아카이브 요약
이 페이지의 역할
명동콤비치과의원의 네이버 블로그 원문을 보존한 아카이브 페이지입니다. 치아스토리♡ 카테고리의 클리피씨교정 늦지않게 결정하려면 글을 통해 병원의 한국어 정보 제공 방식과 진료 관련 안내 톤을 확인할 수 있습니다.
원문 검증
필요하면 원문 블로그와 병원 프로필로 바로 이동해 문맥을 다시 확인할 수 있습니다.
출처 아카이브 열기아카이브된 블로그 글
명동콤비치과의원 · Naver Blog
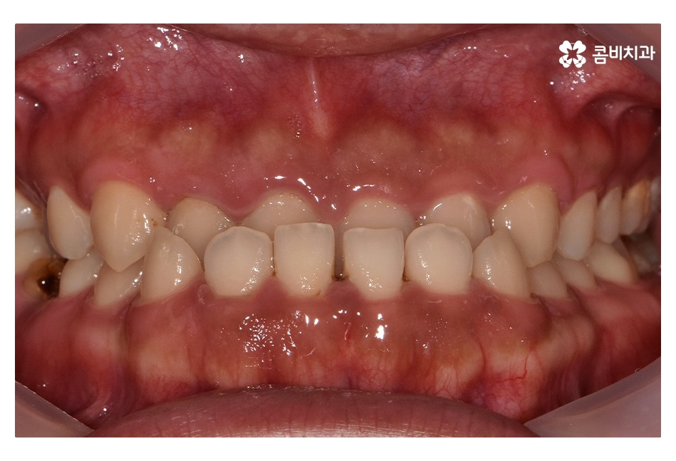
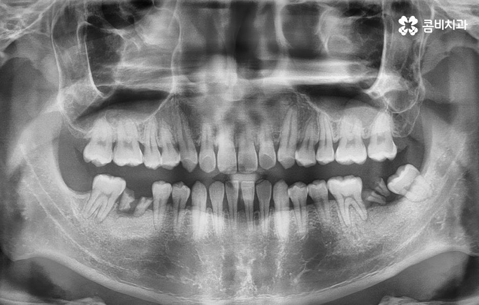
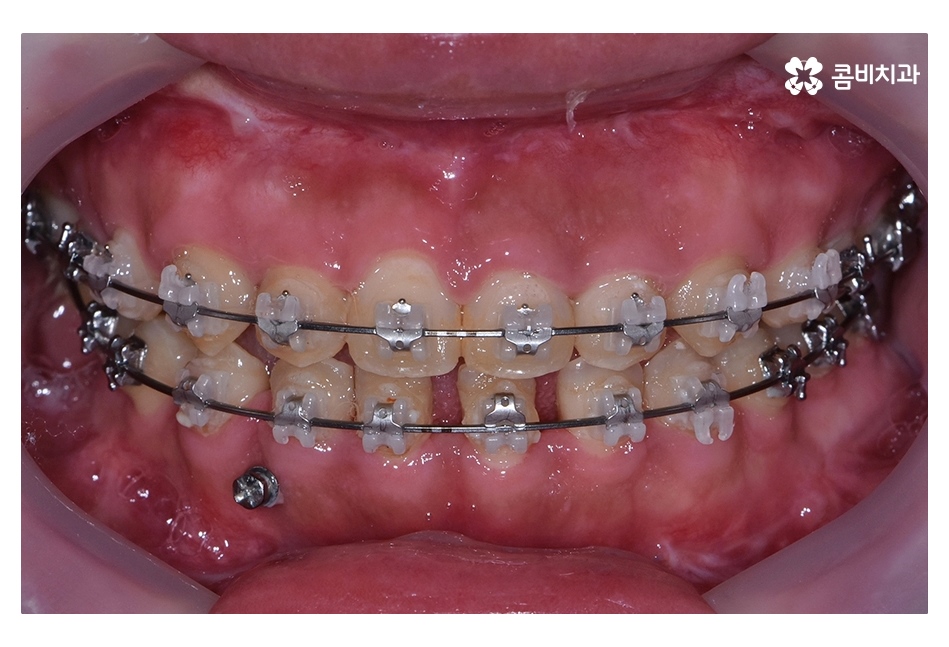
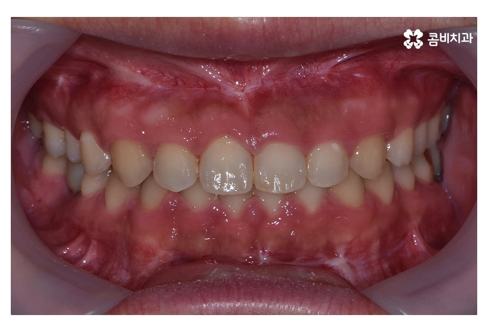
우리의 치아는 위, 아래가 정상적으로 맞물려야 치아도 건강하게 유지가 가능하며 음식물도 제대로 씹을 수 있는데요. 정상적인 교합 상태는 위, 아래 어금니가 정상적인 위치에서 제대로 맞물려 있어야 하며 윗니가 아랫니를 덮고 있는 상태인데 오늘 보시는 사례는 아랫니가 윗니를 덮고 있는 반대교합의 상태로 음식을 제대...
게시일
2021년 7월 28일
원문 기준으로 확인된 발행일입니다.
카테고리
치아스토리♡
원문 블로그 카테고리를 정리해 함께 표시합니다.
이미지 수
16
현재 아카이브에 연결된 이미지 수입니다.
아카이브 요약
명동콤비치과의원의 네이버 블로그 원문을 보존한 아카이브 페이지입니다. 치아스토리♡ 카테고리의 클리피씨교정 늦지않게 결정하려면 글을 통해 병원의 한국어 정보 제공 방식과 진료 관련 안내 톤을 확인할 수 있습니다.
원문 검증
필요하면 원문 블로그와 병원 프로필로 바로 이동해 문맥을 다시 확인할 수 있습니다.
출처 아카이브 열기우리의 치아는 위, 아래가 정상적으로 맞물려야
치아도 건강하게 유지가 가능하며 음식물도 제대로 씹을 수 있는데요.
정상적인 교합 상태는 위, 아래 어금니가 정상적인 위치에서
제대로 맞물려 있어야 하며 윗니가 아랫니를 덮고 있는 상태인데
오늘 보시는 사례는 아랫니가 윗니를 덮고 있는
반대교합의 상태로 음식을 제대로 씹지 못하고
발음이 부정확하며 심미적으로도 좋지 않기 때문에
치아교정을 통해 치료가 필요한 케이스 중 하나라고 볼 수 있어요

반대교합은 부정교합 중에 한 종류라고 할 수 있으며
교합이 제대로 맞물리지 않기 때문에
나이가 들수록 소화불량이나 턱관절 장애 등을 겪을 수 있어요.
치아의 심미적인 문제를 떠나서 건강에도 직결되기
때문에 부정교합의 경우 유아 시기부터 꾸준한
구강 검진을 통해서 적절한 시기에 치료를 하는 것이 좋으며
성인이 된 이후에도 치료가 필요한 케이스의 환자라면
치료를 하는 것을 권장 드리고 있는데요.


반대교합의 경우, 치아교정을 위해 필요한 치아의 이동 공간 확보와
골격, 얼굴형 등을 고려하여 치료 계획을 세워야 하며
치아와 골격 상태 등에 따라서 개인마다
치료 방법이 다르기 때문에 발치나 수술 여부는
정확한 검사를 통해서 확인해 볼 수 있어요.
치료 계획을 세우기 위해선 치아의 심미적인 부분과 함께
골격, 교합 등을 전체적으로 고려하여
정확한 검진을 통해 계획을 세워야 하기 때문에
3D CT 등을 활용한 정밀 검진과 풍부한 경험을 갖춘
의료진의 철저한 치료 계획이 중요할 수 있어요.



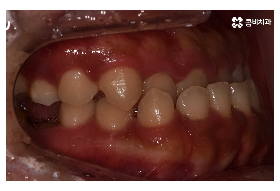
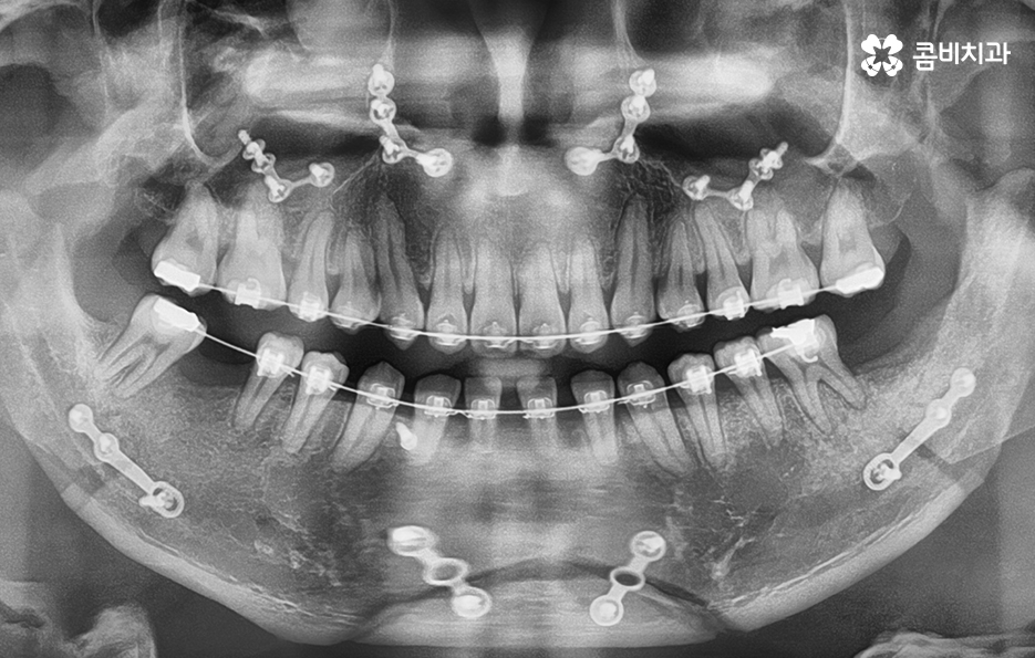
위 환자분의 경우 충치로 인해 오른쪽 아래 제1대구치와
왼쪽아래 제2대구치가 상실된 상태였으며, 치아교정만으로는
치료가 불가능한 케이스였기 때문에 비발치 교정으로
진행하면서 외과수술이 병행된 케이스라고 할 수 있어요
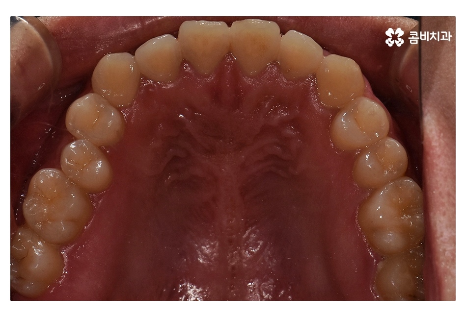
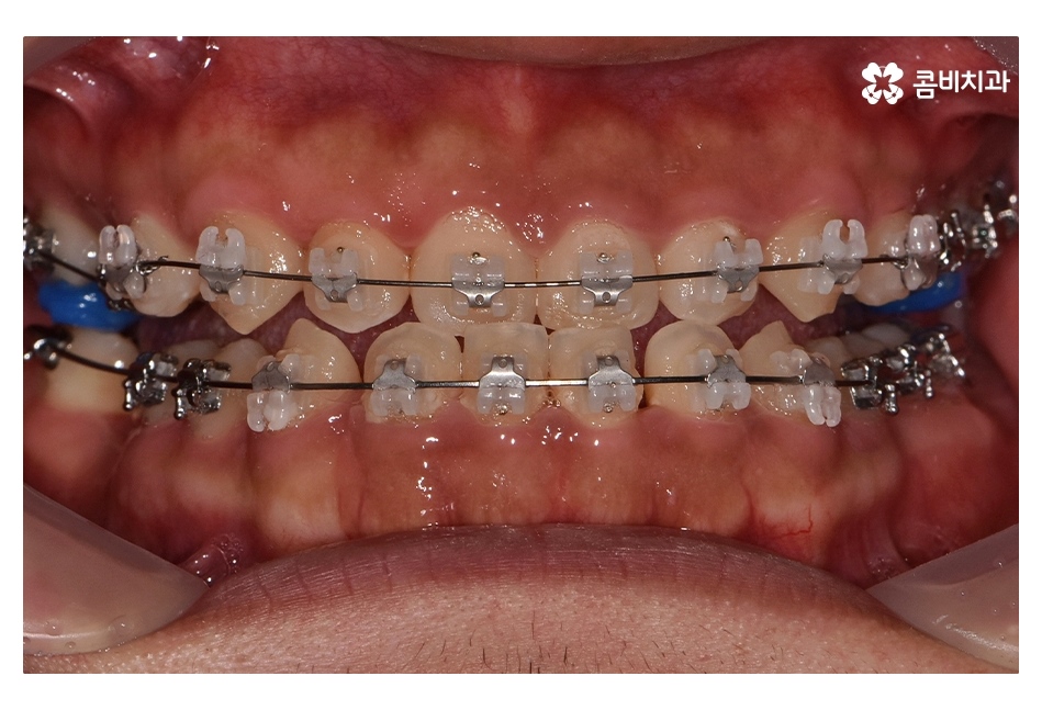
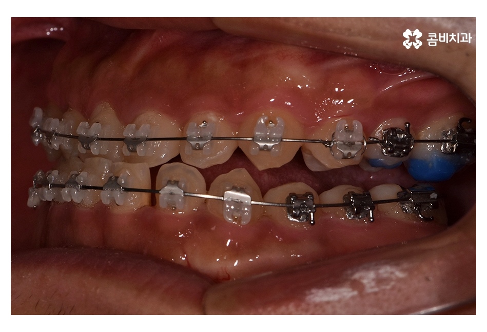
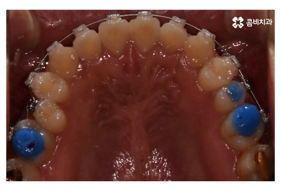
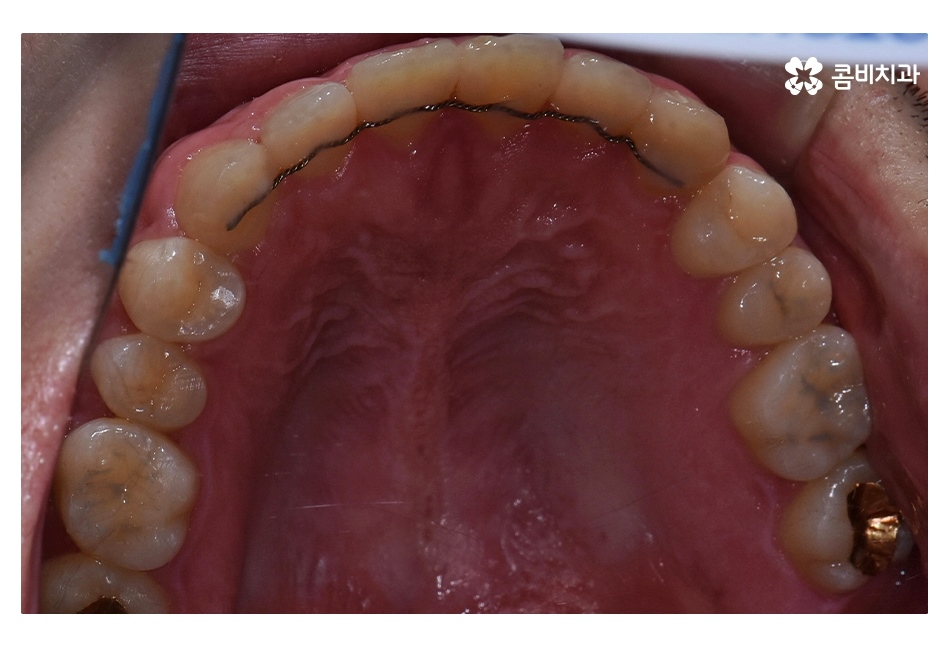
클리피씨교정을 통해서 약 1년 6개월간
치료가 진행이 되었고, 수술과 병행이되며, 치료 마무리 단계에서
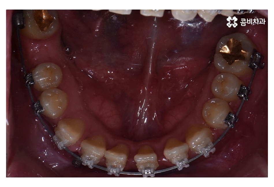
임플란트 수술까지 진행이 된 사례라고 볼 수 있는데요.

치아교정에 필요한 장치의 경우 개개인에게
적합한 교정장치를 선택하는 것이 중요하겠고
교정 장치마다 장단점이 다르고, 개개인마다 구강 구조 및 상태가
다르기 때문에 적합한 치료법은 달라질 수 있는데요.
그중에서 클리피씨교정이 보편적으로 많이 선호되고
있는 이유라면 비교적 빠른 교정 속도와 적응 통증이
특징이며 관리상의 편리함도 높다는 장점이 있어요.


클리피씨교정은 자가결찰 방식으로 와이어를 고정하고 있으며
일반교정과는 다르게 치아를 이동시킬 때 마찰을
줄일 수 있기 때문에 치아의 이동 속도가 빨라지며
내원 횟수도 줄일 수 있기 때문에 바쁜 직장인 분들에게도
적합하며 지방 거주 및 직업적인 이유로 치과에
잦은 내원이 어려운 분들에게도 적합할 수 있어요.


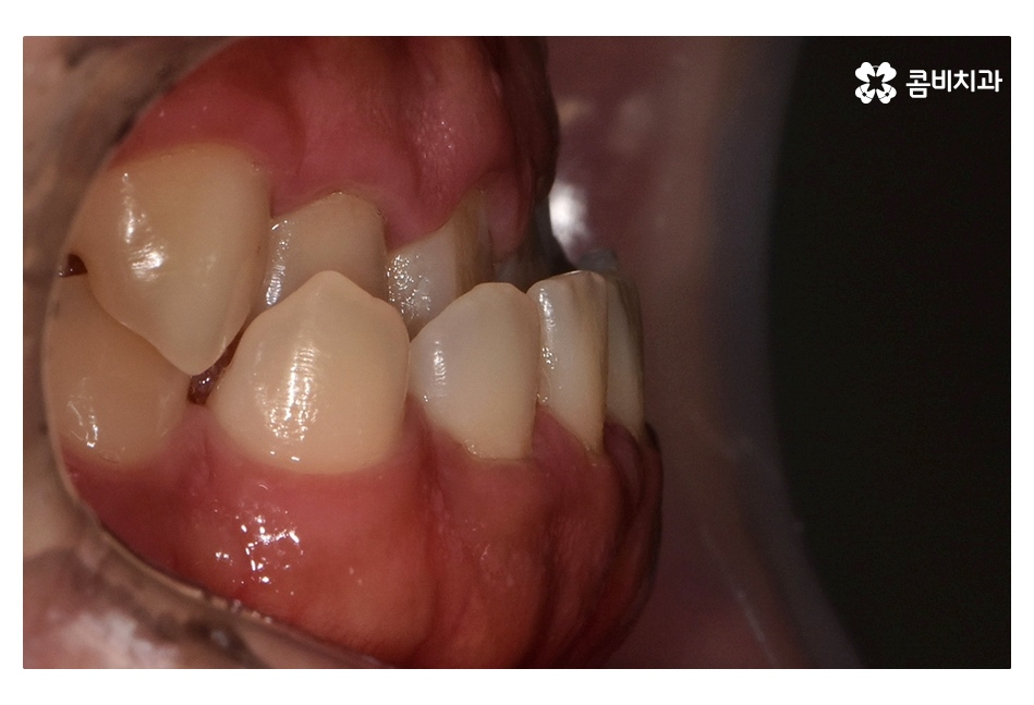
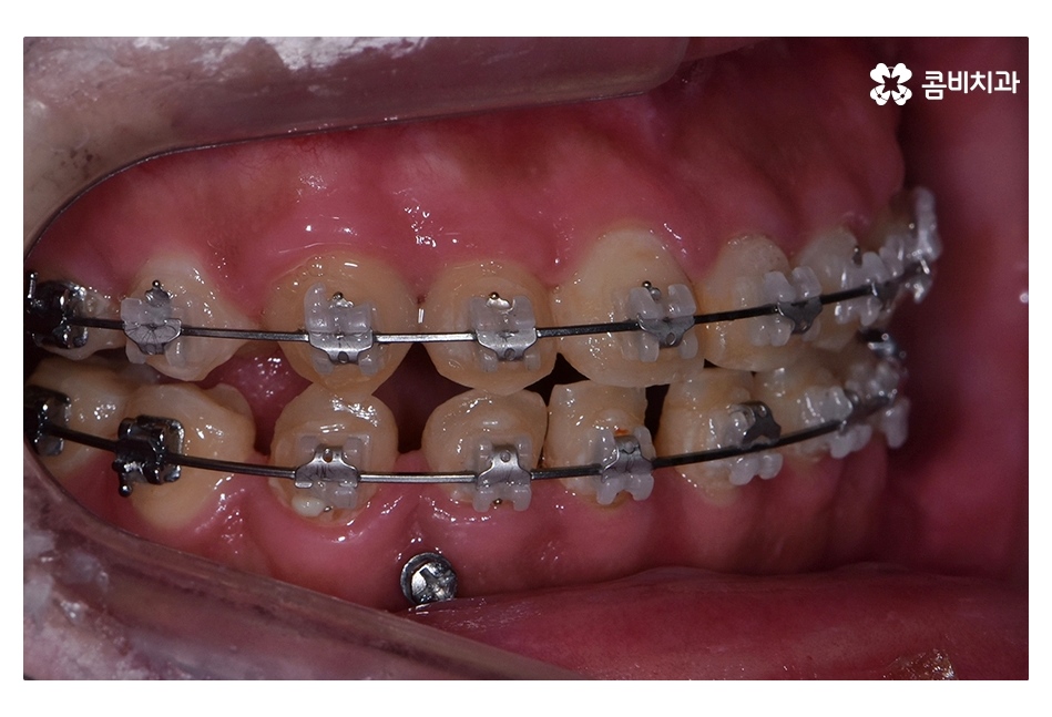
클리피씨교정이 진행되고 시간이 지날수록 아랫니가
점점 윗니에 덮이는 정상 교합의 상태로 개선되는 것을 볼 수 있는데요.


부정교합은 증상에 따라 심할경우 평생 식사를 할 때마다 불편함을 느낄 수도
있지만 치아교정을 통해 치료를 하면 치아의 심미성은 물론이며
발음, 턱관절 등 건강에도 큰 이점을 줄 수 있어요.

치아교정은 개인에 따라서 치료 기간이 달라지겠지만
위 환자분의 경우 수술과 병행되어 비발치 교정으로 진행되었기 때문에
약 1년 6개월 정도의 기간이 소요되었으며
교정 후 교합이 정상적으로 맞물리는 것을 확인할 수 있어요.
클리피씨교정은 와이어 교체가 간편하며 치아 색과
유사한 세라믹 재질을 사용하기 때문에 심미적으로도 우수한 편이며
치아는 강한 힘을 주어 당기면 강한 통증을 느끼게 되고
북작용이 발생할 수 있기 때문에
오히려 적은 힘으로 꾸준히 치아를 이동시키는 것이
교정 기간을 단축시킬 수 있고 통증을 줄일 수 있는데요.


일정한 힘을 주어 더욱 빠르게 교정이 가능한 클리피씨교정은
치아교정 환자분들에게 상당히 많이 쓰이고 있는 교정 장치이며
오늘 보신 반대교합의 사례처럼 전체 교정이 필요한 경우에 적합할 수 있어요.
교정 치료는 장기간의 치료 기간뿐 아니라 유지 관리도
중요하기 때문에 치료 후 관리까지 체계적으로 해야 하며
꾸준히 믿고 찾을 치과의 선택이 중요할 수 있어요.
본 글은 콤비치과의 의료광고 포스팅이며
개인에 따라 출혈 및 부작용이 발생할 수 있습니다