아카이브 요약
이 페이지의 역할
명동콤비치과의원의 네이버 블로그 원문을 보존한 아카이브 페이지입니다. 치아스토리♡ 카테고리의 덧니교정 불편함이 느껴지지 않더라도 글을 통해 병원의 한국어 정보 제공 방식과 진료 관련 안내 톤을 확인할 수 있습니다.
원문 검증
필요하면 원문 블로그와 병원 프로필로 바로 이동해 문맥을 다시 확인할 수 있습니다.
출처 아카이브 열기아카이브된 블로그 글
명동콤비치과의원 · Naver Blog
단정하고 깔끔한 외모를 잘 가꾸는 것은 예전에 비해서 더욱 더 자기관리의 중요한 부분으로 자리 잡고 있는데요. 대인관계에 있어서 좋은 인상을 줄 수 있다면 그 자체로도 경쟁력이 될 수 있기 때문에 치열로 인해서 실질적인 문제는 크게 못 느끼더라도 덧니나 돌출입 등으로 인해서 심미적인 고민을 하는 경우 교정 치료...
게시일
2021년 3월 18일
원문 기준으로 확인된 발행일입니다.
카테고리
치아스토리♡
원문 블로그 카테고리를 정리해 함께 표시합니다.
이미지 수
15
현재 아카이브에 연결된 이미지 수입니다.
아카이브 요약
명동콤비치과의원의 네이버 블로그 원문을 보존한 아카이브 페이지입니다. 치아스토리♡ 카테고리의 덧니교정 불편함이 느껴지지 않더라도 글을 통해 병원의 한국어 정보 제공 방식과 진료 관련 안내 톤을 확인할 수 있습니다.
원문 검증
필요하면 원문 블로그와 병원 프로필로 바로 이동해 문맥을 다시 확인할 수 있습니다.
출처 아카이브 열기단정하고 깔끔한 외모를 잘 가꾸는 것은 예전에 비해서
더욱 더 자기관리의 중요한 부분으로 자리 잡고 있는데요.
대인관계에 있어서 좋은 인상을 줄 수 있다면 그 자체로도
경쟁력이 될 수 있기 때문에 치열로 인해서 실질적인 문제는
크게 못 느끼더라도 덧니나 돌출입 등으로 인해서
심미적인 고민을 하는 경우 교정 치료를 알아보시는 분들이 늘고 있어요.

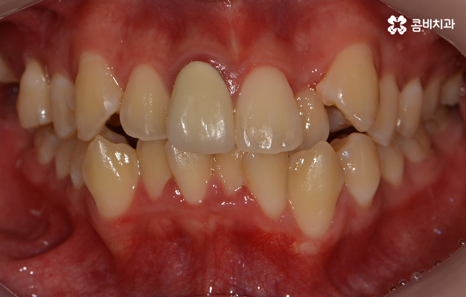
전체적으로 치열이 가지런한 편이지만 덧니가 하나 정도
눈에 띄게 있는 경우에는 귀여운 포인트로 여기는 경우도
있지만 덧니가 치아 곳곳에 심한 경우에는 웃을 때마다
콤플렉스를 느끼거나 치아 기능상의 문제, 청결 관리의
어려움 등을 느끼시는 분들도 많을 거예요.


덧니가 심한 경우에는 음식물이 치아 사이에 끼기 쉽고
심미적으로도 좋지 않기 때문에 덧니교정을 통해서
치열을 가지런하게 재배치하는 것이 필요할 수 있는데요.
덧니는 치아가 제대로 자리를 잡지 못하여 발생하게
되는 경우라고 할 수 있는데 턱이 작거나 치아가 큰 경우 치아가
정상적으로 나올 공간이 부족하여 생기는 경우가 일반적이라고 할 수 있어요.


유전적인 이유로 덧니교정이 필요한 경우도 많고
유치가 영구치가 나오는 시기에 비해 빠르게 빠진 경우 등도
덧니의 원인이 되기도 하는데 원인을 정확하게 파악하고
현재 치아의 이동 공간이 충분한지 정확한 진단이 필요할 수 있어요.
덧니교정은 덧니의 정도에 따라서 심하지 않은 경우에는
비발치 혹은 부분교정으로도 치료가 가능한 경우가 있지만
덧니가 심하거나 치아의 이동 공간이 부족한 경우에는
발치가 필요할 수 있기 때문에 개인별 치료 계획은 달라질 수 있는데요.
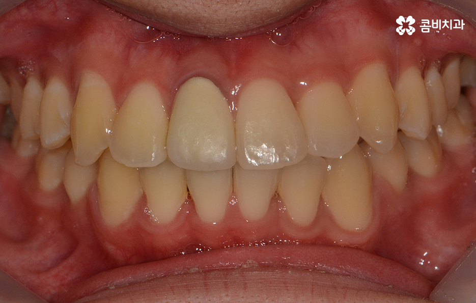
참고로 이번 포스팅에 소개해드린 환자분의 경우
검진부터 발치, 클리피씨 교정을 통해 교정이
마무리 되기 까지 약 2년 정도가 걸렸으며
치료 기간은 개인에 따라 상이하며 정확한 검진 후에
치료 계획에 따라 달라질 수 있어요.

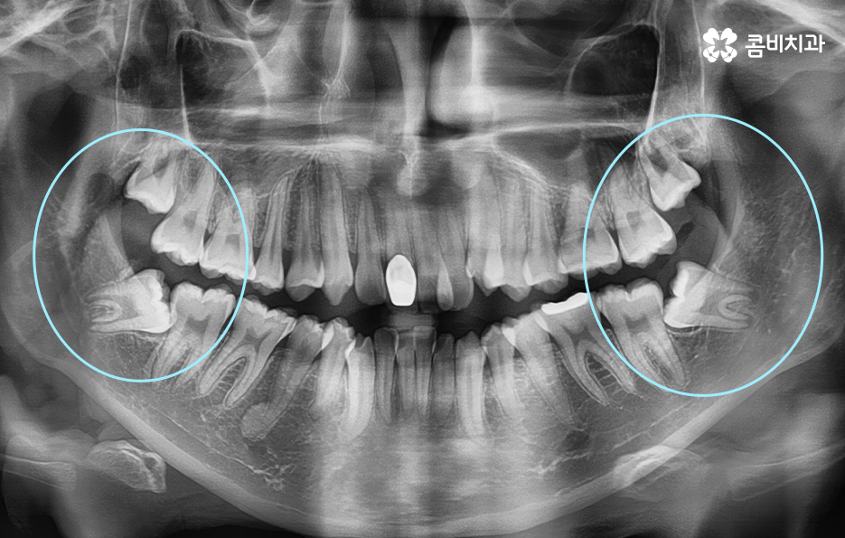
위 사례와 같이 턱이 좁은 경우에 사랑니 역시 제대로 맹출 될
공간이 부족한 경우가 많으며 사랑니가 누워서 자라는 경우에
어금니를 밀어내면서 치열을 더욱 망가지게 할 우려가 있으니
성인 이후에 치열이 불규칙해진 경우라면 사랑니의 체크가 꼭 필요할 수 있어요.

덧니교정은 치열과 교합, 얼굴형 등을 고려하여 치료 계획을
세우게 되며 치아의 이동 공간과 환자분의 니즈에 따라서
발치 여부가 결정되기 때문에 발치의 필요성은 개개인마다
그 기준이 달라질 수 있으며 치료 과정에서 필요한 경우에만
해당되는 것이기 때문에 무조건 좋고 나쁘다고
판단할 수 있는 부분은 아니라고 할 수 있어요.


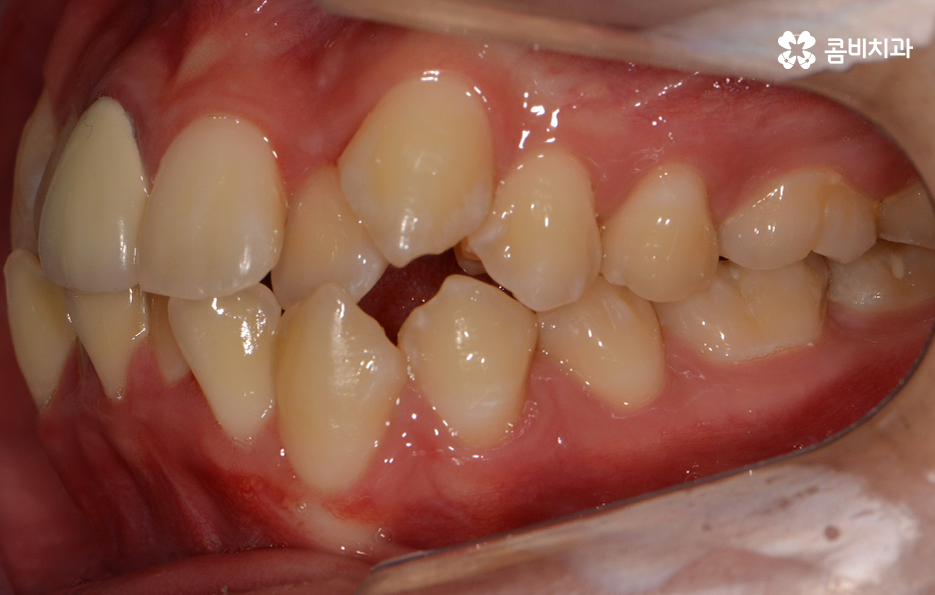
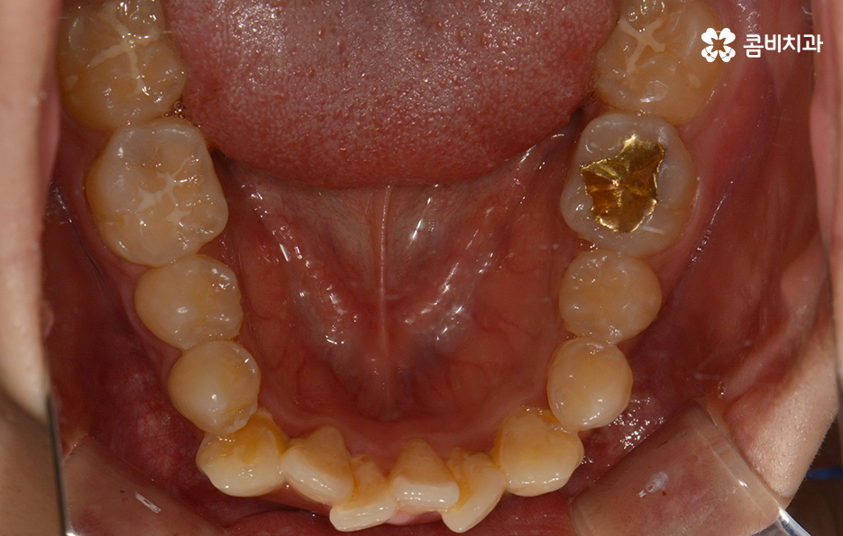
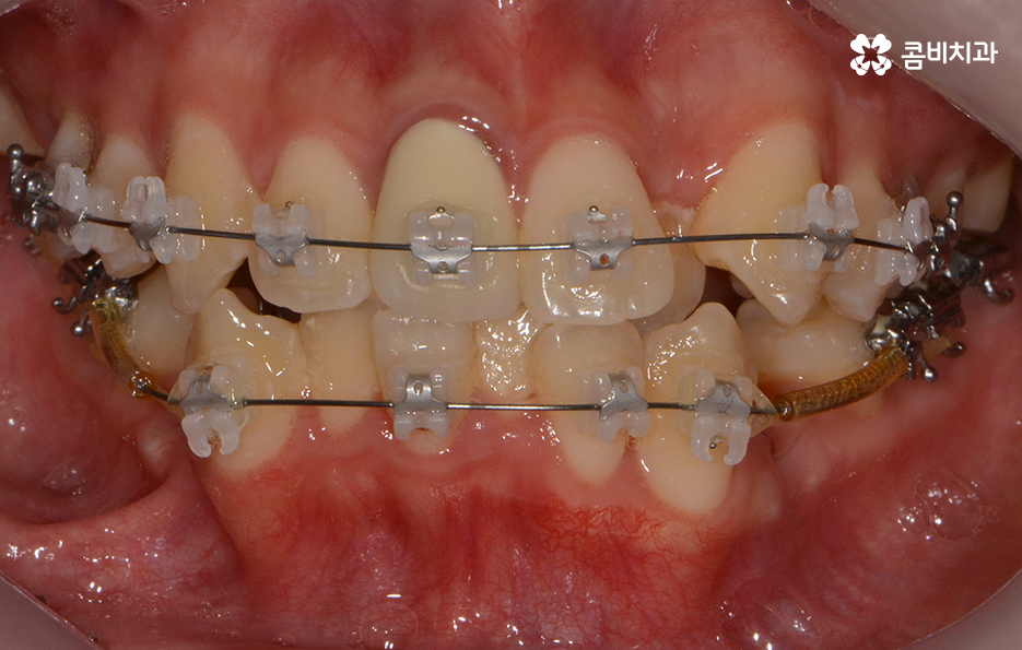
위 환자분의 케이스는 아랫니에 치아 2개를 발치하여
치아의 이동 공간을 확보하였고 발치교정이 진행될 때는
윗니와 아랫니 각각 2개씩 발치를 하는 경우가 많지만
위 사례는 치열, 교합 등을 고려할 때 아랫니 2개만
발치가 진행되었던 경우라고 볼 수 있어요.


왼쪽이 윗니이고 오른쪽이 아랫니인데 치열의 불규칙함이
심한 편이다 보니 평소 음식물이나 치석이 끼기 쉬운 환경이
되고 이러한 구강 환경이 지속된다면 충치와 잇몸질환의 발생률이 높아질 수 있어요.

덧니교정을 시작하는 시점은 되도록 성장기에 시작하시는 것이
좋으며 덧니가 오랜 기간 지속된 상태에서 뒤늦게
교정치료를 하는 경우에 잇몸이 약해진다거나 치료 후
블랙트라이앵글이 생길 수 있는 우려 등이 있기 때문에
유년기부터 지속적인 치아 검진을 통해서 늦지 않게
시작하는 것을 권해드릴 수 있는데요.

성인 이후에도 덧니교정은 충분히 가능하지만 개인별
치료 계획이 워낙 다양할 수 있다는 점에서
치과 의사와 충분한 검진부터 상담을 철저하게 받아보시고
시술 후 결과에 있어서 얼굴 변화와 유지 관리까지
생각해야 하기 때문에 꾸준히 함께 할 치과 선택이 중요할 수 있어요.


덧니를 치료하는 방법은 교정이 아니더라도 라미네이트와
같은 방법으로 개선할 수 있지만 덧니를 갖고 계신 분들의 경우
돌출입에 해당하시는 분들도 많고 라미네이트는
치아 삭제에 대한 우려가 있기 때문에 심미성 외에도
치아의 기능과 건강, 얼굴과의 조화 등을 전반적으로
충분히 고려하시는 것이 좋은 판단을 내리실 때 중요할 거예요.
본 글은 콤비치과의 의료광고 포스팅이며
개인에 따라 출혈 및 부작용이 발생할 수 있습니다.