명동콤비치과의원 (명동)
콤비교정 합리적으로 판단하려면
우리가 흔히 치아교정의 목적에 대해서 생각할 때 치열이 삐뚤빼뚤 하거나 덧니를 먼저 떠올리게 되는 경우가 많지만 치아의 배열 자체는 가지런한 편이라고 하더라도 부정교합에 해당하는 경우가 있으며 치아교정의 대상이 될 수 있는데요. 오늘 보시는 콤비교정 치료 케이스가 그러한 경우에 해당하며 정면으로 치열을 볼 때는...
아카이브 요약
이 페이지의 역할
명동콤비치과의원 (명동)의 네이버 블로그 원문을 보존한 아카이브 페이지입니다. 치아스토리♡ 카테고리의 콤비교정 합리적으로 판단하려면 글을 통해 병원의 한국어 정보 제공 방식과 진료 관련 안내 톤을 확인할 수 있습니다.
우리가 흔히 치아교정의 목적에 대해서 생각할 때
치열이 삐뚤빼뚤 하거나 덧니를 먼저 떠올리게 되는 경우가 많지만
치아의 배열 자체는 가지런한 편이라고 하더라도
부정교합에 해당하는 경우가 있으며 치아교정의 대상이 될 수 있는데요.

오늘 보시는 콤비교정 치료 케이스가 그러한 경우에 해당하며
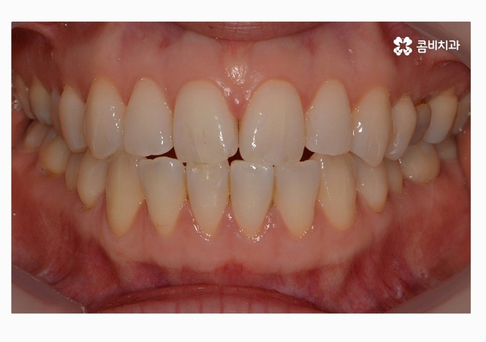
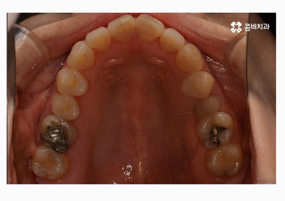
정면으로 치열을 볼 때는 비교적 가지런한 편으로
보이지만 자세히 보면 부정교합에 해당한다는 것을 알 수 있어요.
정상교합은 어금니가 맞닿아 있는 상태에서 윗니가 아랫니를
살짝 덮고 있기 때문에 식사를 할 때 음식물을 앞니가
잘라주고 저작기능을 온전하게 수행할 수 있지만
아랫니가 정상보다 좀 더 앞으로 나온 경우에는 교합이
제대로 맞물리지 않아서 식사가 어려울 수 있는데요.
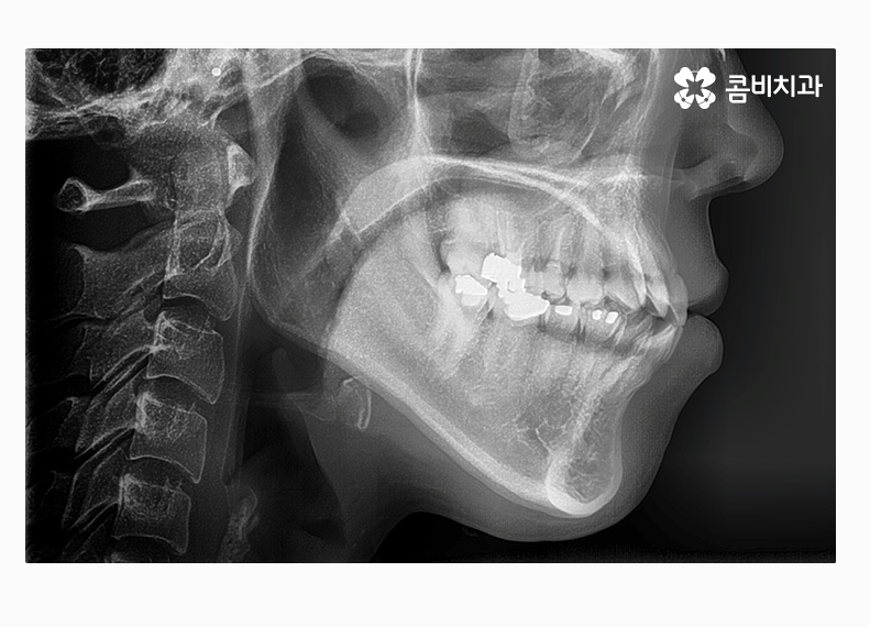
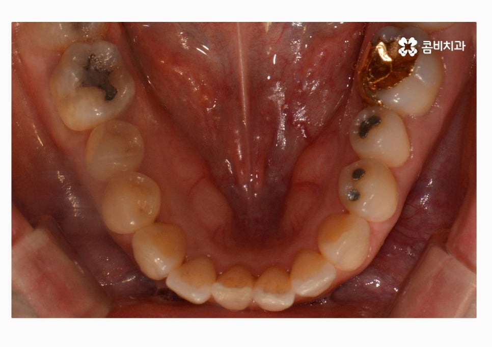
부정교합의 종류도 다양하지만 오늘 보시는 케이스의 경우
절단교합 + 3급부정교합에 해당하며 아랫니가 과하게 앞으로
돌출된 경우에는 치열뿐 아니라 주걱턱과 같이
얼굴형에도 영향을 줄 수 있어요.


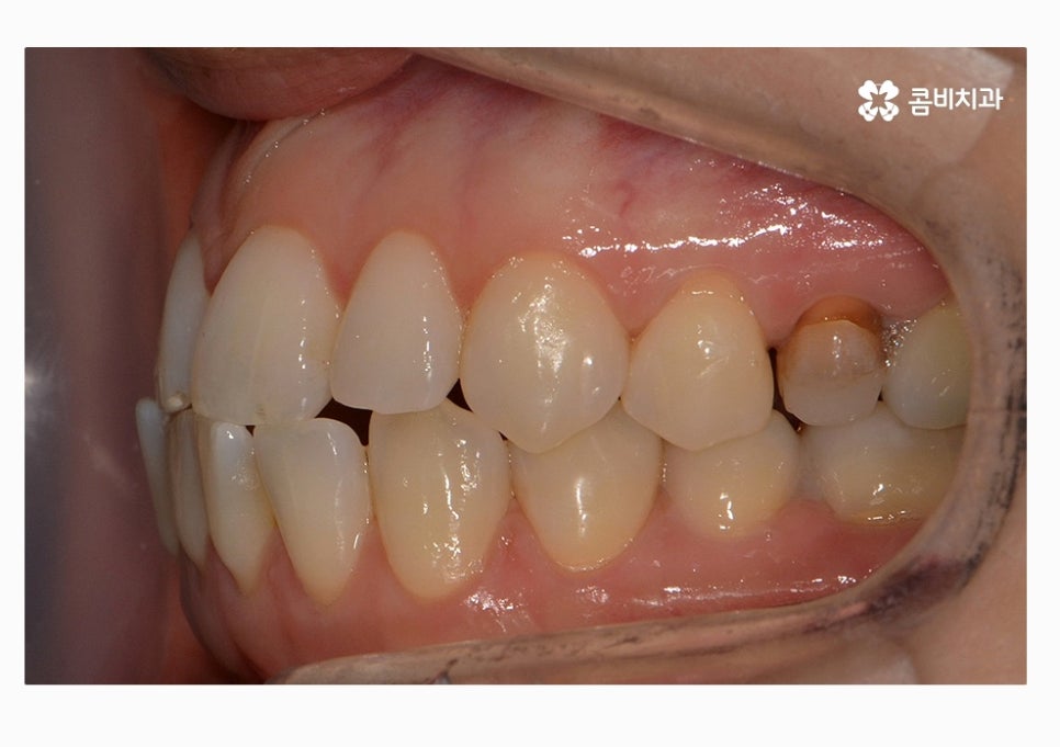
치열 사진을 볼 때 정면보다는 옆모습으로 볼 때
아래 어금니가 위 어금니보다 앞으로 나와있고
앞니 교합이 제대로 맞물리지 않는다는 것이 눈에 띄게 나타나는데
치아교정은 이처럼 단편적인 부분을 보고 치료 계획을
세우는 것이 아닌 3차원적으로 진단하고 얼굴과의
조화 역시도 중요하게 바라봐야 할 수 있어요.


부정교합을 갖고 있는 분들의 경우 식사를 할 때마다
불편함을 느낄 수 있는 부분과 함께 심미적인 부분에서
콤플렉스를 느끼거나 발음이 새는 경우가 있으며
청결 관리가 제대로 되지 않아서 충치 및 잇몸질환이
발생할 가능성이 높아질 수 있는데요.
그리고 나이가 들수록 소화불량에 시달리거나
턱관절 질환에 시달리는 경우도 많으니 부정교합은
성장기에 적절한 치료를 받는 것이 좋으며
성인 이후에는 치아교정이나 수술을 병행하여
치료를 하는 것이 전신 건강을 위해서도 필요할 수 있어요.


실제로도 부정교합을 오랫동안 겪으신 분들의 경우
턱관절 질환에 시달리시는 분들이 많고
치아끼리 부딪히면서 시간이 지남에 따라 치열이 더 틀어지거나
구강 관리가 잘되지 않아서 충치나 치주질환이
발생할 가능성이 높아지는 경우를 많이 볼 수 있어요.
이처럼 부정교합은 치아와 전신 건강에 밀접하다는 점을
먼저 알아두시는 것이 좋으며 또 한 가지
중요한 점은 돌출입이나 주걱턱과 같이 얼굴형에도
많은 영향을 준다는 점이라고 할 수 있는데요.
눈에 띄는 주걱턱이나 돌출입을 개선하면 개개인마다 차이가 있지만
얼굴에 큰 변화를 줄 수 있는데 꼭 치열의 불규칙함이
심하지 않은 분들도 교합 문제로 치아교정을 고민하신다면
얼굴 변화도 함께 생각해야 할 부분이라고 할 수 있어요.

성인 이후에 치아교정을 시작할 때 직업상의 이유 등으로
웃을 대 티가 안 나게 교정하기를 원하시는 분들이 많은데
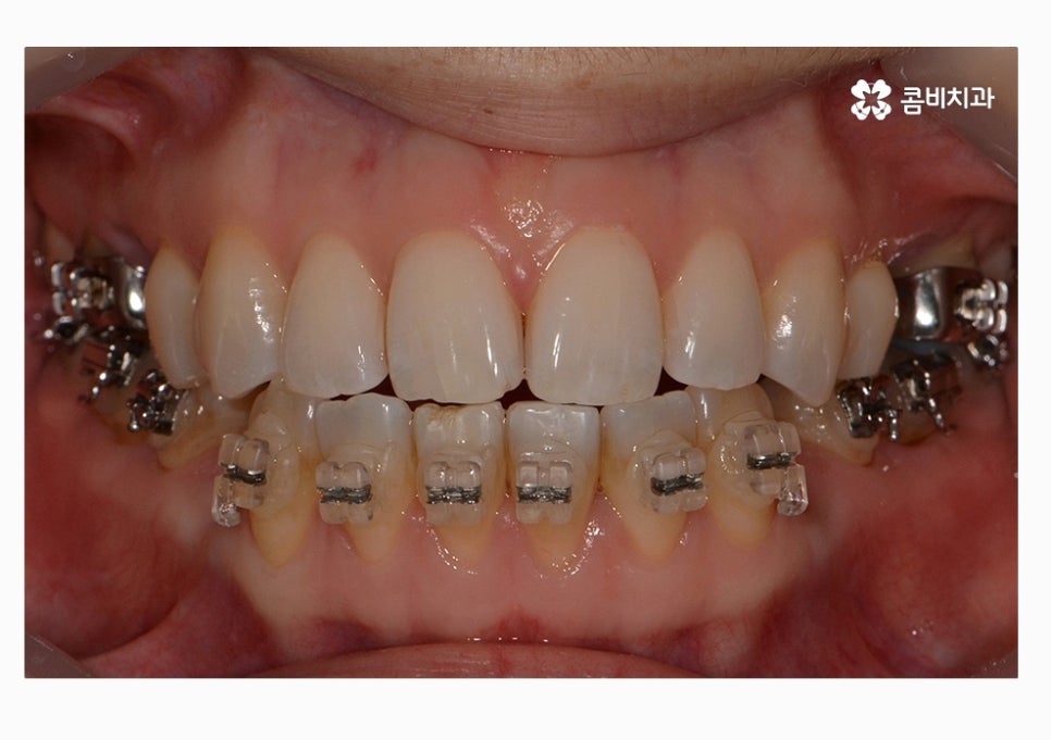
오늘 소개드릴 환자분의 경우 부정교합을 치료하는 방법으로
콤비교정이 활용된 사례라고 할 수 있는데요.
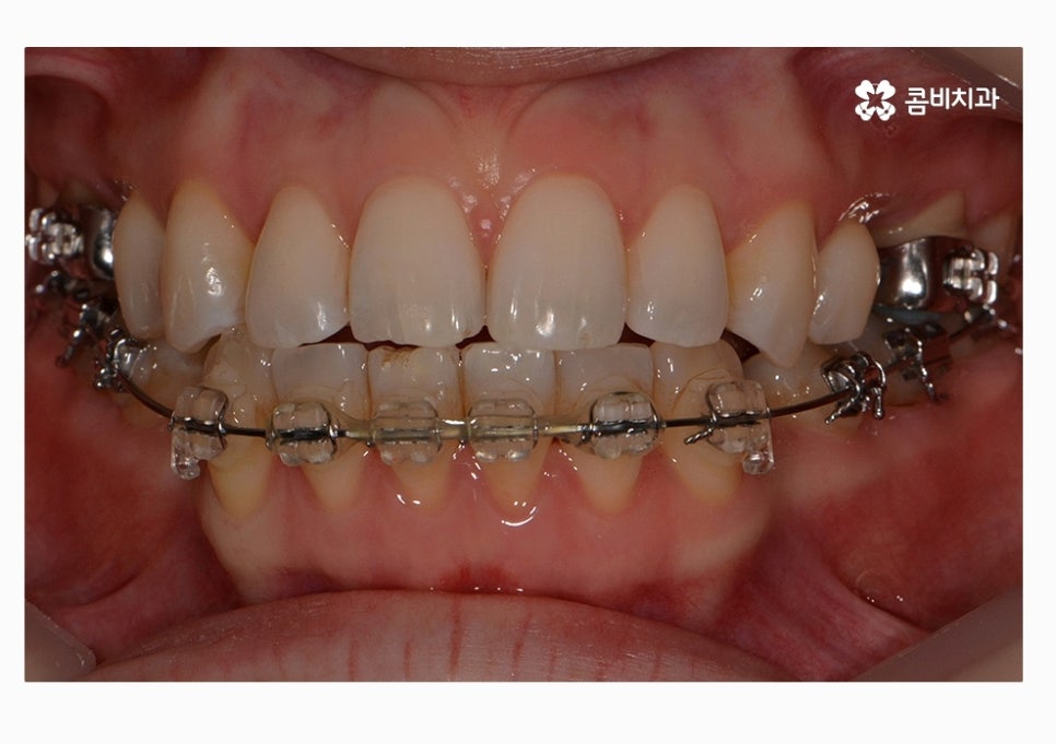
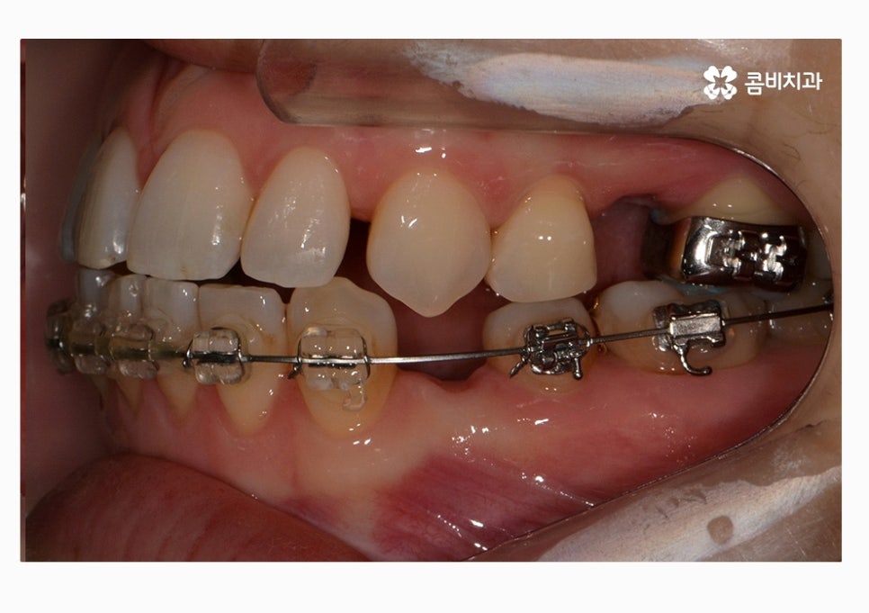
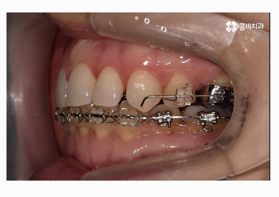
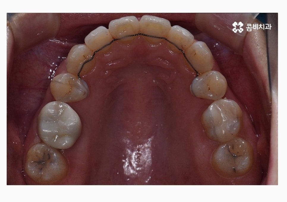
콤비교정은 윗니는 치아의 안쪽에 교정기를 부착하고
아랫니는 치아의 바깥쪽에 장치를 부착하는 방법으로
크게 웃지 않는다면 평소에는 잘 티가 안 나는
심미적으로 우수한 교정 방법이라고 할 수 있어요.

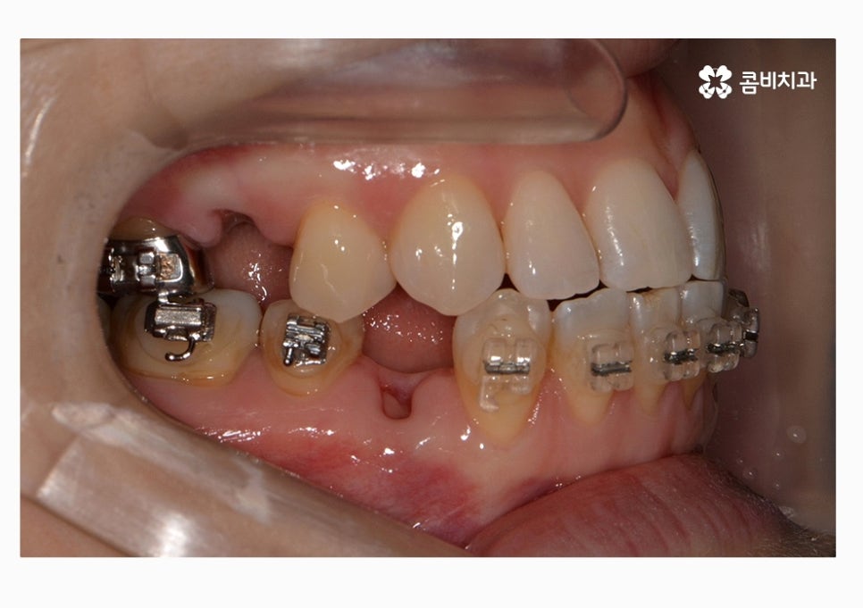
이번 케이스의 환자분의 경우에는 3급 부정교합과 절단교합을 치료하기 위해서
콤비교정을 시작하기 전에 발치를 먼저 진행하였는데
치아교정을 진행하면서 발치는 치아의 이동 공간을 확보하기
위한 목적으로 필요에 의해 선택적으로 진행될 수 있어요.
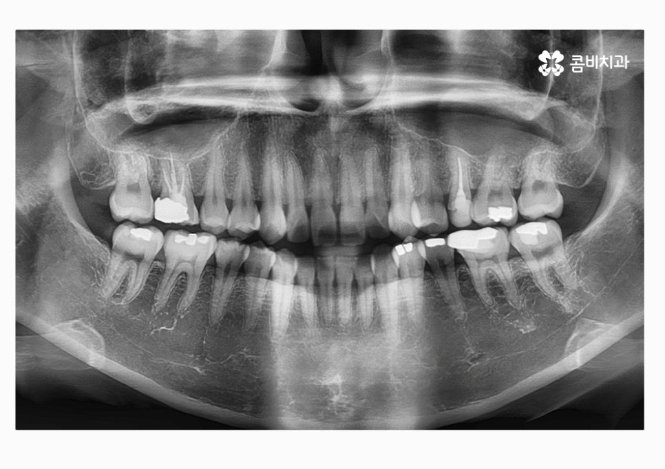
부정교합 환자분의 경우 부정교합의 원인이 치아 혹은 골격적인
부분인지 정확한 파악을 먼저 해야 하며 비발치, 비수술적인
방법으로 치료가 진행될 수도 있고 반대로 발치와 수술이 함께
병행될 수 있으니 치료 과정은 개인차가 있다고 볼 수 있는데요.


특히 돌출입이나 주걱턱이 심한 분들이나 환자 본인께서
원하는 결과에 따라서 치료 계획은 달라질 수 있으니
개개인에게 적합한 방법은 전문의와 정확한 검진과
상담 후에 알아보시고 개인 차가 있을 수 있어요.

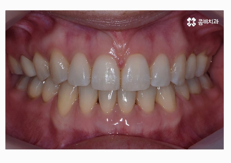
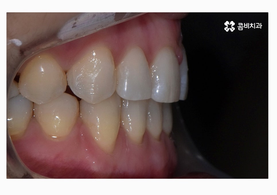
위 환자분의 경우에는 콤비교정의 치료 경과를 보면
아랫니가 정상교합이 되었고 치열도 보다 가지런하게
변화되고 있음을 알 수 있는데요.


콤비교정을 선택하시는 분들 중에서는 이처럼 치열과 함께
부정교합을 개선하고자 하시면서 직업적인 이유 등으로
교정 장치가 잘 보이지 않길 원하시는 분들에게 선호되고 있어요.
콤비교정의 또 하나의 장점은 윗니, 아랫니 모두
설측으로 치료를 진행하는 것에 비해 비용적인 절감이 가능하며
아랫니는 순측으로 교정이 진행되기 때문에 발음이
수월하고 이물감이 덜하다는 장점이 있는데요.

콤비교정은 심미성과 함께 기능적인 부분에서도 장점이 있지만
윗니와 아랫니의 치아 교정 방법이 다르기 때문에
해당 치료에 대한 숙련도와 경험이 풍부한 의사에게
치료받는 것이 중요하며 치료 결과가 잘 유지되도록
사후관리까지 철저한 곳인지 잘 파악해야 할 거예요.


치아교정에 대해서 원하지만 아직 여러 이유로 망설이고 있다면
자신의 치아 상태를 정확하게 먼저 검진하시고
원하는 치료 방법과 시술 후 결과 등을 의사와 잘 상의해보셔야 하며
치료가 끝난 후에도 사후관리까지 잘해야 하기 때문에
오랫동안 함께 할 수 있는 치과 선택도 중요한 부분이라고 할 수 있어요.
위 케이스는 총 1년 9개월 정도의 치료 기간이 소요되었으며,
개개인마다 치료 결과와 기간은 차이가 있을 수 있습니다.
본 글은 콤비치과의 의료광고 포스팅이며
개인에 따라 출혈 및 부작용이 발생할 수 있습니다.
더 보기
이 병원의 공개 콘텐츠를 계속 살펴보세요
출처 아카이브로 돌아가 더 많은 글을 보거나, 병원 프로필로 이동해 다른 공개 채널도 함께 비교해보세요.