명동콤비치과의원 (명동)
30대임플란트 향후 미래를 바라본다면
보통 치아를 잃게 되어 임플란트를 하는 연령대는 노년층이라고 생각하기 쉽지만 20, 30대임플란트 환자분들이 크게 늘고 있는데요. 그 이유는 달거나 자극적인 음식을 자주 섭취하는 경우, 음주나 흡연 등의 영향도 많이 받으며 스케일링을 잘 받지 않는 경우, 불규칙한 치열 등 다양한 이유로 치아의 수명이 짧아지고 있어요....
아카이브 요약
이 페이지의 역할
명동콤비치과의원 (명동)의 네이버 블로그 원문을 보존한 아카이브 페이지입니다. 치아스토리♡ 카테고리의 30대임플란트 향후 미래를 바라본다면 글을 통해 병원의 한국어 정보 제공 방식과 진료 관련 안내 톤을 확인할 수 있습니다.
보통 치아를 잃게 되어 임플란트를 하는 연령대는
노년층이라고 생각하기 쉽지만 20, 30대임플란트 환자분들이
크게 늘고 있는데요. 그 이유는 달거나 자극적인 음식을
자주 섭취하는 경우, 음주나 흡연 등의 영향도 많이 받으며
스케일링을 잘 받지 않는 경우, 불규칙한 치열 등
다양한 이유로 치아의 수명이 짧아지고 있어요.
젊은 층의 경우 치아를 잃게 되었을 때 임플란트 치료를
받는 것이 노년층에 비해서 수월한 경우가 많은 것은
사실이지만 30대임플란트 받는 분들도 잇몸 뼈가 부족하거나
잇몸질환과 염증이 심한 경우에는 식립에 어려움을 겪을 수 있는데요.

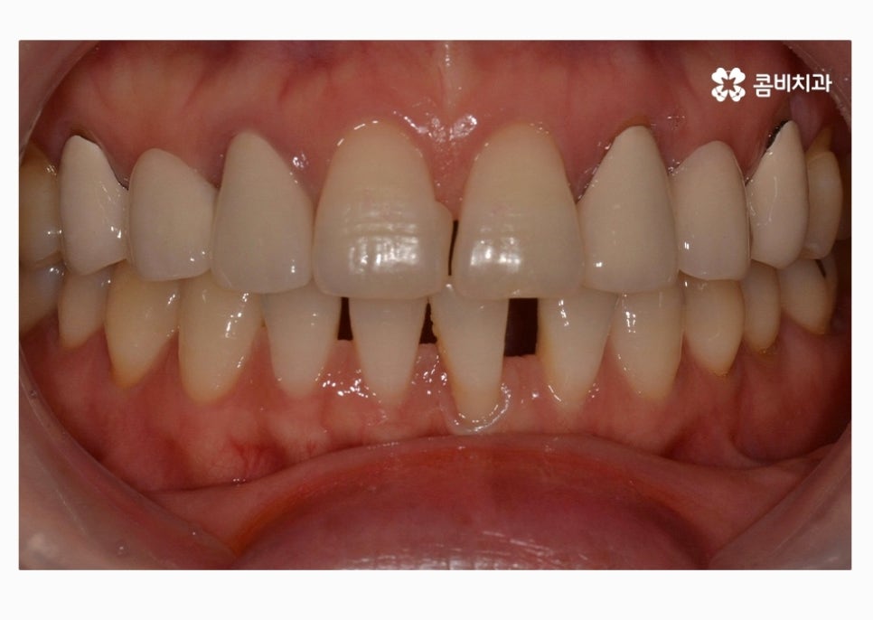
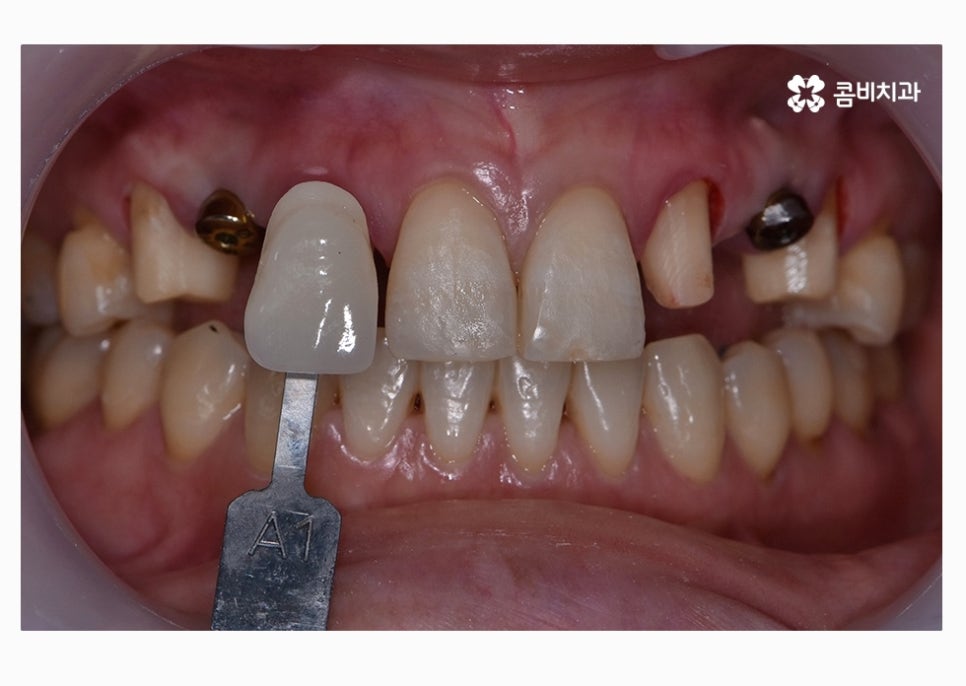
오늘 보실 30대임플란트 환자분의 사례는
윗니 2개를 충치로 인해 잃게 되어 임플란트를 하게 되었으며
아랫니가 벌어져 있고 치열이 고르지 못해서
치아 관리에 어려움을 느꼈기 때문에 치아 건강과
심미적인 치열을 위해서 치아교정도 함께 진행된 사례라고 할 수 있어요.

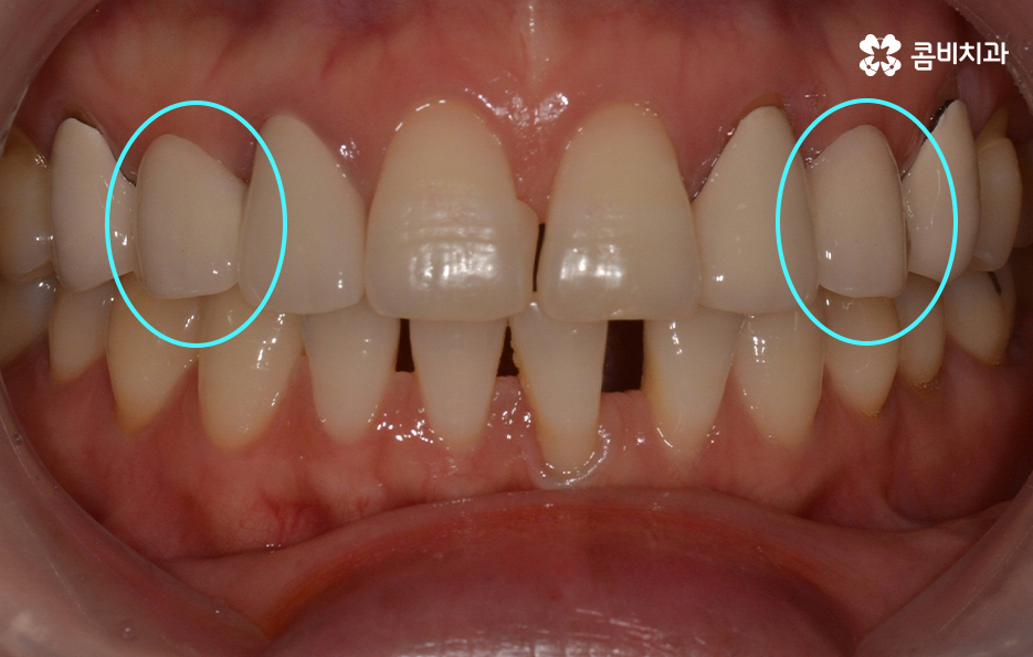
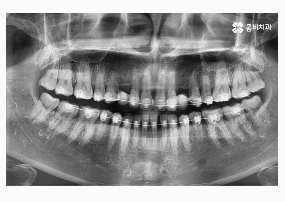
위에 표시된 치아는 이미 발치가 된 상태에서 임시치아를
부착하고 생활을 하셨던 환자이며 고르지 못한 치열을
개선하고 임시치아를 부착한 치아에 임플란트를 식립한 사례라고 할 수 있어요.


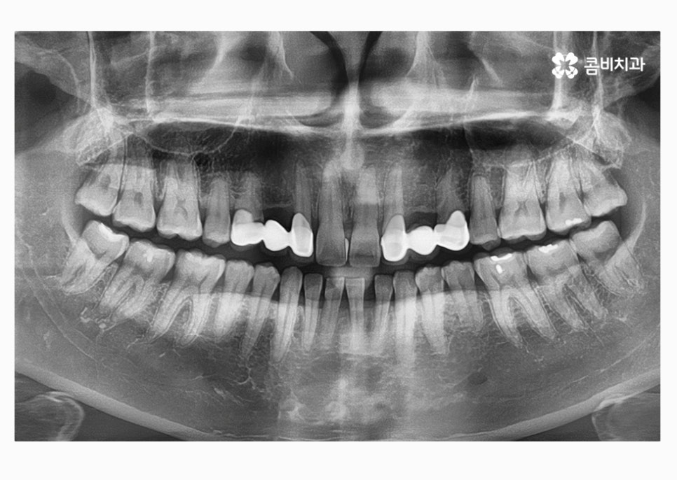
자세히 보시면 임시치아라는 것을 알 수 있고 엑스레이
사진을 보면 더 자세히 알 수 있습니다.
치아 사이가 벌어져 있으면 심미적으로도 좋지 않지만
치아의 청결 관리, 교합의 측면에서도 불리하기 때문에
치아의 건강 문제로 이어지는 경우가 많으며
30대임플란트 하게 되신 분들의 경우에도 평소 습관부터
구강 상태가 복합적으로 문제가 되어 젊은 나이에
치아를 잃게 되는 사례를 종종 볼 수 있는데요.


치아교정의 목적 중에 치아의 건강과 정상적인 교합을
위한 목적도 상당히 크기 때문에 만약 환자 본인이
평소 좋은 식습관과 칫솔질도 잘한다고 생각하지만
유독 충치나 잇몸질환이 잦다면 치열 상태도 함께 검진해 볼 필요가 있는데요.
위 환자분처럼 덧니나 치열의 불규칙함이 심하지 않은 경우
치아교정 기간 역시도 비교적 짧아질 수 있다는 점도 참고하시면
좋겠고 치아교정을 통해 치아의 벌어짐을 개선하신다면
자연치아의 건강 측면에서도 이점이 많다고 할 수 있어요.


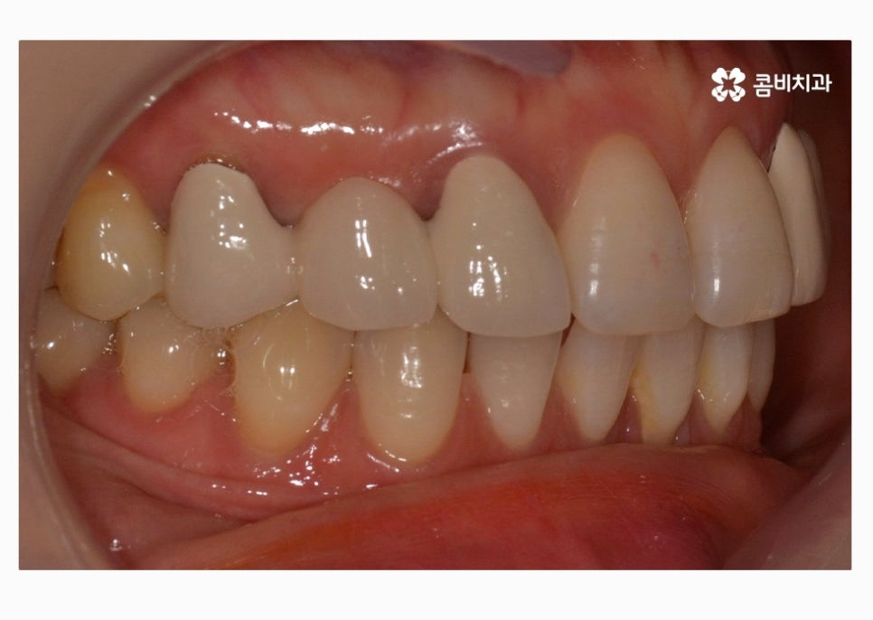
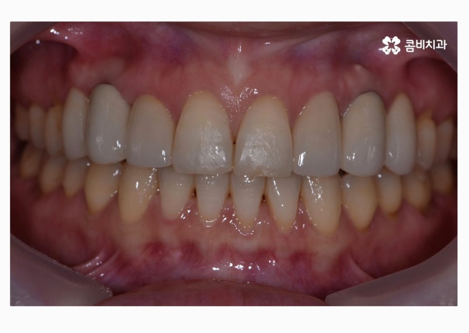
치아교정으로 치열을 가지런하게 하고
30대임플란트 식립까지 잘 마친 상태이며
식립 후에는 골 유착이 튼튼하게 이뤄지는지 기다린 후
주변 치아의 색과 모양에 맞는 보철물을 결합하여
마무리가 된다고 할 수 있어요.


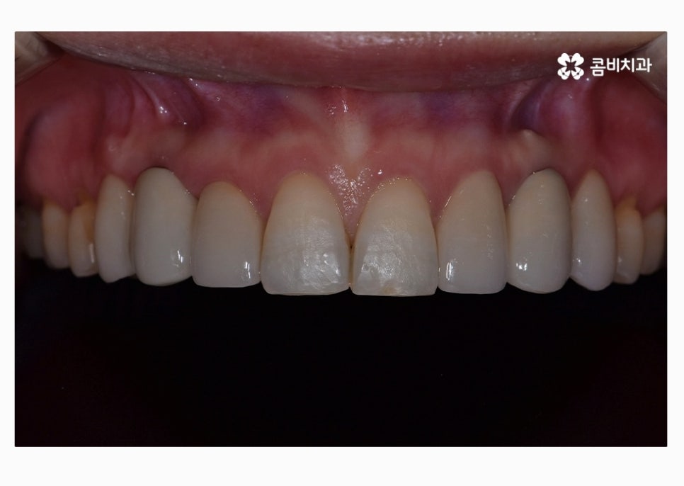
앞니의 경우 심미적으로 중요하기 때문에 임플란트
치료에 있어서 식립 각도부터 보철물의 모양, 색 등
정확해야 하고 연세가 많은 분들의 경우에는
당뇨나 고혈압 같은 전신질환에 대해 잘 체크하고 진행해야 하며
어르신의 경우 잇몸질환으로 인해 치아를 잃게 되는 사례가
많기 때문에 뼈이식 혹은 상악동 거상술이 병행된
고난도의 시술을 해야 할 가능성이 높다고 할 수 있어요.


30대임플란트의 경우에는 비교적 회복력이나 잇몸 상태가
양호하신 분들이 대부분이지만 임플란트는 처음 치료가 중요하고
잘 관리한다면 반영구적인 사용도 가능한 만큼
치료 이후에 얼마나 수명을 잘 관리할지가 관건이라 할 수 있는데요.
임플란트의 첫 치료가 중요한 이유는 언제든지 재수술을
할 수 있는 치료가 아니고 재수술을 할수록 성공률이 낮아지기
때문에 건강하게 치료를 마친 후 유지를 잘해야 하고
오랫동안 믿고 찾을 치과의 선택도 중요하다고 할 수 있어요.

자연치아는 평생 건강하게 보존하는 것을 목표로 해야 하기 때문에
젊은 층이라도 방심하지 마시고 나이를 떠나서
평소 좋은 식습관과 청결 관리, 주기적인 스케일링과 검진을
철저히 지키셔야 하겠고 만약 치아를 잃게 되셨다면
늦지 않게 치과에 방문하는 것이 보다 건강하게 치료를 마무리할 수 있어요.
본 글은 콤비치과 의료광고 포스팅이며
개인에 따라 출혈 및 부작용이 발생할 수 있습니다.
더 보기
이 병원의 공개 콘텐츠를 계속 살펴보세요
출처 아카이브로 돌아가 더 많은 글을 보거나, 병원 프로필로 이동해 다른 공개 채널도 함께 비교해보세요.