명동콤비치과의원 (명동)
신경치료 후 크라운 시기를 놓치지 않으려면
치아가 시리거나 가끔씩 통증을 느꼈지만 일시적인 증상 정도로 여기다가 뒤늦게 통증이 심해져서 치과에 오는 경우가 많이 있는데요. 매년 스케일링을 꾸준히 받는 분들도 나날이 늘고 있지만 여전히 치과는 치아가 아플 때 가는 곳이라는 인식을 갖고 있는 분들도 많기 때문에 오늘은 왜 충치가 깊어지기 전에 빠르게 치료해...
아카이브 요약
이 페이지의 역할
명동콤비치과의원 (명동)의 네이버 블로그 원문을 보존한 아카이브 페이지입니다. 치아스토리♡ 카테고리의 신경치료 후 크라운 시기를 놓치지 않으려면 글을 통해 병원의 한국어 정보 제공 방식과 진료 관련 안내 톤을 확인할 수 있습니다.
치아가 시리거나 가끔씩 통증을 느꼈지만 일시적인 증상 정도로
여기다가 뒤늦게 통증이 심해져서 치과에 오는 경우가 많이 있는데요.
매년 스케일링을 꾸준히 받는 분들도 나날이 늘고 있지만
여전히 치과는 치아가 아플 때 가는 곳이라는 인식을
갖고 있는 분들도 많기 때문에 오늘은 왜 충치가
깊어지기 전에 빠르게 치료해야 하는지 알아볼 거예요.
우리의 치아는 겉 부분에 법랑질과 상아질로 이뤄져 있고
내부에는 신경과 혈관이 합쳐진 연조직이 있는데
이를 치수라고 부르고 있어요.

충치가 심해지거나 치아가 외부 충격으로 깨져서
치수까지 균이 발생하거나 신경에 문제가 생겨
염증이 발생하면 통증이 극심해지고
흔히 신경치료 후 크라운을 씌운다고 표현되는
치료 과정을 거쳐야 할 수 있는데요.

치수염이 한 번 발생하게 되면 자연 치유가 불가능하기 때문에
신경을 제거하는 과정을 거쳐야 하는데
충치와 함께 신경 조직을 말끔하게 제거하고 소독을 한 후에
GP cone 또는 MTA라는 치과 재료를 채워넣고 Core(레진,GI,아말감 등)로
밀봉하고 크라운을 씌우게 되며
이러한 과정을 정확한 명칭으로는 근관치료라고 부르고 있어요.


많은 환자분들께서 충치가 의심이 될 때
신경치료만큼은 피하고 싶다는 생각을 하시는 분들이 많은데
그 이유는 환자 개개인에 따라서 통증에 대한 예민함은
다소 차이가 있겠지만 신경을 제거하는 과정에서
통증을 크게 느끼시는 분들도 계시고 치료 후 바로 크라운을
씌우는 게 아닌 신경을 제거하고 치료가 잘 되었는지 확인하는
과정을 거쳐야 하기 때문에 치과에 약 3~4번 정도 방문을 해야 한다는 불편함도 있어요.

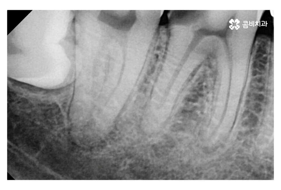
위 사진은 신경을 제거한 후 치과용 재료(GP cone)로 채워 넣은 상태인데
신경치료 후 크라운 치료를 하는 과정은
치아의 신경관을 찾아 미세한 신경 조직을 깨끗하게 제거해야 하며
자연치아를 살리는 중요한 단계라고 볼 수 있어요.
이때 신경이나 염증 등을 깨끗하게 제거하지 않는다면
재신경치료를 해야 할 수 있기 때문에 신경치료에 대한
풍부한 경험과 실력, 세심한 치료가 중요하다고 할 수 있는데요.

신경치료 후 크라운을 씌우는 과정이 잘 진행된 경우
자연치아의 수명을 수년간 문제없이 지키는 경우도 많지만
남아 있는 자연치아가 많지 않거나 테두리가 깨질 우려가
있는 경우에는 포스트(기둥)를 세워서 치료를 진행할 수 있으나
증상이 심한 경우 자연치아를 살리지 못하고
발치를 해야 하는 경우도 있어요.
남아 있는 치아가 깨지거나 금이 가는 등의 문제가
발생하면 치아를 발치해야 하는 상황에 이르기 때문에
신경치료 후 크라운 치료 과정은 자연치아를 살리는
중요한 단계라고 할 수 있는데요.
크라운 치료를 하는 이유는 약해진 치아를 보호하려는 목적과
함께 저작력을 회복하기 위함이며 크라운에 쓰이는
재료는 내구성이 좋은 금이나 지르코니아가 많이 쓰이고 있어요.

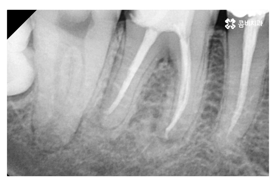
같은 환자분의 사진인데 좌측 치아의 경우 신경치료 후 크라운으로
마무리를 했지만 우측 어금니의 경우 치아의 대부분이
손상이 되어 결국 발치 후 임플란트를 하게 된 사례라고 할 수 있는데요.

신경치료는 자연치아를 살릴 수 있는 마지막 치료방법으로
신경치료를 진행할 수 없는 경우 발치 후 임플란트를 해야 하기 때문에
치아가 시리거나 통증이 생겼다면 빠르게 치과에서 검진부터 받기를
권해드리고 싶고 신경치료 후 크라운을 씌우면 감각이
둔해지고, 자연치아에 비해 음식물이 잘 끼면서 잇몸질환이
발생하기 쉽기 때문에 정기적으로 치과에 방문하셔서 검진과
스케일링을 받는 것이 중요할 수 있어요.
요즘은 20,30대에도 충치로 인해 치아를 잃고
임플란트를 하게 되는 경우도 늘고 있고
임플란트는 최후의 수단이라는 점을 감안할 때
신경치료를 잘하는 것이 보다 경제적이고
자연치아를 살릴 수 있는 방법임을 명심해야 할 거예요.
본 글은 콤비치과의 의료광고 포스팅이며
개인에 따라 출혈 및 부작용이 발생할 수 있습니다.
더 보기
이 병원의 공개 콘텐츠를 계속 살펴보세요
출처 아카이브로 돌아가 더 많은 글을 보거나, 병원 프로필로 이동해 다른 공개 채널도 함께 비교해보세요.