아카이브 요약
이 페이지의 역할
명동콤비치과의원의 네이버 블로그 원문을 보존한 아카이브 페이지입니다. 치아스토리♡ 카테고리의 치아설측교정 가능한지 궁금하다면 글을 통해 병원의 한국어 정보 제공 방식과 진료 관련 안내 톤을 확인할 수 있습니다.
원문 검증
필요하면 원문 블로그와 병원 프로필로 바로 이동해 문맥을 다시 확인할 수 있습니다.
출처 아카이브 열기아카이브된 블로그 글
명동콤비치과의원 · Naver Blog
여름휴가나 방학이 시작되면 치아교정을 알아보는 분들이 늘어나게 되는데 교정을 해야 한다는 생각과는 달리 막상 시작하려고 하면 웃을 때 장치가 보이는 부담감으로 인한 심미적인 이유로 교정을 망설이는 분들도 많을 거예요. 치아설측교정은 치아교정을 원하지만 심미적인 이유로 망설이는 분들에게 적합한 시술로 교정 장치가...
게시일
2021년 8월 27일
원문 기준으로 확인된 발행일입니다.
카테고리
치아스토리♡
원문 블로그 카테고리를 정리해 함께 표시합니다.
이미지 수
10
현재 아카이브에 연결된 이미지 수입니다.
아카이브 요약
명동콤비치과의원의 네이버 블로그 원문을 보존한 아카이브 페이지입니다. 치아스토리♡ 카테고리의 치아설측교정 가능한지 궁금하다면 글을 통해 병원의 한국어 정보 제공 방식과 진료 관련 안내 톤을 확인할 수 있습니다.
원문 검증
필요하면 원문 블로그와 병원 프로필로 바로 이동해 문맥을 다시 확인할 수 있습니다.
출처 아카이브 열기여름휴가나 방학이 시작되면 치아교정을 알아보는 분들이
늘어나게 되는데 교정을 해야 한다는 생각과는 달리
막상 시작하려고 하면 웃을 때 장치가 보이는 부담감으로 인한
심미적인 이유로 교정을 망설이는 분들도 많을 거예요.
치아설측교정은 치아교정을 원하지만 심미적인 이유로
망설이는 분들에게 적합한 시술로 교정 장치가
치아 뒷면에 부착되기 때문에 직업적인 이유나
개인적인 성향 등으로 심미성을 중시하시는 분들이
투명교정과 함께 많이 선호하고 있어요.

치아설측교정은 치아의 안쪽에 부착되는 만큼 평소에 대화를
할 때도 눈에 잘 띄지 않을 정도로 심미적이지만
아랫니는 혀가 위치하고 있기 때문에 발음이나 일상생활이
불편하실 수 있어, 윗니와 아랫니 모두
치아설측교정을 하기보다는 윗니만 설측으로
교정을 하고 아랫니는 순측으로 교정을 하는 경우가 많이 있는데요.


오늘 보실 교정 사례 역시도 윗니는 치아 설측교정으로
진행이 되고 아랫니는 일반적인 순측교정으로 진행되었으며
이러한 치아교정 방법을 콤비교정이라고 부르고 있어요.
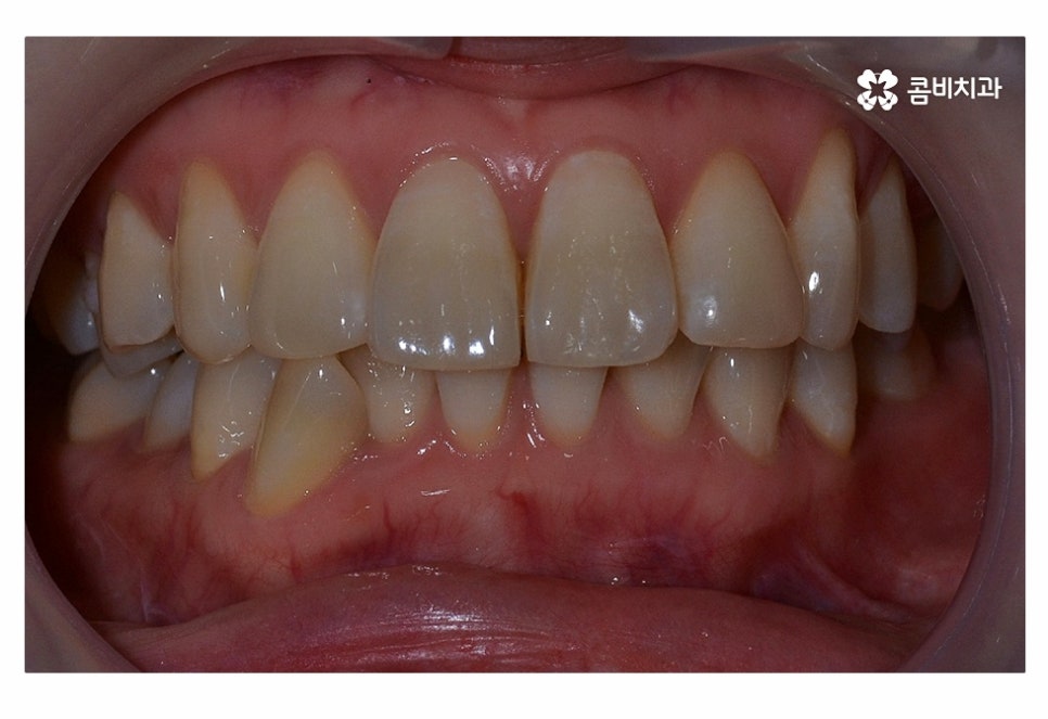
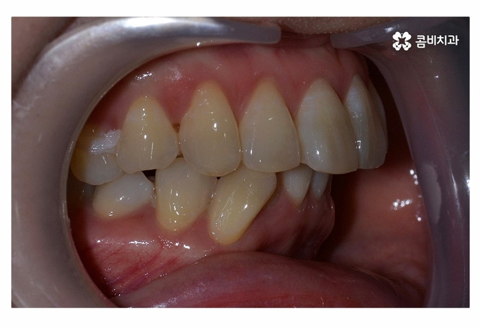
사진으로 보시는 환자분의 경우 윗니에 비해
아랫니가 좀 더 불규칙하다는 것을 알 수 있는데요.

위 환자분 또한 심미성을 중요시하였으나 아랫니까지
설측으로 할 경우 발음이 불편할 수 있다는 단점으로 인하여
아랫니의 경우 순측으로 장치를 부착하였고 아랫니의 경우
순측으로 장치를 부착해도 크게 웃지 않는 이상 잘 보이지 않기 때문에
위 환자분처럼 윗니만 치아설측교정으로 진행을 하고 아랫니는
순측으로 진행하는 경우가 많이 있어요.
환자분께서 원하실 경우 윗니와 아랫니 모두 설측교정으로 진행할 수 있지만
비용이 좀 더 비싸다는 단점이 있고 혀가 닿기 때문에
발음상의 불리함이나 불편함을 좀 더 느낄 수 있다는 점에서
콤비교정은 합리적인 선택이 될 수 있는데요.

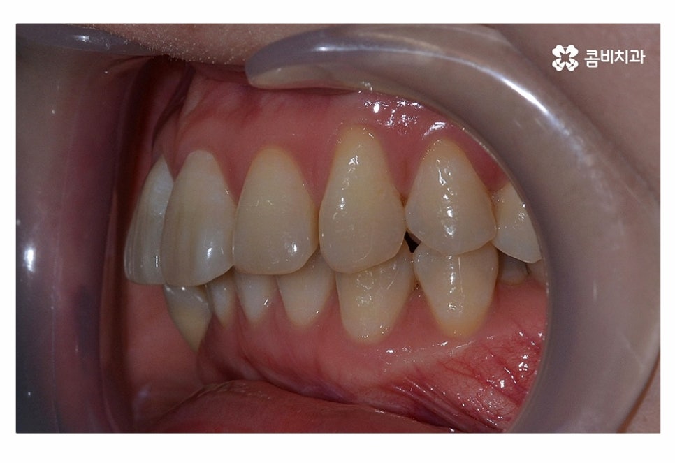
위 사진에서 보시는 것과 같이 윗니의 경우 치아설측교정으로
진행이 되고 있기 때문에 교정 장치가 눈에 띄지 않고 있어요.
오늘 사례의 환자분은 아랫니의 치열이 불규칙하고
교합을 고려할 때 전체교정을 진행해야 했지만
윗니가 약간 벌어진 경우나 불규칙한 정도가 심하지 않은 경우에는
부분설측교정으로 치료가 진행되는 경우도 있어요.


설측교정의 가장 큰 장점이라면 심미적인 장점이 있겠지만
부정교합이나 돌출입 등이 심한 경우에는
일반적인 교정에 비해 치료에 대한 이해도가 높고
경험이 풍부한 의료진에게 치료를 받는 것이 중요할 수 있는데요.

설측교정은 누구에게나 적합한 시술은 아니기 때문에
첫 번째로는 정밀 검진을 통해 치아뿐 아니라
골격, 교합, 얼굴형에 적합한 시술 계획을 세울 필요가 있어요.
3D CT 등의 첨단 장비를 이용하면 보다 정확하고
입체적으로 환자 개개인에게 적합한 시술 계획을 세울 수 있으며
보다 정교하고 미세한 조절이 필요한 시술일수록
경험 많은 의료진에게 사후관리까지 철저하게 받을 필요가 있는데요.

치아교정은 장기간의 치료를 예상해야 하고 시술 후 결과까지
잘 유지해야 하기 때문에 처음 치료 계획을 세우는 단계부터
하나씩 철저하게 준비하실 필요가 있어요.
심미적인 이유로 교정을 망설이는 분들이라면 투명교정이나
설측교정과 같은 방법으로 치료를 하는 것이 가장 우선이라고
생각되실 수 있으나 앞서 설명드린 것처럼 교정은
여러 가지 고려해야 할 점이 많기 때문에 정확한 검진부터
받아보시고 1:1 맞춤 치료 계획을 세울 필요가 있는데요.

현재 교정 치료에 대한 관심이 많다면 어떤 것부터 시작해야 할지
고민이 되실 텐데 나에게 맞는 교정 장치부터 예상 기간,
치료 방법 등에 대해서 정확한 검진으로 먼저 알아보시는 게 순서라고 할 수 있어요.
처음에는 걱정되는 마음에 여러 정보를 얻으려고 노력하실 수 있겠지만
개인마다 적합한 시술 계획이 다르다는 점을 고려하여
치과에 먼저 가보시고 의사에게 조언을 들어보신 후 결정해야 할 거예요
본 글은 콤비치과의 의료광고 포스팅이며
개인에 따라 출혈 및 부작용이 있을 수 있습니다.