명동콤비치과의원 (명동)
치아부분교정 나도 해당될지 궁금하다면
인간에게 치아는 기능적인 역할도 중요하지만 웃거나 대화를 할 때 가장 먼저 보이기 때문에 심미적으로도 매우 중요하며 대인관계에서 첫인상에도 많은 영향을 준다는 점에서 앞니가 벌어졌거나 삐뚠 경우 정신적으로 스트레스를 받는 분들이 많을 거예요. 전체적으로 치열 상태가 고른 편이지만 앞니가 유독 삐뚤거나 약간의 덧...
아카이브 요약
이 페이지의 역할
명동콤비치과의원 (명동)의 네이버 블로그 원문을 보존한 아카이브 페이지입니다. 치아스토리♡ 카테고리의 치아부분교정 나도 해당될지 궁금하다면 글을 통해 병원의 한국어 정보 제공 방식과 진료 관련 안내 톤을 확인할 수 있습니다.
인간에게 치아는 기능적인 역할도 중요하지만 웃거나 대화를
할 때 가장 먼저 보이기 때문에 심미적으로도 매우 중요하며
대인관계에서 첫인상에도 많은 영향을 준다는 점에서 앞니가 벌어졌거나
삐뚠 경우 정신적으로 스트레스를 받는 분들이 많을 거예요.
전체적으로 치열 상태가 고른 편이지만 앞니가 유독 삐뚤거나
약간의 덧니 혹은 나이가 들면서 앞니가 벌어지는 경우도 있는데요.
이처럼 특정 부위를 6~8개 정도만 치아부분교정을 하거나
윗니만 교정을 하는 사례도 있으니 전체적인 치열이 아닌
특정 치아를 교정하는 방법에 대해 관심이 늘어나고 있어요.


오늘은 치아부분교정 사례와 함께 부분교정에 대한 설명을
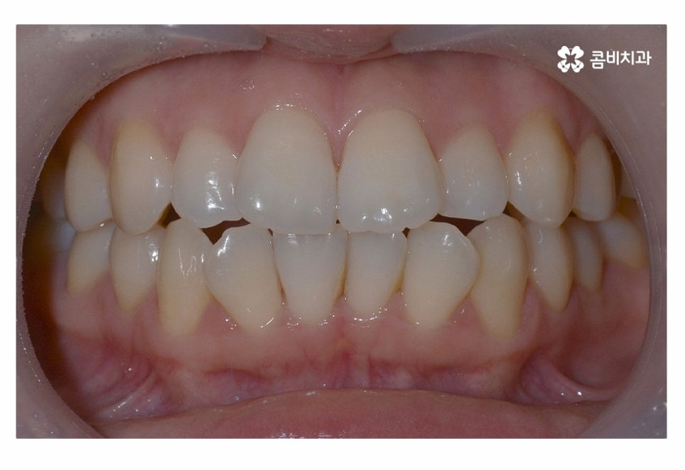
해드릴 예정이며 위 사진에서 보시는 환자분의 경우
정면에서 보는 치열과 측면의 차이가 다소 크다는 것을 알 수 있는데요.
이처럼 치열은 정면에서 보이는 것만이 아닌 얼굴형과 골격을
고려하여 치료 계획을 세워야 한다는 것을 알 수 있어요.
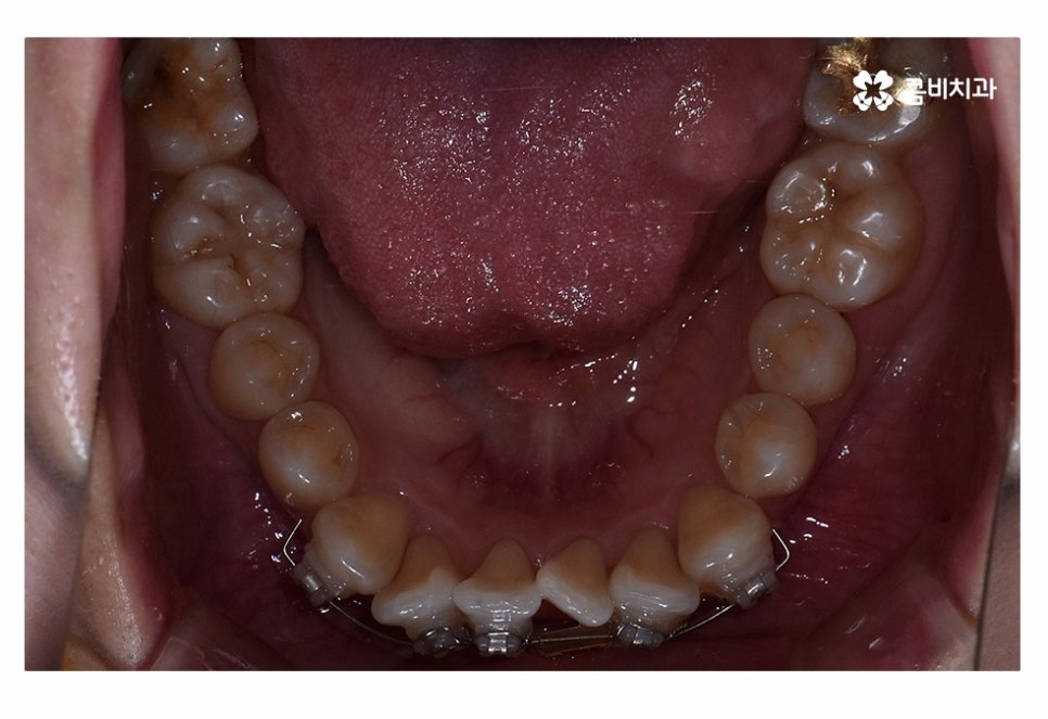
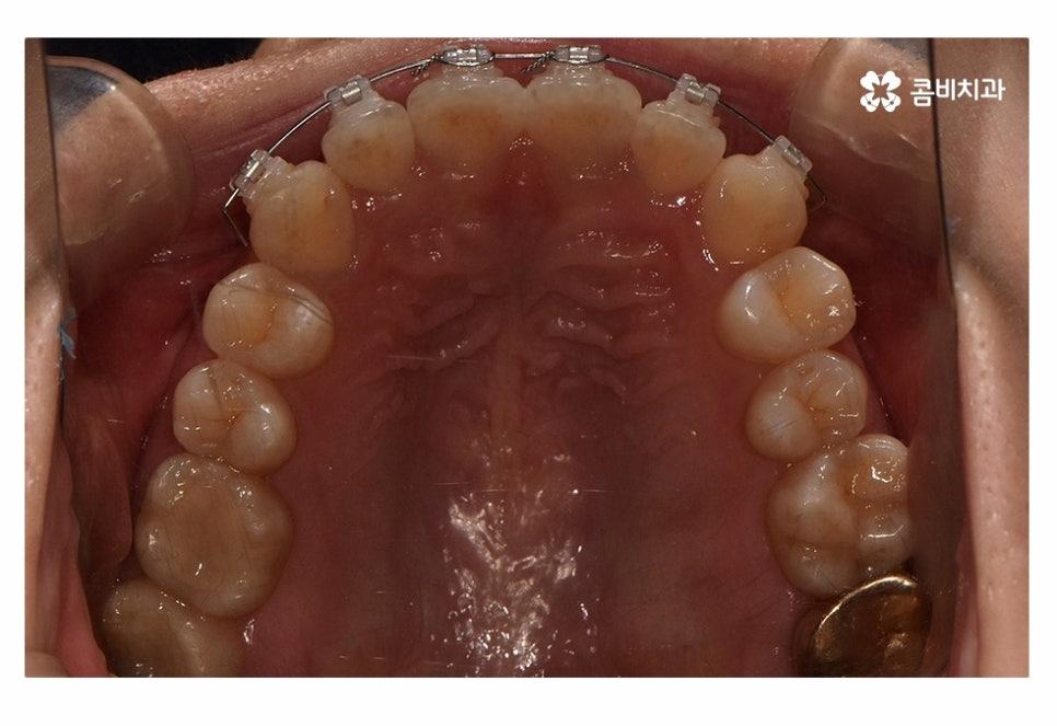
교합이 정상적이고 치아의 이동 공간을 고려할 때
치아부분교정이 가능했던 환자분이었기 때문에 윗니와 아랫니에
각각 부분교정이 진행된 사례라고 할 수 있는데요.


전체적인 치열이 가지런한 편이고 교합도 잘 맞물리지만
유독 앞니가 삐뚤어진 경우에는 라미네이트와 같은
치아성형을 선택하시는 분들도 많지만 라미네이트는
빠르게 원하는 치아의 모양, 형태를 얻을 수 있는 반면에
치아 삭제에 대한 부담이 있는 만큼 잘 알아보고 선택해야 할 수 있어요.

앞니의 특정 부분만 치아부분교정이 진행되면 전체 교정에
비해서 비용적으로도 저렴하고 치료 기간도 단축이 되며
관리상의 불편함, 통증 등도 크게 줄어들기 때문에
원하는 치열을 자연치아를 그대로 보존하면서
가지런한 치열을 얻을 수 있어요.


일반적으로 전체 교정을 약 1년 6개월~3년 정도 치료 기간을 예상한다고
할 때 치아부분교정의 경우 약 4~6개월 정도를 예상하기 때문에
치료 기간으로 망설이게 되는 부담감은 크게 줄어들 수 있는데요.
물론 치료 방법과 기간 등은 개개인의 치열과 골격 등을 정확하게
검진하고 판단해야 할 부분이지만 보편적으로 부분교정이
가능한 경우에는 전체 교정에 비해 기간, 비용, 관리 등의 장점이 있어요.


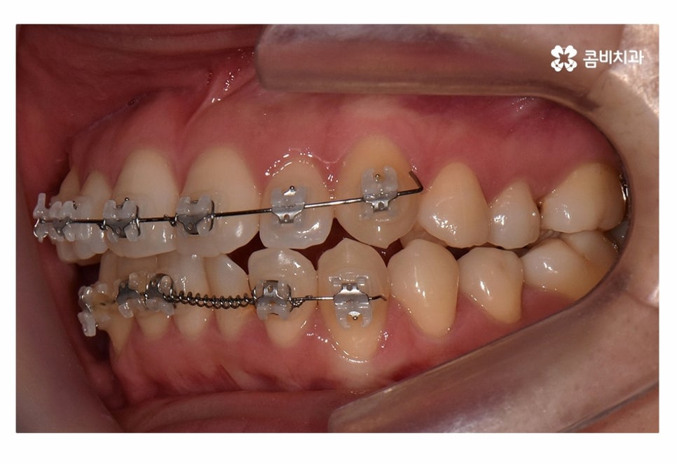
위 사진은 치료가 시작되고 약 5개월 정도가 지난 후의 모습인데
치아부분교정으로도 치열이 빠르게 가지런해진 모습을 볼 수 있어요.
물론 부분교정이 누구에게나 가능한 것은 아니며
부정교합이 있거나 덧니가 심한 경우, 치열이 전체적으로 불규칙하다면
전체 교정을 해야 하는 경우가 더 많다고 할 수 있지만
재교정이 필요하거나 특정 치아가 삐뚠 경우, 벌어진 경우라면
오늘 소개 드린 것처럼 부분적인 교정이 가능할 수 있어요.

연예인이나 모델, 직업적으로 외모가 중요하신 분들의 경우에는
앞니가 조금만 마음에 들지 않아도 신경 쓰이고
스트레스 받아 하시는 경우가 많은데 가지런한 치열을 원하신다면
자연치아를 살리면서 원하는 치열을 얻을 수 있는 부분교정이 나에게
가능한지 정확한 검진을 통해서 알아보는 것이 우선이라고 할 수 있어요.
외부에 눈에 띄지 않는 설측교정이나 투명교정을 통해서도
부분적인 교정이나 윗니만 교정을 하는 경우도 있으니
가능성을 열어두고 의사와 정확하게 상담을 받아보길 권장 드리고 있어요.
아무리 단기적인 교정이 예상된다고 하더라도 자연치아를
대상으로 하는 치아교정은 그 결과가 평생 영향을 주며
좋은 결과를 얻는 것과 함께 유지도 중요하기 때문에
장기적으로 소중한 치아를 맡길 치과의 선택 역시 신중하셔야 할 거예요.
본 글은 콤비치과의 의료광고 포스팅이며
개인에 따라 출혈 및 부작용이 발생할 수 있습니다.
더 보기
이 병원의 공개 콘텐츠를 계속 살펴보세요
출처 아카이브로 돌아가 더 많은 글을 보거나, 병원 프로필로 이동해 다른 공개 채널도 함께 비교해보세요.