아카이브 요약
이 페이지의 역할
명동콤비치과의원의 네이버 블로그 원문을 보존한 아카이브 페이지입니다. 치아스토리♡ 카테고리의 누런이로 고민하시는 분들을 위한 치아미백 정보 글을 통해 병원의 한국어 정보 제공 방식과 진료 관련 안내 톤을 확인할 수 있습니다.
원문 검증
필요하면 원문 블로그와 병원 프로필로 바로 이동해 문맥을 다시 확인할 수 있습니다.
출처 아카이브 열기아카이브된 블로그 글
명동콤비치과의원 · Naver Blog
타고난 치아색은 개인마다 다르겠지만 영구치가 모두 자란 후에 나이가 들수록 누구나 치아가 누렇게 변할 수 있는데요. 치아가 변색되는 이유는 대표적으로 흡연이나 잦은 커피의 음용과 같은 평소 습관으로 인한 경우가 대부분이고 치석 관리가 제대로 되지 않거나 유전적인 원인으로 치아가 점점 누렇게 변할 수 있어요. 나이가...
게시일
2021년 7월 5일
원문 기준으로 확인된 발행일입니다.
카테고리
치아스토리♡
원문 블로그 카테고리를 정리해 함께 표시합니다.
이미지 수
8
현재 아카이브에 연결된 이미지 수입니다.
아카이브 요약
명동콤비치과의원의 네이버 블로그 원문을 보존한 아카이브 페이지입니다. 치아스토리♡ 카테고리의 누런이로 고민하시는 분들을 위한 치아미백 정보 글을 통해 병원의 한국어 정보 제공 방식과 진료 관련 안내 톤을 확인할 수 있습니다.
원문 검증
필요하면 원문 블로그와 병원 프로필로 바로 이동해 문맥을 다시 확인할 수 있습니다.
출처 아카이브 열기타고난 치아색은 개인마다 다르겠지만 영구치가 모두 자란 후에
나이가 들수록 누구나 치아가 누렇게 변할 수 있는데요.
치아가 변색되는 이유는 대표적으로 흡연이나 잦은 커피의 음용과
같은 평소 습관으로 인한 경우가 대부분이고
치석 관리가 제대로 되지 않거나 유전적인 원인으로
치아가 점점 누렇게 변할 수 있어요.
나이가 들면서 법랑질의 두께가 조금씩 감소되는데 상아질의
색이 강조되어 보이면서 이가 누렇게 보이기도 하기 때문에
치아미백을 원하신다면 누런이의 원인을 정확하게 파악할 필요가 있어요.

치아미백 방법은 셀프로 집에서 시도하시는 분들도 많지만
잘못된 방법으로 셀프 미백에 도전하다가 치아가 얼룩덜룩 해지거나
치아의 바깥 부분인 법랑질이 부식되어 치아 손상이 되기도 하고
약재의 농도가 낮긴 하지만 잘못 사용할 경우
잇몸에 문제가 생기는 경우가 있는데요.
치아미백 효과가 있더라도 부자연스럽게 치아가 미백되거나
치아 손상으로 인해 추후 착색이나 충치 발생에 대한
우려가 있을 수 있기 때문에 셀프 미백은 잘 알아보시고 해야 하며
안전하지 않거나 부자연스러운 결과를 얻을 수 있으니 주의해야 할 수 있어요.

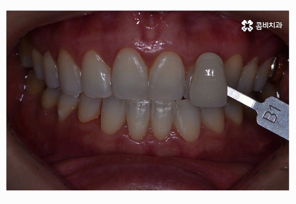
지금 보시는 환자분은 아직 치아미백을 시술받기 전 사진이고
치열이 가지런하기 때문에 치아가 하얗다면 심미적으로도
좋은 결과를 얻을 수 있는 사례라고 할 수 있어요.
우리가 흔히 건치하면 떠올리는 이미지는 선홍빛 잇몸과
하얗고 가지런한 치열을 떠올리게 되는데 외모가 중요한
직업을 가진 분들의 경우 치아미백을 원하시는 경우가 많이 있어요.


치아미백 시술 과정은 현재 치아 상태를 확인하고
목표로 하는 치아 색에 맞게 시술 계획을 세우게 되며
한 번에 극적인 변화를 얻으려고 하기보다는
자연치아의 손상을 최소화하고 자연스러운 결과를 얻기 위해
시술 횟수는 약 1회부터 5회까지 권장 횟 수는 개인 차가 있을 수 있어요.

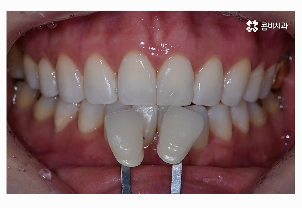
위 사진은 1회 시술 후 경과이며 보통 눈에 띄게 좋아진
결과는 2회 시술 시부터 나타나는 경우가 많으며
기존의 치아 색에 따라서 결과 차이는 있어요.
치과에서 미백 시술을 받으면 좋은 점은 정확한 검진을 통해서
시술이 진행되고 재료에 대한 안정성과 정품 사용,
의사 책임하에 시술이 진행되기 때문에 보다 자연스러운 결과를 얻을 수 있는데요.


이미 누렇게 변한 치아를 하얗게 되돌리고 오랫동안 유지하기 위해서는
변색이 된 원인에 대해서 정확하게 파악해야 하며
무리해서 미백 치약을 활용할 경우 치아가 마모될 우려가
있기 때문에 자신에게 잘 맞는 방법으로 치아 손상을 최소화할 필요가 있어요.
미백 치료를 한 이후에는 치아가 착색될 수 있는 콜라나 커피, 흡연 등을
피하시는 것이 좋고 주기적으로 스케일링을 잘 받는 것도 도움이 될 수 있어요.

위 사진은 미백치료 2회차이며 환자분께서 기본적으로
치아 변색이 심했던 상황이 아니다 보니 2회 만으로도
하얗고 밝은 치아 색을 얻게 되었던 케이스라고 할 수 있는데요.
(개개인마다 치료 결과는 차이가 있을 수 있습니다.)
이미 변색된 치아는 양치질이나 스케일링 등으로는 해결이
되지 않기 때문에 특수 광선과 미백약제를 활용하는
치과의 미백치료가 필요할 수 있으며 개인의 치아 상태를
종합적으로 고려하여 시술이 진행되어야 이가 시린 부작용을
예방하고 과도한 시술로 이어지지 않을 수 있어요.
본 글은 콤비치과의 의료광고 포스팅이며
개인에 따라 출혈 및 부작용이 발생할 수 있습니다.