아카이브 요약
이 페이지의 역할
명동콤비치과의원의 네이버 블로그 원문을 보존한 아카이브 페이지입니다. 치아스토리♡ 카테고리의 콤비교정 올바르게 판단하려면 글을 통해 병원의 한국어 정보 제공 방식과 진료 관련 안내 톤을 확인할 수 있습니다.
원문 검증
필요하면 원문 블로그와 병원 프로필로 바로 이동해 문맥을 다시 확인할 수 있습니다.
출처 아카이브 열기아카이브된 블로그 글
명동콤비치과의원 · Naver Blog
요즘은 일반인들도 주기적으로 자신의 외모를 가꾸기 위해 평소 홈케어에도 적극적이고 운동 등의 노력뿐 아니라 적절한 시술을 찾아 도움을 받는 분들도 늘고 있는데요. 외모를 잘 가꾸고 좋은 인상으로 개선하는 것이 경쟁력이라는 인식이 높아지면서 성인 이후에 치아교정을 시작하는 사례도 늘어나고 있어요. 치열의 변화...
게시일
2021년 9월 25일
원문 기준으로 확인된 발행일입니다.
카테고리
치아스토리♡
원문 블로그 카테고리를 정리해 함께 표시합니다.
이미지 수
13
현재 아카이브에 연결된 이미지 수입니다.
아카이브 요약
명동콤비치과의원의 네이버 블로그 원문을 보존한 아카이브 페이지입니다. 치아스토리♡ 카테고리의 콤비교정 올바르게 판단하려면 글을 통해 병원의 한국어 정보 제공 방식과 진료 관련 안내 톤을 확인할 수 있습니다.
원문 검증
필요하면 원문 블로그와 병원 프로필로 바로 이동해 문맥을 다시 확인할 수 있습니다.
출처 아카이브 열기요즘은 일반인들도 주기적으로 자신의 외모를 가꾸기 위해
평소 홈케어에도 적극적이고 운동 등의 노력뿐 아니라
적절한 시술을 찾아 도움을 받는 분들도 늘고 있는데요.
외모를 잘 가꾸고 좋은 인상으로 개선하는 것이
경쟁력이라는 인식이 높아지면서 성인 이후에
치아교정을 시작하는 사례도 늘어나고 있어요.
치열의 변화만으로도 인상이 바뀌는 것을
느낄 수 있지만 치아교정은 치열뿐 아니라
외모적인 변화를 위해서도 많은 분들이 찾고 있는데요.
교정 치료를 망설이는 이유 중에 교정 장치로 인한 심미적인
부담감으로 인해 포기하셨거나 현재 직업적인 이유 등으로
교정 장치에 대한 부담감을 느끼셨다면 심미성에
중점을 둔 치료 방법인 콤비교정이나 설측교정에 대해
알아보신다면 많은 도움이 되실 거예요.

오늘은 콤비교정의 사례를 보여드리고자 하며
콤비교정에 대해 간단히 설명드리자면
윗니는 교정 장치를 치아 안쪽으로 부착으로 하고
아랫니는 치아 바깥쪽으로 부착하는 교정 방법이라고 할 수 있어요.
서비스직이나 모델 등의 직업을 갖고 계신 분들의 경우
교정 장치가 외부에 드러나는 것에 대한 부담을
갖고 계신 분들이 많은데 사람이 웃을 때 윗니가 위주로
보인다는 점에서 콤비교정은 심미적이며
아랫니는 일반교정을 하기 때문에 발음이나 이물감이
덜하고 비용적인 측면에서도 이점이 있는데요.


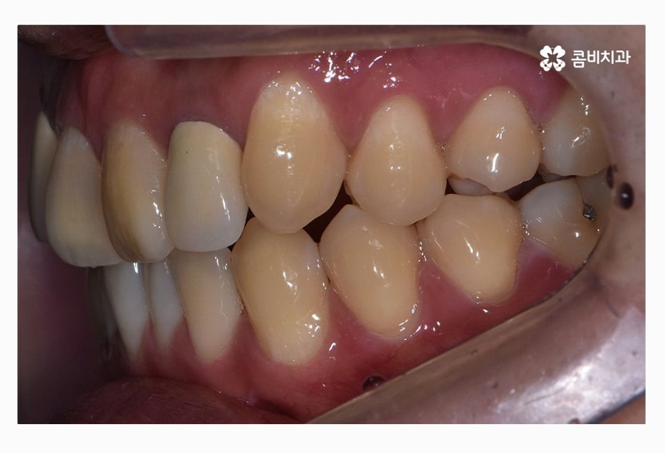
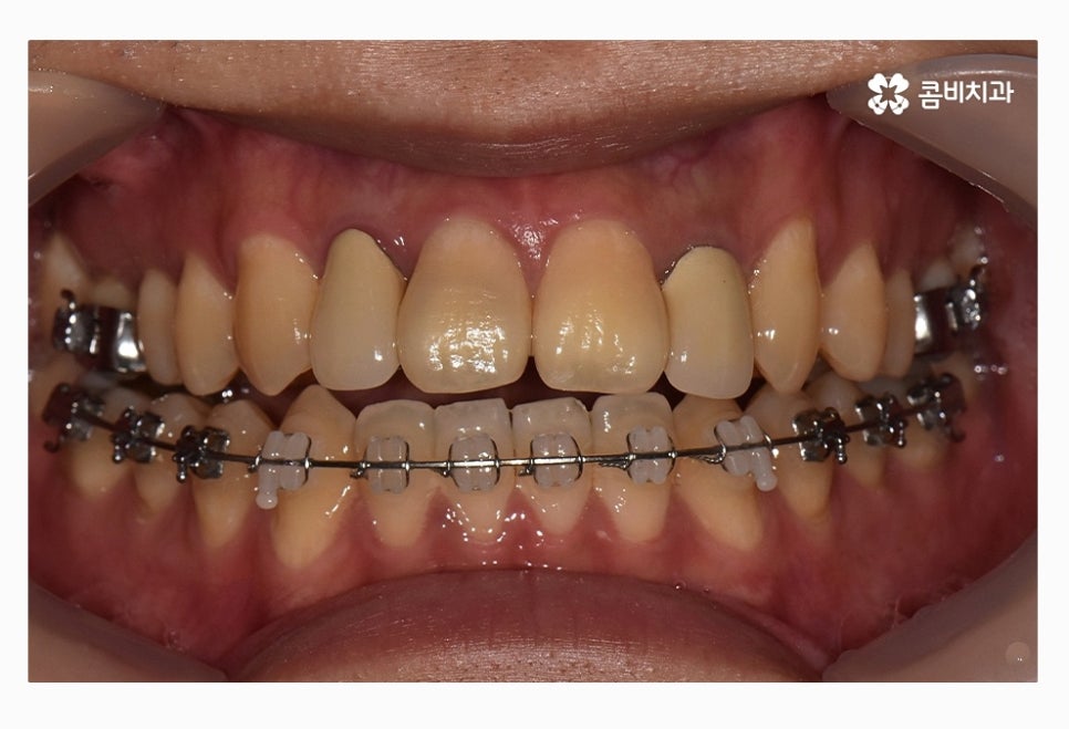
위 환자분의 경우 치열을 볼 때 정면에 비해서 측면으로 보면
앞니가 삐뚤어져 있는 것이 눈에 띄며 교합이 맞지 않아
윗니가 아랫니를 정상적으로 덮지 못하고 있는 상태이며
치아의 이동 공간 및 교합 등으로 볼 때 비발치로
치료가 가능했던 사례라고 할 수 있어요.


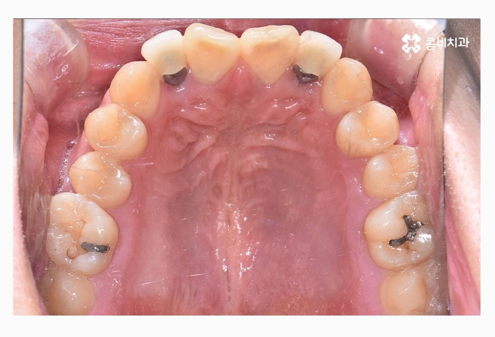
좌측 사진이 윗니이며 우측 사진이 아랫니인데
윗니가 치열이 좀 더 삐뚤다는 것을 알 수 있어요.

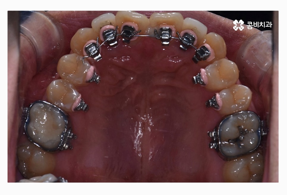
콤비교정이 시작된 후 사진이며 윗니는 교정 장치가 눈에 띄지
않는다는 점이 콤비교정의 특징이라고 할 수 있는데요.
평소에 입을 크게 벌리거나 크게 웃지 않는다면
외부에 교정을 하고 있다는 사실에 대해
거의 티가 나지 않을 정도로 심미성이 우수한 치료라고 할 수 있어요


윗니와 아랫니 모두 설측교정으로 진행하게 되면
심미적으로는 더 우수하겠지만 콤비교정에 비해서
비용이 높고 아랫니는 혀가 위치하고 있기 때문에
이물감과 발음 상의 불편함을 더 느낄 수 있어요.
고민이 되신다면 각 교정 방법마다 장단점, 특징이 다르기 때문에
환자 개인의 현재 상황과 치열 상태, 구강 구조 등을
의사와 잘 상의하셔서 조언을 구해보는 것이 필요할 거예요.
어떤 교정 장치를 고를지 고민되실 때 정밀 검진을 먼저
받아보셔야 하는데 개개인에 따라 보다 적합한 치료 방법이
다를 수 있고 특정 교정 방법을 원하셔도 치료가
불가능한 경우도 있기 때문에 1:1 진단이 먼저라고 할 수 있어요.


위 사진을 다시 한번 자세히 보면 윗니는 치아의 안쪽에
교정 장치가 부착이 되어 있는 모습이며
아랫니는 일반적인 교정 방법으로 장치가 부착되어 있어요.
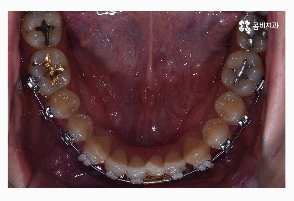
위 사진은 교정 장치를 부착한 초기 사진이며
아래는 콤비교정 진행하고 약 1년 정도 지난 후 사진이라고 할 수 있는데요.



윗니에서 앞니가 유독 삐뚤어져 있던 상황이었는데
반듯하게 자리를 잡아가고 있으며 아랫니에서도
삐뚠 부분이 있었는데 가지런하게 자리를 잡아가고 있어요.
치아교정 기술은 나날이 발달되고 있고 교정 장치 역시도
다양해지고 있는데 콤비교정은 윗니와 아랫니의
치료 방법이 다르기 때문에 해당 치료에 대한 이해도는 물론
경험과 실력을 잘 갖춘 의사를 선택하실 필요가 있는데요.
처음 치료가 진행된 후에 마무리까지 의사가 바뀔 우려가
없는지 잘 체크해야 하겠고 교정 장치를 풀어낸 후
유지관리까지 생각하더라도 오랫동안 믿고 찾을 수 있는
치과를 꼼꼼하게 따져보실 필요가 있어요.
본 글은 콤비치과의 의료광고 포스팅이며
개인에 따라 출혈 및 부작용이 발생할 수 있습니다.