명동콤비치과의원 (명동)
어금니 발치 심각해지기 전에 막으려면
치아는 각 위치마다 그 역할을 세부적으로 구분할 수도 있지만 공통적으로 음식물의 저작 기능을 통해서 소화기관의 부담을 덜어준다는 특징이 있는데요. 음식물을 잘 씹는 것은 그 자체로 즐거움이기도 하고 소화에도 매우 중요한데 저작 능력에 있어서 단연 가장 큰 역할을 하는 위치가 바로 어금니라고 할 수 있어요. 어금...
아카이브 요약
이 페이지의 역할
명동콤비치과의원 (명동)의 네이버 블로그 원문을 보존한 아카이브 페이지입니다. 치아스토리♡ 카테고리의 어금니 발치 심각해지기 전에 막으려면 글을 통해 병원의 한국어 정보 제공 방식과 진료 관련 안내 톤을 확인할 수 있습니다.
치아는 각 위치마다 그 역할을 세부적으로 구분할 수도 있지만
공통적으로 음식물의 저작 기능을 통해서
소화기관의 부담을 덜어준다는 특징이 있는데요.
음식물을 잘 씹는 것은 그 자체로 즐거움이기도 하고
소화에도 매우 중요한데 저작 능력에 있어서
단연 가장 큰 역할을 하는 위치가 바로 어금니라고 할 수 있어요.
어금니의 경우 평소 식사를 할 때 주로 쓰이기 때문에
음식물이 치아 사이에 끼기 쉽고 사랑니가 비스듬히
나거나 관리가 잘 안되는 경우에도 충치와 잇몸질환을 겪기 쉽기 때문에
그 소중함 만큼이나 관리에 각별한 신경을 써야 하겠고
큰 통증을 못 느끼더라도 주기적으로 검진과 스케일링이 필수라고 있는데요.

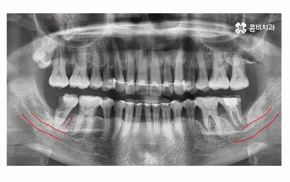
어금니를 잃게 되는 경우는 대표적으로 충치나 깨짐으로
인한 경우도 많지만 치주염으로 인한 경우도 적지 않다고 볼 수 있어요.
충치나 치아의 깨짐의 경우 보통 통증이나 시림을 느끼기 때문에
불편함이 느껴질 때 치과에만 바로 가도 어금니 발치 까지
이어지는 경우는 많지 않지만 치주염으로 인한 경우에는
초기에 대수롭지 않게 여기다가 말기에 이르러 잇몸 뼈가 파괴되고
치아가 흔들리거나 고름 등이 발생하다가 결국 잃게 되는 경우를 자주 볼 수 있는데요.


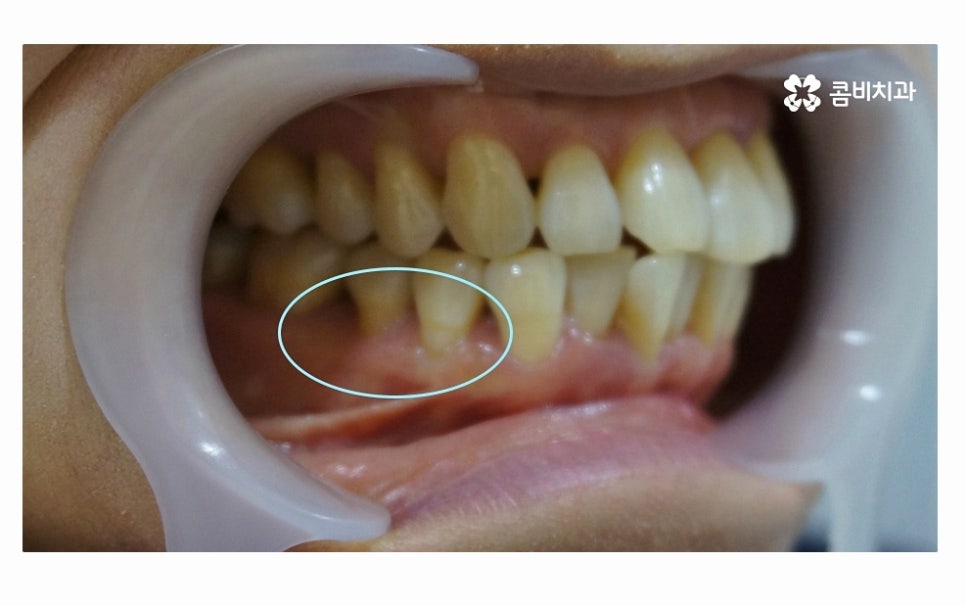
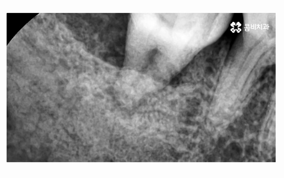
오늘 소개드릴 환자분의 케이스는 치아 상실의 요인이
잇몸질환이 심해져서 치아 뿌리까지 염증이 발생되었고
결국 어금니 발치 까지 이어진 사례라고 할 수 있는데요.
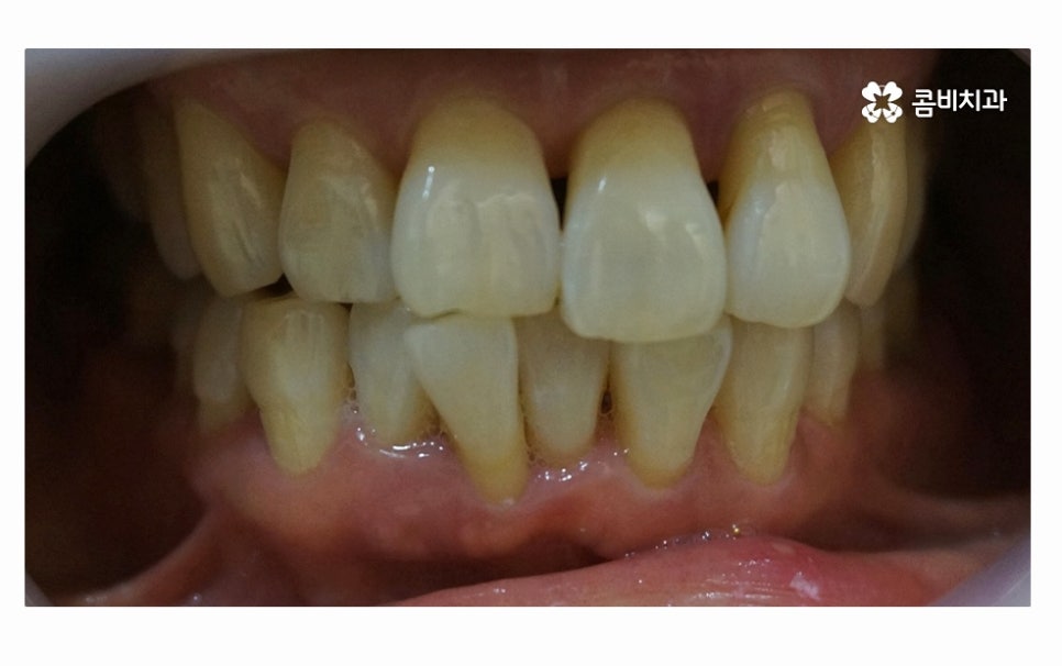
사진에서 보시는 것처럼 치아 사이에 빈 공간도 많고
잇몸이 내려앉아서 치아의 하단부도 많이 드러난 상태인데
치아를 잇몸이 제대로 감싸주지 못하고 이렇게
내려앉게 될 경우 치아도 많이 시리게 되고
치주염이 심해지는 단계에서는 치아가 흔들려서
식사도 제대로 하지 못할 정도로 어려움을 겪게 되실 수 있어요.


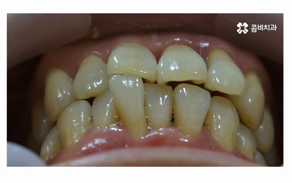
이처럼 잇몸질환이 심해지면 치아의 상실로 이어질 수 있고
잇몸이 퇴축되어 심미적으로도 좋지 않지만
충치와는 다르게 잇몸질환은 중기 혹은 말기에 이르기까지
큰 통증을 못 느끼시는 경우도 많아서 초기 치료를
제대로 하지 않고 약으로만 버티다가 뒤늦게
치과에 찾는 분들이 많으며 이렇게 어금니 발치 까지 이어질 수 있어요.


치아를 단단하게 고정해야 하는 잇몸 뼈가 치주염으로 인해
파괴되면 치아를 잃게 될 수 있는데 더 큰 문제는
잇몸에 발생한 염증이 주변 잇몸이나 턱뼈까지 손상을
줄 수 있다는 점이며 잇몸질환의 경우 초기에는
스케일링이나 청결 관리를 집중해서 하면 빠른 호전을
보이는 경우가 많지만 말기에는 치료도 어렵고
재발도 잦을 수 있기 때문에 충치만큼이나 관리가 중요하다고 볼 수 있어요.


어금니 발치까지 이어지도록 청결 관리에 악영향을 준 요소로는
평소의 식습관이나 칫솔질 부분도 컸겠지만
불규칙한 치열과 옆으로 누운 사랑니도 영향이 컸으며
주기적으로 스케일링을 잘 받으셨다면 잇몸질환을
초기에 잘 예방하고 치아 발치까지 이어지기 전에
적절한 치료가 진행되었을 텐데 주기적인 검진을 소홀한
부분도 아쉬움으로 남는 케이스라고 볼 수 있어요.

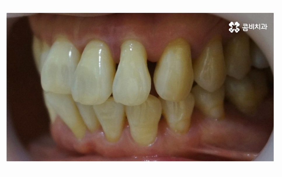
잇몸질환이 치아의 뿌리 염증까지 이어져서 어금니 발치까지
이어진 사례의 경우에는 발치 후 잇몸질환의 회복과
잇몸 뼈가 건강하게 차오르도록 각별한 주의를 기울여야 하며
필요한 경우에는 뼈이식을 진행해야 할 수 있어요.
또한 임플란트 시술 후에는 잇몸질환이 발생하지 않도록 주의해야 하는데
어금니 발치 후 임플란트를 식립하게 되면 신경이 없기 때문에
통증에 무감각해질 수 있기에 통증이나 불편함이 느껴지지 않더라도
꼭 주기적으로 치과 검진을 받는 것이 임플란트 수명을 잘 유지하고
부작용을 예방할 수 있는 방법이라고 할 수 있는데요.

어금니 발치 후 임플란트를 건강하게 식립을 한 후에는
임플란트의 저작력은 자연치아에 버금갈 정도로
우수한 편이기 때문에 치아 상실로 인한 불편함은
많은 부분 해소될 수 있지만 보다 오랜 수명을 유지하기 위해서는
질긴 음식이나 끈적이는 음식 등은 피하셔야 할 거예요.


임플란트 시술 후에는 치실 사용을 통해서 음식물이
치아 사이와 보철물에 끼지 않도록 청결 관리를 꼼꼼하게
하는 것이 좋으며 오랜 사용을 하다 보면
임플란트의 나사가 풀리거나 보철물 교체 등이 필요할 수
있기 때문에 꾸준하게 믿고 찾을 수 있는 치과의 선택 역시
중요한 부분이라고 할 수 있어요.

충치나 사고로 인해서 치아를 잃게 되는 경우에는
발치 후 즉시 식립 방식으로 임플란트를 식립하여 치료 기간이
일반적인 시술 방법에 비해서 단축 가능한 경우도 많지만
치아 뿌리 염증이 잇몸질환으로 인해 발생한 경우에는
발치와 잇몸 뼈의 회복, 뼈이식 등의 과정이 필요할 수 있으며
개인별 건강 상태도 충분히 잘 고려해야 하기 때문에
빠른 치료보다는 안전하고 건강하게 시술하는 것이 관건이라고 볼 수 있어요.
본 글은 콤비치과의 의료광고 포스팅이며
개인에 따라 출혈 및 부작용이 발생할 수 있습니다.
더 보기
이 병원의 공개 콘텐츠를 계속 살펴보세요
출처 아카이브로 돌아가 더 많은 글을 보거나, 병원 프로필로 이동해 다른 공개 채널도 함께 비교해보세요.