명동콤비치과의원 (명동)
덧니교정 체계적으로 준비하려면
덧니는 일반적으로 유치가 제때 빠지지 않은 경우나 영구치가 맹출 되는 시기에 공간이 부족해서 치아가 밀리거나 겹치는 경우에 나타나는 증상이라고 할 수 있으며 치아의 크기가 유독 크거나 턱뼈가 좁은 경우, 손가락을 빠는 습관 등으로 인해서도 나타나고 유전적인 요인으로 인해 덧니가 발생할 수 있어요. 덧니의 경우...
아카이브 요약
이 페이지의 역할
명동콤비치과의원 (명동)의 네이버 블로그 원문을 보존한 아카이브 페이지입니다. 치아스토리♡ 카테고리의 덧니교정 체계적으로 준비하려면 글을 통해 병원의 한국어 정보 제공 방식과 진료 관련 안내 톤을 확인할 수 있습니다.
덧니는 일반적으로 유치가 제때 빠지지 않은 경우나
영구치가 맹출 되는 시기에 공간이 부족해서
치아가 밀리거나 겹치는 경우에 나타나는 증상이라고 할 수 있으며
치아의 크기가 유독 크거나 턱뼈가 좁은 경우, 손가락을 빠는 습관 등으로
인해서도 나타나고 유전적인 요인으로 인해 덧니가 발생할 수 있어요.
덧니의 경우 매력 포인트로 여기는 분들도 있고 교합에
큰 문제가 없을 정도로 덧니가 심하지 않은 경우에는
일상생활에 큰 지장을 느끼지 않아서 그대로 두는 경우도 있지만
심미적으로 불만족을 느끼고 스트레스를 받는 분들과
덧니 사이에 음식물을 자주 껴서 구강질환의 요인이 되는 경우,
덧니로 인한 부정교합이 있는 분들의 경우에는 덧니교정이 필요할 수 있어요


덧니교정을 고민할 때 많은 분들이 궁금해하시는 부분 중에 하나는
덧니교정을 위해서 발치가 꼭 필요한지 여부라고 할 수 있는데요.
과거에는 덧니 교정을 진행할 때 많은 경우에 발치를 했기 때문에
여전히 발치를 꼭 해야 한다는 인식을 갖고 계신 분들도 있지만
요즘은 의술의 발달과 비발치 교정으로도 좋은 결과를 얻은 경우가
많기 때문에 비발치로도 교정이 가능한 사례가 늘고 있어요.
물론 정밀 검진을 받은 후에 정확한 치료 계획을 세울 수 있기 때문에
치과에서 3D CT 등을 활용하여 정밀검진과 의사와의 상담이 필요하지만
검진도 받기 전에 너무 고민하실 필요는 없을 거예요.


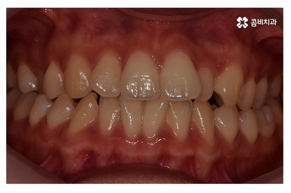
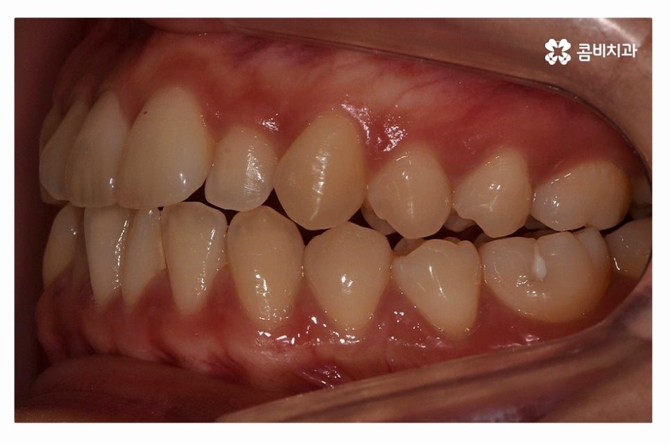
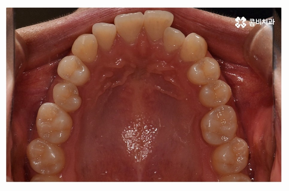
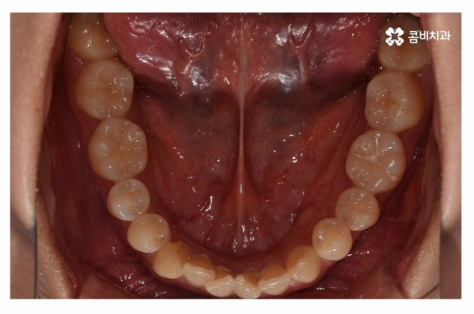
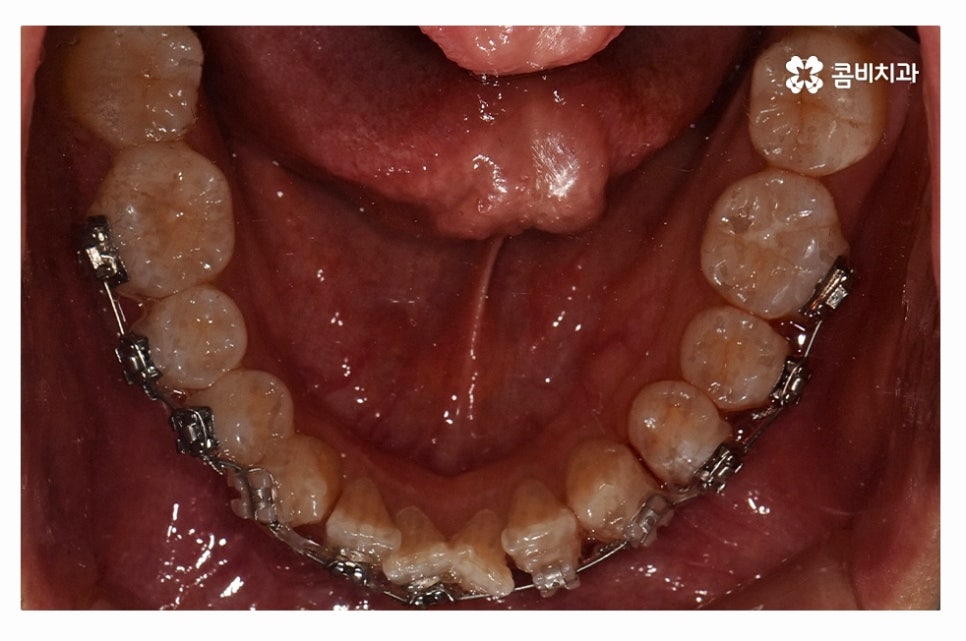
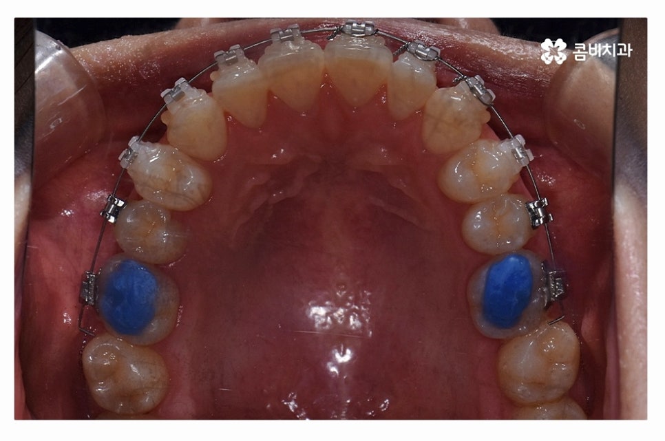
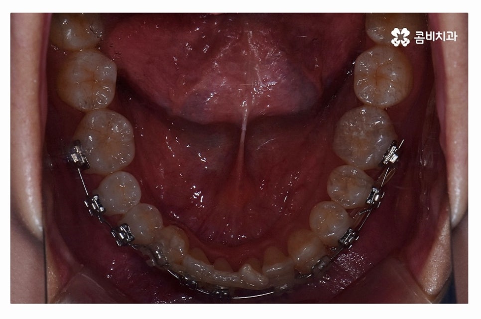
오늘 보여드릴 사례도 덧니교정이 비발치로 진행이 된 사례이며
치아의 이동 공간과 치아 상태, 골격, 얼굴형 등을
종합적으로 판단할 때 비발치로도 진행이 가능했던 사례라고 할 수 있어요.
물론 발치가 필요한 사례도 있는데 치간 삭제 만으로는
치아 공간의 확보가 어렵거나 돌출입을 개선하기 위해서
발치를 하는 것이 보다 나은 경우도 있기 때문에
발치 여부 자체가 무조건 좋고 나쁘고를 판단할 수 있는 기준은
아니지만 불필요한 발치는 교정 기간을 오래 걸리게 하고
부작용이 발생할 수 있으므로 정확한 검진을 통해
치료 계획을 잘 세울 필요가 있어요.


교정 장치의 선택에 있어서는 다양한 교정 장치의 선택이 가능한데
심미성이 강조된 설측교정부터 콤비교정,
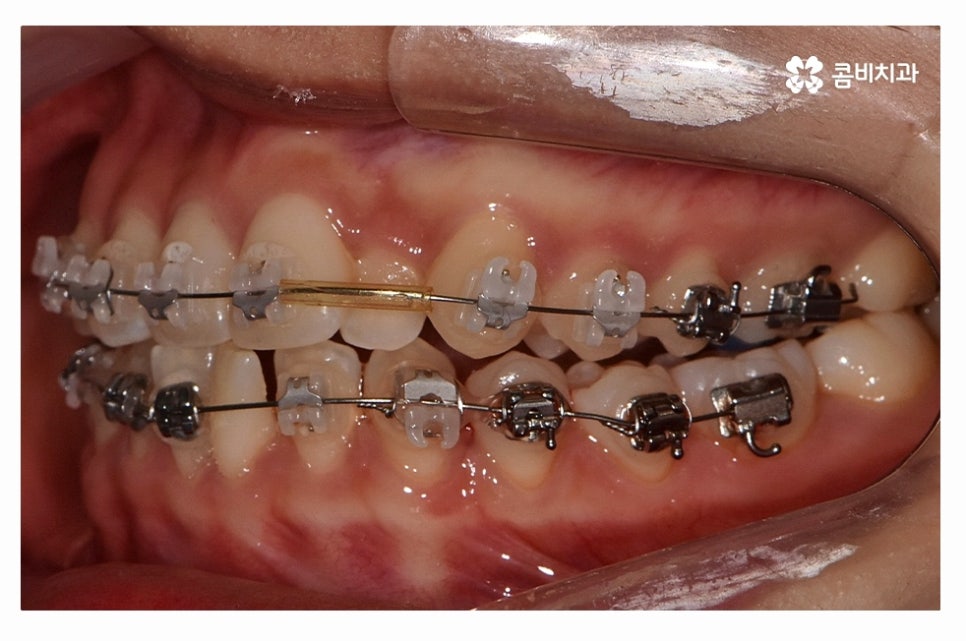
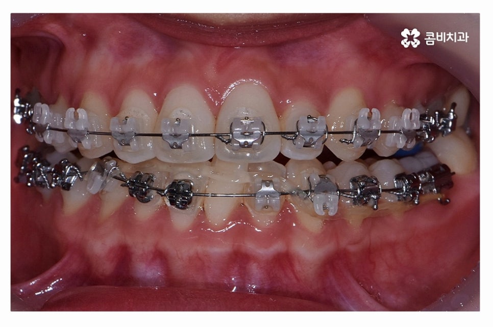
위 환자분의 사례처럼 클리피씨교정이 보편적으로 많이 활용되고 있는데요.
클리피씨교정은 치아의 이동이 일반 장치에 비해 상대적으로
빠르기 때문에 치료 기간이 단축될 수 있으며
통증의 감소, 내원 횟수를 줄일 수 있다는 장점 등이 있어요.


덧니를 개선하려면 환자분들에 따라 골격부터 치아 구조 등을
정확히 파악해야 하며 치열이 이동하면서 바뀌게 되는 교합이나
얼굴 변화에 대해서도 종합적으로 예측하고 치료할 필요가 있는데요.
치아교정은 치열을 가지런하게 만드는 목적도 크겠지만
자신의 얼굴과 잘 어울려야 하고 치료 과정에서
치아를 건강하게 잘 지키고 치료 후에도 결과가 잘 유지되도록
치료 계획부터 마무리까지 철저하게 따져보실 필요가 있어요




덧니교정을 시작하면서 부담을 느낄 수 있는 부분은 통증에 대한 부분도
클 수 있는데 치아가 이동하면서 발생되는 통증이나
교정 장치로 인한 불편함, 발음상의 어려움 등이 대표적이라고 할 수 있어요.
이러한 불편함도 환자분들에 따라 느끼는 예민함이나 어려움은
다소 차이가 있겠지만 최근 교정 장치의 발달로 인해서
이러한 불편함은 많은 부분 해소되고 있으며 무엇보다
장기간의 치료를 받아야 하는 만큼 불편함이 있다면 치과의사와
잘 소통하면서 치료를 처음부터 끝까지 안전하게
진행되어야 한다는 점도 중요한 체크 사항이라고 할 수 있어요.

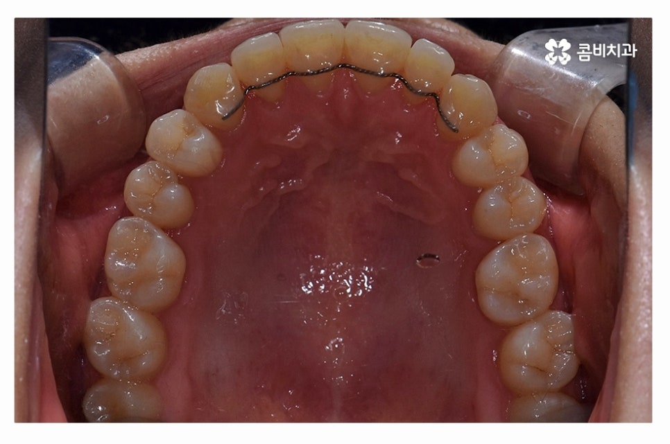
치아교정은 교정 장치를 풀어내면 모두 끝나는 것이 아니라
치아와 잇몸이 자리를 잘 잡도록 사후관리를 잘해야 하며
결과가 잘 유지되도록 주의사항을 잘 지키면서
주기적으로 검진을 하는 것이 중요할 수 있는데요.

덧니교정은 처음 치과 치료를 받겠다는 결심을 하는 것도 쉽지 않지만
정확한 치료 계획을 세우는 것부터 마무리까지
모든 과정이 장기간이고 치과의사와의 소통이 중요하기 때문에
미리 여유 있게 정밀 검진을 통해 치료 계획을 세우고
오랫동안 함께 신뢰할 수 있는 치과의 선택이 중요하다고 할 수 있어요.
본 글은 콤비치과의 의료광고 포스팅이며
개인에 따라 출혈 및 부작용이 발생할 수 있습니다.
더 보기
이 병원의 공개 콘텐츠를 계속 살펴보세요
출처 아카이브로 돌아가 더 많은 글을 보거나, 병원 프로필로 이동해 다른 공개 채널도 함께 비교해보세요.