명동콤비치과의원 (명동)
전체임플란트 신중하게 결정하려면
치아가 건강할 때는 잘 느끼지 못하지만 치아를 하나라도 잃게 되면 심미성도 문제지만 음식을 씹는 과정에 큰 불편함을 느낄 수밖에 없고 식사를 하는 즐거움도 잃게 되지만 음식을 제대로 씹지 못해서 발생하게 되는 장기적인 소화불량이나 턱관절 장애 등도 겪을 수 있는데요. 치아를 상실하게 되는 문제는 단지 치아 자체...
아카이브 요약
이 페이지의 역할
명동콤비치과의원 (명동)의 네이버 블로그 원문을 보존한 아카이브 페이지입니다. 치아스토리♡ 카테고리의 전체임플란트 신중하게 결정하려면 글을 통해 병원의 한국어 정보 제공 방식과 진료 관련 안내 톤을 확인할 수 있습니다.
치아가 건강할 때는 잘 느끼지 못하지만 치아를 하나라도 잃게 되면
심미성도 문제지만 음식을 씹는 과정에 큰 불편함을 느낄 수밖에 없고
식사를 하는 즐거움도 잃게 되지만 음식을 제대로 씹지 못해서
발생하게 되는 장기적인 소화불량이나 턱관절 장애 등도 겪을 수 있는데요.
치아를 상실하게 되는 문제는 단지 치아 자체만의 문제라고
보기는 어렵고 전신 건강과도 밀접하며 삶의 질과도 높은 연관성을 갖고 있어요.
젊은 20,30대만 하더라도 치아를 잃게 되는 원인이 보편적으로
충치나 사고로 인한 경우가 대부분이라면 중년 이후에는
치주질환으로 인해 치아를 잃게 되는 경우가 크게 늘고 있는데요.

치주질환이 심해지면 잇몸 뼈가 약해지면서 치아가 흔들리게 되고
치아의 뿌리가 견고하게 자리를 잡지 못하게 되기 때문에
겉으로 보기에 치아가 멀쩡해 보이더라도 잇몸과 잇몸뼈의 손상으로 인해서
치아를 한꺼번에 잃게 되는 안타까운 일이 발생할 수 있어요.
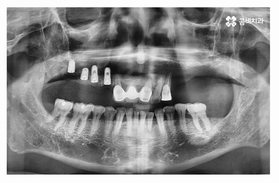
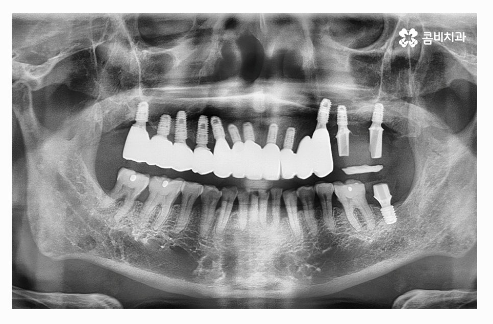
오늘 보여드릴 사례의 경우 치주질환과 염증으로 인해서 윗니를
모두 잃게 되어 전체임플란트 시술을 하게 된 사례라고 할 수 있는데요.

치주염이 심해지면 주변 잇몸까지 점점 안 좋아지다가
이번 사례처럼 한꺼번에 치아를 잃게 되는 상황이 발생할 수 있어요.
치아를 발치한 후 잇몸 뼈의 상태를 보면 잇몸이 내려앉아 있고
잇몸 뼈가 부족해진 상태라는 것을 알 수 있는데요.
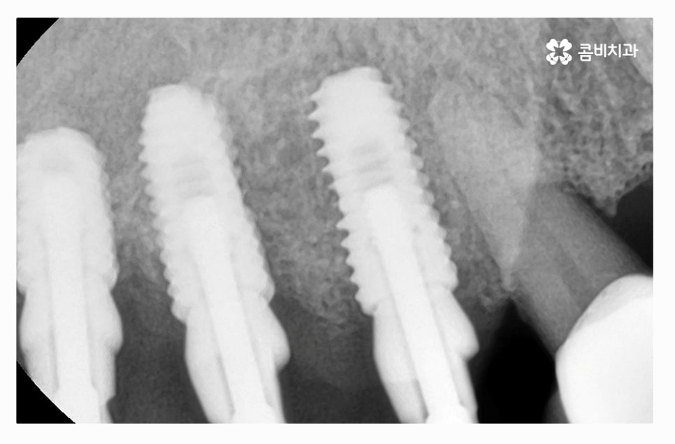
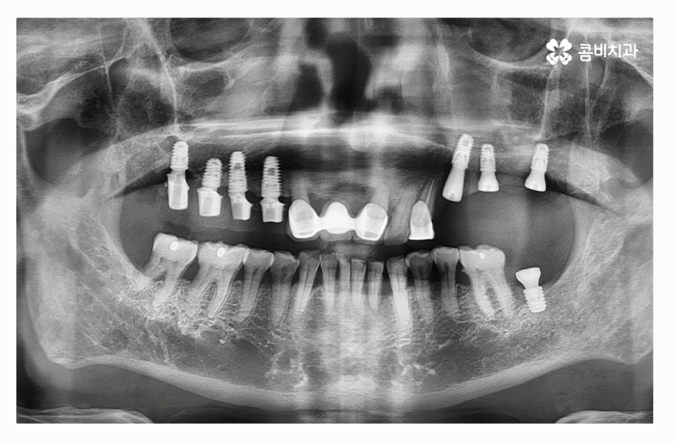
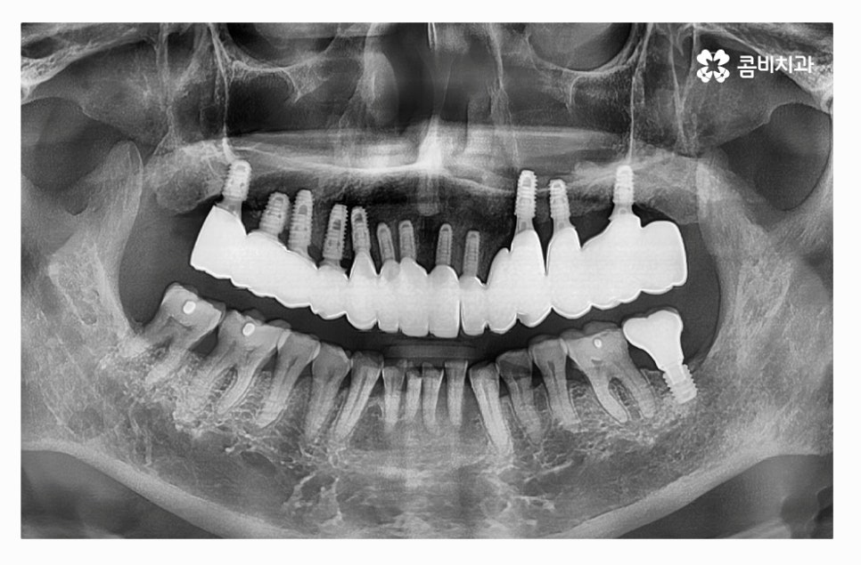
전체임플란트를 해야 할 때 주의사항은 잇몸을 최대한 보존하고
임플란트를 한꺼번에 식립해야 하기 때문에 3D CT 등을 활용한
정밀검진부터 철저하게 해야 하고 식립 각도 하나하나에
철저해야 하기 때문에 의료진의 경험과 실력이 중요한 시술이라 할 수 있어요.


과거에는 치아를 한꺼번에 상실한 경우 틀니를 하는 경우도
많았지만 요즘은 대부분 전체임플란트 시술을 통해서
심미성과 함께 저작력을 회복시키고 있는데요.
임플란트 치료 과정에 있어서 비용도 중요하겠지만
저작력과 함께 치아 기능의 건강한 회복이 중요하기 때문에
전체임플란트는 잇몸뼈의 상태와 환자분의 연령,
전신 건강 상태까지 꼼꼼하게 체크할 필요가 있어요.


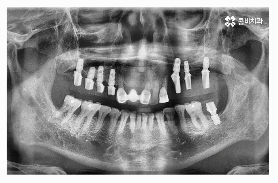
전체임플란트의 장점은 자연치아의 심미성과 매우 흡사하며
수명이 길고 저작력이 자연치아와 거의 비슷하다는 장점이 있지만
단점은 높은 비용이라고 할 수 있는데요.
비교적 저렴한 비용으로 시술이 가능한 틀니로 비교를 한다면
저작력이 약하면서 탈락이 될 우려와 관리가 어렵고
시간이 흐르면서 입천장 경조직 부분이 연해지면서 변형이 되기도 하고
점점 잇몸뼈가 흡수되어 내려가고 얇아진다는
단점을 비교한다면 전체임플란트 치료는 장기적으로 볼 때
오히려 경제적인 측면도 존재하고 있어요.


전체임플란트 시술은 개개인에 따라 잇몸 상태가 다르고
식립하는 부위부터 전신 질환의 유무, 연령, 구강관리 능력과
음주 및 흡연 등에 따라서 수명이 달라질 수 있는데요.
여러 치아를 잃게 된 원인이 치주염에 의한 경우이고
당뇨나 고혈압과 같은 전신질환이 있다면
보다 섬세한 치료와 의사의 노하우가 필요하다고 볼 수 있어요.


만성치주염 환자분들의 경우 치아를 한꺼번에 발치한 후에
전체임플란트 치료 과정을 거치는 것 자체가
고난도의 시술이며 비용도 만만치 않지만
치료를 안전하게 마무리하고 수명을 오랫동안
건강하게 유지하는 것이 무엇보다 중요하다고 할 수 있는데요

임플란트의 치료 기간은 개개인의 잇몸과 구강 상태 등에 따라
다르며 임플란트와 잇몸 뼈가 튼튼하게 결합이 돼야 하기 때문에
빠르고 저렴한 방법이 우선시 되기보다는 개개인의
건강 상태를 충분히 고려하고 정품 사용은 기본이며
전체임플란트 수명을 오랫동안 유지하도록 치과 선택에
있어서도 믿고 찾을 수 있는 치과를 선택할 필요가 있어요.
본 글은 콤비치과의 의료광고 포스팅이며
개인에 따라 출혈 및 부작용이 발생할 수 있습니다.
더 보기
이 병원의 공개 콘텐츠를 계속 살펴보세요
출처 아카이브로 돌아가 더 많은 글을 보거나, 병원 프로필로 이동해 다른 공개 채널도 함께 비교해보세요.