명동콤비치과의원 (명동)
앞니임플란트 합리적으로 접근하려면
사람의 얼굴에서 앞니는 작은 부분이라고도 할 수 있지만 인상에서 중요한 부분을 차지하고 음식물을 잘라주는 역할과 발음에도 매우 큰 영향을 주고 있다고 볼 수 있는데요. 웃거나 대화를 할 때 앞니에 음식물이 묻어 있거나 누렇게 변색된 치아, 충치, 깨짐, 벌어짐 만으로도 신경이 쓰이게 되는데 치아 자체를 상실한 경우라면...
아카이브 요약
이 페이지의 역할
명동콤비치과의원 (명동)의 네이버 블로그 원문을 보존한 아카이브 페이지입니다. 치아스토리♡ 카테고리의 앞니임플란트 합리적으로 접근하려면 글을 통해 병원의 한국어 정보 제공 방식과 진료 관련 안내 톤을 확인할 수 있습니다.
사람의 얼굴에서 앞니는 작은 부분이라고도 할 수 있지만
인상에서 중요한 부분을 차지하고 음식물을 잘라주는 역할과
발음에도 매우 큰 영향을 주고 있다고 볼 수 있는데요.
웃거나 대화를 할 때 앞니에 음식물이 묻어 있거나
누렇게 변색된 치아, 충치, 깨짐, 벌어짐 만으로도
신경이 쓰이게 되는데 치아 자체를 상실한 경우라면
더욱더 큰 문제라고 할 수 있어요.
치아로 인한 스트레스를 장기적으로 받는다면 대인관계에
있어서 소극적인 성격으로 바뀔 수 있고 저작력이
제대로 기능을 하지 않아서 건강에도 문제가 될 수 있어요.

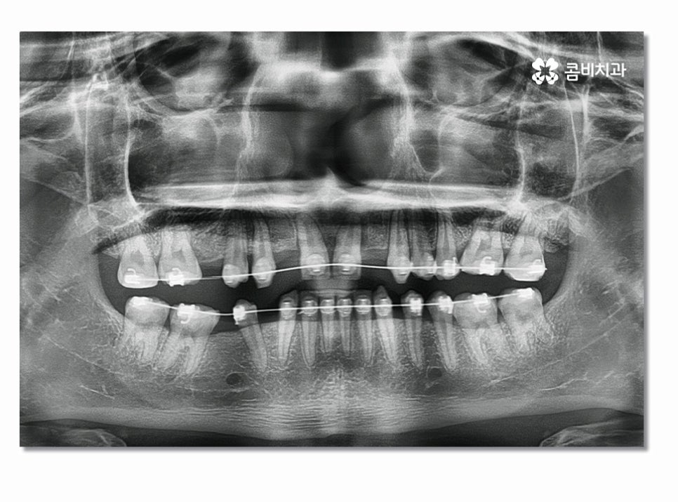
앞니의 경우 젊은 분들이라면 보통은 사고로 인해
치아를 잃게 되는 경우가 많고 충치로 인하여 상실하는 경우도 종종 있어요.
중년 이후에는 치주염이 심해져서 앞니임플란트 하게 되는 경우도
많지만 오늘 사례는 청결관리 미흡과 불규칙한 치열로
인해서 충치가 심해졌고 결국 발치 후 앞니 임플란트까지
하게 된 사례를 함께 살펴보실 거예요.


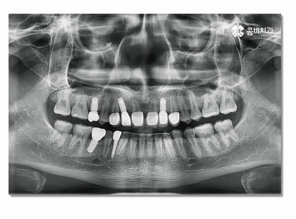
위 환자분의 경우에는 심미적으로 중요한 앞니를
잃기도 했지만 불규칙한 치열과 평소 청결관리 및 식습관의
문제가 있었고 비교적 젊은 나이에 영구치를
상실하고 이런 원인을 개선하기 위해
교정치료를 함께 병행한 케이스라고 할 수 있어요.
치아교정은 심미적인 개선을 위해서 치료를 받기도 하지만
치아의 건강을 위해서도 치료 목적을 두고 있는데요.
우리가 평생 자연치아를 건강하게 지켜야 한다는 관점으로 볼 때
불규칙한 치열과 부정교합은 빠르게 치료를 하는 편이
심미적인 개선뿐 아니라 치아 건강에도 중요할 수 있어요.


우리가 평소 치아를 느껴볼 때도 어금니에 비해
앞니가 얇고 잇몸 역시도 마찬가지라는 것을 알 수 있는데요.
앞니임플란트의 경우 어금니에 비해 시술 난이도가
높은 편인데 심미적인 부분도 중요하며 임플란트의
식립 각도, 윗니와 아랫니의 교합에 대한 이해도,
잇몸 상태, 인접 치아와 자연스러운 결과 등
다각도로 판단해야 하기 때문에 의료진의 경험과
3D CT 등을 활용한 정확한 검진이 중요하다고 할 수 있어요.

특히 위 환자분의 경우에는 앞니 올 세라믹 치료와
치아교정, 임플란트를 동시에 진행해야 했기 때문에
전체적인 조화와 치료 계획을 철저하게 세울 필요가 있었고
앞니임플란트와 함께 주변 치아가 심미적으로
자연스럽게 어울리면서 교합까지 잘 체크해야 했기 때문에
유독 여러 측면에서 섬세한 치료가 필요했다고 볼 수 있어요.


임플란트 치료의 경우 여러 치아를 대상으로 치료를 해야 하거나
위 사례와 같이 교정이 함께 진행되어야 하는 경우
각각의 치료에 대한 이해도와 경험이 풍부한 의료진에게
치료를 받는 것이 중요하며 치료 후에도 장기적인
관점에서 수명을 건강하게 유지해야 하기 때문에
꾸준히 신뢰하고 찾을 수 있는 치과 선택이 중요할 수 있어요.
앞니임플란트 시술 후에는 보철물에 과도한 힘이
가해지거나 끈적이고 질긴 음식은 피하시는 것이 좋으며
임플란트 후에는 잇몸질환을 주의해야 하기 때문에
주기적인 치석 제거를 위한 스케일링과
검진을 잊지 말고 실천하셔야 할 거예요.

특히 앞니임플란트 치료 후에는 잇몸질환으로 인해서
임플란트 주위염이나 잇몸질환으로 인한 잇몸의 흡수를
주의해야 하는데 앞니는 잇몸이 얇고 한 번 흡수된
잇몸은 다시 회복시키기 어렵기 때문에 잇몸질환에 특히
주의하시고 칫솔질과 함께 치실 사용을 필수적으로 권장하고 있어요.
앞니 임플란트 치료는 지금 당장의 치료도 중요하겠지만
자연치아 대부분의 기능을 대체한다는 점에서
건강하게 수명을 오랫동안 유지하고 부작용에 주의해야 하며
정품 사용 및 장기간 사용을 하면서 발생할 수 있는
사후관리까지 고려하여 검진부터 유지관리까지
체계적인 계획을 세우는 것이 중요하다고 할 수 있어요.
본 글은 콤비치과의 의료광고 포스팅이며
개인에 따라 출혈 및 부작용이 발생할 수 있습니다.
더 보기
이 병원의 공개 콘텐츠를 계속 살펴보세요
출처 아카이브로 돌아가 더 많은 글을 보거나, 병원 프로필로 이동해 다른 공개 채널도 함께 비교해보세요.