를 알아보면 글을 통해 병원의 한국어 정보 제공 방식과 진료 관련 안내 톤을 확인할 수 있습니다.
원문 검증
필요하면 원문 블로그와 병원 프로필로 바로 이동해 문맥을 다시 확인할 수 있습니다.
출처 아카이브 열기자연치아는 다른 신체 부위와는 다르게 스스로 재생되는 능력이 없기
때문에 오랜 수명을 유지하기 위해서는 꼼꼼한 관리가 필요할 수 있는데요.
환자분들에 따라서 관리 방법과 생활 습관이 천차만별이기 때문에
평소 칫솔질은 물론이며 치실 사용에 신경 써야 하며 정기적인
검진과 스케일링의 중요성이 크다고 할 수 있어요.
치아는 다양한 이유로 잃게 될 수 있는데 충치나
외상으로 인한 경우도 많지만 나이가 들수록 잇몸질환이 주된
원인이 되어 치아를 잃게 되고 임플란트를 하게 될 수 있는데요.

아랫니 임플란트의 원리는 자연치아를 잃게 된 부위에
치아의 뿌리 역할을 하는 인공치근을 식립하게 되며
인공치근에 보철물을 결합시키는 시술인데 이러한 과정이
안전하고 튼튼하게 진행되기 위해서는 잇몸뼈와
인공치근이 잘 유착되는 과정이 중요하다고 할 수 있어요.
잇몸질환으로 인해서 치아를 잃게 된 경우에는
잇몸뼈가 파괴되어 뼈이식을 받아야 하는 경우가
생길 수 있으며 뼈이식이 꼭 필요하지 않더라도
잇몸이 건강하게 차오르도록 치아 발치 후
회복 기간을 충분히 가져야 할 수 있는데요.
오늘은 위 이미지처럼 실제로 아랫니 임플란트 진행된
사례를 통해 시술 과정에 대해 자세하게 알아보도록 할 거예요.

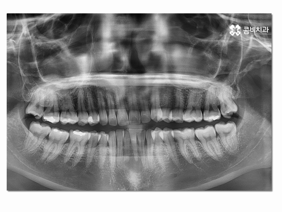
위 환자분의 경우 잇몸질환이 심해져서 치아 뿌리까지
염증이 심해졌고 결국 발치까지 하게 된 사례인데
치주염이 심해지기 전까지 제대로 된 치료를 하지 않아
결국 발치까지 하게 된 경우라고 할 수 있어요.
잇몸에 염증이 방치되면 점점 심해지다가 치아 뿌리까지
손상을 입게 되는데 잇몸질환은 중기 혹은 말기까지도
큰 통증을 못 느끼는 경우도 종종 있기 때문에 주기적으로
검진과 스케일링을 하며 예방에 신경 써야 한다고 말씀드릴 수 있어요.

심한 경우에는 주변 치아에도 염증이 심해져서 여러 치아를
잃게 되는 사례도 종종 보는데 위 환자분의 경우에는
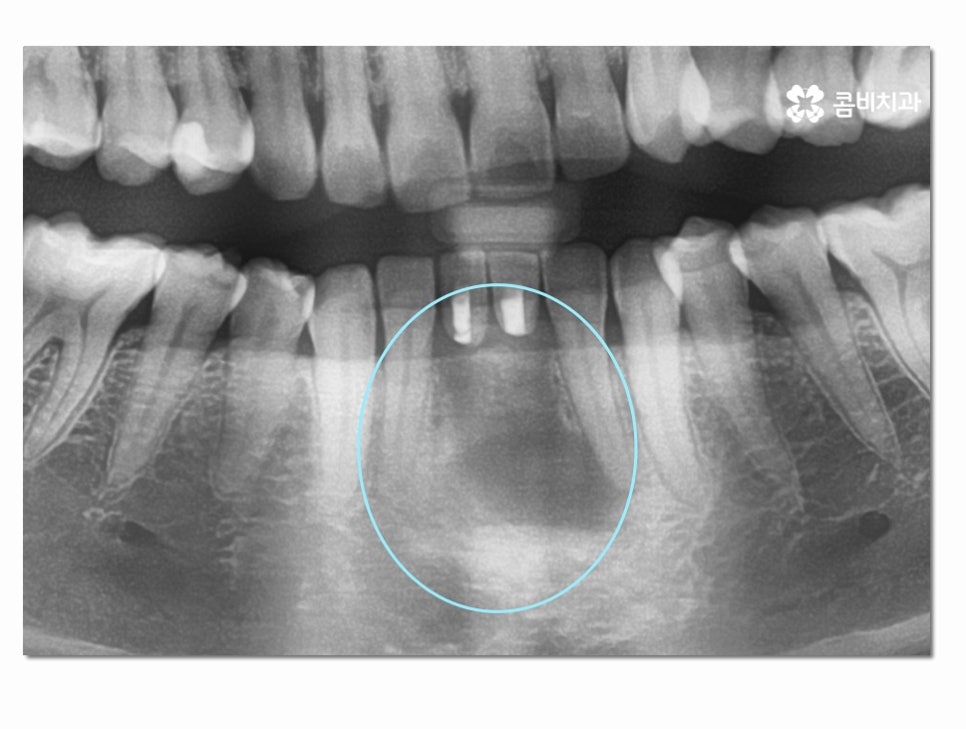
아랫니 2개까지만 멍울처럼 뿌리 끝에 염증이 심해진 상태를 볼 수 있어요.


발치 후 임시치아를 부착하였고 염증이 없어진 뒤에
5~6개월 잇몸 뼈가 차오르는 걸 기다렸는데 이 기간은
앞서 설명드린 인공치근을 잇몸 뼈에 튼튼하게 식립하기
위한 회복 기간이라 할 수 있어요.
아랫니 임플란트의 시술 과정과 방법은 사람에 따라 달라질 수 있는데
치아를 잃게 된 원인과 잇몸의 상태, 회복력에 따라서 치료 계획이
달라지며 위 환자분의 경우에는 잇몸질환으로 인하여 치아를
상실했기 때문에 치아 발치 후 잇몸의 회복까지 약 5~6개월의
시간이 소요된 것이라고 할 수 있는데요.

잇몸에 염증이 제대로 사라지지 않은 상태에서는
함부로 임플란트를 식립할 수 없으며
보통 잇몸질환이 심해져서 발치를 하게 되면
잇몸 뼈의 부족으로 인해 뼈이식을 해야 하거나 잇몸 뼈가
차오르는 시간을 충분히 가져야 할 수 있는데요.
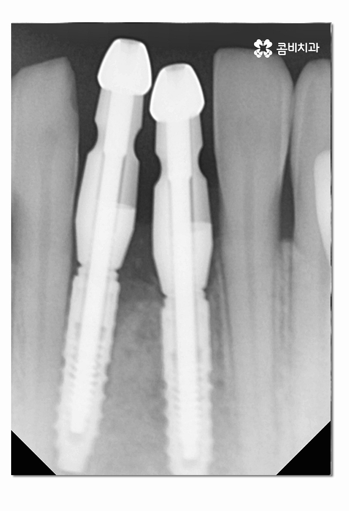
위 사진은 인공치근이 식립된 상태이고 인공치근이
잇몸뼈와 잘 유착이 되는지 확인하는 기간을
갖는 것이며 보철물을 결합하기 전에는 임시치아를 부착하고 있어요.

이렇게 인공치근이 골 유착 과정을 거치면 거의 자연치아와
흡사한 씹는 힘을 갖추게 되며 위 환자분과 같이 아랫니 임플란트 위치가
앞니 근처라면 심미적으로 중요한 위치이기 때문에 더 신경 써서
심미성을 회복하는 과정을 거치게 되실 수 있어요.


(좌 - 임플란트 식립 후 임시치아를 부착하고 안전하게 골 유착이 되도록 기다리는 과정, 보철물과 결합 준비 - 우)
인공치근이 튼튼하게 자리를 잡게 된 것이 확인이 되면
보철물을 주변 치아의 색과 모양과 비슷하게 제작하여
결합하는 과정을 거치고 아랫니 임플란트 치료 과정이 마무리될 수 있어요.

잇몸의 상태가 좋은 분들의 경우 원데이 임플란트 방식을 통해서
치아의 발치부터 임플란트 식립과 보철물의 결합까지
시간이 비교적 짧게 단축이 가능한 사례도 있겠지만
잇몸질환이 치아 상실의 원인이 되는 경우에는 위 사례처럼
치아 발치부터 잇몸의 회복, 골 유착 과정 등이 수개월에
거쳐서 진행되는 경우도 많기 때문에 잇몸 관리의 중요성에
대해서 다시 한번 생각해 보시고 관리를 철저하게 하도록 권하고 있어요.
임플란트 식립 후에도 관리에 소홀하면 임플란트 주위염으로
인해 부작용을 겪는 사례가 있기 때문에 경각심을
갖고 평소 청결관리와 주기적인 검진에 힘쓰셔야 하며
임플란트 시술 후에는 신경이 없기 때문에 염증에 대해서
무감각해질 수 있으므로 정기 검진을 잊지 말아야 할 거예요.
본 글은 콤비치과의 의료광고 포스팅이며
개인에 따라 출혈 및 부작용이 발생할 수 있습니다.