아카이브 요약
이 페이지의 역할
명동콤비치과의원의 네이버 블로그 원문을 보존한 아카이브 페이지입니다. 치아스토리♡ 카테고리의 사랑니 충치 현명하게 접근하려면 글을 통해 병원의 한국어 정보 제공 방식과 진료 관련 안내 톤을 확인할 수 있습니다.
원문 검증
필요하면 원문 블로그와 병원 프로필로 바로 이동해 문맥을 다시 확인할 수 있습니다.
출처 아카이브 열기아카이브된 블로그 글
명동콤비치과의원 · Naver Blog
사랑니가 자라는 시기는 일반적으로 20살 전후라고 할 수 있는데 성인 이후에 한 번쯤은 사랑니 발치에 대한 고민을 하게 될 수 있어요. 특히 사랑니 주변에 통증을 느끼게 되면 발치가 필요한지 고민이 되다가도 막상 치과에 가는 것은 겁이 날 수 있는데요. 사랑니 통증은 참고 참다가 나중에 극심해져서 치과를 찾...
게시일
2021년 10월 7일
원문 기준으로 확인된 발행일입니다.
카테고리
치아스토리♡
원문 블로그 카테고리를 정리해 함께 표시합니다.
이미지 수
10
현재 아카이브에 연결된 이미지 수입니다.
아카이브 요약
명동콤비치과의원의 네이버 블로그 원문을 보존한 아카이브 페이지입니다. 치아스토리♡ 카테고리의 사랑니 충치 현명하게 접근하려면 글을 통해 병원의 한국어 정보 제공 방식과 진료 관련 안내 톤을 확인할 수 있습니다.
원문 검증
필요하면 원문 블로그와 병원 프로필로 바로 이동해 문맥을 다시 확인할 수 있습니다.
출처 아카이브 열기사랑니가 자라는 시기는 일반적으로 20살 전후라고 할 수 있는데
성인 이후에 한 번쯤은 사랑니 발치에 대한 고민을 하게 될 수 있어요.
특히 사랑니 주변에 통증을 느끼게 되면 발치가 필요한지
고민이 되다가도 막상 치과에 가는 것은 겁이 날 수 있는데요.
사랑니 통증은 참고 참다가 나중에 극심해져서 치과를
찾게 된다면 사랑니뿐 아니라 주변 치아와 잇몸에도
안 좋은 영향을 줄 수 있기 때문에 정확한 진단이 중요하다고 볼 수 있어요.

사랑니 통증을 유발하는 원인은 일반적으로 사랑니 충치 자체가
원인이 되는 경우도 많지만 사랑니 치아 사이 공간으로 인해
관리가 잘 안돼서 썩는 경우부터 주변 잇몸에 염증이
발생하는 경우 등 다양한 문제가 발생할 수 있는데요.

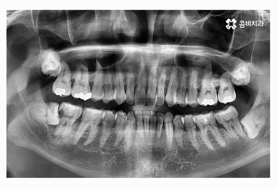
위 사진에서 보시는 것처럼 사랑니가 누워서 자라는 사례는
턱뼈가 좁은 한국인들에게 자주 나타나는 사례이며
음식물이 치아 사이에 끼거나 치석이 쌓이기 쉽기 때문에
청결 관리 미흡으로 인한 구강질환이 발생할 수 있어요.
사랑니가 누워서 자라는 경우에는 청결 관리를 떠나서
어금니 쪽으로 사랑니가 자라면서 주변에 염증을 발생시킬 우려도
있고 턱뼈 손상으로 이어지는 경우도 있기 때문에
사랑니 충치와는 무관하게 발치가 필요할 수 있는데요.

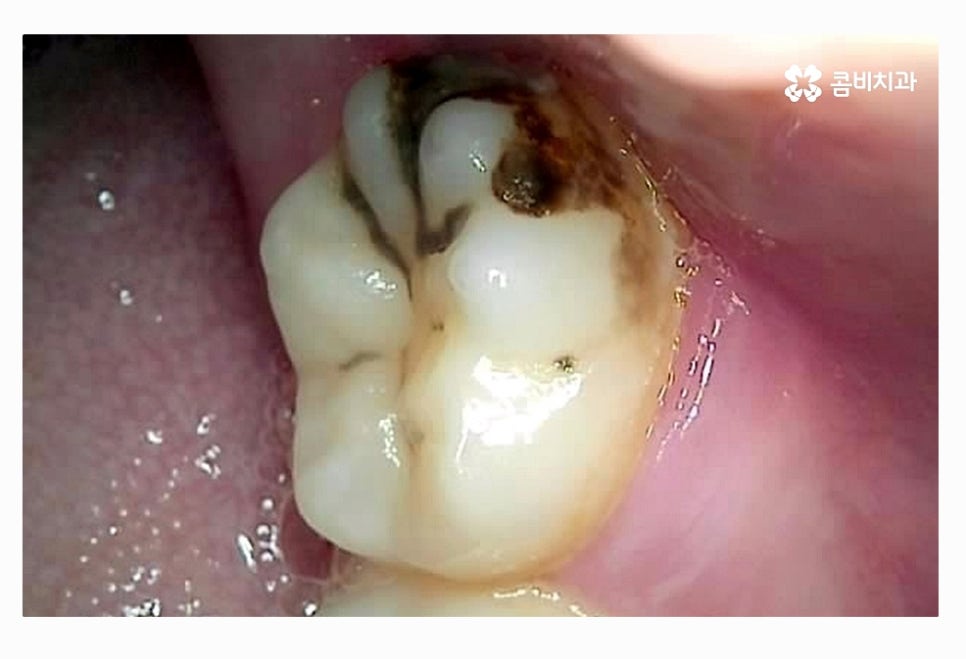
사랑니가 매복이 된 상태에서 위 사진처럼 부분적으로 돌출이 되어
사랑니 충치 심해지는 경우도 많고 주변 잇몸이 붓고
염증이 심해져서 잇몸에도 안 좋은 경우가 많이 있어요.
이처럼 사랑니 충치 심해지는 경우에 통증이나
입 냄새 등도 문제겠지만 멀쩡한 어금니 수명을 줄어들게
만들기도 하며 충치 전염, 치주질환 등으로
주변 치아에 안 좋은 영향을 주는 경우도 있는데요.

한국인들은 매복 사랑니로 고생하는 사례도 많지만
정상적으로 사랑니가 맹출 된 경우에도
구강관리가 잘 안되면 사랑니 충치 때문에
결국 발치하게 되는 사례도 많다고 할 수 있어요.
위 환자분처럼 사랑니가 정상적인 위치에서 맹출이 되었다면
청결 관리를 잘한다면 사랑니는 꼭 무조건 발치를
해야 하는 것은 아니지만 사랑니 자체가 치아 중에서도
가장 안쪽에 위치하고 치석 등이 쌓이기 쉽기 때문에
평소 칫솔질을 꼼꼼하게 하더라도 썩기 쉬울 수 있는데요.



이미 사랑니 충치 심해진 상태라면 일반적인 충치 치료를
하는 경우보다는 대부분 발치를 한다고 볼 수 있어요.
물론 초기 충치의 경우 치료가 간단하기 때문에 치료를 하는 경우도
있지만 앞으로도 관리가 어려울 것으로 예상이 되거나
저작기능에 기여를 하지 않는다면 발치를 하는 것이
일반적인 상황이라 할 수 있어요.

사랑니 주변에 통증이 느껴질 경우 눈으로 잘 확인이 안되기
때문에 사랑니 충치 아닌지 고민을 하다가 치료를 미루는 경우도 있는데요.
오늘 여러 사례에서 보신 것처럼 사랑니는 다양한 형태로 자라며
꼭 충치가 아니더라도 구강 건강에 악영향을 주는 사례가
많기 때문에 당장 발치를 하는 것을 고민하기보다는
주기적으로 사랑니 상태를 검진하고 스케일링을 통해
청결 관리를 잘하는 것이 큰 문제로 이어지는 일을 막을 수 있어요.


사랑니의 위치와 자라는 방향이 좋지 않은 경우에
평생 건강하게 지켜야 할 어금니의 손상과 수명을
줄어들게 할 수 있기 때문에 발치 시기를 미루지 말고
필요한 경우 의사와 잘 상의하셔야 하며
사랑니 발치는 시술 자체도 중요하지만 시술 후
회복도 건강하게 거쳐야 하기 때문에
충치나 치주 질환이 심해진 상태에서 진행하기보다는
적절한 치료 시점을 잘 선택하는 것이 중요할 수 있어요.
본 글은 콤비치과의 의료광고 포스팅이며
개인에 따라 출혈 및 부작용이 발생할 수 있습니다.