명동콤비치과의원 (명동)
부분매복사랑니 언제 뽑아야 할까
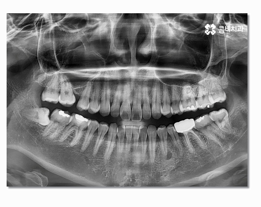
치아 중에서도 사랑니는 가장 안쪽에 자리하며 성인이 될 무렵에 나오기 시작하기 때문에 치아가 정상적인 위치와 방향으로 자라는지 20살 전후에는 꼭 확인이 필요할 수 있는데요. 눈에 보이지 않는다고 하더라도 사랑니가 매복되어 있는 경우도 많기 때문에 치과에서 정확한 검진을 통해서 몇 개의 치아가 어떻게 자라고 있...
아카이브 요약
이 페이지의 역할
명동콤비치과의원 (명동)의 네이버 블로그 원문을 보존한 아카이브 페이지입니다. 치아스토리♡ 카테고리의 부분매복사랑니 언제 뽑아야 할까 글을 통해 병원의 한국어 정보 제공 방식과 진료 관련 안내 톤을 확인할 수 있습니다.
치아 중에서도 사랑니는 가장 안쪽에 자리하며
성인이 될 무렵에 나오기 시작하기 때문에
치아가 정상적인 위치와 방향으로 자라는지
20살 전후에는 꼭 확인이 필요할 수 있는데요.
눈에 보이지 않는다고 하더라도 사랑니가 매복되어
있는 경우도 많기 때문에 치과에서 정확한
검진을 통해서 몇 개의 치아가 어떻게 자라고 있는지
확인하고 주기적인 체크가 필수적이라고 할 수 있어요.

사랑니는 정상적인 방향과 위치에서 자란 경우라면
당장 급하게 발치를 할 필요는 없지만
사랑니가 충치나 잇몸질환의 원인이 되고 있거나
누워서 자라는 경우, 어금니 및 턱뼈 등의 손상 우려가
있기 때문에 예방적인 차원에서 발치를 해야 하는 경우도 있어요.
오늘은 부분매복사랑니에 대한 주제로 이야기를 해볼까 하며
부분매복사랑니는 이름 그대로 사랑니가 정상적으로
맹출이 된 것은 아니지만 잇몸 밖으로 부분적으로
나와 있는 상태를 의미하고 있어요.

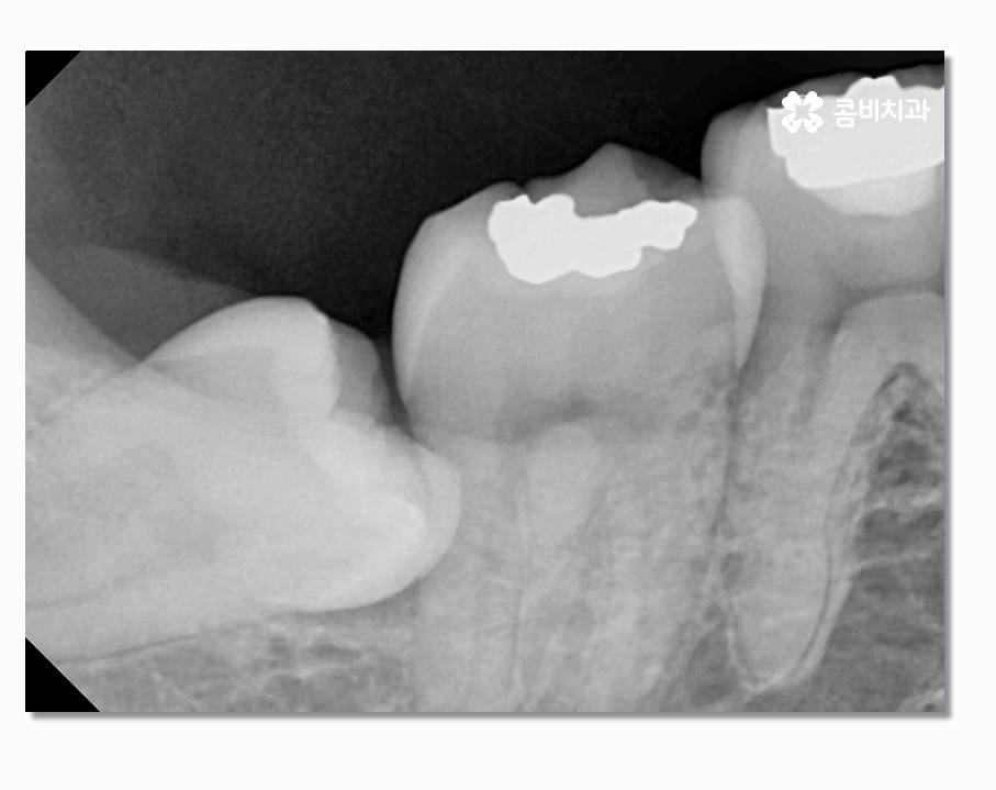
보시는 것처럼 부분매복사랑니의 경우 음식물이 끼기 쉽고
치석이 쌓이기 쉽지만 칫솔질은 어렵기 때문에
충치가 발생하여 어금니까지 함께 손상되거나
특히 잇몸질환이 발생하는 경우가 많다고 할 수 있는데요
사랑니 주변 잇몸 상태가 악화되어 치주염으로 이어지는 경우가
상당히 많은데 기본적으로는 양치가 잘되지 않아서 쌓인 치석으로 인해
치주질환에 시달리는 경우도 많지만 부분매복사랑니 처럼
치아의 상태로 인해서 염증이나 잇몸질환에 시달리는 경우도 있으므로
문제가 심해지기 전에 발치를 고려해야 할 수 있어요.

부분매복사랑니의 경우 치아가 반쯤만 잇몸 위에 맹출 되어 있어서
충치 및 잇몸질환을 일으키기도 하지만 누워서 자라는 형태인
경우도 많은데 이경우 어금니 사이에 충치를 발생시키거나
어금니를 녹게 만드는 경우도 있기 때문에 어금니 손상을 방지하기
위해서라도 발치를 서둘러야 하는 경우가 있어요


사랑니에 대해서 통증이 당장 심하지 않다고 하더라도
발치를 서둘러야 할 수 있는 이유는 어금니 손상을 방지하기 위한 목적도
있고 당장 겉모습 만으로는 파악이 어렵다는 점과
시술 후 회복을 고려하더라도 잇몸이 붓거나 염증이 심해지기 전에
문제가 예상될 경우 늦지 않게 발치를 해야 할 수 있어요.
개인이 자신의 사랑니 상태에 대해서 눈으로만 파악하기는 어렵기 때문에
평소에 통증이나 주변 잇몸 상태를 잘 체크할 필요가 있고
꼭 주기적으로 스케일링과 검진을 하여 발치 시기를 의사와 잘 상의할 필요가 있는데요.

부분매복사랑니의 경우 치아가 완전하게 맹출이 되어 있지 않기
때문에 주변 잇몸이 더욱 붓기 쉽고 염증으로 이어지는 경우가 많겠고
정상적인 사랑니라고 하더라도 치아의 가장 안쪽에 자라있는 만큼
관리가 어려워 치석으로 인한 충치, 잇몸질환, 입 냄새 등
구강질환이 발생하기 쉬운 구조라고 할 수 있어요.

사랑니는 겉으로 보이는 것과 X Ray로 살펴보는 것이
큰 차이가 있으며 사랑니의 위치와 맹출 형태, 크기 등에 따라서
발치의 과정부터 시술 난이도의 차이가 있기 때문에
발치를 하기 좋은 시기부터 회복까지 고려하여 시술에 대한
다양한 케이스를 겪어보고 풍부한 임상 경험 및 실력을
갖춘 의료진에게 시술을 받는 것이 바람직하다고 할 수 있어요.

사랑니 주변 잇몸이 자주 붓는다면 꼭 사랑니 상태를
치과에서 검진받아보시는 것이 좋으며 잇몸질환은 초기에는
큰 통증을 못 느끼는 경우가 많지만 치주염으로 이어지면
잇몸뿐 아니라 치아 건강에도 악영향을 줄 수 있기 때문에
작은 불편함을 느끼더라도 예방에 초점을 두는 것이 바람직하다고 할 수 있어요.
본 글은 콤비치과의 의료광고 포스팅이며
개인에 따라 출혈 및 부작용이 발생할 수 있습니다
더 보기
이 병원의 공개 콘텐츠를 계속 살펴보세요
출처 아카이브로 돌아가 더 많은 글을 보거나, 병원 프로필로 이동해 다른 공개 채널도 함께 비교해보세요.