명동콤비치과의원 (명동)
누운사랑니발치 언제 뽑을지 고민이라면
사랑니는 구강구조로 볼 때 치열의 맨 끝에서 자라다 보니 평소 관리가 어려워서 충치가 발생하기 쉽고 나이가 들수록 잇몸질환, 치석으로 인한 염증으로 입 냄새를 유발할 수 있는데요. 일반적으로 평소에 구강관리가 잘 안 돼서 발치로 이어지는 경우도 많지만 현대인들은 턱뼈가 좁아서 사랑니가 정상적으로 맹출이 되지 않...
아카이브 요약
이 페이지의 역할
명동콤비치과의원 (명동)의 네이버 블로그 원문을 보존한 아카이브 페이지입니다. 치아스토리♡ 카테고리의 누운사랑니발치 언제 뽑을지 고민이라면 글을 통해 병원의 한국어 정보 제공 방식과 진료 관련 안내 톤을 확인할 수 있습니다.
사랑니는 구강구조로 볼 때 치열의 맨 끝에서 자라다 보니
평소 관리가 어려워서 충치가 발생하기 쉽고 나이가
들수록 잇몸질환, 치석으로 인한 염증으로 입 냄새를 유발할 수 있는데요.
일반적으로 평소에 구강관리가 잘 안 돼서 발치로 이어지는 경우도
많지만 현대인들은 턱뼈가 좁아서 사랑니가
정상적으로 맹출이 되지 않아 매복 혹은 누운사랑니발치
때문에 치과를 찾는 경우가 늘고 있어요.
이처럼 잇몸 속에 숨어 있거나 누워서 자라는 사랑니의 경우
사랑니 존재 여부조차 모르다가 검진을 통해서
알게 되는 경우가 많은데 단지 매복되어 있다고 해서
무조건 발치를 해야 하는 것은 아니지만 옆으로 누워서
자라거나 잇몸 아래 매복되어 있는 경우 등에는
잇몸질환을 유발하거나 턱뼈에 낭종을 만드는 경우도 있어요.


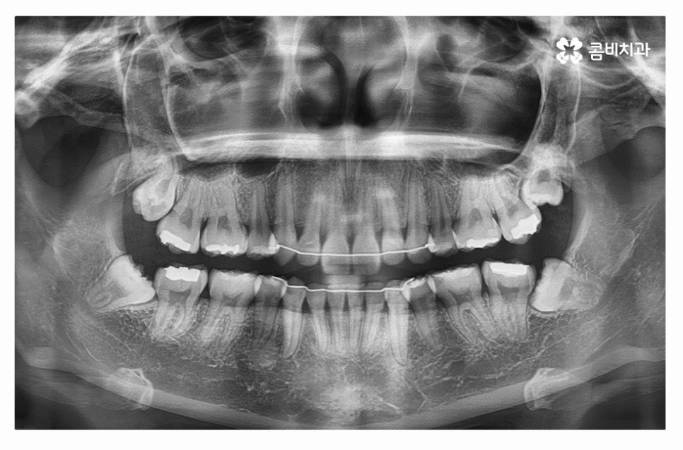
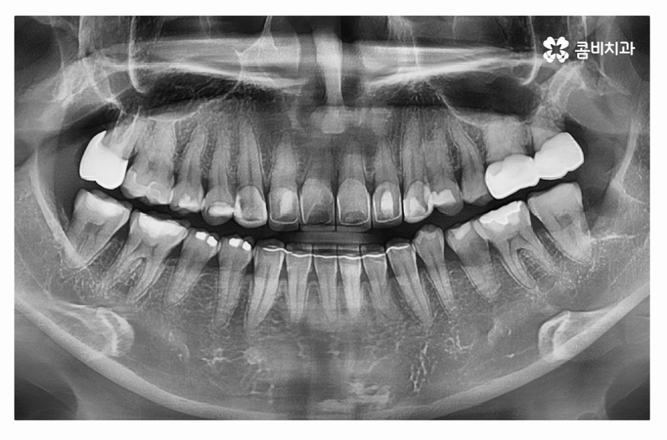
누운사랑니발치 사례를 보면서 설명을 듣는다면 더욱 이해가
잘 되실 텐데 위 사진처럼 사랑니가 어금니 방향으로
자라고 있는 경우에는 치아 사이 충치를 유발하거나
잇몸질환의 원인이 될 수도 있는데요.
이처럼 사랑니가 치아 본래의 기능을 하지 못하고 관리가
어려운 경우에는 사랑니의 뿌리가 깊어지기 전에 발치를 해야 할 수 있어요.

누운사랑니발치의 경우 일반적인 사랑니 발치보다 치료 난이도가
높은 편이기 때문에 고난도 발치에 해당하는 경우
대학병원에 가야 하는 경우도 있지만 우선해야 할 점이라면
사랑니를 3D CT를 활용하여 정확하게 검진해야 하고
누운 사랑니 발치에 대한 이해도가 높고 경험이 풍부한 의사를
찾는 것이 좋으며 해당 진료와 관련된 전문의 자격증이 있는
의료진을 찾는 것도 좋은 방법이라고 할 수 있어요.


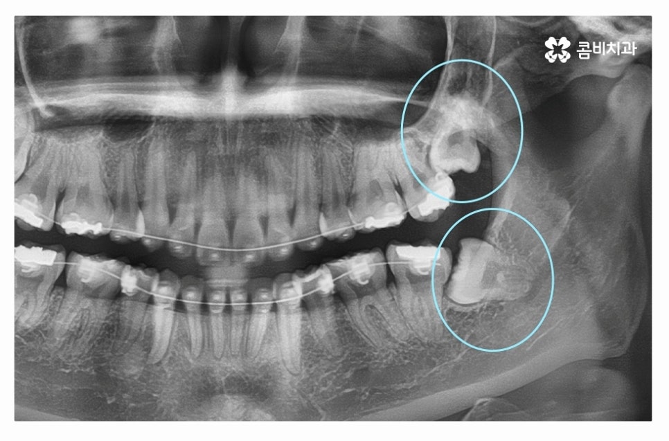
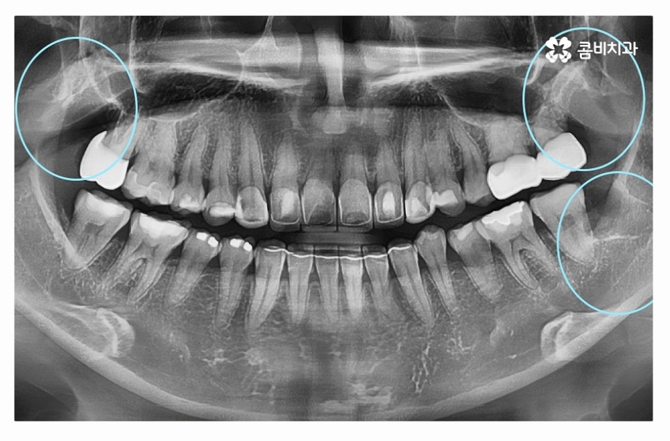
다음 사례를 살펴보면 위 사례와 마찬가지로 사랑니가 정상적으로
맹출 되어 있지 않고 어금니 뿌리 쪽으로 자라고 있는데요
위 환자분의 경우 사랑니와 어금니 사이에 충치가 발생하여
어금니 손상까지 (엑스레이상 좌측 위 사랑니) 유발된 사례라고 할 수 있어요.
사랑니의 경우 발치를 하면 되지만 어금니는 평생 지켜야 한다는 점에서
치아 수명이 줄어들게 되니 안타까운 상황이라고 할 수 있는데요.




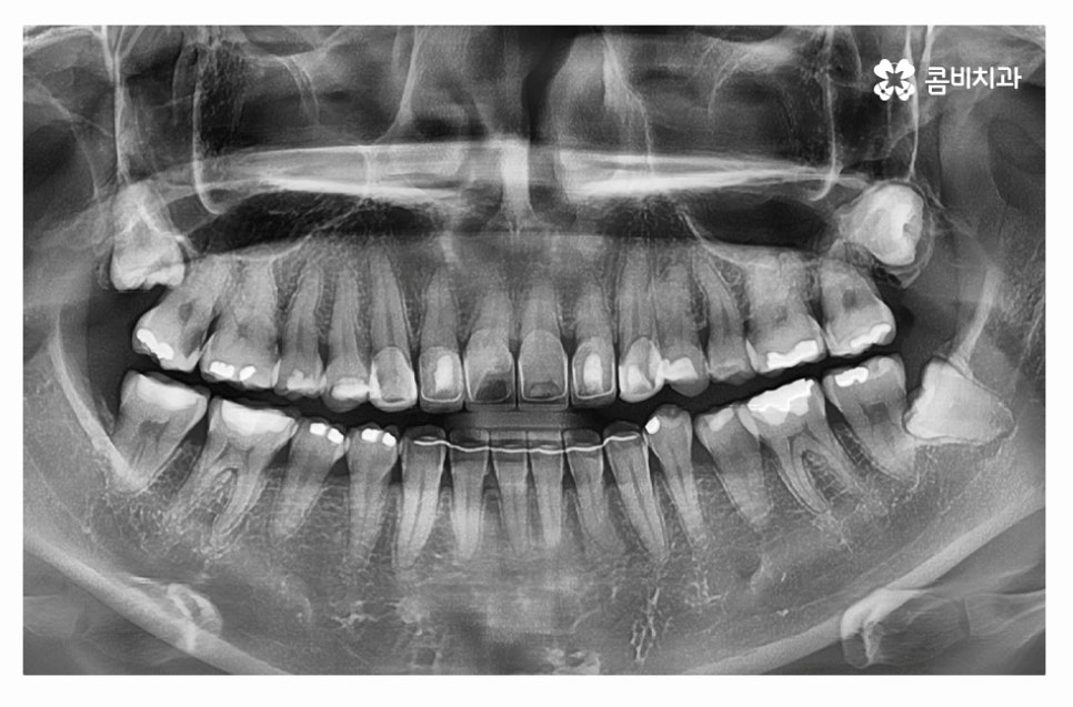
사랑니로 인해 충치가 발생한 좌측 위 사랑니도 발치를 진행했지만
우측 사랑니도 위치가 좋지 않아서 누운사랑니발치 진행하였고
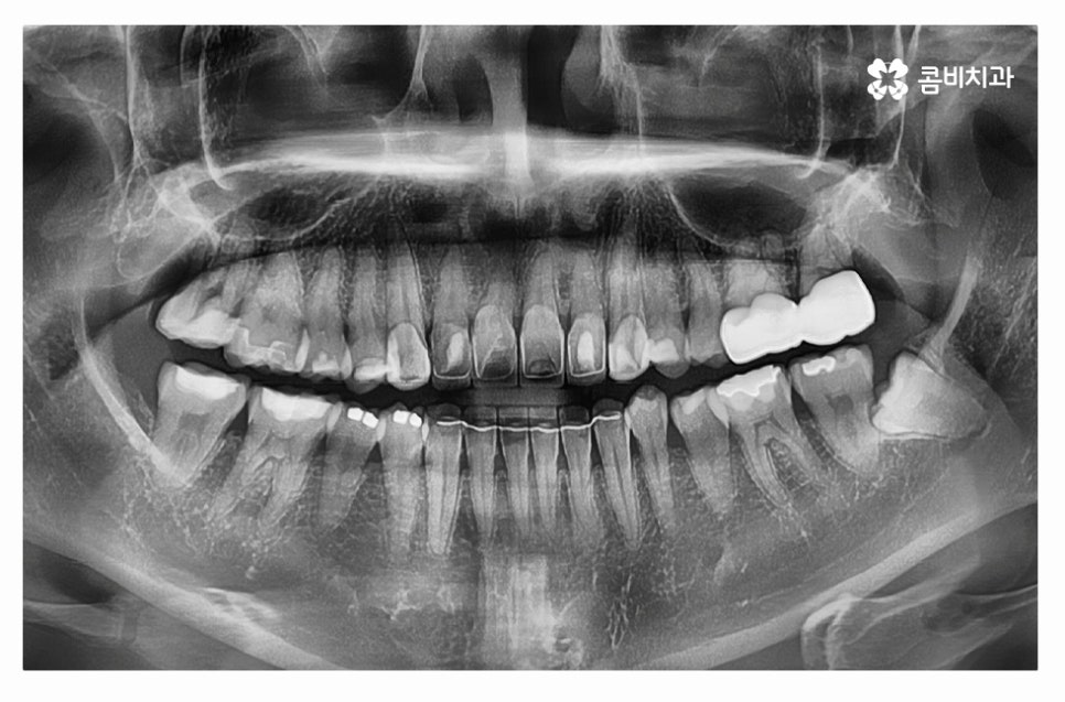
사랑니로 인해 충치가 발생된 어금니의 경우 크라운 치료를
해야 했던 만큼 사랑니는 주기적으로 검진이 필수라고 할 수 있어요.

현대인들은 나날이 턱뼈가 좁아지고 있고 사랑니 자체가
아예 자라지 않는 경우도 있지만 현실적으로는
매복 혹은 누운 사랑니 발치해야 하는 분들이 늘고 있는데요.
발치를 해야 한다면 당장 두렵게 느껴지는 분들도 많겠지만
오늘 사례에서 보신 것처럼 어금니에 충치나 잇몸질환 등을
유발할 수 있는 만큼 매년 주기적으로 검진 받는 것을 실천하고
스케일링을 받는 것이 중요하다고 할 수 있어요.
사랑니 발치를 하는 것이 좋겠다고 치과 의사의 소견이 있으셨다면
너무 늦지 않게 시술받는 것이 좋으며
사랑니는 발치도 잘해야 하지만 회복 기간도 중요하다는 점에서
잇몸이 건강한 상태에서 치과를 찾는 것이 유리하다고 할 수 있어요.
본 글은 콤비치과의 의료광고 포스팅이며
개인에 따라 출혈 및 부작용이 발생할 수 있습니다.
더 보기
이 병원의 공개 콘텐츠를 계속 살펴보세요
출처 아카이브로 돌아가 더 많은 글을 보거나, 병원 프로필로 이동해 다른 공개 채널도 함께 비교해보세요.