아카이브 요약
이 페이지의 역할
명동콤비치과의원의 네이버 블로그 원문을 보존한 아카이브 페이지입니다. 치아스토리♡ 카테고리의 어금니임플란트 합리적으로 알아보려면 글을 통해 병원의 한국어 정보 제공 방식과 진료 관련 안내 톤을 확인할 수 있습니다.
원문 검증
필요하면 원문 블로그와 병원 프로필로 바로 이동해 문맥을 다시 확인할 수 있습니다.
출처 아카이브 열기아카이브된 블로그 글
명동콤비치과의원 · 콤비덴탈 치과의사 황용인
치아는 다양한 역할을 하고 있는데 그중에서도 어금니는 저작 기능의 주된 역할을 하고 있으며 어금니 없이는 음식물을 제대로 씹기 어렵고 삶의 질이 크게 떨어질 수밖에 없을 거예요. 요즘은 치아를 잃게 되었을 때 임플란트 치료를 받는 것이 당연시되고 있다고 느낄 정도로 대중적으로 알려졌고 초기에 비해 저렴해진 비용...
게시일
2021년 11월 4일
원문 기준으로 확인된 발행일입니다.
카테고리
치아스토리♡
원문 블로그 카테고리를 정리해 함께 표시합니다.
이미지 수
8
현재 아카이브에 연결된 이미지 수입니다.
아카이브 요약
명동콤비치과의원의 네이버 블로그 원문을 보존한 아카이브 페이지입니다. 치아스토리♡ 카테고리의 어금니임플란트 합리적으로 알아보려면 글을 통해 병원의 한국어 정보 제공 방식과 진료 관련 안내 톤을 확인할 수 있습니다.
원문 검증
필요하면 원문 블로그와 병원 프로필로 바로 이동해 문맥을 다시 확인할 수 있습니다.
출처 아카이브 열기치아는 다양한 역할을 하고 있는데 그중에서도 어금니는 저작 기능의
주된 역할을 하고 있으며 어금니 없이는 음식물을 제대로
씹기 어렵고 삶의 질이 크게 떨어질 수밖에 없을 거예요.
요즘은 치아를 잃게 되었을 때 임플란트 치료를 받는 것이
당연시되고 있다고 느낄 정도로 대중적으로 알려졌고
초기에 비해 저렴해진 비용과 인식의 변화도 있는데요.
하지만 여전히 치아를 잃게 되었을 때 그대로 방치한다거나
불편해도 참는 분들이 있기 때문에 어금니임플란트에
대해 올바른 이해가 중요하다고 할 수 있어요.

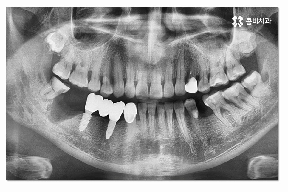
오늘 보여드릴 환자분은 어금니 임플란트 치료를 하게 된 사례로
일반적으로 어금니는 저작 기능을 중점적으로 수행하기 때문에
노화가 진행되면서 치아 사이에 틈이 생기고, 그 틈으로
음식물이 끼면서 치아와 잇몸 경계 부분에 치석이 쌓이기 쉬우며
사랑니로 인해 관리가 잘 안될 경우 충치나 염증으로
인해서 어금니가 손상될 수도 있어요.
어금니의 손상은 생활 습관에 따라서 구분이 되기도 하는데
너무 딱딱한 음식을 자주 섭취하거나 이갈이, 이 악물기 등의
습관으로 인해서 치아가 손상되는 경우가 있으며
청결관리가 잘되지 않아서 충치 및 치주질환이 발생되는 경우도 있는데요.

어금니를 잃게 된 상태에서 그대로 방치하게 되면 저작력이
저하되고 반대쪽 치아로만 식사를 하다 보면
소화불량이나 턱관절 장애를 겪을 수 있어요.
또한 치열이 망가질 우려도 있고 시간이 지날수록
잇몸이 점점 흡수되기 때문에 추후에는 어금니임플란트
치료를 하더라도 잇몸 뼈가 부족해서 치료가 어려워지거나
뼈이식을 추가로 받아야 하는 경우도 있어요.
위 사진처럼 어금니를 발치한 후에는 잇몸이 차오르길
기다리게 되고 임플란트를 식립할 잇몸 뼈가
충분한지 잇몸 상태를 정밀 검진을 통해 확인하는 과정을
거치며 잇몸이 부족한 경우에는 뼈이식을 받아야 할 수 있어요.



어금니임플란트의 경우 심미성보다는 기능성에 보다 집중된
치료가 이뤄지게 되는데 요즘은 3D CT 등을 통해
정확도 높은 진단이 이뤄지고 있지만 시술은 의사의 경험과
실력이 중요한 부분이기 때문에 어금니임플란트는
특히 저작기능을 수행하는 데 유리한 식립 각도와
위치 선정을 잘하는 것이 중요하다고 할 수 있어요.


자연치아와는 달리 어금니임플란트 시술 후에는 신경과 치주인대가
없기 때문에 관리에 소홀해지면 부작용이 발생할 수 있기 때문에
시술 후에는 평소 칫솔질과 함께 치실 또는 워터픽 사용을 꼼꼼하게 해야 하며
별다른 불편함이 없어도 정기적으로 치과에 방문하여 점검하는 것이 중요할 수 있어요.
요즘은 대중적으로 임플란트 시술이 보급이 되었지만 여전히
임플란트는 고난도의 시술이며 시술을 건강하게 마무리하고
장기적으로도 오랫동안 신뢰하고 찾을 수 있는 치과를 선택해야 할 거예요.

나이가 들수록 치아를 잃게 되는 원인이 치주질환으로 인한 경우가
많고 중년 이후에는 고혈압이나 당뇨와 같은 전신질환이나
회복력이 약한 분들도 많기 때문에 어금니임플란트 시술은
풍부한 경험을 갖춘 의료진과 함께 해야 하며 단지 저렴하거나
빠른 치료를 우선하기보다는 정확한 검진부터 섬세한 치료 계획,
사후관리까지 철저한 치과를 잘 선정하고 오랫동안
믿고 찾을 수 있는지 잘 따져보실 필요가 있어요.
본 글은 콤비치과의 의료광고 포스팅이며
개인에 따라 출혈 및 부작용이 발생할 수 있습니다.