명동콤비치과의원 (명동)
중학생치아교정 세심하게 체크하려면
자주 하는 질문 : 치아교정의 적기는 언제일까? 교정치료를 시작하기에 좋은 시기는 크게 초등학생 1~4학년 정도로 이 시기에 비정상적인 악골의 위치 개선이 가능한 장치로 교정을 진행하는 성장 교정과 영구치가 모두 나오는 시기인 초등학생 5~6학년 혹은 중학생 시기에 많이 시작하는 브라켓 교정으로 나눌 수 있는데요....
아카이브 요약
이 페이지의 역할
명동콤비치과의원 (명동)의 네이버 블로그 원문을 보존한 아카이브 페이지입니다. 치아스토리♡ 카테고리의 중학생치아교정 세심하게 체크하려면 글을 통해 병원의 한국어 정보 제공 방식과 진료 관련 안내 톤을 확인할 수 있습니다.
자주 하는 질문 : 치아교정의 적기는 언제일까?
교정치료를 시작하기에 좋은 시기는 크게
초등학생 1~4학년 정도로 이 시기에 비정상적인 악골의
위치 개선이 가능한 장치로 교정을 진행하는 성장 교정과
영구치가 모두 나오는 시기인 초등학생 5~6학년 혹은
중학생 시기에 많이 시작하는 브라켓 교정으로 나눌 수 있는데요.
성장 교정의 경우 해당 시기를 놓치면 효과가 거의 없기 때문에
유아 시기부터 지속적으로 치아 및 교합 등을 검진해야 하며
악골 위치의 이상이 발견된다면 교정장치를 통해 치료가 가능할 수 있어요.
일반적인 치아교정은 영구치가 모두 나오는 시기부터
성인이 된 이후에도 누구나 가능하지만 일반적으로
12~13세 정도에 시작을 하는 것이 치아의 이동도 빠르고
치료 기간의 단축 및 올바른 골성장을 유도하여
결과도 좋은 편이라고 할 수 있는데요.

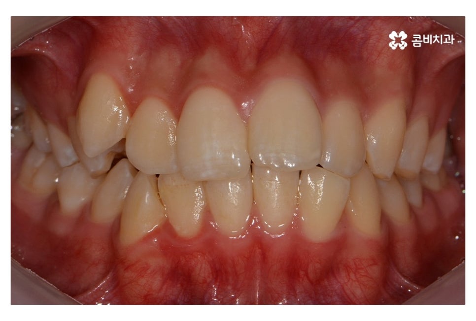
오늘 보여드릴 중학생치아교정 사례의 경우에는
악골의 위치는 정상적인 상태에서 불규칙한 치열로 인해
교정 치료를 진행한 사례라고 할 수 있어요.
사춘기가 시작되는 나이에는 치열로 인하여 외모적인
콤플렉스를 느끼는 자녀로 인해 교정치료를 고민하시는 분들도
많은데 개개인에 따라서 성장 속도와 골격 상태는 다르겠지만
일반적으로는 초등학교에서 중학교로 넘어가는 시기에
혼합치열기 혹은 영구치열 초기이기 때문에
교정치료에 적합한 시점이라고 볼 수 있는데요.



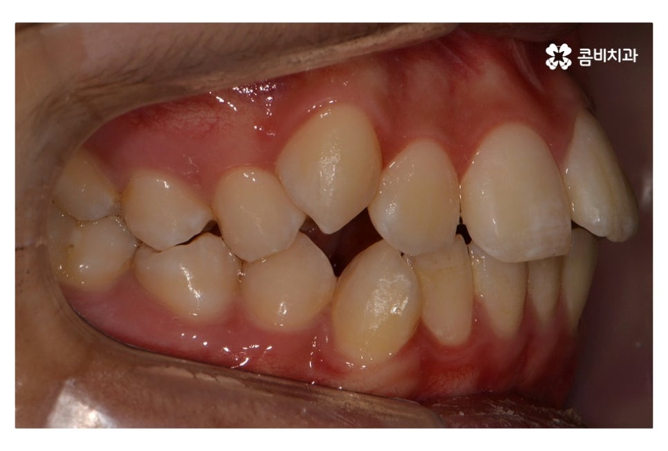
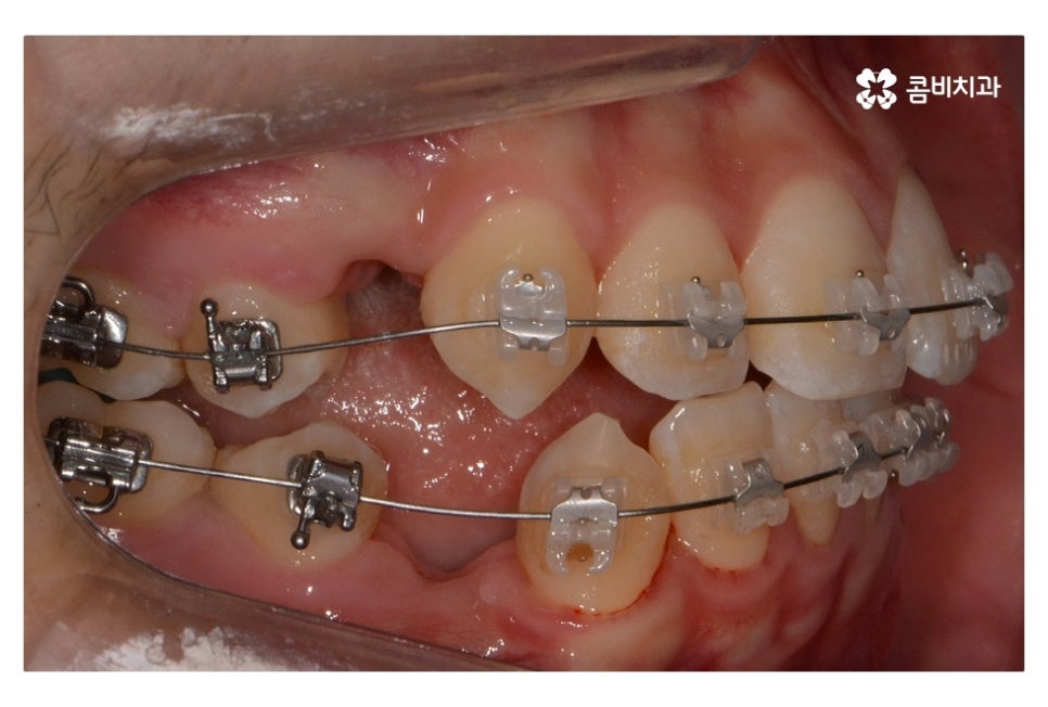
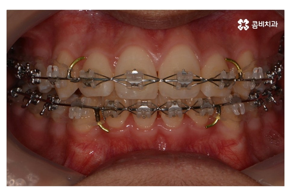
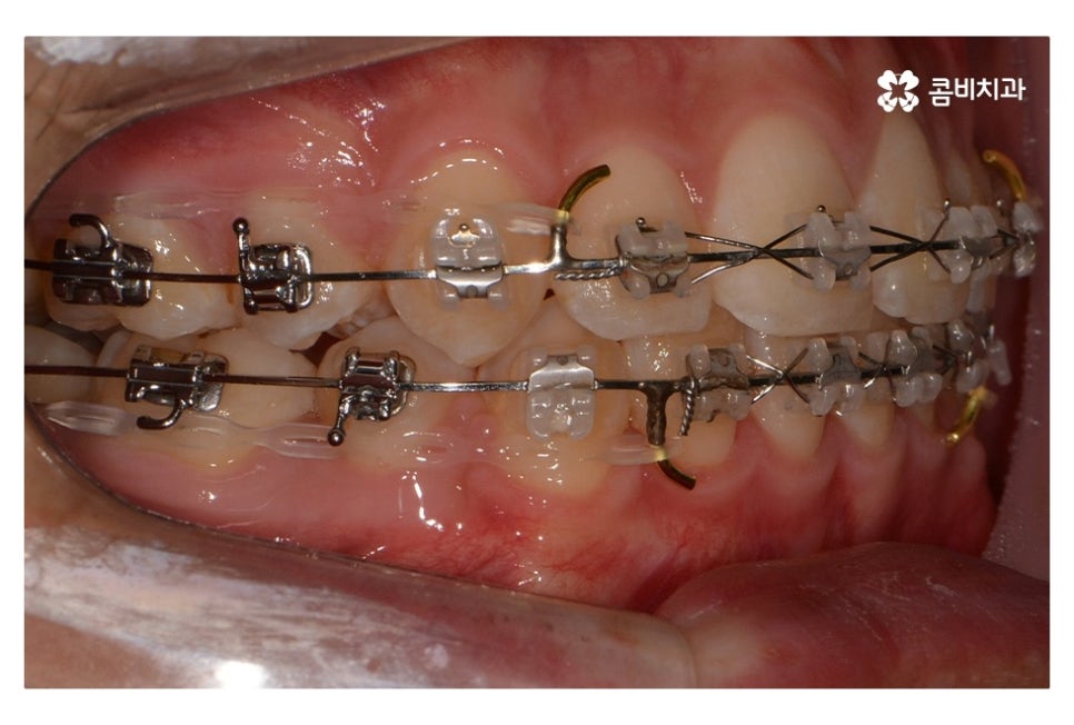
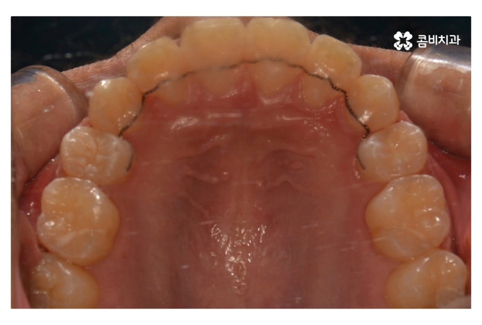
위 환자분의 경우 발치가 진행된 사례로 치아의 이동 공간을
고려할 때 발치가 필요했고 환자분도 보다 나은
심미성을 위해서 동의한 상황이라고 할 수 있어요.
중학생치아교정을 고려하실 때 발치 여부에 대한 걱정을
하실 텐데 발치의 진행은 누구에게나 해당하는 것은
아니며 개개인의 치열 상태와 치아의 이동 공간, 교합 등을
고려하여 필요한 경우에 발치가 진행될 수 있는데요.
치열과 교합에 대한 부분 외에도 치료 후 얼굴 변화도
함께 고려하여 발치의 필요성을 따져보게 되기 때문에
치료 전에 전문의에게 정확한 검진과 상담이 필요할 수 있어요.



중학생치아교정의 경우 부모님과 충분한 소통이 가능하고
스스로 치아를 관리할 수 있는 능력이 있기 때문에
부모님의 적극적인 개입까지는 필요하지 않을 수 있겠지만
아직은 장치에 대한 불편함에 대한 어려움을
느낄 나이이고 예민할 수 있기 때문에 부모님께서도
함께 배려해 주고 도와주시는 것도 중요할 수 있어요.
요즘은 성장이 빠른 경우가 많기 때문에 중학생치아교정의 경우
성장에 대한 변수가 적은 편이긴 하지만 개개인에 따라서
성장 속도 차이가 있기 때문에 교정에 대한 풍부한 경험과
노하우를 가진 의사선생님과 주기적인 소통과 점검이 필요할 수 있는데요.

함께 치료를 진행하는 원장님이 바뀌지 않고 책임 진료를
받을 수 있는지도 중학생치아교정에 있어 중요한 부분이겠고
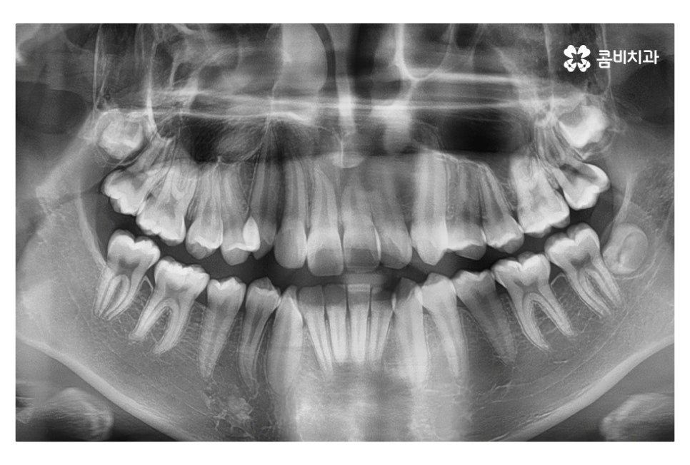
보이지 않는 부분까지 정확하게 진단하기 위해서는
3D CT 혹은 모르페우스와 같이 첨단 장비를 활용하는 것도
중요한 부분이라고 할 수 있어요.


초등학생에서 중학생 2~3학년이 될 무렵에는 치아의 뿌리는 완전히
자랐지만 턱 성장은 지속적으로 진행이 되기 때문에
치아의 이동도 빠르고 치열도 바른 방향으로 성장을
유도하기 좋으며 치료에 대한 협조 역시 잘 되는 편이라는 점에서
중학생치아교정은 치료에 적기라고 볼 수 있는데요.


고등학생의 경우에는 이미 성장으로 볼 때 성인과 크게
다르지 않은 경우가 많고 학업에도 집중해야 하는 시기이기 때문에
외모적인 콤플렉스나 자신감의 결여, 치아 건강에 대한
우려 등을 고려할 때 불규칙한 치열, 덧니 등으로 고민한다면
너무 늦지 않게 구강 검진을 받는 것이 중요할 수 있어요.

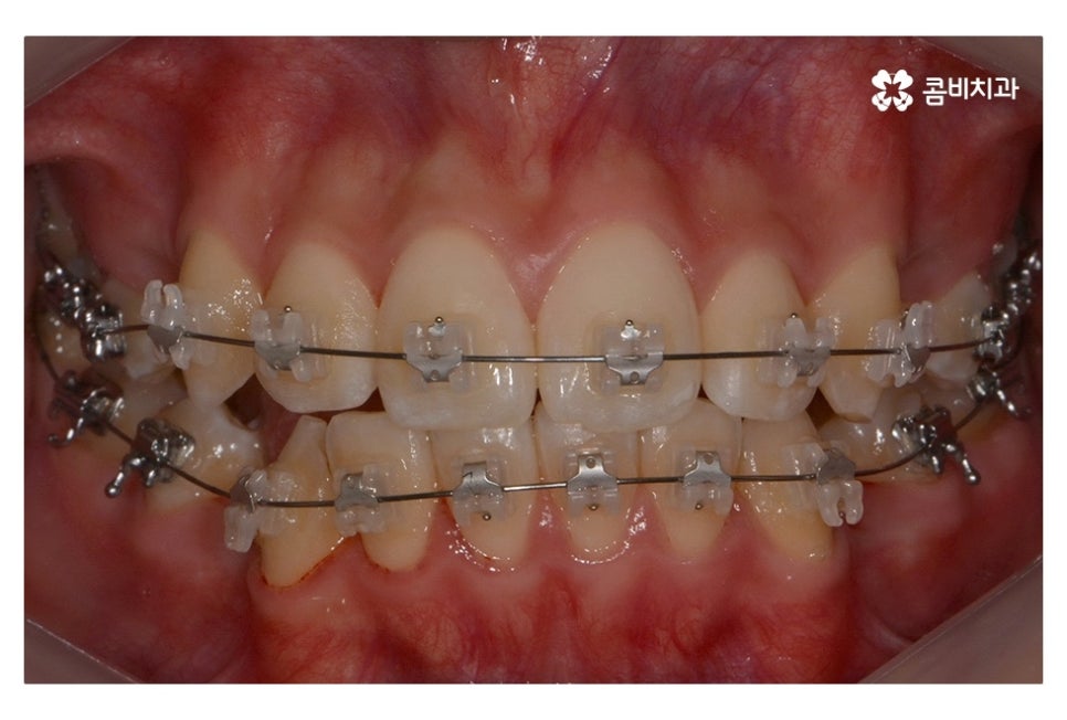
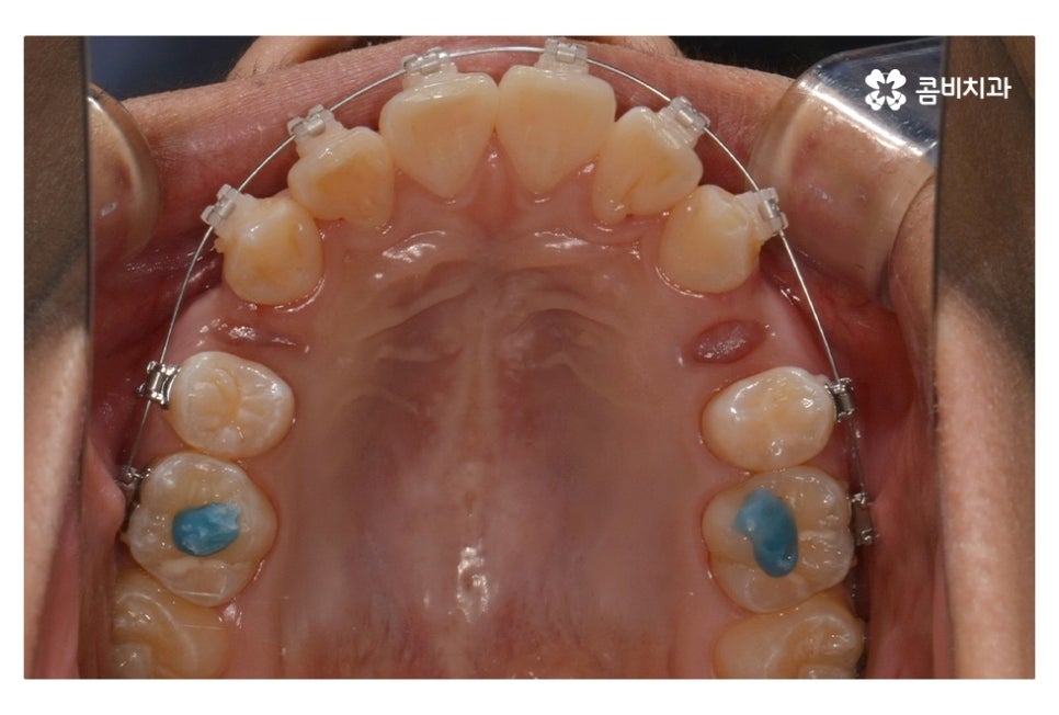
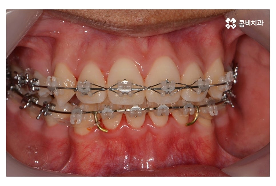
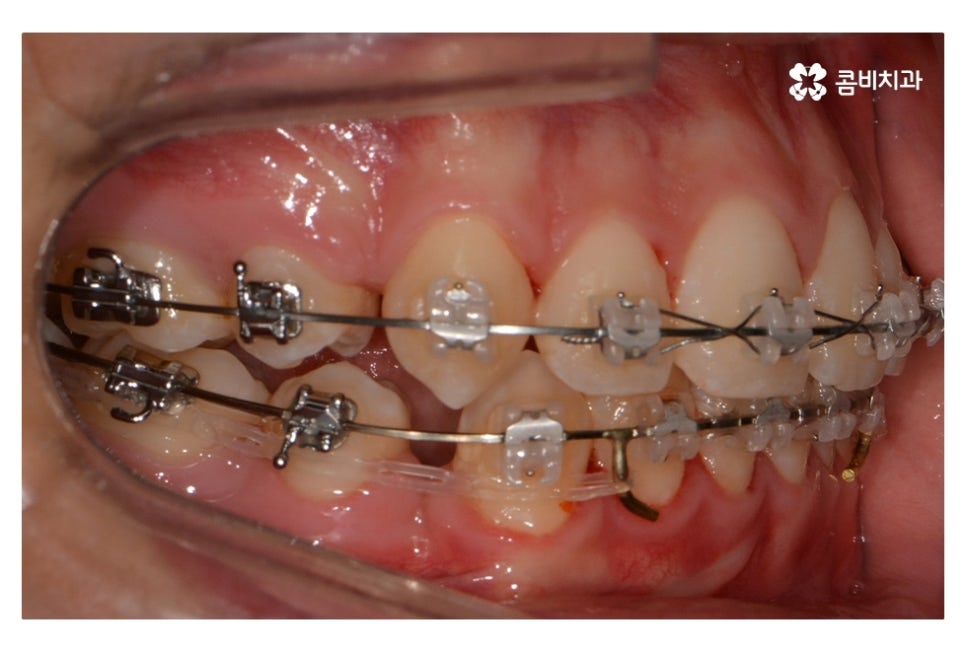
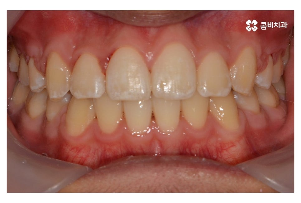
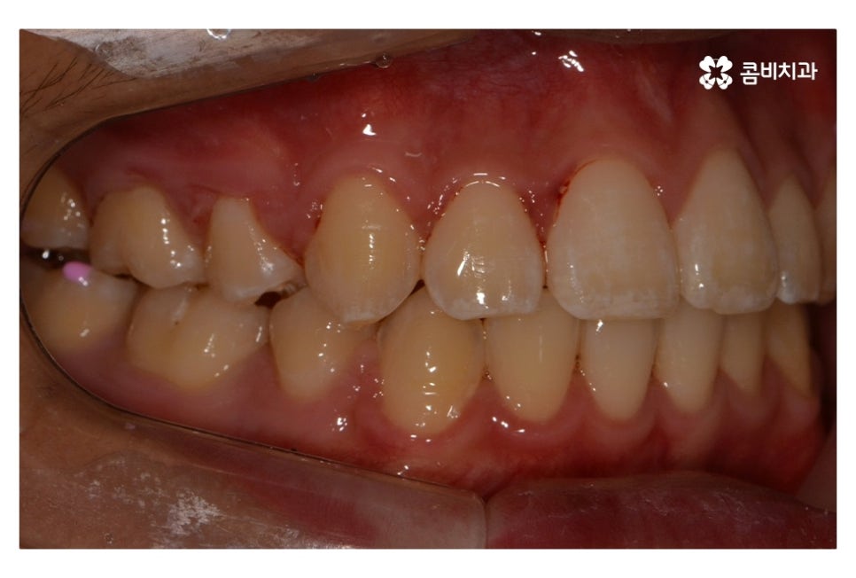
위 사진에서 보시면 시간이 지나면서 발치를 했던 치아의
공간이 사라지고 교정을 통해서 치열이 가지런해진 것을 확인할 수 있는데요.
중학생치아교정에 있어서 중요한 사항이 단지 치열만이
가지런해 보이는 것이 아닌 얼굴과의 조화와 교합이라 할 수 있어요.


보이는 치열뿐 아니라 돌출입으로 고민을 하시는 분들도
적지 않은 만큼 시술 후 결과에 있어서 얼굴 전체와의
조화를 충분히 생각해야 하며 치료 후 결과가 잘 유지되고
건강하게 치아와 잇몸이 자리 잡을 수 있도록
유지관리의 중요성도 크다고 볼 수 있어요.

중학생치아교정의 경우 적절한 시기를 놓치지 않기 위해서는
미리 계획을 하는 것이 중요하며 환자분에 따라서
1:1 맞춤형 치료가 중요한 만큼 어린 시절부터 정기적인
구강 검진을 통해 치료 시기를 잘 조율하는 것이 필수라고 할 수 있어요.
본 글은 콤비치과의 의료광고 포스팅이며
개개인에 따라 출혈 및 부작용이 발생할 수 있습니다.
더 보기
이 병원의 공개 콘텐츠를 계속 살펴보세요
출처 아카이브로 돌아가 더 많은 글을 보거나, 병원 프로필로 이동해 다른 공개 채널도 함께 비교해보세요.