아카이브 요약
이 페이지의 역할
명동콤비치과의원의 네이버 블로그 원문을 보존한 아카이브 페이지입니다. 치아스토리♡ 카테고리의 앞니 벌어짐 똑똑하게 해결하려면 글을 통해 병원의 한국어 정보 제공 방식과 진료 관련 안내 톤을 확인할 수 있습니다.
원문 검증
필요하면 원문 블로그와 병원 프로필로 바로 이동해 문맥을 다시 확인할 수 있습니다.
출처 아카이브 열기아카이브된 블로그 글
명동콤비치과의원 · Naver Blog
치아가 벌어지면 심미적으로도 좋지 않지만 음식물이 끼기 쉽고 치석이 쌓이기 쉬운 환경으로 인해서 나이가 들수록 구강질환의 빈도 및 치아의 벌어짐이 점점 더 심해질 수 있는데요. 30~40대에 잇몸질환으로 인하여 치아가 벌어지는 사례도 많기 때문에 앞니 벌어짐이 발생되었을 때 치료에 대한 측면도 중요하겠지만 원인...
게시일
2021년 11월 14일
원문 기준으로 확인된 발행일입니다.
카테고리
치아스토리♡
원문 블로그 카테고리를 정리해 함께 표시합니다.
이미지 수
8
현재 아카이브에 연결된 이미지 수입니다.
아카이브 요약
명동콤비치과의원의 네이버 블로그 원문을 보존한 아카이브 페이지입니다. 치아스토리♡ 카테고리의 앞니 벌어짐 똑똑하게 해결하려면 글을 통해 병원의 한국어 정보 제공 방식과 진료 관련 안내 톤을 확인할 수 있습니다.
원문 검증
필요하면 원문 블로그와 병원 프로필로 바로 이동해 문맥을 다시 확인할 수 있습니다.
출처 아카이브 열기치아가 벌어지면 심미적으로도 좋지 않지만 음식물이 끼기 쉽고
치석이 쌓이기 쉬운 환경으로 인해서 나이가 들수록
구강질환의 빈도 및 치아의 벌어짐이 점점 더 심해질 수 있는데요.
30~40대에 잇몸질환으로 인하여 치아가 벌어지는 사례도
많기 때문에 앞니 벌어짐이 발생되었을 때
치료에 대한 측면도 중요하겠지만 원인 파악과
해결에 대한 부분도 매우 중요하다고 할 수 있어요.

앞니 벌어짐 치료 방법의 경우 대표적으로 레진이나 라미네이트,
치아교정을 통해서 개선할 수 있는데 현재 치아의 상태부터
교합, 얼굴형 등을 전체적으로 고려하여 적합한 치료를 선택할 필요가 있어요.
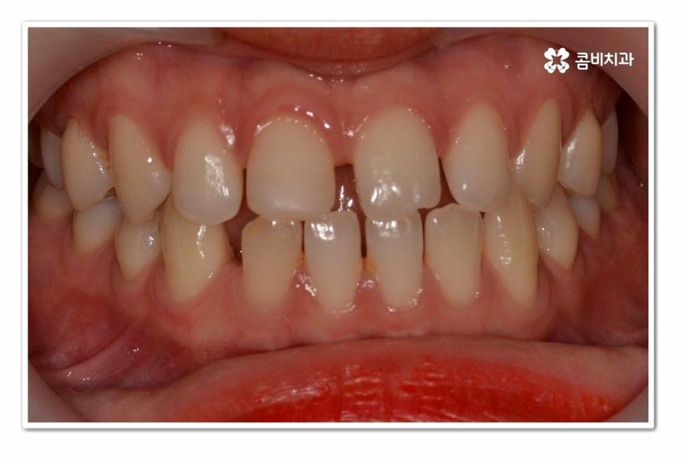
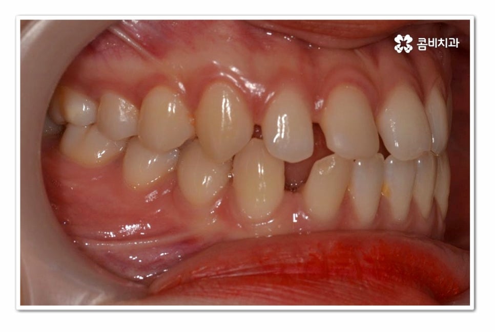
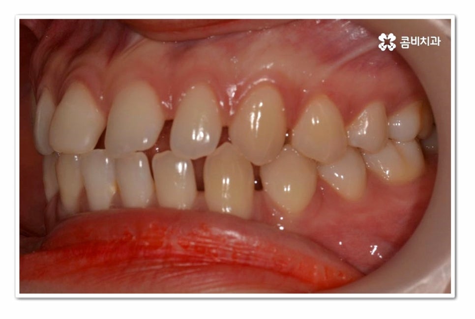
위 환자분의 경우 치아교정을 통해서 앞니 벌어짐 치료를 진행한 사례이며
치아의 이동 공간과 교합을 고려할 때 전체교정이 필요했던 사례라고 할 수 있어요.
앞니 벌어짐이 심하지 않은 경우에는 부분교정을 통해서 치료가
가능한 사례도 있으며 치아가 깨졌거나 변색, 충치 등이 발생했을 때
레진이나 라미네이트 치료가 적합한 경우도 있어요.


앞니 벌어짐 치료에 있어서 개개인의 구강 상태 및 골격, 교합 등에 따라서
적합한 치료 계획이 달라지기 때문에 치과에서 정밀 검진을 받는 것이
우선이며 치아교정의 경우 치열뿐 아니라 얼굴 변화에 대해서도 함께
고려해야 하기 때문에 단지 현재 눈으로 보이는 치열 상태만 고려하는 것이
아니라 종합적으로 검사하여 치과 의사와 진단을 받아 참고하시고
상담을 받아보실 필요가 있어요.
위 환자분의 경우 윗니 만이 아니라 아랫니도 벌어져 있기 때문에
라미네이트와 같이 단기적으로 심미성을 고려한 치료보다는
치아교정을 통해 치아의 건강부터 교합, 심미성을 함께
개선할 수 있는 치료 계획을 세운 것이라 할 수 있어요.


앞니 벌어짐으로 고민하시는 분들의 경우 평소 입을 가리고 웃는다거나
다소 무뚝뚝한 표정으로 앞니로 인해 고민하시는 분들도 많이 있는데요.
갑자기 중요한 일정을 앞두거나 빠른 결과를 얻고 싶을 때
라미네이트를 먼저 알아보시는 분들도 많이 계실 거예요.
라미네이트도 앞니 치료에 이미 많이 쓰이고 있고 왜소치의 경우
무삭제로도 치료가 가능하기 때문에 상황에 맞게
치료 방법은 잘 선택하는 것이 중요하다고 할 수 있는데요.
다만 장기적으로 바라볼 때 치아교정이 유리한 경우가 많은 이유 중에
하나라면 치아를 건강하게 보존하고 자연스러운 결과를 얻기 위함도 크다고 할 수 있어요.

오늘 보여드린 환자분의 케이스는 윗니와 아랫니가 모두 벌어져 있기 때문에
전체교정을 통해서 치료가 진행되었지만
앞니 벌어짐 정도가 심하지 않거나 나이가 들면서 치아가 벌어진 분들의
경우에는 앞니만 부분교정이 가능한 경우가 있고
부분교정의 경우 심미성이나 치료 기간 등에 있어서
전체교정에 비해 부담이 크게 줄어든다고 할 수 있어요.
치아 사이가 벌어져 있으면 우선 심미적으로도 부담을 느낄 수 있지만
나이가 들수록 치아의 건강에도 악영향을 줄 수 있고
벌어짐이 점점 더 커질 수 있기 때문에 미리 치료하는 것을 권하고 있어요.


마지막으로 교정 치료는 비교적 치열의 불규칙함이 심하지 않은 분들이라도
사후관리까지 고려한다면 당장 좋은 결과뿐 아니라 장기적으로
결과가 잘 유지되도록 유지해야 하기 때문에 오랫동안 믿고 찾을 치과의
선택이 중요하며 앞니 벌어짐을 예로 들었을 때
다양한 치료 방법이 있으므로 치과에서 정확한 검진과
의사와의 상담을 통해서 잘 따져보시고 결정하실 필요가 있어요.
본 글은 콤비치과의 의료광고 포스팅이며 개인에 따라
출혈 및 부작용이 발생할 수 있습니다.