아카이브 요약
이 페이지의 역할
명동콤비치과의원의 네이버 블로그 원문을 보존한 아카이브 페이지입니다. 치아스토리♡ 카테고리의 임플란트종류 잘알아보고 적용하려면 글을 통해 병원의 한국어 정보 제공 방식과 진료 관련 안내 톤을 확인할 수 있습니다.
원문 검증
필요하면 원문 블로그와 병원 프로필로 바로 이동해 문맥을 다시 확인할 수 있습니다.
출처 아카이브 열기아카이브된 블로그 글
명동콤비치과의원 · Naver Blog
한국인들에게 임플란트는 대중적으로 알려져 있는 치과 치료지만 갑자기 치아를 상실하게 되었을 때 어떻게 치료를 받아야 할지 막막할 수 있는데요. 치아를 상실하게 되는 원인으로는 심한 충치로 인한 경우부터 치주질환, 외상 등으로 인해 발치를 하게 되고 소실된 치아를 원래의 치아 기능과 형태로 회복하는 치료가 바로...
게시일
2021년 8월 10일
원문 기준으로 확인된 발행일입니다.
카테고리
치아스토리♡
원문 블로그 카테고리를 정리해 함께 표시합니다.
이미지 수
9
현재 아카이브에 연결된 이미지 수입니다.
아카이브 요약
명동콤비치과의원의 네이버 블로그 원문을 보존한 아카이브 페이지입니다. 치아스토리♡ 카테고리의 임플란트종류 잘알아보고 적용하려면 글을 통해 병원의 한국어 정보 제공 방식과 진료 관련 안내 톤을 확인할 수 있습니다.
원문 검증
필요하면 원문 블로그와 병원 프로필로 바로 이동해 문맥을 다시 확인할 수 있습니다.
출처 아카이브 열기한국인들에게 임플란트는 대중적으로 알려져 있는
치과 치료지만 갑자기 치아를 상실하게 되었을 때
어떻게 치료를 받아야 할지 막막할 수 있는데요.
치아를 상실하게 되는 원인으로는 심한 충치로 인한 경우부터
치주질환, 외상 등으로 인해 발치를 하게 되고
소실된 치아를 원래의 치아 기능과 형태로 회복하는
치료가 바로 임플란트라고 할 수 있어요.

중년 이후에는 치아 상실의 원인이 치주질환으로 인한 경우가
급격히 늘어나기 때문에 임플란트종류에 있어서도
치아 상실의 원인과 현재 구강 상태 등에 따라서 시술 방법이 달라질 수 있는데요.
치주염이 심해져서 치아를 상실하게 되는 경우에는 치아를
한꺼번에 여러 개 잃게 되는 경우도 많기 때문에
임플란트를 하나만 식립하는 것이 아니라 여러 개 식립을
하는 경우가 있겠고 임플란트는 잇몸 뼈에 식립을
하기 때문에 치주질환이 심했던 경우 잇몸 뼈가 부족해서
뼈이식 임플란트나 상악동 거상술을 해야 하는 경우도 있어요.

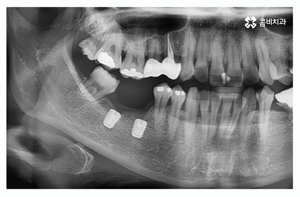
임플란트를 진행할 때 치조골에 치아의 뿌리 역할을 하는
인공 치근을 식립하고 잇몸 뼈와 골 유착이 튼튼하게
되도록 하는 과정을 거치게 되는데 뿌리 역할을 하는 만큼
잇몸의 상태가 건강해야 하고 뼈가 충분히 있어야
건강하게 치료를 진행할 수 있어요.
임플란트종류에 있어서 잇몸뼈의 상태가 관건이라고 할 정도로
큰 부분을 차지하게 되는데 젊은 분들의 경우
충치나 외상으로 인해 치아를 잃게 되는 경우가 많기 때문에
임플란트종류 중에서 원데이임플란트라고 불리는 발치 후 즉시 식립을
하는 경우도 있지만 치주염으로 인해 치아를 잃게 된 경우에는
즉시 식립이 어렵거나 뼈이식을 해야 할 수 있어요.

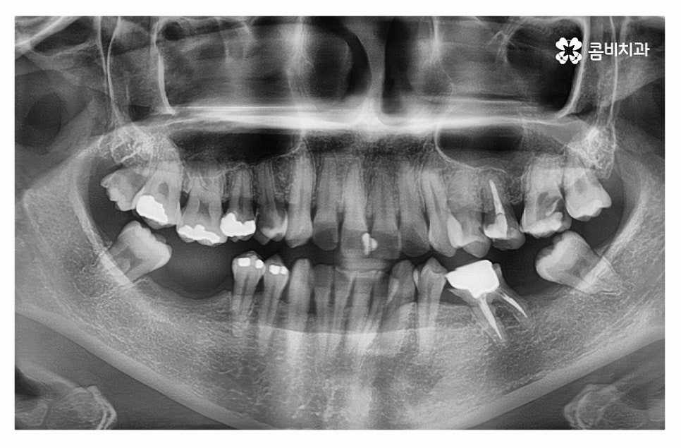
오늘 보시는 환자분의 경우에는 치주질환이 심해져서
여러 치아를 발치하게 된 사례로 자연치아의
수명을 다하지 못한 채 발치를 하는 것은 안타까운 일이지만
치주질환 관리를 제대로 하지 못할 경우에는
노년에 이르러 치아를 모두 상실하게 되는 경우도
많기 때문에 중년 이후에는 특히 주의할 필요가 있어요.
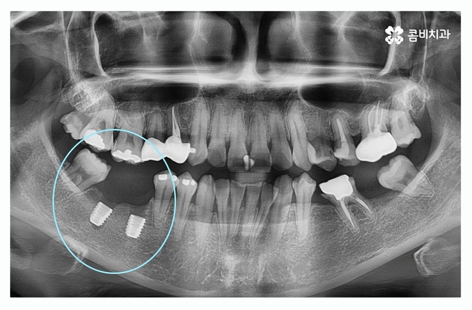
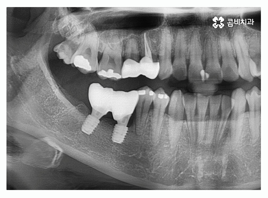
노년층의 경우에는 자연치아를 모두 잃거나 거의 다 잃게 되어
상악과 하악에 각각 8~10개 정도만 임플란트를 식립하여
브릿지 형태로 치아 보철물을 장착하는 전체임플란트 방식으로
치료를 진행하는 경우도 있어요.


위 이미지에서 보시는 것처럼 치주염으로 인하여
잇몸뼈가 많이 내려간 경우 음식물이 잘 끼고 관리가 잘 안되면서
치아가 깊게 뿌리내리지 못해 흔들리게 되고
치아가 제대로 된 기능을 하지 못하여 발치까지 진행되는 경우가 있는데
위 환자분도 사랑니가 이런 경우에 해당되어 발치를 진행한 사례라고 할 수 있어요.


환자분들 개개인의 구강 상태와 치아의 상실 원인 등에
따라서 임플란트종류 및 치료 방법도 달라지게 되지만
임플란트는 자연치아의 심미성과 기능 등을 회복하는 치료이고
첫 치료가 중요하기 때문에 식립 각도와 사후 관리 등도
매우 중요한 부분이라고 할 수 있는데요.
3D CT 등을 활용한 첨단 장비도 중요하겠지만
의료진의 실력과 경험이 무엇보다 중요한 치료라고 할 수 있어요.


중년 이후에는 당뇨나 고혈압 등의 전신질환이 있는 환자분들이
많이 찾아오시는데 임플란트를 건강하게 식립하고
치아의 기능을 회복하는 것도 중요한 부분이지만
임플란트는 재수술이 더 어렵고 고가의 시술인 만큼
수명을 오랫동안 잘 유지하기 위해 사후관리까지 철저할 필요가 있어요.
따라서 갑작스럽게 치아를 잃게 되었을 때 조급하게
저렴한 비용을 우선하기보다는 잘 관리한다면
반영구적인 사용도 가능한 만큼 의료진의 역량과
치과 시설, 사후관리까지 철저한지 잘 따져보시고
장기간 믿고 찾을 수 있는지 알아보셔야 할 거예요.
본 글은 콤비치과의 의료광고 포스팅이며
개인에 따라 출혈 및 부작용이 발생할 수 있습니다.