명동콤비치과의원 (명동)
덧니 발치 필수적으로 하는건가요
덧니가 있으면 심미적으로 좋지 않은 부분도 있겠지만 치아의 구조적으로 음식물이 끼기 쉽고 치석이 쌓이기 쉽기 때문에 충치가 발생할 가능성이 높아지며 양치질이 어렵다 보니 잇몸질환으로 인해 주변 잇몸이 약해지는 경우도 있는데요. 덧니가 발생하는 원인은 일반적으로 유치가 빠지고 영구치가 나오는 과정에서 치아가 정상...
아카이브 요약
이 페이지의 역할
명동콤비치과의원 (명동)의 네이버 블로그 원문을 보존한 아카이브 페이지입니다. 치아스토리♡ 카테고리의 덧니 발치 필수적으로 하는건가요 글을 통해 병원의 한국어 정보 제공 방식과 진료 관련 안내 톤을 확인할 수 있습니다.
덧니가 있으면 심미적으로 좋지 않은 부분도 있겠지만
치아의 구조적으로 음식물이 끼기 쉽고 치석이 쌓이기 쉽기 때문에
충치가 발생할 가능성이 높아지며 양치질이 어렵다 보니
잇몸질환으로 인해 주변 잇몸이 약해지는 경우도 있는데요.
덧니가 발생하는 원인은 일반적으로 유치가 빠지고
영구치가 나오는 과정에서 치아가 정상적으로
나올 공간이 부족하여 나타나거나 잇몸 뼈의 부조화,
손가락을 빠는 안 좋은 습관 등으로 인해 나타날 수 있어요.

덧니로 인해 치아교정을 고민하시는 분들이라면 덧니 발치에
대해서 꼭 해야 하는지 비발치로도 교정이 가능한지 궁금하실 거예요.
덧니 발치 여부는 개인차가 있는데 발치를 꼭 해야 하는 경우가
있고 비발치로도 교정치료가 가능한 경우도 있기 때문에
개인마다 구강 구조와 치아 상태, 얼굴과의 조화, 환자분의 니즈에
따라서 치료 계획은 달라질 수 있어요.
덧니도 개인에 따라 그 정도의 차이가 크고 치아의 돌출
여부도 잘 체크해야 하는데 그 이유는 치아교정을 할 때
교정 후 얼굴 변화에 대해서도 중요하기 때문이며
얼굴 변화를 고려하여 덧니 발치를 하는 경우도 많다고 할 수 있어요.


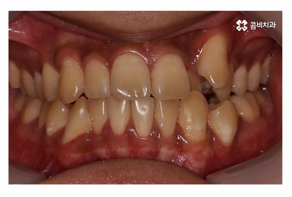
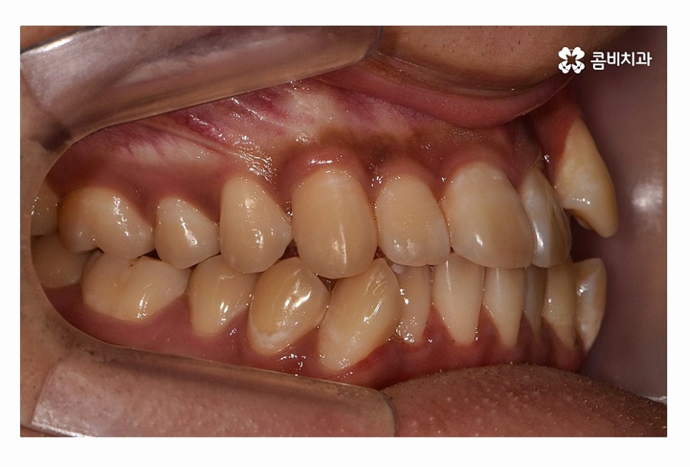
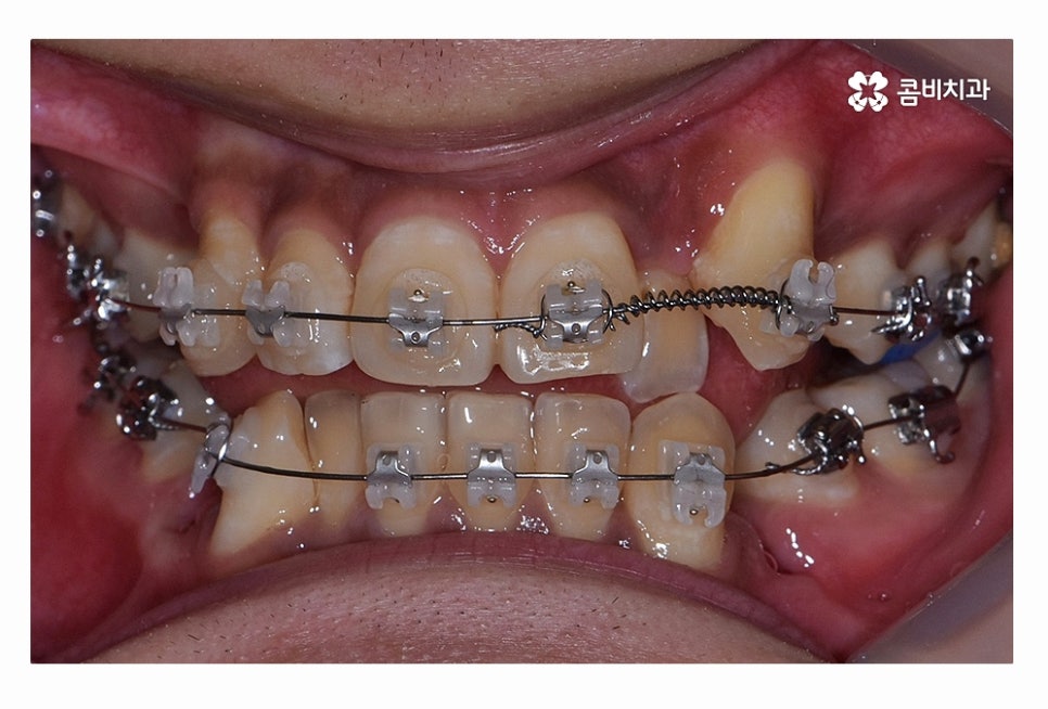
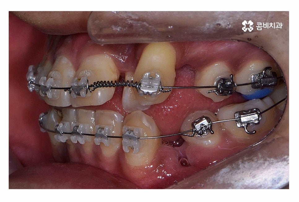
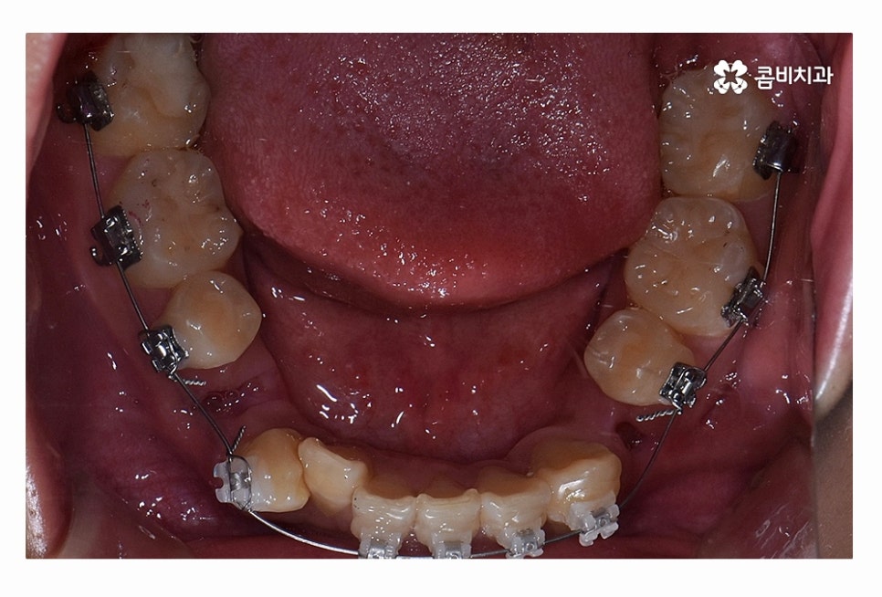
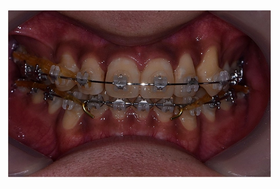
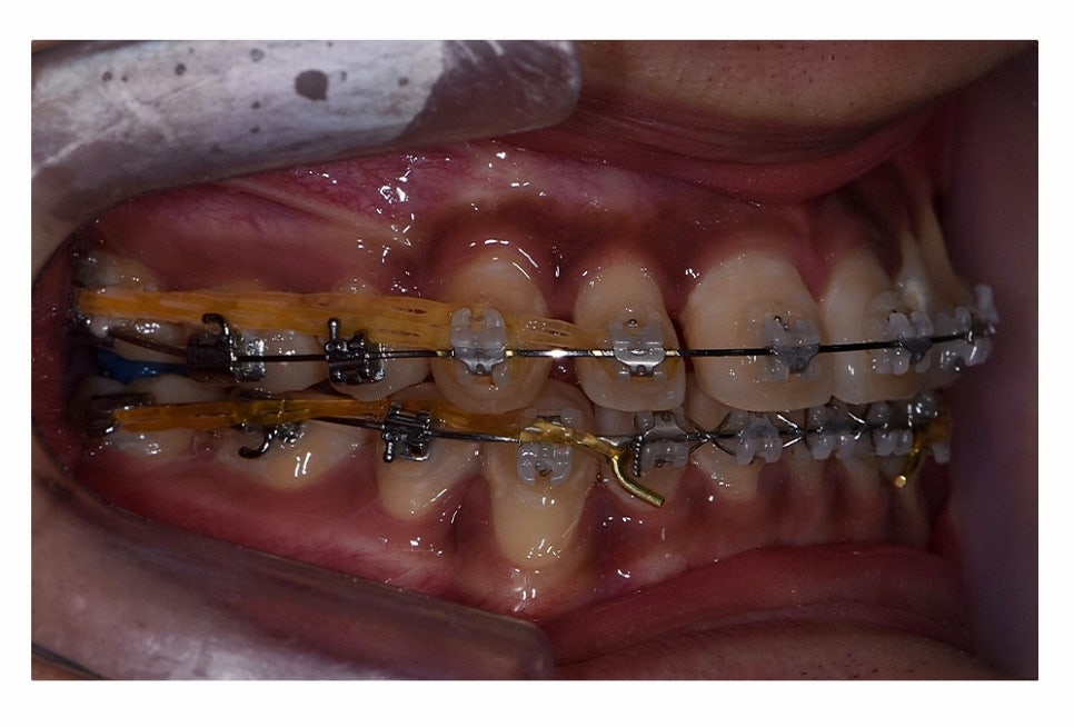
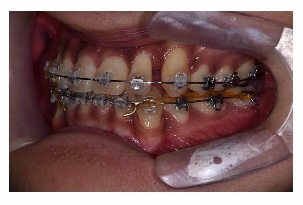
오늘 보시는 환자분의 사례처럼 덧니가 치아끼리 겹쳐 있는 경우에
치아의 이동 공간 확보를 위해서 덧니 발치 필요한 사례였으며
교합과 치아교정 후 얼굴 변화를 고려할 때도 치아교정 과정에서
발치가 필요한 사례였다고 볼 수 있어요.
덧니의 상태가 심하지 않거나 치아의 이동 공간이 충분하고
교합 등의 문제가 없는 경우에는 비발치로도
치아교정이 가능하고 경우에 따라서는 덧니 부분교정이 가능한 경우도 있는데요.

환자분들의 교정 사례는 워낙 다양하기 때문에 어떤 방법이
무조건 옳다거나 가장 좋다고 하기는 어렵고
1:1로 개개인의 치아 상태부터 교합, 얼굴형 등을 전체적으로
고려하여 치료를 진행해야 하기 때문에
여러 사례를 풍부하게 다뤄본 의료진과 함께 하실 필요가 있어요.


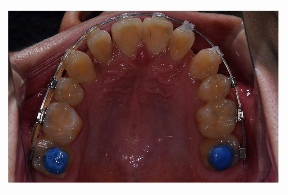
치아교정 과정에서 덧니 발치 필요한 경우에는 덧니 자체를
발치한다고 생각하시는 분들도 계신데
꼭 그렇지는 않으며 앞서 설명드린 것처럼
치아의 이동 공간 확보와 교합을 고려하여 발치가 이뤄지고 있어요
일반적으로는 송곳니 옆의 작은 어금니를 발치하는
경우가 대부분이며 손상이 심한 치아가 있는 경우에는
손상도가 심한 치아를 발치하는 경우도 있어요



치아교정에 대한 관심은 있지만 장기간의 치료 기간과
발치에 대한 두려움으로 치료를 선뜻 결정하지 못하는 분들도 계실 거예요.
덧니가 심한 분들의 경우 부정교합이 있거나 돌출입이
함께 해당하시는 경우도 있는데 이런 분들의 경우
치아교정에 있어서 심미적인 부분 외에도 치아의 건강과
전신 건강을 위해서도 고려해볼 필요가 있는데요.


덧니나 부정교합으로 인해 장기간 음식물이 치아에 끼거나
치석 등이 방치되어 청결관리가 제대로 되지 않는다면
장기적으로는 치아 전체에 악영향을 줄 수 있으며 충치, 잇몸질환의
발생률이 높아져서 구강은 물론 전신 건강에도 안 좋은 영향을 줄 수 있어요.


요즘은 성인 이후에도 교정치료를 받는 분들이 크게 늘고 있으며
치열로 인한 심미적인 스트레스나 부정교합으로 인한
악영향은 평생 고민이 될 수 있을 정도이기 때문에
치아교정에 대한 관심이 있다면 꼭 먼저 해야 할 일이
바로 정밀 검진이라고 할 수 있는데요.

정밀 검진을 먼저 정확히 받아야 시술 계획 및 치료 기간, 방법 등에
대한 예상이 가능하며 그에 맞는 결정도 할 수 있기 때문에
처음부터 어떤 교정 장치를 할지부터 덧니 발치 여부 등에 대해
미리 고민하시기보다는 치과에서 정확한 검진과
의사와 상담을 통해서 자신에게 맞는 시술 계획을 세우는 것이
우선이 되어야 한다고 볼 수 있어요.



교정치료는 장기간의 치료 기간뿐 아니라 치료 후 결과를
잘 유지하는 것도 중요하기 때문에 처음 치료부터
마무리까지 철저한지 잘 따져보셔야 하며 치열뿐 아니라
교합, 얼굴과의 조화 등을 종합적으로 판단해야 하기 때문에
3D CT 등 첨단 장비를 잘 갖춘 치과인지 잘 체크할 필요가 있어요.

치아교정을 고민하는 많은 분들께서 덧니 그 자체 혹은
덧니로 인한 돌출입에 대해 교정을 원하시는 경우가
많은데 비슷한 고민이라도 치료 방법이나 과정은
개인차가 있기 때문에 정확한 정보가 필요한 만큼
치과의사에게 정밀 검진을 먼저 받아보시고 자신에게
적합한 치료 계획을 세우는 것이 중요한 첫 시작이라고 할 수 있어요.
본 글은 콤비치과의 의료광고 포스팅이며
개인에 따라 출혈 및 부작용이 발생할 수 있습니다.
더 보기
이 병원의 공개 콘텐츠를 계속 살펴보세요
출처 아카이브로 돌아가 더 많은 글을 보거나, 병원 프로필로 이동해 다른 공개 채널도 함께 비교해보세요.